系统性红斑狼疮患者侵袭性牙周炎的治疗:随访 8 年的病例报告。

IF 1.9 4区 教育学 Q2 EDUCATION & EDUCATIONAL RESEARCH
Pradeep Koppolu, Kizhakke Veetil Sheethi, Lingam Amara Swapna, Mandapathi Priyanka, Rawa Kamal Abdelrahim, Aravinda Basireddy, Obada Mandil
{"title":"系统性红斑狼疮患者侵袭性牙周炎的治疗:随访 8 年的病例报告。","authors":"Pradeep Koppolu, Kizhakke Veetil Sheethi, Lingam Amara Swapna, Mandapathi Priyanka, Rawa Kamal Abdelrahim, Aravinda Basireddy, Obada Mandil","doi":"10.4103/aam.aam_128_22","DOIUrl":null,"url":null,"abstract":"<p><p>Systemic lupus erythematosus (SLE) with oral desquamative lesions is one of the rare clinical entities. Periodontal disease and SLE display various mechanisms and possess a wide range of pathological characteristics. The tissue destruction mechanism of periodontitis and autoimmune diseases share similar pathways, and mounting reports studied the association between these two entities. The present case is of a 24-year-old female patient who complained of generalized widening of spaces in between the teeth. Along with it, She suffered from loss of hair, weakness, edema in the legs as well as arthralgia. The patient was identified to be suffering from SLE according to the American Rheumatism Association and European Academy of Dermatology and Venereology criteria 1 year before she reported to the dentist. She suffered from hair loss, weakness, arthralgia as well as edema in the legs. Based on the oral, clinical, and radiographic findings, she was diagnosed with aggressive periodontitis case. After nonsurgical periodontal treatment, the flap was reflected, debridement was done, after root conditioning with tetracycline, bovine osseous xenograft was placed in all the sites where ever there is angular bone loss, later sutured with interrupted direct loop suturing technique with 4-0 silk suture. Clinical and radiographic evaluation was done every 6 weeks to check the progress of the treatment. 6 months and 8-year follow-up revealed satisfactory clinical and radiographic outcomes. Based on the present case report and the previous literature, we recommend the use of xenograft in treating aggressive periodontitis patients.</p>","PeriodicalId":46790,"journal":{"name":"Studies in Continuing Education","volume":"35 1","pages":"549-553"},"PeriodicalIF":1.9000,"publicationDate":"2023-10-01","publicationTypes":"Journal Article","fieldsOfStudy":null,"isOpenAccess":false,"openAccessPdf":"https://www.ncbi.nlm.nih.gov/pmc/articles/PMC10775935/pdf/","citationCount":"0","resultStr":"{\"title\":\"Treatment of aggressive periodontitis in a patient with systemic lupus erythematosus: A case report with 8 years follow-up.\",\"authors\":\"Pradeep Koppolu, Kizhakke Veetil Sheethi, Lingam Amara Swapna, Mandapathi Priyanka, Rawa Kamal Abdelrahim, Aravinda Basireddy, Obada Mandil\",\"doi\":\"10.4103/aam.aam_128_22\",\"DOIUrl\":null,\"url\":null,\"abstract\":\"<p><p>Systemic lupus erythematosus (SLE) with oral desquamative lesions is one of the rare clinical entities. Periodontal disease and SLE display various mechanisms and possess a wide range of pathological characteristics. The tissue destruction mechanism of periodontitis and autoimmune diseases share similar pathways, and mounting reports studied the association between these two entities. The present case is of a 24-year-old female patient who complained of generalized widening of spaces in between the teeth. Along with it, She suffered from loss of hair, weakness, edema in the legs as well as arthralgia. The patient was identified to be suffering from SLE according to the American Rheumatism Association and European Academy of Dermatology and Venereology criteria 1 year before she reported to the dentist. She suffered from hair loss, weakness, arthralgia as well as edema in the legs. Based on the oral, clinical, and radiographic findings, she was diagnosed with aggressive periodontitis case. After nonsurgical periodontal treatment, the flap was reflected, debridement was done, after root conditioning with tetracycline, bovine osseous xenograft was placed in all the sites where ever there is angular bone loss, later sutured with interrupted direct loop suturing technique with 4-0 silk suture. Clinical and radiographic evaluation was done every 6 weeks to check the progress of the treatment. 6 months and 8-year follow-up revealed satisfactory clinical and radiographic outcomes. Based on the present case report and the previous literature, we recommend the use of xenograft in treating aggressive periodontitis patients.</p>\",\"PeriodicalId\":46790,\"journal\":{\"name\":\"Studies in Continuing Education\",\"volume\":\"35 1\",\"pages\":\"549-553\"},\"PeriodicalIF\":1.9000,\"publicationDate\":\"2023-10-01\",\"publicationTypes\":\"Journal Article\",\"fieldsOfStudy\":null,\"isOpenAccess\":false,\"openAccessPdf\":\"https://www.ncbi.nlm.nih.gov/pmc/articles/PMC10775935/pdf/\",\"citationCount\":\"0\",\"resultStr\":null,\"platform\":\"Semanticscholar\",\"paperid\":null,\"PeriodicalName\":\"Studies in Continuing Education\",\"FirstCategoryId\":\"95\",\"ListUrlMain\":\"https://doi.org/10.4103/aam.aam_128_22\",\"RegionNum\":4,\"RegionCategory\":\"教育学\",\"ArticlePicture\":[],\"TitleCN\":null,\"AbstractTextCN\":null,\"PMCID\":null,\"EPubDate\":\"\",\"PubModel\":\"\",\"JCR\":\"Q2\",\"JCRName\":\"EDUCATION & EDUCATIONAL RESEARCH\",\"Score\":null,\"Total\":0}","platform":"Semanticscholar","paperid":null,"PeriodicalName":"Studies in Continuing Education","FirstCategoryId":"95","ListUrlMain":"https://doi.org/10.4103/aam.aam_128_22","RegionNum":4,"RegionCategory":"教育学","ArticlePicture":[],"TitleCN":null,"AbstractTextCN":null,"PMCID":null,"EPubDate":"","PubModel":"","JCR":"Q2","JCRName":"EDUCATION & EDUCATIONAL RESEARCH","Score":null,"Total":0}
引用次数: 0

