过敏性支气管肺曲霉病误诊为非溶解性肺炎1例。

IF 1.5 Q2 MEDICINE, GENERAL & INTERNAL
Reem Alsowayan
{"title":"过敏性支气管肺曲霉病误诊为非溶解性肺炎1例。","authors":"Reem Alsowayan","doi":"10.4103/sjmms.sjmms_28_25","DOIUrl":null,"url":null,"abstract":"<p><p>Allergic bronchopulmonary aspergillosis (ABPA) is a hypersensitivity reaction triggered by <i>Aspergillus fumigatus</i> colonization of the airways that primarily affects immunocompetent individuals, particularly those with asthma. ABPA can often be misdiagnosed as severe asthma or non-resolving pneumonia, leading to delays in appropriate management. Early recognition of ABPA is crucial to prevent disease progression and unnecessary antibiotic use. We report a case of a 28-year-old female with a long-standing history of poorly controlled asthma who presented with fever, productive cough, and radiographic findings initially suggestive of non-resolving pneumonia. Despite receiving multiple courses of antibiotics, her symptoms persisted. Further investigations, including elevated total serum IgE levels, Aspergillus-specific IgE, eosinophilia, and negative mycobacterial cultures, confirmed a diagnosis of ABPA. The patient was successfully treated with systemic corticosteroids (prednisone) and itraconazole, leading to significant clinical and radiological improvement over 2 months. Her IgE levels markedly decreased, supporting resolution of the hypersensitivity reaction. This case underscores the importance of recognizing ABPA in patients with recurrent asthma exacerbations and unexplained pulmonary symptoms. Given the potential for misdiagnosis as pneumonia, clinicians should maintain a high index of suspicion for ABPA, particularly in cases of non-resolving pneumonia where antibiotic therapy fails to achieve improvement.</p>","PeriodicalId":21442,"journal":{"name":"Saudi Journal of Medicine & Medical Sciences","volume":"13 3","pages":"231-233"},"PeriodicalIF":1.5000,"publicationDate":"2025-07-01","publicationTypes":"Journal Article","fieldsOfStudy":null,"isOpenAccess":false,"openAccessPdf":"https://www.ncbi.nlm.nih.gov/pmc/articles/PMC12366901/pdf/","citationCount":"0","resultStr":"{\"title\":\"Allergic Bronchopulmonary Aspergillosis Misdiagnosed as Non-resolving Pneumonia: A Case Report.\",\"authors\":\"Reem Alsowayan\",\"doi\":\"10.4103/sjmms.sjmms_28_25\",\"DOIUrl\":null,\"url\":null,\"abstract\":\"<p><p>Allergic bronchopulmonary aspergillosis (ABPA) is a hypersensitivity reaction triggered by <i>Aspergillus fumigatus</i> colonization of the airways that primarily affects immunocompetent individuals, particularly those with asthma. ABPA can often be misdiagnosed as severe asthma or non-resolving pneumonia, leading to delays in appropriate management. Early recognition of ABPA is crucial to prevent disease progression and unnecessary antibiotic use. We report a case of a 28-year-old female with a long-standing history of poorly controlled asthma who presented with fever, productive cough, and radiographic findings initially suggestive of non-resolving pneumonia. Despite receiving multiple courses of antibiotics, her symptoms persisted. Further investigations, including elevated total serum IgE levels, Aspergillus-specific IgE, eosinophilia, and negative mycobacterial cultures, confirmed a diagnosis of ABPA. The patient was successfully treated with systemic corticosteroids (prednisone) and itraconazole, leading to significant clinical and radiological improvement over 2 months. Her IgE levels markedly decreased, supporting resolution of the hypersensitivity reaction. This case underscores the importance of recognizing ABPA in patients with recurrent asthma exacerbations and unexplained pulmonary symptoms. Given the potential for misdiagnosis as pneumonia, clinicians should maintain a high index of suspicion for ABPA, particularly in cases of non-resolving pneumonia where antibiotic therapy fails to achieve improvement.</p>\",\"PeriodicalId\":21442,\"journal\":{\"name\":\"Saudi Journal of Medicine & Medical Sciences\",\"volume\":\"13 3\",\"pages\":\"231-233\"},\"PeriodicalIF\":1.5000,\"publicationDate\":\"2025-07-01\",\"publicationTypes\":\"Journal Article\",\"fieldsOfStudy\":null,\"isOpenAccess\":false,\"openAccessPdf\":\"https://www.ncbi.nlm.nih.gov/pmc/articles/PMC12366901/pdf/\",\"citationCount\":\"0\",\"resultStr\":null,\"platform\":\"Semanticscholar\",\"paperid\":null,\"PeriodicalName\":\"Saudi Journal of Medicine & Medical Sciences\",\"FirstCategoryId\":\"1085\",\"ListUrlMain\":\"https://doi.org/10.4103/sjmms.sjmms_28_25\",\"RegionNum\":0,\"RegionCategory\":null,\"ArticlePicture\":[],\"TitleCN\":null,\"AbstractTextCN\":null,\"PMCID\":null,\"EPubDate\":\"2025/7/14 0:00:00\",\"PubModel\":\"Epub\",\"JCR\":\"Q2\",\"JCRName\":\"MEDICINE, GENERAL & INTERNAL\",\"Score\":null,\"Total\":0}","platform":"Semanticscholar","paperid":null,"PeriodicalName":"Saudi Journal of Medicine & Medical Sciences","FirstCategoryId":"1085","ListUrlMain":"https://doi.org/10.4103/sjmms.sjmms_28_25","RegionNum":0,"RegionCategory":null,"ArticlePicture":[],"TitleCN":null,"AbstractTextCN":null,"PMCID":null,"EPubDate":"2025/7/14 0:00:00","PubModel":"Epub","JCR":"Q2","JCRName":"MEDICINE, GENERAL & INTERNAL","Score":null,"Total":0}
引用次数: 0

