长春胺减轻甲氨蝶呤诱导的肝纤维化模型。

IF 1.6 4区 医学 Q4 GASTROENTEROLOGY & HEPATOLOGY
Yonca Yılmaz Ürün, Gürkan Güner, Ejder Saylav Bora, Ayşe Buket Taşkın, Muslih Ürün, Oytun Erbaş
{"title":"长春胺减轻甲氨蝶呤诱导的肝纤维化模型。","authors":"Yonca Yılmaz Ürün, Gürkan Güner, Ejder Saylav Bora, Ayşe Buket Taşkın, Muslih Ürün, Oytun Erbaş","doi":"10.5152/tjg.2025.24716","DOIUrl":null,"url":null,"abstract":"<p><p>Background/Aims: Liver fibrosis is linked to higher rates of death and disease. This study examined the hepatoprotective properties of vincamine and its potential therapeutic application in treating liver damage caused by methotrexate in rats. Materials and Methods: Thirty male Wistar albino rats, with weights ranging from 150 to 200 g and ages between 10 and 12 weeks, were included in the study. A total of 10 rats were selected to serve as the control group, receiving no medication. A group of 20 rats was given a single intraperitoneal dose of 20 mg/kg methotrexate in order to cause liver damage. Subsequently, the participants were randomly allocated into 2 cohorts and administered either 1 mL/kg/day tap water or 50 mg/kg/day vincamine orally through gavage on a daily basis for a duration of 10 days. Following the completion of the treatment period, the animals were euthanized and their livers were examined histologically. Furthermore, the levels of plasma galectin-3 (gal-3), cytokeratin 18, malondialdehyde (MDA), alanine transaminase (ALT), liver MDA, and transforming growth factor beta (TGF-β) levels were evaluated. Results: Treatment with vincamine resulted in a significant decrease in plasma gal-3, cytokeratin, MDA, and ALT levels and liver MDA and TGF-β levels compared to the methotrexate and saline group. Vincamine treatment effectively protected against liver injury, and histopathological examination of the livers confirmed these results. Conclusion: This study demonstrates that vincamine alleviates methotrexate-induced liver toxicity via exhibiting antioxidant, antiinflammatory, and anti-fibrotic activities and improved liver functionally, biochemically, and histopathologically.</p>","PeriodicalId":51205,"journal":{"name":"Turkish Journal of Gastroenterology","volume":"36 10","pages":"641-648"},"PeriodicalIF":1.6000,"publicationDate":"2025-06-23","publicationTypes":"Journal Article","fieldsOfStudy":null,"isOpenAccess":false,"openAccessPdf":"https://www.ncbi.nlm.nih.gov/pmc/articles/PMC12520132/pdf/","citationCount":"0","resultStr":"{\"title\":\"Vincamine Mitigates Methotrexate-Induced Liver Fibrosis Model.\",\"authors\":\"Yonca Yılmaz Ürün, Gürkan Güner, Ejder Saylav Bora, Ayşe Buket Taşkın, Muslih Ürün, Oytun Erbaş\",\"doi\":\"10.5152/tjg.2025.24716\",\"DOIUrl\":null,\"url\":null,\"abstract\":\"<p><p>Background/Aims: Liver fibrosis is linked to higher rates of death and disease. This study examined the hepatoprotective properties of vincamine and its potential therapeutic application in treating liver damage caused by methotrexate in rats. Materials and Methods: Thirty male Wistar albino rats, with weights ranging from 150 to 200 g and ages between 10 and 12 weeks, were included in the study. A total of 10 rats were selected to serve as the control group, receiving no medication. A group of 20 rats was given a single intraperitoneal dose of 20 mg/kg methotrexate in order to cause liver damage. Subsequently, the participants were randomly allocated into 2 cohorts and administered either 1 mL/kg/day tap water or 50 mg/kg/day vincamine orally through gavage on a daily basis for a duration of 10 days. Following the completion of the treatment period, the animals were euthanized and their livers were examined histologically. Furthermore, the levels of plasma galectin-3 (gal-3), cytokeratin 18, malondialdehyde (MDA), alanine transaminase (ALT), liver MDA, and transforming growth factor beta (TGF-β) levels were evaluated. Results: Treatment with vincamine resulted in a significant decrease in plasma gal-3, cytokeratin, MDA, and ALT levels and liver MDA and TGF-β levels compared to the methotrexate and saline group. Vincamine treatment effectively protected against liver injury, and histopathological examination of the livers confirmed these results. Conclusion: This study demonstrates that vincamine alleviates methotrexate-induced liver toxicity via exhibiting antioxidant, antiinflammatory, and anti-fibrotic activities and improved liver functionally, biochemically, and histopathologically.</p>\",\"PeriodicalId\":51205,\"journal\":{\"name\":\"Turkish Journal of Gastroenterology\",\"volume\":\"36 10\",\"pages\":\"641-648\"},\"PeriodicalIF\":1.6000,\"publicationDate\":\"2025-06-23\",\"publicationTypes\":\"Journal Article\",\"fieldsOfStudy\":null,\"isOpenAccess\":false,\"openAccessPdf\":\"https://www.ncbi.nlm.nih.gov/pmc/articles/PMC12520132/pdf/\",\"citationCount\":\"0\",\"resultStr\":null,\"platform\":\"Semanticscholar\",\"paperid\":null,\"PeriodicalName\":\"Turkish Journal of Gastroenterology\",\"FirstCategoryId\":\"3\",\"ListUrlMain\":\"https://doi.org/10.5152/tjg.2025.24716\",\"RegionNum\":4,\"RegionCategory\":\"医学\",\"ArticlePicture\":[],\"TitleCN\":null,\"AbstractTextCN\":null,\"PMCID\":null,\"EPubDate\":\"\",\"PubModel\":\"\",\"JCR\":\"Q4\",\"JCRName\":\"GASTROENTEROLOGY & HEPATOLOGY\",\"Score\":null,\"Total\":0}","platform":"Semanticscholar","paperid":null,"PeriodicalName":"Turkish Journal of Gastroenterology","FirstCategoryId":"3","ListUrlMain":"https://doi.org/10.5152/tjg.2025.24716","RegionNum":4,"RegionCategory":"医学","ArticlePicture":[],"TitleCN":null,"AbstractTextCN":null,"PMCID":null,"EPubDate":"","PubModel":"","JCR":"Q4","JCRName":"GASTROENTEROLOGY & HEPATOLOGY","Score":null,"Total":0}
引用次数: 0

