匹伐他汀通过IGF-1/IGF-1R途径增强MMP-9表达,减少慢性结肠炎的肠道纤维化,抑制结肠成纤维细胞活化。

IF 1.9 4区 医学 Q2 BIOLOGY
Mengran Zhang, Hongping Lu, Jun Cheng
{"title":"匹伐他汀通过IGF-1/IGF-1R途径增强MMP-9表达,减少慢性结肠炎的肠道纤维化,抑制结肠成纤维细胞活化。","authors":"Mengran Zhang, Hongping Lu, Jun Cheng","doi":"10.1590/1414-431X2025e14540","DOIUrl":null,"url":null,"abstract":"<p><p>Statins have been shown to have antifibrotic effects on various tissues and organs, but their ability to improve chronic colitis-associated intestinal fibrosis and their mechanisms of action remain unclear. The objective of this study was to investigate the role of pitavastatin in chronic colitis-associated intestinal fibrosis and its possible mechanisms. We established a mouse model of chronic colitis-associated intestinal fibrosis through repeated administration of dextran sodium sulfate (DSS) and treated the mice with pitavastatin. The severity of intestinal fibrosis, serum inflammatory factor levels, and expression levels of intestinal fibrosis-related genes in mice were assessed using pathological histological staining, immunohistochemical staining, reverse-transcription PCR, RNA sequencing, and enzyme-linked immunosorbent assay. In vitro, we treated a human colon fibroblast cell line (CCD-18Co) with or without transforming growth factor-β1 stimulation using pitavastatin. Western blot, Cell Counting Kit-8 assay, and Transwell assay were used to analyze the activation of colonic fibroblasts, protein expression levels of genes related to intestinal fibrosis, and cell proliferation and migration abilities. Pitavastatin significantly attenuated DSS-induced chronic colitis and intestinal fibrosis. In vitro, pitavastatin concentration-dependently inhibited the activation of CCD-18Co cells, significantly reduced the expression levels of the intestinal fibrosis-related proteins Col1A1, IGF-1, IGF-1R, MMP-3, and TIMP-1, and significantly inhibited cell proliferation and migration while markedly increasing MMP-9 protein expression. Additionally, after silencing the IGF-1 and IGF-1R genes in CCD-18Co cells, the promotion of MMP-9 expression by pitavastatin was significantly inhibited. These findings suggest that pitavastatin may be a promising antifibrotic drug for future treatment of intestinal fibrosis.</p>","PeriodicalId":9088,"journal":{"name":"Brazilian Journal of Medical and Biological Research","volume":"58 ","pages":"e14540"},"PeriodicalIF":1.9000,"publicationDate":"2025-08-22","publicationTypes":"Journal Article","fieldsOfStudy":null,"isOpenAccess":false,"openAccessPdf":"https://www.ncbi.nlm.nih.gov/pmc/articles/PMC12377707/pdf/","citationCount":"0","resultStr":"{\"title\":\"Pitavastatin reduces intestinal fibrosis in chronic colitis and inhibits colon fibroblast activation by enhancing MMP-9 expression via the IGF-1/IGF-1R pathway.\",\"authors\":\"Mengran Zhang, Hongping Lu, Jun Cheng\",\"doi\":\"10.1590/1414-431X2025e14540\",\"DOIUrl\":null,\"url\":null,\"abstract\":\"<p><p>Statins have been shown to have antifibrotic effects on various tissues and organs, but their ability to improve chronic colitis-associated intestinal fibrosis and their mechanisms of action remain unclear. The objective of this study was to investigate the role of pitavastatin in chronic colitis-associated intestinal fibrosis and its possible mechanisms. We established a mouse model of chronic colitis-associated intestinal fibrosis through repeated administration of dextran sodium sulfate (DSS) and treated the mice with pitavastatin. The severity of intestinal fibrosis, serum inflammatory factor levels, and expression levels of intestinal fibrosis-related genes in mice were assessed using pathological histological staining, immunohistochemical staining, reverse-transcription PCR, RNA sequencing, and enzyme-linked immunosorbent assay. In vitro, we treated a human colon fibroblast cell line (CCD-18Co) with or without transforming growth factor-β1 stimulation using pitavastatin. Western blot, Cell Counting Kit-8 assay, and Transwell assay were used to analyze the activation of colonic fibroblasts, protein expression levels of genes related to intestinal fibrosis, and cell proliferation and migration abilities. Pitavastatin significantly attenuated DSS-induced chronic colitis and intestinal fibrosis. In vitro, pitavastatin concentration-dependently inhibited the activation of CCD-18Co cells, significantly reduced the expression levels of the intestinal fibrosis-related proteins Col1A1, IGF-1, IGF-1R, MMP-3, and TIMP-1, and significantly inhibited cell proliferation and migration while markedly increasing MMP-9 protein expression. Additionally, after silencing the IGF-1 and IGF-1R genes in CCD-18Co cells, the promotion of MMP-9 expression by pitavastatin was significantly inhibited. These findings suggest that pitavastatin may be a promising antifibrotic drug for future treatment of intestinal fibrosis.</p>\",\"PeriodicalId\":9088,\"journal\":{\"name\":\"Brazilian Journal of Medical and Biological Research\",\"volume\":\"58 \",\"pages\":\"e14540\"},\"PeriodicalIF\":1.9000,\"publicationDate\":\"2025-08-22\",\"publicationTypes\":\"Journal Article\",\"fieldsOfStudy\":null,\"isOpenAccess\":false,\"openAccessPdf\":\"https://www.ncbi.nlm.nih.gov/pmc/articles/PMC12377707/pdf/\",\"citationCount\":\"0\",\"resultStr\":null,\"platform\":\"Semanticscholar\",\"paperid\":null,\"PeriodicalName\":\"Brazilian Journal of Medical and Biological Research\",\"FirstCategoryId\":\"3\",\"ListUrlMain\":\"https://doi.org/10.1590/1414-431X2025e14540\",\"RegionNum\":4,\"RegionCategory\":\"医学\",\"ArticlePicture\":[],\"TitleCN\":null,\"AbstractTextCN\":null,\"PMCID\":null,\"EPubDate\":\"2025/1/1 0:00:00\",\"PubModel\":\"eCollection\",\"JCR\":\"Q2\",\"JCRName\":\"BIOLOGY\",\"Score\":null,\"Total\":0}","platform":"Semanticscholar","paperid":null,"PeriodicalName":"Brazilian Journal of Medical and Biological Research","FirstCategoryId":"3","ListUrlMain":"https://doi.org/10.1590/1414-431X2025e14540","RegionNum":4,"RegionCategory":"医学","ArticlePicture":[],"TitleCN":null,"AbstractTextCN":null,"PMCID":null,"EPubDate":"2025/1/1 0:00:00","PubModel":"eCollection","JCR":"Q2","JCRName":"BIOLOGY","Score":null,"Total":0}
引用次数: 0

