医源性脑淀粉样血管病:两例新病例及神经病理资料病例报告的系统回顾。

IF 3.2 Q2 Medicine
Ana Sofia Costa, João Pinho, Arno Reich, Omid Nikoubashman, Kay Nolte, Joachim Weis, Christian Boy, Felix M Mottaghy, Jörg B Schulz, Kathrin Reetz
{"title":"医源性脑淀粉样血管病:两例新病例及神经病理资料病例报告的系统回顾。","authors":"Ana Sofia Costa, João Pinho, Arno Reich, Omid Nikoubashman, Kay Nolte, Joachim Weis, Christian Boy, Felix M Mottaghy, Jörg B Schulz, Kathrin Reetz","doi":"10.1186/s42466-025-00423-x","DOIUrl":null,"url":null,"abstract":"<p><p>Awareness concerning iatrogenic cerebral amyloid angiopathy (iCAA) is increasing but its pathophysiology remains unclear. We discuss the implications of the clinical, imaging and neuropathological findings in two previously unpublished cases of probable iCAA: a 55-year-old female presenting with rapidly progressive cognitive impairment, showing imaging and histological evidence of CAA and having undergone neurosurgical treatment at the age of 6; and a 56-year-old male with a four-year history of recurring intracerebral hemorrhages (ICH) and neurosurgical intervention at the age of 5. In the first case, a brain biopsy was performed.Additionally, a systematic review of iCAA cases with neuropathological data suggests that most of the patients have concomitant amyloid parenchymal deposition and none or minimal tau pathology. The pathophysiological role of tau pathology in iCAA remains unclear. iCAA patients presenting with cognitive impairment without symptomatic ICH may be underdiagnosed.</p>","PeriodicalId":94156,"journal":{"name":"Neurological research and practice","volume":"7 1","pages":"63"},"PeriodicalIF":3.2000,"publicationDate":"2025-09-03","publicationTypes":"Journal Article","fieldsOfStudy":null,"isOpenAccess":false,"openAccessPdf":"https://www.ncbi.nlm.nih.gov/pmc/articles/PMC12409930/pdf/","citationCount":"0","resultStr":"{\"title\":\"Iatrogenic cerebral amyloid angiopathy: two new cases and systematic review of case reports with neuropathological data.\",\"authors\":\"Ana Sofia Costa, João Pinho, Arno Reich, Omid Nikoubashman, Kay Nolte, Joachim Weis, Christian Boy, Felix M Mottaghy, Jörg B Schulz, Kathrin Reetz\",\"doi\":\"10.1186/s42466-025-00423-x\",\"DOIUrl\":null,\"url\":null,\"abstract\":\"<p><p>Awareness concerning iatrogenic cerebral amyloid angiopathy (iCAA) is increasing but its pathophysiology remains unclear. We discuss the implications of the clinical, imaging and neuropathological findings in two previously unpublished cases of probable iCAA: a 55-year-old female presenting with rapidly progressive cognitive impairment, showing imaging and histological evidence of CAA and having undergone neurosurgical treatment at the age of 6; and a 56-year-old male with a four-year history of recurring intracerebral hemorrhages (ICH) and neurosurgical intervention at the age of 5. In the first case, a brain biopsy was performed.Additionally, a systematic review of iCAA cases with neuropathological data suggests that most of the patients have concomitant amyloid parenchymal deposition and none or minimal tau pathology. The pathophysiological role of tau pathology in iCAA remains unclear. iCAA patients presenting with cognitive impairment without symptomatic ICH may be underdiagnosed.</p>\",\"PeriodicalId\":94156,\"journal\":{\"name\":\"Neurological research and practice\",\"volume\":\"7 1\",\"pages\":\"63\"},\"PeriodicalIF\":3.2000,\"publicationDate\":\"2025-09-03\",\"publicationTypes\":\"Journal Article\",\"fieldsOfStudy\":null,\"isOpenAccess\":false,\"openAccessPdf\":\"https://www.ncbi.nlm.nih.gov/pmc/articles/PMC12409930/pdf/\",\"citationCount\":\"0\",\"resultStr\":null,\"platform\":\"Semanticscholar\",\"paperid\":null,\"PeriodicalName\":\"Neurological research and practice\",\"FirstCategoryId\":\"1085\",\"ListUrlMain\":\"https://doi.org/10.1186/s42466-025-00423-x\",\"RegionNum\":0,\"RegionCategory\":null,\"ArticlePicture\":[],\"TitleCN\":null,\"AbstractTextCN\":null,\"PMCID\":null,\"EPubDate\":\"\",\"PubModel\":\"\",\"JCR\":\"Q2\",\"JCRName\":\"Medicine\",\"Score\":null,\"Total\":0}","platform":"Semanticscholar","paperid":null,"PeriodicalName":"Neurological research and practice","FirstCategoryId":"1085","ListUrlMain":"https://doi.org/10.1186/s42466-025-00423-x","RegionNum":0,"RegionCategory":null,"ArticlePicture":[],"TitleCN":null,"AbstractTextCN":null,"PMCID":null,"EPubDate":"","PubModel":"","JCR":"Q2","JCRName":"Medicine","Score":null,"Total":0}
引用次数: 0

