hvt输送的鸡IGF-1可提高肉鸡的生长性能。

IF 4.2 1区 农林科学 Q1 AGRICULTURE, DAIRY & ANIMAL SCIENCE
Poultry Science Pub Date : 2025-10-01 Epub Date: 2025-08-09 DOI:10.1016/j.psj.2025.105630
Panpan Yang, Mengjia Xiang, Minghe Xu, Yanfang Cong, Xingyu Li, Yan Li, Junjie Liu, Yutao Zhu, Luyao Qiu, Qilong Qiao, Jianli Li, Baiyu Wang, Jun Zhao
{"title":"hvt输送的鸡IGF-1可提高肉鸡的生长性能。","authors":"Panpan Yang, Mengjia Xiang, Minghe Xu, Yanfang Cong, Xingyu Li, Yan Li, Junjie Liu, Yutao Zhu, Luyao Qiu, Qilong Qiao, Jianli Li, Baiyu Wang, Jun Zhao","doi":"10.1016/j.psj.2025.105630","DOIUrl":null,"url":null,"abstract":"<p><p>The domesticated poultry is invaluable as a global protein source. Growth performance in poultry, particularly broilers, plays a critical role in production efficiency. Insulin-like growth factor-1 (IGF-1) is a multifunctional hormone which shows promotive effects on growth and development. Traditional IGF-1 delivery methods, such as injections or dietary supplements, face practical limitations including high cost, multiple dosages and rapid degradation. To explore a more efficient IGF-1 delivery method for promoting chicken growth, we generated a recombinant herpesvirus of turkey expressing chicken IGF-1, rHVT-chIGF-1. A single dose of rHVT-chIGF-1 was administered intramuscularly to broilers at day 1 of age. Growth performance parameters, including body weight (BW) and average daily weight gain (ADG) was assessed over a 42-day period. The results showed that, at both 35 and 42 days of age, the rHVT-IGF-1 group showed significantly higher BW and ADG compared to the HVT group (35d BW: p = 0.0063; 42d BW: p < 0.0001; 35d ADG: p < 0.0001; 42d ADG: p < 0.0001) and the blank control group (35d BW: p = 0.0189; 42d BW: p = 0.0032; 35d ADG: p < 0.0001; 42d ADG: p < 0.0001). The cross-sectional area (CSA) of pectoral and leg muscle fibres was significantly greater in chickens from the rHVT-chIGF-1 group compared to those in the HVT vector (p = 0.0078) and blank control (p = 0.025) groups. Additionally, the mRNA expression of muscle development-related genes was significantly upregulated in the rHVT-chIGF-1 group. These findings suggest that rHVT-chIGF-1 is a novel and effective in vivo delivery system for promoting chicken growth, offering an alternative to traditional IGF-1 delivery methods.</p>","PeriodicalId":20459,"journal":{"name":"Poultry Science","volume":"104 10","pages":"105630"},"PeriodicalIF":4.2000,"publicationDate":"2025-10-01","publicationTypes":"Journal Article","fieldsOfStudy":null,"isOpenAccess":false,"openAccessPdf":"https://www.ncbi.nlm.nih.gov/pmc/articles/PMC12356441/pdf/","citationCount":"0","resultStr":"{\"title\":\"HVT-delivered chicken IGF-1 improves growth performance in broilers.\",\"authors\":\"Panpan Yang, Mengjia Xiang, Minghe Xu, Yanfang Cong, Xingyu Li, Yan Li, Junjie Liu, Yutao Zhu, Luyao Qiu, Qilong Qiao, Jianli Li, Baiyu Wang, Jun Zhao\",\"doi\":\"10.1016/j.psj.2025.105630\",\"DOIUrl\":null,\"url\":null,\"abstract\":\"<p><p>The domesticated poultry is invaluable as a global protein source. Growth performance in poultry, particularly broilers, plays a critical role in production efficiency. Insulin-like growth factor-1 (IGF-1) is a multifunctional hormone which shows promotive effects on growth and development. Traditional IGF-1 delivery methods, such as injections or dietary supplements, face practical limitations including high cost, multiple dosages and rapid degradation. To explore a more efficient IGF-1 delivery method for promoting chicken growth, we generated a recombinant herpesvirus of turkey expressing chicken IGF-1, rHVT-chIGF-1. A single dose of rHVT-chIGF-1 was administered intramuscularly to broilers at day 1 of age. Growth performance parameters, including body weight (BW) and average daily weight gain (ADG) was assessed over a 42-day period. The results showed that, at both 35 and 42 days of age, the rHVT-IGF-1 group showed significantly higher BW and ADG compared to the HVT group (35d BW: p = 0.0063; 42d BW: p < 0.0001; 35d ADG: p < 0.0001; 42d ADG: p < 0.0001) and the blank control group (35d BW: p = 0.0189; 42d BW: p = 0.0032; 35d ADG: p < 0.0001; 42d ADG: p < 0.0001). The cross-sectional area (CSA) of pectoral and leg muscle fibres was significantly greater in chickens from the rHVT-chIGF-1 group compared to those in the HVT vector (p = 0.0078) and blank control (p = 0.025) groups. Additionally, the mRNA expression of muscle development-related genes was significantly upregulated in the rHVT-chIGF-1 group. These findings suggest that rHVT-chIGF-1 is a novel and effective in vivo delivery system for promoting chicken growth, offering an alternative to traditional IGF-1 delivery methods.</p>\",\"PeriodicalId\":20459,\"journal\":{\"name\":\"Poultry Science\",\"volume\":\"104 10\",\"pages\":\"105630\"},\"PeriodicalIF\":4.2000,\"publicationDate\":\"2025-10-01\",\"publicationTypes\":\"Journal Article\",\"fieldsOfStudy\":null,\"isOpenAccess\":false,\"openAccessPdf\":\"https://www.ncbi.nlm.nih.gov/pmc/articles/PMC12356441/pdf/\",\"citationCount\":\"0\",\"resultStr\":null,\"platform\":\"Semanticscholar\",\"paperid\":null,\"PeriodicalName\":\"Poultry Science\",\"FirstCategoryId\":\"97\",\"ListUrlMain\":\"https://doi.org/10.1016/j.psj.2025.105630\",\"RegionNum\":1,\"RegionCategory\":\"农林科学\",\"ArticlePicture\":[],\"TitleCN\":null,\"AbstractTextCN\":null,\"PMCID\":null,\"EPubDate\":\"2025/8/9 0:00:00\",\"PubModel\":\"Epub\",\"JCR\":\"Q1\",\"JCRName\":\"AGRICULTURE, DAIRY & ANIMAL SCIENCE\",\"Score\":null,\"Total\":0}","platform":"Semanticscholar","paperid":null,"PeriodicalName":"Poultry Science","FirstCategoryId":"97","ListUrlMain":"https://doi.org/10.1016/j.psj.2025.105630","RegionNum":1,"RegionCategory":"农林科学","ArticlePicture":[],"TitleCN":null,"AbstractTextCN":null,"PMCID":null,"EPubDate":"2025/8/9 0:00:00","PubModel":"Epub","JCR":"Q1","JCRName":"AGRICULTURE, DAIRY & ANIMAL SCIENCE","Score":null,"Total":0}
引用次数: 0