摘要

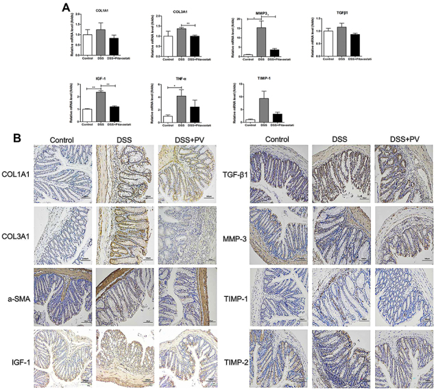
他汀类药物已被证明对多种组织和器官具有抗纤维化作用,但其改善慢性结肠炎相关肠道纤维化的能力及其作用机制尚不清楚。本研究的目的是探讨匹伐他汀在慢性结肠炎相关肠纤维化中的作用及其可能的机制。我们通过反复给药葡聚糖硫酸钠(DSS)建立小鼠慢性结肠炎相关肠道纤维化模型,并给予匹伐他汀治疗。采用病理组织学染色、免疫组织化学染色、反转录PCR、RNA测序和酶联免疫吸附法评估小鼠肠纤维化严重程度、血清炎症因子水平和肠纤维化相关基因表达水平。在体外,我们用匹伐他汀刺激或不刺激转化生长因子-β1处理人结肠成纤维细胞系(CCD-18Co)。采用Western blot、Cell Counting Kit-8、Transwell检测结肠成纤维细胞活化、肠纤维化相关基因蛋白表达水平、细胞增殖和迁移能力。匹伐他汀可显著减轻dss诱导的慢性结肠炎和肠道纤维化。在体外实验中,匹伐他汀浓度依赖性地抑制了cd - 18co细胞的活化,显著降低了肠纤维化相关蛋白Col1A1、IGF-1、IGF-1R、MMP-3和TIMP-1的表达水平,显著抑制了细胞的增殖和迁移,同时显著提高了MMP-9蛋白的表达。此外,在沉默CCD-18Co细胞中的IGF-1和IGF-1R基因后,匹伐他汀对MMP-9表达的促进作用被显著抑制。这些发现表明,匹伐他汀可能是一种有前途的抗纤维化药物,用于未来治疗肠纤维化。
本文章由计算机程序翻译,如有差异,请以英文原文为准。

Pitavastatin reduces intestinal fibrosis in chronic colitis and inhibits colon fibroblast activation by enhancing MMP-9 expression via the IGF-1/IGF-1R pathway.

