人类前列腺上皮内瘤变和前列腺癌中氧化应激水平升高:来自4-羟基检测的证据及其意义

IF 6.6 2区 医学 Q1 BIOCHEMISTRY & MOLECULAR BIOLOGY
Geou-Yarh Liou, Woojung Kim, Tamiya M Hobbs
{"title":"人类前列腺上皮内瘤变和前列腺癌中氧化应激水平升高:来自4-羟基检测的证据及其意义","authors":"Geou-Yarh Liou, Woojung Kim, Tamiya M Hobbs","doi":"10.3390/antiox14091060","DOIUrl":null,"url":null,"abstract":"<p><p>Prostate cancer is not only the most common type of cancer in elderly American men but also the 2nd leading cause of cancer death in American men. The currently available treatments in clinics target male hormones that are majorly required for maintaining many physiological functions, including muscle strength, leading to poor life quality and subsequent patient-opted intermittent treatment. Aging is a key factor in prostate cancer that is associated with increased levels of oxidative stress. Several lines of evidence indicated elevated levels of reactive oxygen species (ROS) in prostate cancer, including its precursor, prostate intraepithelial neoplasia (PIN). In this current study, we utilized 4-hydroxynonenal (4HNE) as a general readout for overall oxidative stress to demonstrate the imbalance between ROS and antioxidants in human prostate cancer and its precursor lesion in both human culture cell lines and tissue samples. Our results showed that the production of 4HNE adducts was increased in human prostate cancer cells and was non-linearly correlated with prostate cancer stage. They also provided insight into prevention and potential therapeutic strategies for prostate cancer.</p>","PeriodicalId":7984,"journal":{"name":"Antioxidants","volume":"14 9","pages":""},"PeriodicalIF":6.6000,"publicationDate":"2025-08-28","publicationTypes":"Journal Article","fieldsOfStudy":null,"isOpenAccess":false,"openAccessPdf":"https://www.ncbi.nlm.nih.gov/pmc/articles/PMC12466649/pdf/","citationCount":"0","resultStr":"{\"title\":\"Increased Levels of Oxidative Stress in Human Prostate Intraepithelial Neoplasia and Prostate Cancer: Evidence from 4-Hydroxyneonal Detection and Its Implications.\",\"authors\":\"Geou-Yarh Liou, Woojung Kim, Tamiya M Hobbs\",\"doi\":\"10.3390/antiox14091060\",\"DOIUrl\":null,\"url\":null,\"abstract\":\"<p><p>Prostate cancer is not only the most common type of cancer in elderly American men but also the 2nd leading cause of cancer death in American men. The currently available treatments in clinics target male hormones that are majorly required for maintaining many physiological functions, including muscle strength, leading to poor life quality and subsequent patient-opted intermittent treatment. Aging is a key factor in prostate cancer that is associated with increased levels of oxidative stress. Several lines of evidence indicated elevated levels of reactive oxygen species (ROS) in prostate cancer, including its precursor, prostate intraepithelial neoplasia (PIN). In this current study, we utilized 4-hydroxynonenal (4HNE) as a general readout for overall oxidative stress to demonstrate the imbalance between ROS and antioxidants in human prostate cancer and its precursor lesion in both human culture cell lines and tissue samples. Our results showed that the production of 4HNE adducts was increased in human prostate cancer cells and was non-linearly correlated with prostate cancer stage. They also provided insight into prevention and potential therapeutic strategies for prostate cancer.</p>\",\"PeriodicalId\":7984,\"journal\":{\"name\":\"Antioxidants\",\"volume\":\"14 9\",\"pages\":\"\"},\"PeriodicalIF\":6.6000,\"publicationDate\":\"2025-08-28\",\"publicationTypes\":\"Journal Article\",\"fieldsOfStudy\":null,\"isOpenAccess\":false,\"openAccessPdf\":\"https://www.ncbi.nlm.nih.gov/pmc/articles/PMC12466649/pdf/\",\"citationCount\":\"0\",\"resultStr\":null,\"platform\":\"Semanticscholar\",\"paperid\":null,\"PeriodicalName\":\"Antioxidants\",\"FirstCategoryId\":\"3\",\"ListUrlMain\":\"https://doi.org/10.3390/antiox14091060\",\"RegionNum\":2,\"RegionCategory\":\"医学\",\"ArticlePicture\":[],\"TitleCN\":null,\"AbstractTextCN\":null,\"PMCID\":null,\"EPubDate\":\"\",\"PubModel\":\"\",\"JCR\":\"Q1\",\"JCRName\":\"BIOCHEMISTRY & MOLECULAR BIOLOGY\",\"Score\":null,\"Total\":0}","platform":"Semanticscholar","paperid":null,"PeriodicalName":"Antioxidants","FirstCategoryId":"3","ListUrlMain":"https://doi.org/10.3390/antiox14091060","RegionNum":2,"RegionCategory":"医学","ArticlePicture":[],"TitleCN":null,"AbstractTextCN":null,"PMCID":null,"EPubDate":"","PubModel":"","JCR":"Q1","JCRName":"BIOCHEMISTRY & MOLECULAR BIOLOGY","Score":null,"Total":0}
引用次数: 0

