低剂量甲基强的松龙与高剂量甲基强的松龙治疗重症肺炎支原体肺炎(MCMP):一项随机对照试验

IF 2 4区 医学 Q2 PEDIATRICS
Pediatric Investigation Pub Date : 2025-07-24 eCollection Date: 2025-09-01 DOI:10.1002/ped4.70014
Baoping Xu, Ling Cao, Yunxiao Shang, Liping Liu, Liwei Gao, Ju Yin, Jun Liu, Ruohua Yan, Bo Peng, Yong Feng, Zhiying Han, Yao Yao, Wenhui Guo, Nan Yang, Jie Chang, Yiqin Song, Hao Wang, Xirong Wu, Xinyu Wang, Ning Chen, Xiaojuan Zhang, He Zhang, Anxia Jiao, Adong Shen, Keqing Zhang, Yan Yang, John S Ji, Xiaoxia Peng, Kunling Shen
{"title":"低剂量甲基强的松龙与高剂量甲基强的松龙治疗重症肺炎支原体肺炎(MCMP):一项随机对照试验","authors":"Baoping Xu, Ling Cao, Yunxiao Shang, Liping Liu, Liwei Gao, Ju Yin, Jun Liu, Ruohua Yan, Bo Peng, Yong Feng, Zhiying Han, Yao Yao, Wenhui Guo, Nan Yang, Jie Chang, Yiqin Song, Hao Wang, Xirong Wu, Xinyu Wang, Ning Chen, Xiaojuan Zhang, He Zhang, Anxia Jiao, Adong Shen, Keqing Zhang, Yan Yang, John S Ji, Xiaoxia Peng, Kunling Shen","doi":"10.1002/ped4.70014","DOIUrl":null,"url":null,"abstract":"<p><strong>Importance: </strong>Although macrolides combined with glucocorticoid therapy have demonstrated efficacy in preventing long-term pulmonary lesions of severe <i>Mycoplasma pneumoniae</i> pneumonia (MPP), evidence regarding glucocorticoid dose is lacking.</p><p><strong>Objective: </strong>To evaluate the effects of low- and high-dose methylprednisolone on the risk of long-term pulmonary lesions for children with severe MPP when combined with azithromycin.</p><p><strong>Methods: </strong>This randomized, parallel-controlled, multicenter clinical trial was conducted in mainland China and enrolled pediatric patients hospitalized with severe MPP. A total of 424 enrolled patients were randomized (allocation ratio of 1:1) to azithromycin combined with either a low-dose [2 mg/(kg·d)] or a high-dose [10 mg/(kg·d)] methylprednisolone treatment for 3 d followed by tapering over 12 d. The primary outcome was the incidence of composite adverse outcomes, including atelectasis, bronchiectasis, or bronchiolitis obliterans 6 months after treatment.</p><p><strong>Results: </strong>A total of 118 (27.8%) developed adverse pulmonary lesions at 6 months after treatment; 66 of 211 (31.3%) in the high-dose methylprednisolone group and 52 of 213 (24.4%) in the low-dose group, respectively. The risk ratio of long-term pulmonary lesions in a high-dose group to those in a low-dose group was 1.28 (95% confidence interval [95% CI]: 0.94-1.75). In addition, the risk of hypertension in the high-dose group (8.1%, 17 of 211) was higher than that in the low-dose group (1.4%, three of 213), with a risk ratio of 5.72 (95% CI: 1.70-19.23).</p><p><strong>Interpretation: </strong>Azithromycin combined with low-dose methylprednisolone demonstrates non-inferior efficacy in reducing pulmonary lesions at 6-month follow-up compared to combined with high-dose methylprednisolone while exhibiting a more favorable safety profile.</p>","PeriodicalId":19992,"journal":{"name":"Pediatric Investigation","volume":"9 3","pages":"251-261"},"PeriodicalIF":2.0000,"publicationDate":"2025-07-24","publicationTypes":"Journal Article","fieldsOfStudy":null,"isOpenAccess":false,"openAccessPdf":"https://www.ncbi.nlm.nih.gov/pmc/articles/PMC12442439/pdf/","citationCount":"0","resultStr":"{\"title\":\"Low-dose versus high-dose methylprednisolone for children with severe <i>Mycoplasma pneumoniae</i> pneumonia (MCMP): A randomized controlled trial.