急诊科的急性眩晕、头晕和失衡——不包括中风和急性单侧前庭病变——述评

IF 2.8 3区 医学 Q3 NEUROSCIENCES
Sun-Uk Lee, Jonathan A Edlow, Alexander A Tarnutzer
{"title":"急诊科的急性眩晕、头晕和失衡——不包括中风和急性单侧前庭病变——述评","authors":"Sun-Uk Lee, Jonathan A Edlow, Alexander A Tarnutzer","doi":"10.3390/brainsci15090995","DOIUrl":null,"url":null,"abstract":"<p><p>New-onset vertigo, dizziness and gait imbalance are amongst the most common symptoms presenting to the emergency department, accounting for 2.1-4.4% of all patients. The broad spectrum of underlying causes in these patients cuts across many specialties, which often results in diagnostic challenges. For patients meeting the diagnostic criteria for acute vestibular syndrome (AVS, i.e., presenting with acute-onset prolonged vertigo/dizziness with accompanying gait imbalance, motion intolerance, nausea/vomiting, with or without nystagmus), the typical differential diagnosis is vertebrobasilar stroke and acute unilateral vestibulopathy. However, other disorders may also present with AVS. These include non-neurological causes such as drug side-effects or intoxication, electrolyte disturbances, cardiac disease, severe anemia, carbon monoxide poisoning, endocrine disorders and others. Other non-stroke neurological disorders may also present with AVS or episodic vertigo/dizziness, including demyelinating CNS diseases, posterior fossa mass lesions, acute thiamine deficiency and vestibular migraine. Furthermore, acute physiological abnormalities (e.g., hypotension, fever, severe anemia) may unmask previous vestibular impairments that had been well-compensated. Here, we review the diagnostic approach to patients with acute-onset dizziness in the emergency room and discuss the most important differential diagnoses beyond stroke and acute unilateral vestibulopathy.</p>","PeriodicalId":9095,"journal":{"name":"Brain Sciences","volume":"15 9","pages":""},"PeriodicalIF":2.8000,"publicationDate":"2025-09-15","publicationTypes":"Journal Article","fieldsOfStudy":null,"isOpenAccess":false,"openAccessPdf":"https://www.ncbi.nlm.nih.gov/pmc/articles/PMC12467902/pdf/","citationCount":"0","resultStr":"{\"title\":\"Acute Vertigo, Dizziness and Imbalance in the Emergency Department-Beyond Stroke and Acute Unilateral Vestibulopathy-A Narrative Review.\",\"authors\":\"Sun-Uk Lee, Jonathan A Edlow, Alexander A Tarnutzer\",\"doi\":\"10.3390/brainsci15090995\",\"DOIUrl\":null,\"url\":null,\"abstract\":\"<p><p>New-onset vertigo, dizziness and gait imbalance are amongst the most common symptoms presenting to the emergency department, accounting for 2.1-4.4% of all patients. The broad spectrum of underlying causes in these patients cuts across many specialties, which often results in diagnostic challenges. For patients meeting the diagnostic criteria for acute vestibular syndrome (AVS, i.e., presenting with acute-onset prolonged vertigo/dizziness with accompanying gait imbalance, motion intolerance, nausea/vomiting, with or without nystagmus), the typical differential diagnosis is vertebrobasilar stroke and acute unilateral vestibulopathy. However, other disorders may also present with AVS. These include non-neurological causes such as drug side-effects or intoxication, electrolyte disturbances, cardiac disease, severe anemia, carbon monoxide poisoning, endocrine disorders and others. Other non-stroke neurological disorders may also present with AVS or episodic vertigo/dizziness, including demyelinating CNS diseases, posterior fossa mass lesions, acute thiamine deficiency and vestibular migraine. Furthermore, acute physiological abnormalities (e.g., hypotension, fever, severe anemia) may unmask previous vestibular impairments that had been well-compensated. Here, we review the diagnostic approach to patients with acute-onset dizziness in the emergency room and discuss the most important differential diagnoses beyond stroke and acute unilateral vestibulopathy.</p>\",\"PeriodicalId\":9095,\"journal\":{\"name\":\"Brain Sciences\",\"volume\":\"15 9\",\"pages\":\"\"},\"PeriodicalIF\":2.8000,\"publicationDate\":\"2025-09-15\",\"publicationTypes\":\"Journal Article\",\"fieldsOfStudy\":null,\"isOpenAccess\":false,\"openAccessPdf\":\"https://www.ncbi.nlm.nih.gov/pmc/articles/PMC12467902/pdf/\",\"citationCount\":\"0\",\"resultStr\":null,\"platform\":\"Semanticscholar\",\"paperid\":null,\"PeriodicalName\":\"Brain Sciences\",\"FirstCategoryId\":\"3\",\"ListUrlMain\":\"https://doi.org/10.3390/brainsci15090995\",\"RegionNum\":3,\"RegionCategory\":\"医学\",\"ArticlePicture\":[],\"TitleCN\":null,\"AbstractTextCN\":null,\"PMCID\":null,\"EPubDate\":\"\",\"PubModel\":\"\",\"JCR\":\"Q3\",\"JCRName\":\"NEUROSCIENCES\",\"Score\":null,\"Total\":0}","platform":"Semanticscholar","paperid":null,"PeriodicalName":"Brain Sciences","FirstCategoryId":"3","ListUrlMain":"https://doi.org/10.3390/brainsci15090995","RegionNum":3,"RegionCategory":"医学","ArticlePicture":[],"TitleCN":null,"AbstractTextCN":null,"PMCID":null,"EPubDate":"","PubModel":"","JCR":"Q3","JCRName":"NEUROSCIENCES","Score":null,"Total":0}
引用次数: 0

