良性嗜铬细胞瘤的晚发性恶性转移转化。

IF 0.6 Q3 MEDICINE, GENERAL & INTERNAL
Maha Zafar, Reshly M Rajan, Manaswini Krishnakumar, Aswanth Reddy
{"title":"良性嗜铬细胞瘤的晚发性恶性转移转化。","authors":"Maha Zafar, Reshly M Rajan, Manaswini Krishnakumar, Aswanth Reddy","doi":"10.55729/2000-9666.1515","DOIUrl":null,"url":null,"abstract":"<p><p>Pheochromocytomas and paragangliomas (PPGLs) are rare neuroendocrine tumors arising from adrenal medulla and extra-adrenal paraganglia. Metastatic pheochromocytomas, pose diagnostic and therapeutic challenges due to their atypical presentations and potential for malignant transformation years after primary tumor resection. We report a case of 61-year-old woman who presented with intermittent cough, shortness of breath, and elevated blood pressure 6 years after resection of primary adrenal pheochromocytoma. Imaging revealed bilateral pulmonary nodules, a retroperitoneal mass, and L4 vertebral involvement, raising suspicion for metastatic pheochromocytoma. Elevated serum meta-nephrines and normetanephrines, alongside tissue biopsy and MIBG imaging, confirmed diagnosis. Germline genetic testing did not reveal any pathogenic mutations. The patient underwent CT-guided cryoablation for retroperitoneal lymph nodes and scheduled for radiofrequency ablation (RFA) of metastatic lesions. This case underscores evolving understanding of PPGLs, challenging \"10 % rule\" regarding metastasis and inheritance. While mutations in genes such as SDHB are associated with increased metastatic risk, sporadic cases like this highlight need for lifelong surveillance in all patients' post-resection of primary tumor. Ablative techniques, EBRT, and emerging systemic therapies are promising methods for managing metastatic disease. This case highlights importance of long-term follow-up and genetic testing in patients with PPGLs, even in absence of hereditary mutations, to detect and manage late-onset metastatic disease efficiently.</p>","PeriodicalId":15460,"journal":{"name":"Journal of Community Hospital Internal Medicine Perspectives","volume":"15 4","pages":"92-95"},"PeriodicalIF":0.6000,"publicationDate":"2025-07-03","publicationTypes":"Journal Article","fieldsOfStudy":null,"isOpenAccess":false,"openAccessPdf":"https://www.ncbi.nlm.nih.gov/pmc/articles/PMC12315872/pdf/","citationCount":"0","resultStr":"{\"title\":\"Late Onset Malignant Metastatic Transformation of Benign Pheochromocytoma.\",\"authors\":\"Maha Zafar, Reshly M Rajan, Manaswini Krishnakumar, Aswanth Reddy\",\"doi\":\"10.55729/2000-9666.1515\",\"DOIUrl\":null,\"url\":null,\"abstract\":\"<p><p>Pheochromocytomas and paragangliomas (PPGLs) are rare neuroendocrine tumors arising from adrenal medulla and extra-adrenal paraganglia. Metastatic pheochromocytomas, pose diagnostic and therapeutic challenges due to their atypical presentations and potential for malignant transformation years after primary tumor resection. We report a case of 61-year-old woman who presented with intermittent cough, shortness of breath, and elevated blood pressure 6 years after resection of primary adrenal pheochromocytoma. Imaging revealed bilateral pulmonary nodules, a retroperitoneal mass, and L4 vertebral involvement, raising suspicion for metastatic pheochromocytoma. Elevated serum meta-nephrines and normetanephrines, alongside tissue biopsy and MIBG imaging, confirmed diagnosis. Germline genetic testing did not reveal any pathogenic mutations. The patient underwent CT-guided cryoablation for retroperitoneal lymph nodes and scheduled for radiofrequency ablation (RFA) of metastatic lesions. This case underscores evolving understanding of PPGLs, challenging \\\"10 % rule\\\" regarding metastasis and inheritance. While mutations in genes such as SDHB are associated with increased metastatic risk, sporadic cases like this highlight need for lifelong surveillance in all patients' post-resection of primary tumor. Ablative techniques, EBRT, and emerging systemic therapies are promising methods for managing metastatic disease. This case highlights importance of long-term follow-up and genetic testing in patients with PPGLs, even in absence of hereditary mutations, to detect and manage late-onset metastatic disease efficiently.</p>\",\"PeriodicalId\":15460,\"journal\":{\"name\":\"Journal of Community Hospital Internal Medicine Perspectives\",\"volume\":\"15 4\",\"pages\":\"92-95\"},\"PeriodicalIF\":0.6000,\"publicationDate\":\"2025-07-03\",\"publicationTypes\":\"Journal Article\",\"fieldsOfStudy\":null,\"isOpenAccess\":false,\"openAccessPdf\":\"https://www.ncbi.nlm.nih.gov/pmc/articles/PMC12315872/pdf/\",\"citationCount\":\"0\",\"resultStr\":null,\"platform\":\"Semanticscholar\",\"paperid\":null,\"PeriodicalName\":\"Journal of Community Hospital Internal Medicine Perspectives\",\"FirstCategoryId\":\"1085\",\"ListUrlMain\":\"https://doi.org/10.55729/2000-9666.1515\",\"RegionNum\":0,\"RegionCategory\":null,\"ArticlePicture\":[],\"TitleCN\":null,\"AbstractTextCN\":null,\"PMCID\":null,\"EPubDate\":\"2025/1/1 0:00:00\",\"PubModel\":\"eCollection\",\"JCR\":\"Q3\",\"JCRName\":\"MEDICINE, GENERAL & INTERNAL\",\"Score\":null,\"Total\":0}","platform":"Semanticscholar","paperid":null,"PeriodicalName":"Journal of Community Hospital Internal Medicine Perspectives","FirstCategoryId":"1085","ListUrlMain":"https://doi.org/10.55729/2000-9666.1515","RegionNum":0,"RegionCategory":null,"ArticlePicture":[],"TitleCN":null,"AbstractTextCN":null,"PMCID":null,"EPubDate":"2025/1/1 0:00:00","PubModel":"eCollection","JCR":"Q3","JCRName":"MEDICINE, GENERAL & INTERNAL","Score":null,"Total":0}
引用次数: 0

