Adv Sci丨东北农业大学徐童研究发现鸡缺硒骨骼肌萎缩依赖于双硫死亡的机制

Advanced Portfolio 2025-09-26 07:00
文章摘要
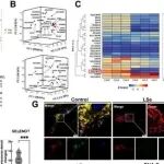
本文研究了硒缺乏如何通过SELENOT/mtROS/NADPH轴导致鸡骨骼肌萎缩的机制。背景方面,骨骼肌萎缩是严重的健康问题,硒作为必需微量元素与肌肉完整性密切相关,但具体机制不清。研究目的旨在阐明硒缺乏通过下调硒蛋白T(SELENOT)引发双硫死亡的分子通路。结论表明,硒缺乏会抑制SELENOT表达,导致线粒体活性氧(mtROS)过量产生和NADPH代谢紊乱,进而引起半胱氨酸积累和肌动蛋白二硫键异常,最终通过双硫死亡途径诱发肌肉萎缩。实验证实SELENOT过表达或NADPH补充可缓解萎缩,为该病理过程提供了新的治疗靶点。
Adv Sci丨东北农业大学徐童研究发现鸡缺硒骨骼肌萎缩依赖于双硫死亡的机制
本站注明稿件来源为其他媒体的文/图等稿件均为转载稿,本站转载出于非商业性的教育和科研之目的,并不意味着赞同其观点或证实其内容的真实性。如转载稿涉及版权等问题,请作者速来电或来函联系。
推荐文献
Corroborating the Monro-Kellie Principles.
DOI: 10.1007/s12028-022-01624-x Pub Date : 2026-02-01 Date: 2022/10/31 0:00:00
IF 4.7 3区 材料科学 Q1 ACS Applied Electronic Materials
Issue Editorial Masthead
DOI: 10.1021/aev009i002_2032701 Pub Date : 2026-01-26
IF 5.5 3区 材料科学 Q2 ACS Applied Energy Materials
Biocompatible Magnetopyroelectric Composite Films for Cell Stimulation.
DOI: 10.1002/advs.202520491 Pub Date : 2026-02-04
IF 14.1 1区 材料科学 Q1 Advanced Science
Advanced Portfolio
最新文章
热门类别
相关文章
联系我们:info@booksci.cn Book学术提供免费学术资源搜索服务,方便国内外学者检索中英文文献。致力于提供最便捷和优质的服务体验。 Copyright © 2023 布克学术 All rights reserved.
京ICP备2023020795号-1
ghs 京公网安备 11010802042870号
Book学术文献互助
Book学术文献互助群
群 号:604180095
Book学术官方微信