\",\"authors\":\"Baoping Xu, Ling Cao, Yunxiao Shang, Liping Liu, Liwei Gao, Ju Yin, Jun Liu, Ruohua Yan, Bo Peng, Yong Feng, Zhiying Han, Yao Yao, Wenhui Guo, Nan Yang, Jie Chang, Yiqin Song, Hao Wang, Xirong Wu, Xinyu Wang, Ning Chen, Xiaojuan Zhang, He Zhang, Anxia Jiao, Adong Shen, Keqing Zhang, Yan Yang, John S Ji, Xiaoxia Peng, Kunling Shen\",\"doi\":\"10.1002/ped4.70014\",\"DOIUrl\":null,\"url\":null,\"abstract\":\"<p><strong>Importance: </strong>Although macrolides combined with glucocorticoid therapy have demonstrated efficacy in preventing long-term pulmonary lesions of severe <i>Mycoplasma pneumoniae</i> pneumonia (MPP), evidence regarding glucocorticoid dose is lacking.</p><p><strong>Objective: </strong>To evaluate the effects of low- and high-dose methylprednisolone on the risk of long-term pulmonary lesions for children with severe MPP when combined with azithromycin.</p><p><strong>Methods: </strong>This randomized, parallel-controlled, multicenter clinical trial was conducted in mainland China and enrolled pediatric patients hospitalized with severe MPP. A total of 424 enrolled patients were randomized (allocation ratio of 1:1) to azithromycin combined with either a low-dose [2 mg/(kg·d)] or a high-dose [10 mg/(kg·d)] methylprednisolone treatment for 3 d followed by tapering over 12 d. The primary outcome was the incidence of composite adverse outcomes, including atelectasis, bronchiectasis, or bronchiolitis obliterans 6 months after treatment.</p><p><strong>Results: </strong>A total of 118 (27.8%) developed adverse pulmonary lesions at 6 months after treatment; 66 of 211 (31.3%) in the high-dose methylprednisolone group and 52 of 213 (24.4%) in the low-dose group, respectively. The risk ratio of long-term pulmonary lesions in a high-dose group to those in a low-dose group was 1.28 (95% confidence interval [95% CI]: 0.94-1.75). In addition, the risk of hypertension in the high-dose group (8.1%, 17 of 211) was higher than that in the low-dose group (1.4%, three of 213), with a risk ratio of 5.72 (95% CI: 1.70-19.23).</p><p><strong>Interpretation: </strong>Azithromycin combined with low-dose methylprednisolone demonstrates non-inferior efficacy in reducing pulmonary lesions at 6-month follow-up compared to combined with high-dose methylprednisolone while exhibiting a more favorable safety profile.</p>\",\"PeriodicalId\":19992,\"journal\":{\"name\":\"Pediatric Investigation\",\"volume\":\"9 3\",\"pages\":\"251-261\"},\"PeriodicalIF\":2.0000,\"publicationDate\":\"2025-07-24\",\"publicationTypes\":\"Journal Article\",\"fieldsOfStudy\":null,\"isOpenAccess\":false,\"openAccessPdf\":\"https://www.ncbi.nlm.nih.gov/pmc/articles/PMC12442439/pdf/\",\"citationCount\":\"0\",\"resultStr\":null,\"platform\":\"Semanticscholar\",\"paperid\":null,\"PeriodicalName\":\"Pediatric Investigation\",\"FirstCategoryId\":\"3\",\"ListUrlMain\":\"https://doi.org/10.1002/ped4.70014\",\"RegionNum\":4,\"RegionCategory\":\"医学\",\"ArticlePicture\":[],\"TitleCN\":null,\"AbstractTextCN\":null,\"PMCID\":null,\"EPubDate\":\"2025/9/1 0:00:00\",\"PubModel\":\"eCollection\",\"JCR\":\"Q2\",\"JCRName\":\"PEDIATRICS\",\"Score\":null,\"Total\":0}","platform":"Semanticscholar","paperid":null,"PeriodicalName":"Pediatric Investigation","FirstCategoryId":"3","ListUrlMain":"https://doi.org/10.1002/ped4.70014","RegionNum":4,"RegionCategory":"医学","ArticlePicture":[],"TitleCN":null,"AbstractTextCN":null,"PMCID":null,"EPubDate":"2025/9/1 0:00:00","PubModel":"eCollection","JCR":"Q2","JCRName":"PEDIATRICS","Score":null,"Total":0}
引用次数: 0