摘要

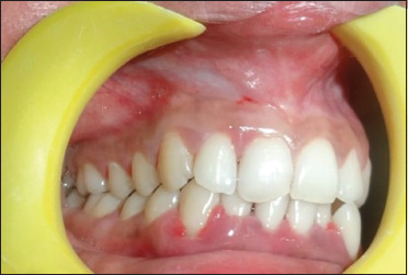
伴有口腔脱屑性病变的系统性红斑狼疮(SLE)是罕见的临床病例之一。牙周病和系统性红斑狼疮的发病机制多种多样,病理特征也各不相同。牙周炎和自身免疫性疾病的组织破坏机制具有相似的途径,越来越多的报道研究了这两种疾病之间的关联。本病例是一名 24 岁的女性患者,主诉牙间隙普遍增宽。同时,她还伴有脱发、虚弱、腿部水肿和关节痛。根据美国风湿病协会和欧洲皮肤病与性病学学会的标准,该患者在来看牙医的一年前被确认患有系统性红斑狼疮。她患有脱发、乏力、关节痛和腿部水肿。根据口腔、临床和影像学检查结果,她被诊断为侵袭性牙周炎病例。经过非手术牙周治疗,翻瓣,清创,用四环素进行根部调理后,在所有有角骨缺失的部位植入牛骨异种移植,然后用 4-0 丝线间断直接环形缝合技术缝合。每 6 周进行一次临床和影像学评估,以检查治疗的进展情况。6 个月和 8 年的随访结果显示,临床和影像学效果令人满意。根据本病例报告和以往的文献,我们推荐使用异种牙移植治疗侵袭性牙周炎患者。
本文章由计算机程序翻译,如有差异,请以英文原文为准。

Treatment of aggressive periodontitis in a patient with systemic lupus erythematosus: A case report with 8 years follow-up.

Treatment of aggressive periodontitis in a patient with systemic lupus erythematosus: A case report with 8 years follow-up.

Treatment of aggressive periodontitis in a patient with systemic lupus erythematosus: A case report with 8 years follow-up.

Treatment of aggressive periodontitis in a patient with systemic lupus erythematosus: A case report with 8 years follow-up.

Systemic lupus erythematosus (SLE) with oral desquamative lesions is one of the rare clinical entities. Periodontal disease and SLE display various mechanisms and possess a wide range of pathological characteristics. The tissue destruction mechanism of periodontitis and autoimmune diseases share similar pathways, and mounting reports studied the association between these two entities. The present case is of a 24-year-old female patient who complained of generalized widening of spaces in between the teeth. Along with it, She suffered from loss of hair, weakness, edema in the legs as well as arthralgia. The patient was identified to be suffering from SLE according to the American Rheumatism Association and European Academy of Dermatology and Venereology criteria 1 year before she reported to the dentist. She suffered from hair loss, weakness, arthralgia as well as edema in the legs. Based on the oral, clinical, and radiographic findings, she was diagnosed with aggressive periodontitis case. After nonsurgical periodontal treatment, the flap was reflected, debridement was done, after root conditioning with tetracycline, bovine osseous xenograft was placed in all the sites where ever there is angular bone loss, later sutured with interrupted direct loop suturing technique with 4-0 silk suture. Clinical and radiographic evaluation was done every 6 weeks to check the progress of the treatment. 6 months and 8-year follow-up revealed satisfactory clinical and radiographic outcomes. Based on the present case report and the previous literature, we recommend the use of xenograft in treating aggressive periodontitis patients.

求助全文
通过发布文献求助,成功后即可免费获取论文全文。 去求助
来源期刊
Studies in Continuing Education
Studies in Continuing Education EDUCATION & EDUCATIONAL RESEARCH-
CiteScore
4.70
自引率
6.70%
发文量
22
期刊介绍: Studies in Continuing Education is a scholarly journal concerned with all aspects of continuing, professional and lifelong learning. It aims to be of special interest to those involved in: •continuing professional education •adults learning •staff development •training and development •human resource development
×
引用
GB/T 7714-2015
复制
MLA
复制
APA
复制
导出至
BibTeX EndNote RefMan NoteFirst NoteExpress
×
提示
您的信息不完整,为了账户安全,请先补充。
现在去补充
×
提示
您因"违规操作"
具体请查看互助需知
我知道了
×
提示
确定
请完成安全验证×
copy
已复制链接
快去分享给好友吧!
我知道了
右上角分享
点击右上角分享
0
联系我们:info@booksci.cn Book学术提供免费学术资源搜索服务,方便国内外学者检索中英文文献。致力于提供最便捷和优质的服务体验。 Copyright © 2023 布克学术 All rights reserved.
京ICP备2023020795号-1
ghs 京公网安备 11010802042870号
Book学术文献互助
Book学术文献互助群
群 号:604180095
Book学术官方微信