摘要

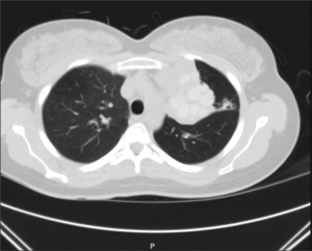
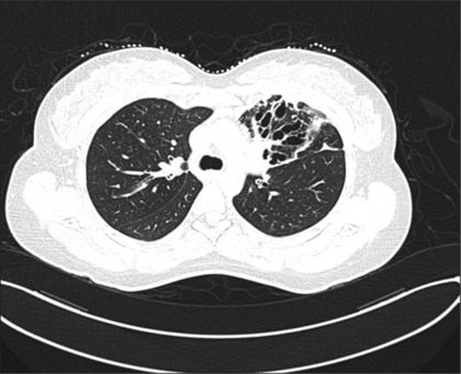
过敏性支气管肺曲霉病(ABPA)是一种由烟曲霉定殖气道引起的超敏反应,主要影响免疫能力强的个体,特别是哮喘患者。ABPA常被误诊为严重哮喘或非缓解性肺炎,导致适当治疗的延误。早期识别ABPA对于预防疾病进展和不必要的抗生素使用至关重要。我们报告一例28岁的女性患者,她有长期控制不佳的哮喘病史,她表现为发烧,咳嗽,放射检查结果最初提示非溶解性肺炎。尽管接受了多个疗程的抗生素治疗,她的症状仍然存在。进一步的调查,包括血清总IgE水平升高、曲霉菌特异性IgE、嗜酸性粒细胞增多和阴性分枝杆菌培养,证实了ABPA的诊断。患者成功接受全身皮质类固醇(强的松)和伊曲康唑治疗,2个月后临床和放射学均有显著改善。她的IgE水平明显下降,支持超敏反应的解决。本病例强调了在哮喘反复发作和不明原因肺部症状患者中识别ABPA的重要性。鉴于有可能被误诊为肺炎,临床医生应保持对ABPA的高度怀疑,特别是在抗生素治疗未能改善的非解决性肺炎的情况下。
本文章由计算机程序翻译,如有差异,请以英文原文为准。

Allergic Bronchopulmonary Aspergillosis Misdiagnosed as Non-resolving Pneumonia: A Case Report.