摘要

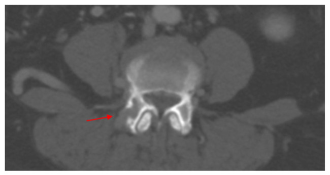
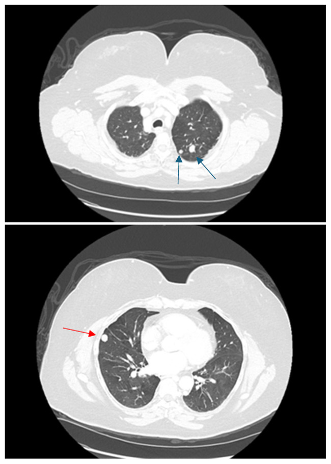
嗜铬细胞瘤和副神经节瘤是发生在肾上腺髓质和肾上腺外副神经节的罕见神经内分泌肿瘤。转移性嗜铬细胞瘤由于其不典型的表现和原发肿瘤切除后数年恶性转化的潜力,给诊断和治疗带来了挑战。我们报告一例61岁女性,在原发性肾上腺嗜铬细胞瘤切除6年后出现间歇性咳嗽、呼吸急促和血压升高。影像学显示双侧肺结节,腹膜后肿块,腰4椎受累,提高转移性嗜铬细胞瘤的怀疑。血清间肾上腺素和去甲肾上腺素升高,加上组织活检和MIBG成像,证实了诊断。生殖系基因检测未发现任何致病突变。患者接受了ct引导下的腹膜后淋巴结冷冻消融,并计划进行射频消融(RFA)转移灶。该病例强调了对PPGLs不断发展的理解,挑战了关于转移和遗传的“10%规则”。虽然SDHB等基因突变与转移风险增加有关,但像这样的零星病例强调了对所有原发肿瘤切除术后患者进行终身监测的必要性。消融技术、EBRT和新兴的全身治疗是治疗转移性疾病的有希望的方法。该病例强调了PPGLs患者的长期随访和基因检测的重要性,即使没有遗传突变,也可以有效地发现和管理晚发性转移性疾病。
本文章由计算机程序翻译,如有差异,请以英文原文为准。

Late Onset Malignant Metastatic Transformation of Benign Pheochromocytoma.

Late Onset Malignant Metastatic Transformation of Benign Pheochromocytoma.

Late Onset Malignant Metastatic Transformation of Benign Pheochromocytoma.

Pheochromocytomas and paragangliomas (PPGLs) are rare neuroendocrine tumors arising from adrenal medulla and extra-adrenal paraganglia. Metastatic pheochromocytomas, pose diagnostic and therapeutic challenges due to their atypical presentations and potential for malignant transformation years after primary tumor resection. We report a case of 61-year-old woman who presented with intermittent cough, shortness of breath, and elevated blood pressure 6 years after resection of primary adrenal pheochromocytoma. Imaging revealed bilateral pulmonary nodules, a retroperitoneal mass, and L4 vertebral involvement, raising suspicion for metastatic pheochromocytoma. Elevated serum meta-nephrines and normetanephrines, alongside tissue biopsy and MIBG imaging, confirmed diagnosis. Germline genetic testing did not reveal any pathogenic mutations. The patient underwent CT-guided cryoablation for retroperitoneal lymph nodes and scheduled for radiofrequency ablation (RFA) of metastatic lesions. This case underscores evolving understanding of PPGLs, challenging "10 % rule" regarding metastasis and inheritance. While mutations in genes such as SDHB are associated with increased metastatic risk, sporadic cases like this highlight need for lifelong surveillance in all patients' post-resection of primary tumor. Ablative techniques, EBRT, and emerging systemic therapies are promising methods for managing metastatic disease. This case highlights importance of long-term follow-up and genetic testing in patients with PPGLs, even in absence of hereditary mutations, to detect and manage late-onset metastatic disease efficiently.

求助全文
通过发布文献求助,成功后即可免费获取论文全文。 去求助
来源期刊
自引率
0.00%
发文量
106
审稿时长
17 weeks
期刊介绍: JCHIMP provides: up-to-date information in the field of Internal Medicine to community hospital medical professionals a platform for clinical faculty, residents, and medical students to publish research relevant to community hospital programs. