舒巴坦联合头孢曲松对广谱产β-内酰胺酶大肠杆菌的抑制作用

IF 4.6 2区 医学 Q1 INFECTIOUS DISEASES
Ru Wang, Kun Mi, Aihua Lu, Chengyang Zhang, Lei Sun, Yuxiang Chen, Yuanhu Pan, Yanfei Tao, Lingli Huang
{"title":"舒巴坦联合头孢曲松对广谱产β-内酰胺酶大肠杆菌的抑制作用","authors":"Ru Wang, Kun Mi, Aihua Lu, Chengyang Zhang, Lei Sun, Yuxiang Chen, Yuanhu Pan, Yanfei Tao, Lingli Huang","doi":"10.3390/antibiotics14090915","DOIUrl":null,"url":null,"abstract":"<p><p><b>Background/Objectives</b>: Extended-spectrum β-lactamase (ESBL)-producing <i>Escherichia coli</i> poses a significant global health challenge, as it leads to antimicrobial treatment failure and is associated with elevated mortality rates. The use of β-lactam/β-lactamase inhibitor combinations offers an alternative approach for combating ESBL-producing bacteria. Ceftriaxone (CRO) and sulbactam have been coadministered in the clinical settings; however, discrepancies in their pharmacokinetics raise concerns regarding the rationality of this combination. <b>Methods</b>: This study was designed to investigate the postβ-lactamase inhibitor effect (PLIE) under both static and dynamic conditions, with the aim of supporting the clinical application of this combination. <b>Results</b>: The minimum inhibitory concentration (MIC) of CRO/SBT (2:1 ratio) against <i>E. coli</i> NCTC 13353 was determined to be 32/16 μg/mL. The PLIEs were determined to be -1.26, -0.57, and 0.37 h at CRO/SBT concentrations ranging from 1/2 MIC to 2 MIC, respectively. The results of CRO concentration, β-lactamase activity, <i>bla<sub>CTX-M-15</sub></i> expression, and cell morphology collectively support that SBT exerts PLIEs and protects against the antibacterial activity of CRO. In the dynamic hollow-fiber infection model, CRO monotherapy showed no inhibitory effect on <i>E. coli</i>, whereas CRO/SBT combination therapy rapidly eliminated SBT, achieved comparable bactericidal effects, prolonged CRO exposure, and maintained low β-lactamase activity levels. <b>Conclusions</b>: In conclusion, CRO/SBT exerts an inhibitory effect on enzyme-producing strains by being able to produce PLIE to maintain the inhibition of β-lactamase.</p>","PeriodicalId":54246,"journal":{"name":"Antibiotics-Basel","volume":"14 9","pages":""},"PeriodicalIF":4.6000,"publicationDate":"2025-09-11","publicationTypes":"Journal Article","fieldsOfStudy":null,"isOpenAccess":false,"openAccessPdf":"https://www.ncbi.nlm.nih.gov/pmc/articles/PMC12466486/pdf/","citationCount":"0","resultStr":"{\"title\":\"Postβ-Lactamase-Inhibiting Effect of Sulbactam in Combination with Ceftriaxone on Extended-Spectrum-β-Lactamase-Producing <i>Escherichia coli</i>.\",\"authors\":\"Ru Wang, Kun Mi, Aihua Lu, Chengyang Zhang, Lei Sun, Yuxiang Chen, Yuanhu Pan, Yanfei Tao, Lingli Huang\",\"doi\":\"10.3390/antibiotics14090915\",\"DOIUrl\":null,\"url\":null,\"abstract\":\"<p><p><b>Background/Objectives</b>: Extended-spectrum β-lactamase (ESBL)-producing <i>Escherichia coli</i> poses a significant global health challenge, as it leads to antimicrobial treatment failure and is associated with elevated mortality rates. The use of β-lactam/β-lactamase inhibitor combinations offers an alternative approach for combating ESBL-producing bacteria. Ceftriaxone (CRO) and sulbactam have been coadministered in the clinical settings; however, discrepancies in their pharmacokinetics raise concerns regarding the rationality of this combination. <b>Methods</b>: This study was designed to investigate the postβ-lactamase inhibitor effect (PLIE) under both static and dynamic conditions, with the aim of supporting the clinical application of this combination. <b>Results</b>: The minimum inhibitory concentration (MIC) of CRO/SBT (2:1 ratio) against <i>E. coli</i> NCTC 13353 was determined to be 32/16 μg/mL. The PLIEs were determined to be -1.26, -0.57, and 0.37 h at CRO/SBT concentrations ranging from 1/2 MIC to 2 MIC, respectively. The results of CRO concentration, β-lactamase activity, <i>bla<sub>CTX-M-15</sub></i> expression, and cell morphology collectively support that SBT exerts PLIEs and protects against the antibacterial activity of CRO. In the dynamic hollow-fiber infection model, CRO monotherapy showed no inhibitory effect on <i>E. coli</i>, whereas CRO/SBT combination therapy rapidly eliminated SBT, achieved comparable bactericidal effects, prolonged CRO exposure, and maintained low β-lactamase activity levels. <b>Conclusions</b>: In conclusion, CRO/SBT exerts an inhibitory effect on enzyme-producing strains by being able to produce PLIE to maintain the inhibition of β-lactamase.</p>\",\"PeriodicalId\":54246,\"journal\":{\"name\":\"Antibiotics-Basel\",\"volume\":\"14 9\",\"pages\":\"\"},\"PeriodicalIF\":4.6000,\"publicationDate\":\"2025-09-11\",\"publicationTypes\":\"Journal Article\",\"fieldsOfStudy\":null,\"isOpenAccess\":false,\"openAccessPdf\":\"https://www.ncbi.nlm.nih.gov/pmc/articles/PMC12466486/pdf/\",\"citationCount\":\"0\",\"resultStr\":null,\"platform\":\"Semanticscholar\",\"paperid\":null,\"PeriodicalName\":\"Antibiotics-Basel\",\"FirstCategoryId\":\"3\",\"ListUrlMain\":\"https://doi.org/10.3390/antibiotics14090915\",\"RegionNum\":2,\"RegionCategory\":\"医学\",\"ArticlePicture\":[],\"TitleCN\":null,\"AbstractTextCN\":null,\"PMCID\":null,\"EPubDate\":\"\",\"PubModel\":\"\",\"JCR\":\"Q1\",\"JCRName\":\"INFECTIOUS DISEASES\",\"Score\":null,\"Total\":0}","platform":"Semanticscholar","paperid":null,"PeriodicalName":"Antibiotics-Basel","FirstCategoryId":"3","ListUrlMain":"https://doi.org/10.3390/antibiotics14090915","RegionNum":2,"RegionCategory":"医学","ArticlePicture":[],"TitleCN":null,"AbstractTextCN":null,"PMCID":null,"EPubDate":"","PubModel":"","JCR":"Q1","JCRName":"INFECTIOUS DISEASES","Score":null,"Total":0}
引用次数: 0