摘要

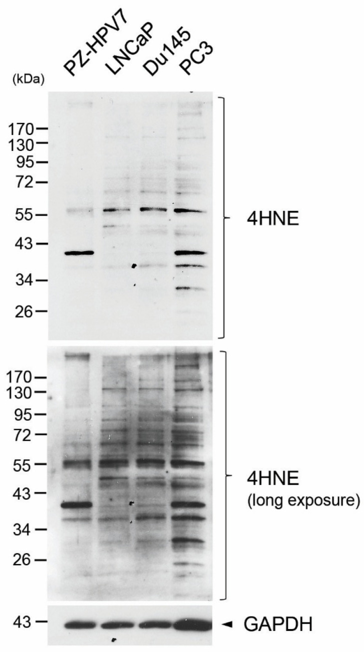
前列腺癌不仅是美国老年男性中最常见的癌症类型,也是美国男性癌症死亡的第二大原因。目前临床上可用的治疗方法主要针对维持许多生理功能(包括肌肉力量)所需的男性激素,导致生活质量差和随后患者选择间歇性治疗。衰老是前列腺癌的一个关键因素,它与氧化应激水平的增加有关。多项证据表明前列腺癌中活性氧(ROS)水平升高,包括其前体前列腺上皮内瘤变(PIN)。在本研究中,我们利用4-羟基壬烯醛(4HNE)作为总体氧化应激的一般读数,以证明在人类培养细胞系和组织样本中,人类前列腺癌及其前体病变中ROS和抗氧化剂之间的不平衡。我们的研究结果表明,4HNE加合物在人前列腺癌细胞中增加,并与前列腺癌分期呈非线性相关。他们还为前列腺癌的预防和潜在治疗策略提供了见解。
本文章由计算机程序翻译,如有差异,请以英文原文为准。

Increased Levels of Oxidative Stress in Human Prostate Intraepithelial Neoplasia and Prostate Cancer: Evidence from 4-Hydroxyneonal Detection and Its Implications.

Increased Levels of Oxidative Stress in Human Prostate Intraepithelial Neoplasia and Prostate Cancer: Evidence from 4-Hydroxyneonal Detection and Its Implications.

Increased Levels of Oxidative Stress in Human Prostate Intraepithelial Neoplasia and Prostate Cancer: Evidence from 4-Hydroxyneonal Detection and Its Implications.

Increased Levels of Oxidative Stress in Human Prostate Intraepithelial Neoplasia and Prostate Cancer: Evidence from 4-Hydroxyneonal Detection and Its Implications.

Prostate cancer is not only the most common type of cancer in elderly American men but also the 2nd leading cause of cancer death in American men. The currently available treatments in clinics target male hormones that are majorly required for maintaining many physiological functions, including muscle strength, leading to poor life quality and subsequent patient-opted intermittent treatment. Aging is a key factor in prostate cancer that is associated with increased levels of oxidative stress. Several lines of evidence indicated elevated levels of reactive oxygen species (ROS) in prostate cancer, including its precursor, prostate intraepithelial neoplasia (PIN). In this current study, we utilized 4-hydroxynonenal (4HNE) as a general readout for overall oxidative stress to demonstrate the imbalance between ROS and antioxidants in human prostate cancer and its precursor lesion in both human culture cell lines and tissue samples. Our results showed that the production of 4HNE adducts was increased in human prostate cancer cells and was non-linearly correlated with prostate cancer stage. They also provided insight into prevention and potential therapeutic strategies for prostate cancer.

求助全文
通过发布文献求助,成功后即可免费获取论文全文。 去求助
来源期刊
Antioxidants
Antioxidants Biochemistry, Genetics and Molecular Biology-Physiology
CiteScore
10.60
自引率
11.40%
发文量
2123
审稿时长
16.3 days
期刊介绍: Antioxidants (ISSN 2076-3921), provides an advanced forum for studies related to the science and technology of antioxidants. It publishes research papers, reviews and communications. Our aim is to encourage scientists to publish their experimental and theoretical results in as much detail as possible. There is no restriction on the length of the papers. The full experimental details must be provided so that the results can be reproduced. Electronic files and software regarding the full details of the calculation or experimental procedure, if unable to be published in a normal way, can be deposited as supplementary electronic material.
×
引用
GB/T 7714-2015
复制
MLA
复制
APA
复制
导出至
BibTeX EndNote RefMan NoteFirst NoteExpress
×
提示
您的信息不完整,为了账户安全,请先补充。
现在去补充
×
提示
您因"违规操作"
具体请查看互助需知
我知道了
×
提示
确定
请完成安全验证×
copy
已复制链接
快去分享给好友吧!
我知道了
右上角分享
点击右上角分享
0
联系我们:info@booksci.cn Book学术提供免费学术资源搜索服务,方便国内外学者检索中英文文献。致力于提供最便捷和优质的服务体验。 Copyright © 2023 布克学术 All rights reserved.
京ICP备2023020795号-1
ghs 京公网安备 11010802042870号
Book学术文献互助
Book学术文献互助群
群 号:604180095
Book学术官方微信