Allergic Bronchopulmonary Aspergillosis Misdiagnosed as Non-resolving Pneumonia: A Case Report.

Allergic Bronchopulmonary Aspergillosis Misdiagnosed as Non-resolving Pneumonia: A Case Report.

Allergic bronchopulmonary aspergillosis (ABPA) is a hypersensitivity reaction triggered by Aspergillus fumigatus colonization of the airways that primarily affects immunocompetent individuals, particularly those with asthma. ABPA can often be misdiagnosed as severe asthma or non-resolving pneumonia, leading to delays in appropriate management. Early recognition of ABPA is crucial to prevent disease progression and unnecessary antibiotic use. We report a case of a 28-year-old female with a long-standing history of poorly controlled asthma who presented with fever, productive cough, and radiographic findings initially suggestive of non-resolving pneumonia. Despite receiving multiple courses of antibiotics, her symptoms persisted. Further investigations, including elevated total serum IgE levels, Aspergillus-specific IgE, eosinophilia, and negative mycobacterial cultures, confirmed a diagnosis of ABPA. The patient was successfully treated with systemic corticosteroids (prednisone) and itraconazole, leading to significant clinical and radiological improvement over 2 months. Her IgE levels markedly decreased, supporting resolution of the hypersensitivity reaction. This case underscores the importance of recognizing ABPA in patients with recurrent asthma exacerbations and unexplained pulmonary symptoms. Given the potential for misdiagnosis as pneumonia, clinicians should maintain a high index of suspicion for ABPA, particularly in cases of non-resolving pneumonia where antibiotic therapy fails to achieve improvement.

求助全文
通过发布文献求助,成功后即可免费获取论文全文。 去求助
来源期刊
Saudi Journal of Medicine & Medical Sciences
Saudi Journal of Medicine & Medical Sciences MEDICINE, GENERAL & INTERNAL-
CiteScore
1.40
自引率
0.00%
发文量
52
审稿时长
15 weeks
期刊介绍: Saudi Journal of Medicine & Medical Sciences (SJMMS) is the official scientific journal of Imam Abdulrahman Bin Faisal University. It is an international peer-reviewed, general medical journal. The scope of the Journal is to publish research that will be of interest to health specialties both in academic and clinical practice. The Journal aims at disseminating high-powered research results with the objective of turning research into knowledge. It seeks to promote scholarly publishing in medicine and medical sciences. The Journal is published in print and online. The target readers of the Journal include all medical and health professionals in the health cluster such as in medicine, dentistry, nursing, applied medical sciences, clinical pharmacology, public health, etc.
×
引用
GB/T 7714-2015
复制
MLA
复制
APA
复制
导出至
BibTeX EndNote RefMan NoteFirst NoteExpress
×
提示
您的信息不完整,为了账户安全,请先补充。
现在去补充
×
提示
您因"违规操作"
具体请查看互助需知
我知道了
×
提示
确定
请完成安全验证×
copy
已复制链接
快去分享给好友吧!
我知道了
右上角分享
点击右上角分享
0
联系我们:info@booksci.cn Book学术提供免费学术资源搜索服务,方便国内外学者检索中英文文献。致力于提供最便捷和优质的服务体验。 Copyright © 2023 布克学术 All rights reserved.
京ICP备2023020795号-1
ghs 京公网安备 11010802042870号
Book学术文献互助
Book学术文献互助群
群 号:604180095
Book学术官方微信