问题的核心:一例严重的踏板水肿被错误地归因于肝硬化。

IF 0.6 Q3 MEDICINE, GENERAL & INTERNAL
Ankita Nekkanti, Harishankar Gopakumar, Kaneez Zainab, Teresa Lynch, Sonu Dhillon
{"title":"问题的核心:一例严重的踏板水肿被错误地归因于肝硬化。","authors":"Ankita Nekkanti, Harishankar Gopakumar, Kaneez Zainab, Teresa Lynch, Sonu Dhillon","doi":"10.55729/2000-9666.1452","DOIUrl":null,"url":null,"abstract":"<p><p>Liver cirrhosis is commonly diagnosed with etiologies such as viral hepatitis, alcohol-related liver disease, and metabolic dysfunction-associated steatotic liver disease (MASLD). However, less common causes should be considered, especially in atypical presentations or suboptimal treatment responses. A 67-year-old man presented with massive bilateral pedal edema unresponsive to furosemide. He had well-controlled diabetes and hypertension but no history of alcohol use. Laboratory tests showed normal renal function, mild transaminitis, and mild thrombocytopenia. Imaging revealed liver morphology suggestive of cirrhosis, which prompted the presumptive diagnosis of metabolic-associated steatohepatitis (MASH). Despite diuretic therapy, the patient's edema worsened, necessitating repeated hospital admissions for intravenous diuresis. Measurement of transhepatic pressures showed findings consistent with portal hypertension, but the degree of edema was disproportionate to the hepatic venous pressure gradient. Liver biopsy showed sinusoidal congestion suggesting cardiac causes of portal hypertension. Subsequent cardiac evaluation, including left and right heart catheterization and cardiac MRI, revealed constrictive pericarditis. The patient then underwent pericardiectomy, leading to substantial improvement in symptoms allowing cessation of diuretic therapy. The overlap of symptoms between cardiopulmonary and hepatic diseases can complicate diagnosis. Cardiac cirrhosis, though often asymptomatic, should be considered in patients with unexplained peripheral edema. Diagnostic challenges include normal echocardiograms and the need for advanced imaging. Careful evaluation and consideration of atypical presentations are crucial, with gastroenterologists playing a vital role in identifying cardiac conditions masquerading as primary liver disease.</p>","PeriodicalId":15460,"journal":{"name":"Journal of Community Hospital Internal Medicine Perspectives","volume":"15 4","pages":"46-49"},"PeriodicalIF":0.6000,"publicationDate":"2025-07-03","publicationTypes":"Journal Article","fieldsOfStudy":null,"isOpenAccess":false,"openAccessPdf":"https://www.ncbi.nlm.nih.gov/pmc/articles/PMC12315877/pdf/","citationCount":"0","resultStr":"{\"title\":\"The Heart of the Matter: A Case of Massive Pedal Edema Erroneously Attributed to Liver Cirrhosis.\",\"authors\":\"Ankita Nekkanti, Harishankar Gopakumar, Kaneez Zainab, Teresa Lynch, Sonu Dhillon\",\"doi\":\"10.55729/2000-9666.1452\",\"DOIUrl\":null,\"url\":null,\"abstract\":\"<p><p>Liver cirrhosis is commonly diagnosed with etiologies such as viral hepatitis, alcohol-related liver disease, and metabolic dysfunction-associated steatotic liver disease (MASLD). However, less common causes should be considered, especially in atypical presentations or suboptimal treatment responses. A 67-year-old man presented with massive bilateral pedal edema unresponsive to furosemide. He had well-controlled diabetes and hypertension but no history of alcohol use. Laboratory tests showed normal renal function, mild transaminitis, and mild thrombocytopenia. Imaging revealed liver morphology suggestive of cirrhosis, which prompted the presumptive diagnosis of metabolic-associated steatohepatitis (MASH). Despite diuretic therapy, the patient's edema worsened, necessitating repeated hospital admissions for intravenous diuresis. Measurement of transhepatic pressures showed findings consistent with portal hypertension, but the degree of edema was disproportionate to the hepatic venous pressure gradient. Liver biopsy showed sinusoidal congestion suggesting cardiac causes of portal hypertension. Subsequent cardiac evaluation, including left and right heart catheterization and cardiac MRI, revealed constrictive pericarditis. The patient then underwent pericardiectomy, leading to substantial improvement in symptoms allowing cessation of diuretic therapy. The overlap of symptoms between cardiopulmonary and hepatic diseases can complicate diagnosis. Cardiac cirrhosis, though often asymptomatic, should be considered in patients with unexplained peripheral edema. Diagnostic challenges include normal echocardiograms and the need for advanced imaging. Careful evaluation and consideration of atypical presentations are crucial, with gastroenterologists playing a vital role in identifying cardiac conditions masquerading as primary liver disease.</p>\",\"PeriodicalId\":15460,\"journal\":{\"name\":\"Journal of Community Hospital Internal Medicine Perspectives\",\"volume\":\"15 4\",\"pages\":\"46-49\"},\"PeriodicalIF\":0.6000,\"publicationDate\":\"2025-07-03\",\"publicationTypes\":\"Journal Article\",\"fieldsOfStudy\":null,\"isOpenAccess\":false,\"openAccessPdf\":\"https://www.ncbi.nlm.nih.gov/pmc/articles/PMC12315877/pdf/\",\"citationCount\":\"0\",\"resultStr\":null,\"platform\":\"Semanticscholar\",\"paperid\":null,\"PeriodicalName\":\"Journal of Community Hospital Internal Medicine Perspectives\",\"FirstCategoryId\":\"1085\",\"ListUrlMain\":\"https://doi.org/10.55729/2000-9666.1452\",\"RegionNum\":0,\"RegionCategory\":null,\"ArticlePicture\":[],\"TitleCN\":null,\"AbstractTextCN\":null,\"PMCID\":null,\"EPubDate\":\"2025/1/1 0:00:00\",\"PubModel\":\"eCollection\",\"JCR\":\"Q3\",\"JCRName\":\"MEDICINE, GENERAL & INTERNAL\",\"Score\":null,\"Total\":0}","platform":"Semanticscholar","paperid":null,"PeriodicalName":"Journal of Community Hospital Internal Medicine Perspectives","FirstCategoryId":"1085","ListUrlMain":"https://doi.org/10.55729/2000-9666.1452","RegionNum":0,"RegionCategory":null,"ArticlePicture":[],"TitleCN":null,"AbstractTextCN":null,"PMCID":null,"EPubDate":"2025/1/1 0:00:00","PubModel":"eCollection","JCR":"Q3","JCRName":"MEDICINE, GENERAL & INTERNAL","Score":null,"Total":0}
引用次数: 0