摘要

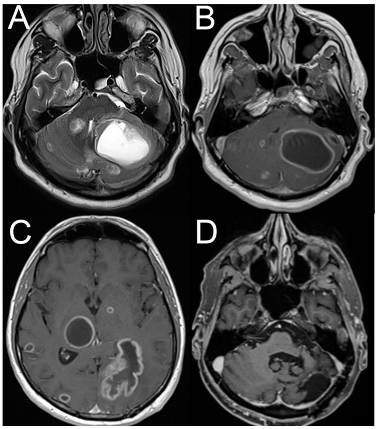
新发眩晕、头晕和步态不平衡是急诊科最常见的症状,占所有患者的2.1-4.4%。这些患者的潜在病因范围广泛,涉及许多专业,这往往导致诊断上的挑战。对于符合急性前庭综合征(AVS)诊断标准的患者,即表现为急性发作的持续性眩晕/头晕,伴有步态不平衡、运动不耐受、恶心/呕吐,伴或不伴眼球震颤),典型的鉴别诊断为椎基底动脉卒中和急性单侧前庭病变。然而,其他疾病也可能出现AVS。这些包括非神经系统原因,如药物副作用或中毒、电解质紊乱、心脏病、严重贫血、一氧化碳中毒、内分泌失调等。其他非卒中性神经系统疾病也可能出现AVS或发作性眩晕/头晕,包括脱髓鞘性中枢神经系统疾病、后窝肿块病变、急性硫胺素缺乏症和前庭偏头痛。此外,急性生理异常(如低血压、发烧、严重贫血)可能会暴露先前已得到良好补偿的前庭损伤。在此,我们回顾急症室急性起病头晕的诊断方法,并讨论除中风和急性单侧前庭病变外最重要的鉴别诊断。
本文章由计算机程序翻译,如有差异,请以英文原文为准。

Acute Vertigo, Dizziness and Imbalance in the Emergency Department-Beyond Stroke and Acute Unilateral Vestibulopathy-A Narrative Review.

Acute Vertigo, Dizziness and Imbalance in the Emergency Department-Beyond Stroke and Acute Unilateral Vestibulopathy-A Narrative Review.

Acute Vertigo, Dizziness and Imbalance in the Emergency Department-Beyond Stroke and Acute Unilateral Vestibulopathy-A Narrative Review.

Acute Vertigo, Dizziness and Imbalance in the Emergency Department-Beyond Stroke and Acute Unilateral Vestibulopathy-A Narrative Review.

New-onset vertigo, dizziness and gait imbalance are amongst the most common symptoms presenting to the emergency department, accounting for 2.1-4.4% of all patients. The broad spectrum of underlying causes in these patients cuts across many specialties, which often results in diagnostic challenges. For patients meeting the diagnostic criteria for acute vestibular syndrome (AVS, i.e., presenting with acute-onset prolonged vertigo/dizziness with accompanying gait imbalance, motion intolerance, nausea/vomiting, with or without nystagmus), the typical differential diagnosis is vertebrobasilar stroke and acute unilateral vestibulopathy. However, other disorders may also present with AVS. These include non-neurological causes such as drug side-effects or intoxication, electrolyte disturbances, cardiac disease, severe anemia, carbon monoxide poisoning, endocrine disorders and others. Other non-stroke neurological disorders may also present with AVS or episodic vertigo/dizziness, including demyelinating CNS diseases, posterior fossa mass lesions, acute thiamine deficiency and vestibular migraine. Furthermore, acute physiological abnormalities (e.g., hypotension, fever, severe anemia) may unmask previous vestibular impairments that had been well-compensated. Here, we review the diagnostic approach to patients with acute-onset dizziness in the emergency room and discuss the most important differential diagnoses beyond stroke and acute unilateral vestibulopathy.

求助全文
通过发布文献求助,成功后即可免费获取论文全文。 去求助
来源期刊
Brain Sciences
Brain Sciences Neuroscience-General Neuroscience
CiteScore
4.80
自引率
9.10%
发文量
1472
审稿时长
18.71 days
期刊介绍: Brain Sciences (ISSN 2076-3425) is a peer-reviewed scientific journal that publishes original articles, critical reviews, research notes and short communications in the areas of cognitive neuroscience, developmental neuroscience, molecular and cellular neuroscience, neural engineering, neuroimaging, neurolinguistics, neuropathy, systems neuroscience, and theoretical and computational neuroscience. Our aim is to encourage scientists to publish their experimental and theoretical results in as much detail as possible. There is no restriction on the length of the papers. The full experimental details must be provided so that the results can be reproduced. Electronic files or software regarding the full details of the calculation and experimental procedure, if unable to be published in a normal way, can be deposited as supplementary material.
×
引用
GB/T 7714-2015
复制
MLA
复制
APA
复制
导出至
BibTeX EndNote RefMan NoteFirst NoteExpress
×
提示
您的信息不完整,为了账户安全,请先补充。
现在去补充
×
提示
您因"违规操作"
具体请查看互助需知
我知道了
×
提示
确定
请完成安全验证×
copy
已复制链接
快去分享给好友吧!
我知道了
右上角分享
点击右上角分享
0
联系我们:info@booksci.cn Book学术提供免费学术资源搜索服务,方便国内外学者检索中英文文献。致力于提供最便捷和优质的服务体验。 Copyright © 2023 布克学术 All rights reserved.
京ICP备2023020795号-1
ghs 京公网安备 11010802042870号
Book学术文献互助
Book学术文献互助群
群 号:604180095
Book学术官方微信