摘要

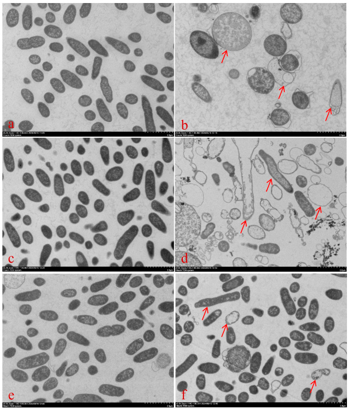
背景/目的:产生广谱β-内酰胺酶(ESBL)的大肠杆菌对全球健康构成重大挑战,因为它导致抗菌治疗失败并与死亡率升高有关。使用β-内酰胺/β-内酰胺酶抑制剂组合为对抗产生esbl的细菌提供了另一种方法。头孢曲松(CRO)和舒巴坦在临床环境中共同使用;然而,它们的药代动力学差异引起了人们对这种组合合理性的担忧。方法:在静态和动态两种条件下考察β-内酰胺酶后抑制效应(PLIE),为该联合用药的临床应用提供依据。结果:测定出CRO/SBT(2:1)对大肠杆菌NCTC 13353的最小抑制浓度(MIC)为32/16 μg/mL。在CRO/SBT浓度为1/ 2mic至2mic范围内,PLIEs分别为-1.26、-0.57和0.37 h。CRO浓度、β-内酰胺酶活性、blaCTX-M-15表达和细胞形态学结果共同支持SBT发挥PLIEs并抑制CRO的抗菌活性。在动态空心纤维感染模型中,CRO单药治疗对大肠杆菌没有抑制作用,而CRO/SBT联合治疗迅速消除了SBT,达到了相当的杀菌效果,延长了CRO暴露时间,并保持了较低的β-内酰胺酶活性水平。结论:综上所述,CRO/SBT通过产生PLIE来维持对β-内酰胺酶的抑制作用,从而对产酶菌株产生抑制作用。
本文章由计算机程序翻译,如有差异,请以英文原文为准。

Postβ-Lactamase-Inhibiting Effect of Sulbactam in Combination with Ceftriaxone on Extended-Spectrum-β-Lactamase-Producing <i>Escherichia coli</i>.