摘要

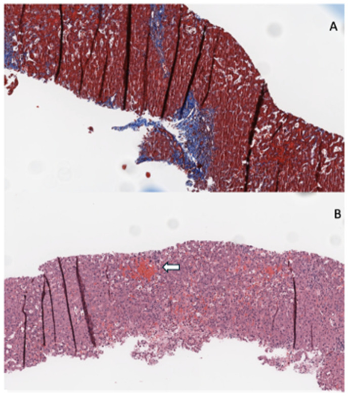
肝硬化通常被诊断为病因,如病毒性肝炎、酒精相关肝病和代谢功能障碍相关的脂肪变性肝病(MASLD)。然而,不常见的原因应考虑,特别是在非典型的表现或次优的治疗反应。67岁男性,双侧足部水肿,对速尿无反应。他患有控制良好的糖尿病和高血压,但没有饮酒史。实验室检查显示肾功能正常,轻度转氨炎和轻度血小板减少症。影像学显示肝脏形态提示肝硬化,提示推定诊断为代谢相关脂肪性肝炎(MASH)。尽管进行了利尿剂治疗,但患者水肿恶化,需要多次住院进行静脉利尿。经肝压力测量结果与门脉高压一致,但水肿程度与肝静脉压力梯度不成比例。肝活检显示窦性充血提示心源性门静脉高压症。随后的心脏评估,包括左、右心导管和心脏MRI,显示缩窄性心包炎。患者随后接受心包切除术,导致症状明显改善,允许停止利尿剂治疗。心肺和肝脏疾病症状的重叠会使诊断复杂化。心源性肝硬化,虽然通常无症状,但在不明原因的周围水肿患者中应予以考虑。诊断挑战包括正常超声心动图和需要先进的成像。仔细评估和考虑非典型表现是至关重要的,胃肠病学家在识别伪装成原发性肝病的心脏疾病方面起着至关重要的作用。
本文章由计算机程序翻译,如有差异,请以英文原文为准。

