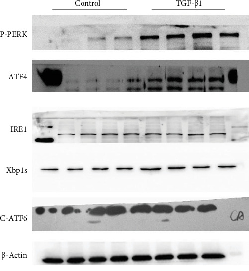
“抑制Mitofusin-2通过PERK/ATF4途径和活性氧促进心脏成纤维细胞活化”的更正。

2区 生物学 Q1 Biochemistry, Genetics and Molecular Biology
Oxidative Medicine and Cellular Longevity Pub Date : 2025-08-18 eCollection Date: 2025-01-01 DOI:10.1155/omcl/9801041
{"title":"“抑制Mitofusin-2通过PERK/ATF4途径和活性氧促进心脏成纤维细胞活化”的更正。","authors":"","doi":"10.1155/omcl/9801041","DOIUrl":null,"url":null,"abstract":"<p><p>[This corrects the article DOI: 10.1155/2019/3649808.].</p>","PeriodicalId":19657,"journal":{"name":"Oxidative Medicine and Cellular Longevity","volume":"2025 ","pages":"9801041"},"PeriodicalIF":0.0000,"publicationDate":"2025-08-18","publicationTypes":"Journal Article","fieldsOfStudy":null,"isOpenAccess":false,"openAccessPdf":"https://www.ncbi.nlm.nih.gov/pmc/articles/PMC12377929/pdf/","citationCount":"0","resultStr":"{\"title\":\"Corrigendum to \\\"Inhibition of Mitofusin-2 Promotes Cardiac Fibroblast Activation via the PERK/ATF4 Pathway and Reactive Oxygen Species\\\".\",\"authors\":\"\",\"doi\":\"10.1155/omcl/9801041\",\"DOIUrl\":null,\"url\":null,\"abstract\":\"<p><p>[This corrects the article DOI: 10.1155/2019/3649808.].</p>\",\"PeriodicalId\":19657,\"journal\":{\"name\":\"Oxidative Medicine and Cellular Longevity\",\"volume\":\"2025 \",\"pages\":\"9801041\"},\"PeriodicalIF\":0.0000,\"publicationDate\":\"2025-08-18\",\"publicationTypes\":\"Journal Article\",\"fieldsOfStudy\":null,\"isOpenAccess\":false,\"openAccessPdf\":\"https://www.ncbi.nlm.nih.gov/pmc/articles/PMC12377929/pdf/\",\"citationCount\":\"0\",\"resultStr\":null,\"platform\":\"Semanticscholar\",\"paperid\":null,\"PeriodicalName\":\"Oxidative Medicine and Cellular Longevity\",\"FirstCategoryId\":\"99\",\"ListUrlMain\":\"https://doi.org/10.1155/omcl/9801041\",\"RegionNum\":2,\"RegionCategory\":\"生物学\",\"ArticlePicture\":[],\"TitleCN\":null,\"AbstractTextCN\":null,\"PMCID\":null,\"EPubDate\":\"2025/1/1 0:00:00\",\"PubModel\":\"eCollection\",\"JCR\":\"Q1\",\"JCRName\":\"Biochemistry, Genetics and Molecular Biology\",\"Score\":null,\"Total\":0}","platform":"Semanticscholar","paperid":null,"PeriodicalName":"Oxidative Medicine and Cellular Longevity","FirstCategoryId":"99","ListUrlMain":"https://doi.org/10.1155/omcl/9801041","RegionNum":2,"RegionCategory":"生物学","ArticlePicture":[],"TitleCN":null,"AbstractTextCN":null,"PMCID":null,"EPubDate":"2025/1/1 0:00:00","PubModel":"eCollection","JCR":"Q1","JCRName":"Biochemistry, Genetics and Molecular Biology","Score":null,"Total":0}
引用次数: 0

摘要

[这更正了文章DOI: 10.1155/2019/3649808.]
本文章由计算机程序翻译,如有差异,请以英文原文为准。

Corrigendum to "Inhibition of Mitofusin-2 Promotes Cardiac Fibroblast Activation via the PERK/ATF4 Pathway and Reactive Oxygen Species".

Corrigendum to "Inhibition of Mitofusin-2 Promotes Cardiac Fibroblast Activation via the PERK/ATF4 Pathway and Reactive Oxygen Species".

[This corrects the article DOI: 10.1155/2019/3649808.].

求助全文
通过发布文献求助,成功后即可免费获取论文全文。 去求助
来源期刊
CiteScore
13.20
自引率
0.00%
发文量
1274
审稿时长
3-8 weeks
期刊介绍: Oxidative Medicine and Cellular Longevity is a unique peer-reviewed, Open Access journal that publishes original research and review articles dealing with the cellular and molecular mechanisms of oxidative stress in the nervous system and related organ systems in relation to aging, immune function, vascular biology, metabolism, cellular survival and cellular longevity. Oxidative stress impacts almost all acute and chronic progressive disorders and on a cellular basis is intimately linked to aging, cardiovascular disease, cancer, immune function, metabolism and neurodegeneration. The journal fills a significant void in today’s scientific literature and serves as an international forum for the scientific community worldwide to translate pioneering “bench to bedside” research into clinical strategies.
×
引用
GB/T 7714-2015
复制
MLA
复制
APA
复制
导出至
BibTeX EndNote RefMan NoteFirst NoteExpress
×
提示
您的信息不完整,为了账户安全,请先补充。
现在去补充
×
提示
您因"违规操作"
具体请查看互助需知
我知道了
×
提示
确定
请完成安全验证×
copy
已复制链接
快去分享给好友吧!
我知道了
右上角分享
点击右上角分享
0
联系我们:info@booksci.cn Book学术提供免费学术资源搜索服务,方便国内外学者检索中英文文献。致力于提供最便捷和优质的服务体验。 Copyright © 2023 布克学术 All rights reserved.
京ICP备2023020795号-1
ghs 京公网安备 11010802042870号
Book学术文献互助
Book学术文献互助群
群 号:604180095
Book学术官方微信