摘要

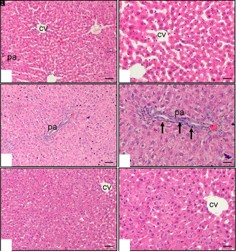
背景/目的:肝纤维化与较高的死亡率和发病率有关。本研究探讨了长春胺的肝保护作用及其对甲氨蝶呤所致大鼠肝损伤的潜在治疗作用。材料与方法:选取体重150 ~ 200g,年龄10 ~ 12周龄的雄性Wistar白化大鼠30只。选取10只大鼠作为对照组,不给药。20只大鼠单次腹腔注射甲氨蝶呤20 mg/kg,以引起肝损伤。随后,参与者被随机分为2组,每天灌胃给予1 mL/kg/天自来水或50 mg/kg/天长春花胺,持续10天。治疗期结束后,对动物实施安乐死,并对其肝脏进行组织学检查。此外,还评估了血浆半乳糖凝集素-3 (gal-3)、细胞角蛋白18、丙二醛(MDA)、丙氨酸转氨酶(ALT)、肝脏MDA和转化生长因子β (TGF-β)水平。结果:与甲氨蝶呤和生理盐水组相比,长春胺组血浆gal-3、细胞角蛋白、MDA、ALT水平和肝脏MDA、TGF-β水平显著降低。长春花胺治疗有效地防止肝损伤,肝脏的组织病理学检查证实了这些结果。结论:本研究表明,长春花胺通过其抗氧化、抗炎和抗纤维化活性,改善肝脏功能、生化和组织病理学,减轻甲氨蝶呤诱导的肝毒性。
本文章由计算机程序翻译,如有差异,请以英文原文为准。

Vincamine Mitigates Methotrexate-Induced Liver Fibrosis Model.