摘要

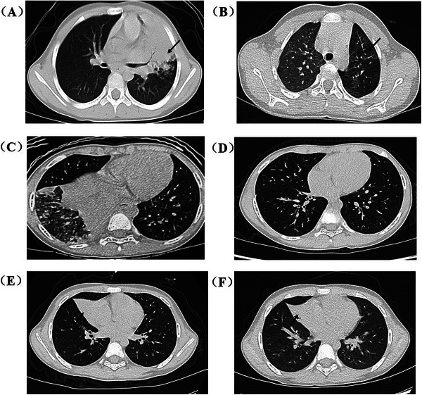
重要性:尽管大环内酯类药物联合糖皮质激素治疗在预防重症肺炎支原体肺炎(MPP)的长期肺部病变方面已被证明有效,但关于糖皮质激素剂量的证据尚缺乏。目的:评价低剂量和高剂量甲基强的松龙联合阿奇霉素对重度MPP患儿长期肺部病变风险的影响。方法:这项随机、平行对照、多中心临床试验在中国大陆进行,纳入了住院的重症MPP患儿。共有424名入组患者被随机分配(分配比例为1:1)至阿奇霉素联合低剂量[2 mg/(kg·d)]或高剂量[10 mg/(kg·d)]甲基强的松龙治疗3 d,然后逐渐减少治疗12 d。主要结局是复合不良结局的发生率,包括治疗后6个月肺不张、支气管扩张或闭塞性细支气管炎。结果:治疗后6个月,共有118例(27.8%)出现肺部不良病变;高剂量甲基强的松龙组211例中66例(31.3%),低剂量组213例中52例(24.4%)。高剂量组与低剂量组发生长期肺部病变的风险比为1.28(95%可信区间[95% CI]: 0.94-1.75)。此外,高剂量组发生高血压的风险(8.1%,211人中17人)高于低剂量组(1.4%,213人中3人),风险比为5.72 (95% CI: 1.70 ~ 19.23)。解释:在6个月的随访中,阿奇霉素联合低剂量甲基强的松龙在减少肺部病变方面的疗效不逊于联合高剂量甲基强的松龙,同时显示出更有利的安全性。
本文章由计算机程序翻译,如有差异,请以英文原文为准。

Low-dose versus high-dose methylprednisolone for children with severe <i>Mycoplasma pneumoniae</i> pneumonia (MCMP): A randomized controlled trial.

Low-dose versus high-dose methylprednisolone for children with severe <i>Mycoplasma pneumoniae</i> pneumonia (MCMP): A randomized controlled trial.

Low-dose versus high-dose methylprednisolone for children with severe <i>Mycoplasma pneumoniae</i> pneumonia (MCMP): A randomized controlled trial.

Low-dose versus high-dose methylprednisolone for children with severe Mycoplasma pneumoniae pneumonia (MCMP): A randomized controlled trial.

Importance: Although macrolides combined with glucocorticoid therapy have demonstrated efficacy in preventing long-term pulmonary lesions of severe Mycoplasma pneumoniae pneumonia (MPP), evidence regarding glucocorticoid dose is lacking.

Objective: To evaluate the effects of low- and high-dose methylprednisolone on the risk of long-term pulmonary lesions for children with severe MPP when combined with azithromycin.

Methods: This randomized, parallel-controlled, multicenter clinical trial was conducted in mainland China and enrolled pediatric patients hospitalized with severe MPP. A total of 424 enrolled patients were randomized (allocation ratio of 1:1) to azithromycin combined with either a low-dose [2 mg/(kg·d)] or a high-dose [10 mg/(kg·d)] methylprednisolone treatment for 3 d followed by tapering over 12 d. The primary outcome was the incidence of composite adverse outcomes, including atelectasis, bronchiectasis, or bronchiolitis obliterans 6 months after treatment.

Results: A total of 118 (27.8%) developed adverse pulmonary lesions at 6 months after treatment; 66 of 211 (31.3%) in the high-dose methylprednisolone group and 52 of 213 (24.4%) in the low-dose group, respectively. The risk ratio of long-term pulmonary lesions in a high-dose group to those in a low-dose group was 1.28 (95% confidence interval [95% CI]: 0.94-1.75). In addition, the risk of hypertension in the high-dose group (8.1%, 17 of 211) was higher than that in the low-dose group (1.4%, three of 213), with a risk ratio of 5.72 (95% CI: 1.70-19.23).

Interpretation: Azithromycin combined with low-dose methylprednisolone demonstrates non-inferior efficacy in reducing pulmonary lesions at 6-month follow-up compared to combined with high-dose methylprednisolone while exhibiting a more favorable safety profile.

求助全文
通过发布文献求助,成功后即可免费获取论文全文。 去求助
来源期刊
Pediatric Investigation
Pediatric Investigation Medicine-Pediatrics, Perinatology and Child Health
CiteScore
3.30
自引率
0.00%
发文量
176
审稿时长
12 weeks
×
引用
GB/T 7714-2015
复制
MLA
复制
APA
复制
导出至
BibTeX EndNote RefMan NoteFirst NoteExpress
×
提示
您的信息不完整,为了账户安全,请先补充。
现在去补充
×
提示
您因"违规操作"
具体请查看互助需知
我知道了
×
提示
确定
请完成安全验证×
copy
已复制链接
快去分享给好友吧!
我知道了
右上角分享
点击右上角分享
0
联系我们:info@booksci.cn Book学术提供免费学术资源搜索服务,方便国内外学者检索中英文文献。致力于提供最便捷和优质的服务体验。 Copyright © 2023 布克学术 All rights reserved.
京ICP备2023020795号-1
ghs 京公网安备 11010802042870号
Book学术文献互助
Book学术文献互助群
群 号:604180095
Book学术官方微信