The Heart of the Matter: A Case of Massive Pedal Edema Erroneously Attributed to Liver Cirrhosis.

The Heart of the Matter: A Case of Massive Pedal Edema Erroneously Attributed to Liver Cirrhosis.

The Heart of the Matter: A Case of Massive Pedal Edema Erroneously Attributed to Liver Cirrhosis.

The Heart of the Matter: A Case of Massive Pedal Edema Erroneously Attributed to Liver Cirrhosis.

Liver cirrhosis is commonly diagnosed with etiologies such as viral hepatitis, alcohol-related liver disease, and metabolic dysfunction-associated steatotic liver disease (MASLD). However, less common causes should be considered, especially in atypical presentations or suboptimal treatment responses. A 67-year-old man presented with massive bilateral pedal edema unresponsive to furosemide. He had well-controlled diabetes and hypertension but no history of alcohol use. Laboratory tests showed normal renal function, mild transaminitis, and mild thrombocytopenia. Imaging revealed liver morphology suggestive of cirrhosis, which prompted the presumptive diagnosis of metabolic-associated steatohepatitis (MASH). Despite diuretic therapy, the patient's edema worsened, necessitating repeated hospital admissions for intravenous diuresis. Measurement of transhepatic pressures showed findings consistent with portal hypertension, but the degree of edema was disproportionate to the hepatic venous pressure gradient. Liver biopsy showed sinusoidal congestion suggesting cardiac causes of portal hypertension. Subsequent cardiac evaluation, including left and right heart catheterization and cardiac MRI, revealed constrictive pericarditis. The patient then underwent pericardiectomy, leading to substantial improvement in symptoms allowing cessation of diuretic therapy. The overlap of symptoms between cardiopulmonary and hepatic diseases can complicate diagnosis. Cardiac cirrhosis, though often asymptomatic, should be considered in patients with unexplained peripheral edema. Diagnostic challenges include normal echocardiograms and the need for advanced imaging. Careful evaluation and consideration of atypical presentations are crucial, with gastroenterologists playing a vital role in identifying cardiac conditions masquerading as primary liver disease.

求助全文
通过发布文献求助,成功后即可免费获取论文全文。 去求助
来源期刊
自引率
0.00%
发文量
106
审稿时长
17 weeks
期刊介绍: JCHIMP provides: up-to-date information in the field of Internal Medicine to community hospital medical professionals a platform for clinical faculty, residents, and medical students to publish research relevant to community hospital programs. Manuscripts that explore aspects of medicine at community hospitals welcome, including but not limited to: the best practices of community academic programs community hospital-based research opinion and insight from community hospital leadership and faculty the scholarly work of residents and medical students affiliated with community hospitals.
×
引用
GB/T 7714-2015
复制
MLA
复制
APA
复制
导出至
BibTeX EndNote RefMan NoteFirst NoteExpress
×
提示
您的信息不完整,为了账户安全,请先补充。
现在去补充
×
提示
您因"违规操作"
具体请查看互助需知
我知道了
×
提示
确定
请完成安全验证×
copy
已复制链接
快去分享给好友吧!
我知道了
右上角分享
点击右上角分享
0
联系我们:info@booksci.cn Book学术提供免费学术资源搜索服务,方便国内外学者检索中英文文献。致力于提供最便捷和优质的服务体验。 Copyright © 2023 布克学术 All rights reserved.
京ICP备2023020795号-1
ghs 京公网安备 11010802042870号
Book学术文献互助
Book学术文献互助群
群 号:604180095
Book学术官方微信