Pitavastatin reduces intestinal fibrosis in chronic colitis and inhibits colon fibroblast activation by enhancing MMP-9 expression via the IGF-1/IGF-1R pathway.

Pitavastatin reduces intestinal fibrosis in chronic colitis and inhibits colon fibroblast activation by enhancing MMP-9 expression via the IGF-1/IGF-1R pathway.

Pitavastatin reduces intestinal fibrosis in chronic colitis and inhibits colon fibroblast activation by enhancing MMP-9 expression via the IGF-1/IGF-1R pathway.

Statins have been shown to have antifibrotic effects on various tissues and organs, but their ability to improve chronic colitis-associated intestinal fibrosis and their mechanisms of action remain unclear. The objective of this study was to investigate the role of pitavastatin in chronic colitis-associated intestinal fibrosis and its possible mechanisms. We established a mouse model of chronic colitis-associated intestinal fibrosis through repeated administration of dextran sodium sulfate (DSS) and treated the mice with pitavastatin. The severity of intestinal fibrosis, serum inflammatory factor levels, and expression levels of intestinal fibrosis-related genes in mice were assessed using pathological histological staining, immunohistochemical staining, reverse-transcription PCR, RNA sequencing, and enzyme-linked immunosorbent assay. In vitro, we treated a human colon fibroblast cell line (CCD-18Co) with or without transforming growth factor-β1 stimulation using pitavastatin. Western blot, Cell Counting Kit-8 assay, and Transwell assay were used to analyze the activation of colonic fibroblasts, protein expression levels of genes related to intestinal fibrosis, and cell proliferation and migration abilities. Pitavastatin significantly attenuated DSS-induced chronic colitis and intestinal fibrosis. In vitro, pitavastatin concentration-dependently inhibited the activation of CCD-18Co cells, significantly reduced the expression levels of the intestinal fibrosis-related proteins Col1A1, IGF-1, IGF-1R, MMP-3, and TIMP-1, and significantly inhibited cell proliferation and migration while markedly increasing MMP-9 protein expression. Additionally, after silencing the IGF-1 and IGF-1R genes in CCD-18Co cells, the promotion of MMP-9 expression by pitavastatin was significantly inhibited. These findings suggest that pitavastatin may be a promising antifibrotic drug for future treatment of intestinal fibrosis.

求助全文
通过发布文献求助,成功后即可免费获取论文全文。 去求助
来源期刊
CiteScore
4.00
自引率
0.00%
发文量
129
审稿时长
2 months
期刊介绍: The Brazilian Journal of Medical and Biological Research, founded by Michel Jamra, is edited and published monthly by the Associação Brasileira de Divulgação Científica (ABDC), a federation of Brazilian scientific societies: - Sociedade Brasileira de Biofísica (SBBf) - Sociedade Brasileira de Farmacologia e Terapêutica Experimental (SBFTE) - Sociedade Brasileira de Fisiologia (SBFis) - Sociedade Brasileira de Imunologia (SBI) - Sociedade Brasileira de Investigação Clínica (SBIC) - Sociedade Brasileira de Neurociências e Comportamento (SBNeC).
×
引用
GB/T 7714-2015
复制
MLA
复制
APA
复制
导出至
BibTeX EndNote RefMan NoteFirst NoteExpress
×
提示
您的信息不完整,为了账户安全,请先补充。
现在去补充
×
提示
您因"违规操作"
具体请查看互助需知
我知道了
×
提示
确定
请完成安全验证×
copy
已复制链接
快去分享给好友吧!
我知道了
右上角分享
点击右上角分享
0
联系我们:info@booksci.cn Book学术提供免费学术资源搜索服务,方便国内外学者检索中英文文献。致力于提供最便捷和优质的服务体验。 Copyright © 2023 布克学术 All rights reserved.
京ICP备2023020795号-1
ghs 京公网安备 11010802042870号
Book学术文献互助
Book学术文献互助群
群 号:604180095
Book学术官方微信