摘要

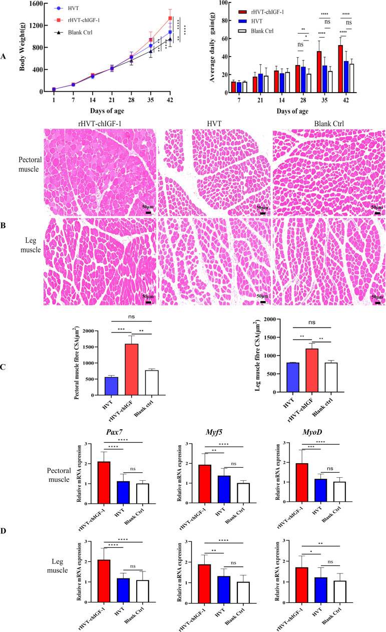
家禽作为全球蛋白质来源是非常宝贵的。家禽,特别是肉鸡的生长性能对生产效率起着至关重要的作用。胰岛素样生长因子-1 (IGF-1)是一种促进生长发育的多功能激素。传统的IGF-1递送方法,如注射或膳食补充剂,面临着实际的限制,包括高成本、多次剂量和快速降解。为了探索一种更有效的促进鸡生长的IGF-1传递方法,我们构建了表达鸡IGF-1的重组火鸡疱疹病毒rHVT-chIGF-1。1日龄肉鸡肌肉注射单剂量rHVT-chIGF-1。在42 d的时间内评估生长性能参数,包括体重(BW)和平均日增重(ADG)。结果显示,35日龄和42日龄时,rHVT-IGF-1组的体重和平均日增重均显著高于HVT组(35日龄体重:p = 0.0063;42d体重:p < 0.0001;35d ADG: p < 0.0001;42d ADG: p < 0.0001)和空白对照组(35d BW: p = 0.0189;42d体重:p = 0.0032;35d ADG: p < 0.0001;42d ADG: p < 0.0001)。与HVT载体组(p = 0.0078)和空白对照组(p = 0.025)相比,rHVT-chIGF-1组鸡胸肌和腿肌纤维的横截面积(CSA)显著增加。此外,rHVT-chIGF-1组肌肉发育相关基因mRNA表达显著上调。这些研究结果表明,rHVT-chIGF-1是一种新的、有效的促进鸡生长的体内递送系统,为传统的IGF-1递送方式提供了一种替代方法。
本文章由计算机程序翻译,如有差异,请以英文原文为准。

HVT-delivered chicken IGF-1 improves growth performance in broilers.