摘要

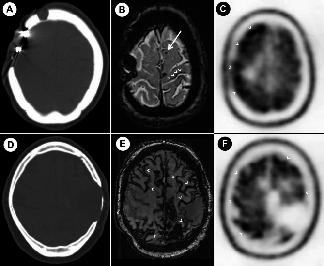
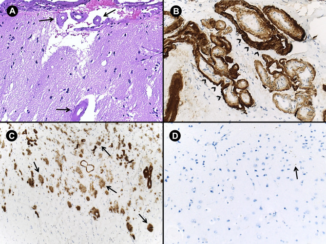
对医源性脑淀粉样血管病(iCAA)的认识正在增加,但其病理生理尚不清楚。我们讨论了两个以前未发表的可能的iCAA病例的临床、影像学和神经病理学结果的意义:一名55岁女性,表现为快速进行性认知障碍,显示CAA的影像学和组织学证据,并在6岁时接受了神经外科治疗;1例56岁男性,5岁时有四年复发性脑出血史,并接受过神经外科手术治疗。在第一个病例中,进行了脑活检。此外,对具有神经病理资料的iCAA病例的系统回顾表明,大多数患者伴有淀粉样蛋白实质沉积,没有或只有少量tau病理。tau病理在iCAA中的病理生理作用尚不清楚。iCAA患者表现为认知障碍而无症状性脑出血可能被误诊。
本文章由计算机程序翻译,如有差异,请以英文原文为准。

Iatrogenic cerebral amyloid angiopathy: two new cases and systematic review of case reports with neuropathological data.

Iatrogenic cerebral amyloid angiopathy: two new cases and systematic review of case reports with neuropathological data.

Iatrogenic cerebral amyloid angiopathy: two new cases and systematic review of case reports with neuropathological data.

Awareness concerning iatrogenic cerebral amyloid angiopathy (iCAA) is increasing but its pathophysiology remains unclear. We discuss the implications of the clinical, imaging and neuropathological findings in two previously unpublished cases of probable iCAA: a 55-year-old female presenting with rapidly progressive cognitive impairment, showing imaging and histological evidence of CAA and having undergone neurosurgical treatment at the age of 6; and a 56-year-old male with a four-year history of recurring intracerebral hemorrhages (ICH) and neurosurgical intervention at the age of 5. In the first case, a brain biopsy was performed.Additionally, a systematic review of iCAA cases with neuropathological data suggests that most of the patients have concomitant amyloid parenchymal deposition and none or minimal tau pathology. The pathophysiological role of tau pathology in iCAA remains unclear. iCAA patients presenting with cognitive impairment without symptomatic ICH may be underdiagnosed.

求助全文
通过发布文献求助,成功后即可免费获取论文全文。 去求助
来源期刊
CiteScore
7.40
自引率
0.00%
发文量
0
审稿时长
14 weeks
×
引用
GB/T 7714-2015
复制
MLA
复制
APA
复制
导出至
BibTeX EndNote RefMan NoteFirst NoteExpress
×
提示
您的信息不完整,为了账户安全,请先补充。
现在去补充
×
提示
您因"违规操作"
具体请查看互助需知
我知道了
×
提示
确定
请完成安全验证×
copy
已复制链接
快去分享给好友吧!
我知道了
右上角分享
点击右上角分享
0
联系我们:info@booksci.cn Book学术提供免费学术资源搜索服务,方便国内外学者检索中英文文献。致力于提供最便捷和优质的服务体验。 Copyright © 2023 布克学术 All rights reserved.
京ICP备2023020795号-1
ghs 京公网安备 11010802042870号
Book学术文献互助
Book学术文献互助群
群 号:604180095
Book学术官方微信