Postβ-Lactamase-Inhibiting Effect of Sulbactam in Combination with Ceftriaxone on Extended-Spectrum-β-Lactamase-Producing <i>Escherichia coli</i>.

Postβ-Lactamase-Inhibiting Effect of Sulbactam in Combination with Ceftriaxone on Extended-Spectrum-β-Lactamase-Producing <i>Escherichia coli</i>.

Postβ-Lactamase-Inhibiting Effect of Sulbactam in Combination with Ceftriaxone on Extended-Spectrum-β-Lactamase-Producing Escherichia coli.

Background/Objectives: Extended-spectrum β-lactamase (ESBL)-producing Escherichia coli poses a significant global health challenge, as it leads to antimicrobial treatment failure and is associated with elevated mortality rates. The use of β-lactam/β-lactamase inhibitor combinations offers an alternative approach for combating ESBL-producing bacteria. Ceftriaxone (CRO) and sulbactam have been coadministered in the clinical settings; however, discrepancies in their pharmacokinetics raise concerns regarding the rationality of this combination. Methods: This study was designed to investigate the postβ-lactamase inhibitor effect (PLIE) under both static and dynamic conditions, with the aim of supporting the clinical application of this combination. Results: The minimum inhibitory concentration (MIC) of CRO/SBT (2:1 ratio) against E. coli NCTC 13353 was determined to be 32/16 μg/mL. The PLIEs were determined to be -1.26, -0.57, and 0.37 h at CRO/SBT concentrations ranging from 1/2 MIC to 2 MIC, respectively. The results of CRO concentration, β-lactamase activity, blaCTX-M-15 expression, and cell morphology collectively support that SBT exerts PLIEs and protects against the antibacterial activity of CRO. In the dynamic hollow-fiber infection model, CRO monotherapy showed no inhibitory effect on E. coli, whereas CRO/SBT combination therapy rapidly eliminated SBT, achieved comparable bactericidal effects, prolonged CRO exposure, and maintained low β-lactamase activity levels. Conclusions: In conclusion, CRO/SBT exerts an inhibitory effect on enzyme-producing strains by being able to produce PLIE to maintain the inhibition of β-lactamase.

求助全文
通过发布文献求助,成功后即可免费获取论文全文。 去求助
来源期刊
Antibiotics-Basel
Antibiotics-Basel Pharmacology, Toxicology and Pharmaceutics-General Pharmacology, Toxicology and Pharmaceutics
CiteScore
7.30
自引率
14.60%
发文量
1547
审稿时长
11 weeks
期刊介绍: Antibiotics (ISSN 2079-6382) is an open access, peer reviewed journal on all aspects of antibiotics. Antibiotics is a multi-disciplinary journal encompassing the general fields of biochemistry, chemistry, genetics, microbiology and pharmacology. Our aim is to encourage scientists to publish their experimental and theoretical results in as much detail as possible. Therefore, there is no restriction on the length of papers.
×
引用
GB/T 7714-2015
复制
MLA
复制
APA
复制
导出至
BibTeX EndNote RefMan NoteFirst NoteExpress
×
提示
您的信息不完整,为了账户安全,请先补充。
现在去补充
×
提示
您因"违规操作"
具体请查看互助需知
我知道了
×
提示
确定
请完成安全验证×
copy
已复制链接
快去分享给好友吧!
我知道了
右上角分享
点击右上角分享
0
联系我们:info@booksci.cn Book学术提供免费学术资源搜索服务,方便国内外学者检索中英文文献。致力于提供最便捷和优质的服务体验。 Copyright © 2023 布克学术 All rights reserved.
京ICP备2023020795号-1
ghs 京公网安备 11010802042870号
Book学术文献互助
Book学术文献互助群
群 号:604180095
Book学术官方微信