HVT-delivered chicken IGF-1 improves growth performance in broilers.

HVT-delivered chicken IGF-1 improves growth performance in broilers.

The domesticated poultry is invaluable as a global protein source. Growth performance in poultry, particularly broilers, plays a critical role in production efficiency. Insulin-like growth factor-1 (IGF-1) is a multifunctional hormone which shows promotive effects on growth and development. Traditional IGF-1 delivery methods, such as injections or dietary supplements, face practical limitations including high cost, multiple dosages and rapid degradation. To explore a more efficient IGF-1 delivery method for promoting chicken growth, we generated a recombinant herpesvirus of turkey expressing chicken IGF-1, rHVT-chIGF-1. A single dose of rHVT-chIGF-1 was administered intramuscularly to broilers at day 1 of age. Growth performance parameters, including body weight (BW) and average daily weight gain (ADG) was assessed over a 42-day period. The results showed that, at both 35 and 42 days of age, the rHVT-IGF-1 group showed significantly higher BW and ADG compared to the HVT group (35d BW: p = 0.0063; 42d BW: p < 0.0001; 35d ADG: p < 0.0001; 42d ADG: p < 0.0001) and the blank control group (35d BW: p = 0.0189; 42d BW: p = 0.0032; 35d ADG: p < 0.0001; 42d ADG: p < 0.0001). The cross-sectional area (CSA) of pectoral and leg muscle fibres was significantly greater in chickens from the rHVT-chIGF-1 group compared to those in the HVT vector (p = 0.0078) and blank control (p = 0.025) groups. Additionally, the mRNA expression of muscle development-related genes was significantly upregulated in the rHVT-chIGF-1 group. These findings suggest that rHVT-chIGF-1 is a novel and effective in vivo delivery system for promoting chicken growth, offering an alternative to traditional IGF-1 delivery methods.

求助全文
通过发布文献求助,成功后即可免费获取论文全文。 去求助
来源期刊
Poultry Science
Poultry Science 农林科学-奶制品与动物科学
CiteScore
7.60
自引率
15.90%
发文量
0
审稿时长
94 days
期刊介绍: First self-published in 1921, Poultry Science is an internationally renowned monthly journal, known as the authoritative source for a broad range of poultry information and high-caliber research. The journal plays a pivotal role in the dissemination of preeminent poultry-related knowledge across all disciplines. As of January 2020, Poultry Science will become an Open Access journal with no subscription charges, meaning authors who publish here can make their research immediately, permanently, and freely accessible worldwide while retaining copyright to their work. Papers submitted for publication after October 1, 2019 will be published as Open Access papers. An international journal, Poultry Science publishes original papers, research notes, symposium papers, and reviews of basic science as applied to poultry. This authoritative source of poultry information is consistently ranked by ISI Impact Factor as one of the top 10 agriculture, dairy and animal science journals to deliver high-caliber research. Currently it is the highest-ranked (by Impact Factor and Eigenfactor) journal dedicated to publishing poultry research. Subject areas include breeding, genetics, education, production, management, environment, health, behavior, welfare, immunology, molecular biology, metabolism, nutrition, physiology, reproduction, processing, and products.
×
引用
GB/T 7714-2015
复制
MLA
复制
APA
复制
导出至
BibTeX EndNote RefMan NoteFirst NoteExpress
×
提示
您的信息不完整,为了账户安全,请先补充。
现在去补充
×
提示
您因"违规操作"
具体请查看互助需知
我知道了
×
提示
确定
请完成安全验证×
copy
已复制链接
快去分享给好友吧!
我知道了
右上角分享
点击右上角分享
0
联系我们:info@booksci.cn Book学术提供免费学术资源搜索服务,方便国内外学者检索中英文文献。致力于提供最便捷和优质的服务体验。 Copyright © 2023 布克学术 All rights reserved.
京ICP备2023020795号-1
ghs 京公网安备 11010802042870号
Book学术文献互助
Book学术文献互助群
群 号:604180095
Book学术官方微信