Vincamine Mitigates Methotrexate-Induced Liver Fibrosis Model.

Vincamine Mitigates Methotrexate-Induced Liver Fibrosis Model.

Background/Aims: Liver fibrosis is linked to higher rates of death and disease. This study examined the hepatoprotective properties of vincamine and its potential therapeutic application in treating liver damage caused by methotrexate in rats. Materials and Methods: Thirty male Wistar albino rats, with weights ranging from 150 to 200 g and ages between 10 and 12 weeks, were included in the study. A total of 10 rats were selected to serve as the control group, receiving no medication. A group of 20 rats was given a single intraperitoneal dose of 20 mg/kg methotrexate in order to cause liver damage. Subsequently, the participants were randomly allocated into 2 cohorts and administered either 1 mL/kg/day tap water or 50 mg/kg/day vincamine orally through gavage on a daily basis for a duration of 10 days. Following the completion of the treatment period, the animals were euthanized and their livers were examined histologically. Furthermore, the levels of plasma galectin-3 (gal-3), cytokeratin 18, malondialdehyde (MDA), alanine transaminase (ALT), liver MDA, and transforming growth factor beta (TGF-β) levels were evaluated. Results: Treatment with vincamine resulted in a significant decrease in plasma gal-3, cytokeratin, MDA, and ALT levels and liver MDA and TGF-β levels compared to the methotrexate and saline group. Vincamine treatment effectively protected against liver injury, and histopathological examination of the livers confirmed these results. Conclusion: This study demonstrates that vincamine alleviates methotrexate-induced liver toxicity via exhibiting antioxidant, antiinflammatory, and anti-fibrotic activities and improved liver functionally, biochemically, and histopathologically.

求助全文
通过发布文献求助,成功后即可免费获取论文全文。 去求助
来源期刊
Turkish Journal of Gastroenterology
Turkish Journal of Gastroenterology 医学-胃肠肝病学
CiteScore
1.90
自引率
0.00%
发文量
127
审稿时长
6 months
期刊介绍: The Turkish Journal of Gastroenterology (Turk J Gastroenterol) is the double-blind peer-reviewed, open access, international publication organ of the Turkish Society of Gastroenterology. The journal is a bimonthly publication, published on January, March, May, July, September, November and its publication language is English. The Turkish Journal of Gastroenterology aims to publish international at the highest clinical and scientific level on original issues of gastroenterology and hepatology. The journal publishes original papers, review articles, case reports and letters to the editor on clinical and experimental gastroenterology and hepatology.
×
引用
GB/T 7714-2015
复制
MLA
复制
APA
复制
导出至
BibTeX EndNote RefMan NoteFirst NoteExpress
×
提示
您的信息不完整,为了账户安全,请先补充。
现在去补充
×
提示
您因"违规操作"
具体请查看互助需知
我知道了
×
提示
确定
请完成安全验证×
copy
已复制链接
快去分享给好友吧!
我知道了
右上角分享
点击右上角分享
0
联系我们:info@booksci.cn Book学术提供免费学术资源搜索服务,方便国内外学者检索中英文文献。致力于提供最便捷和优质的服务体验。 Copyright © 2023 布克学术 All rights reserved.
京ICP备2023020795号-1
ghs 京公网安备 11010802042870号
Book学术文献互助
Book学术文献互助群
群 号:604180095
Book学术官方微信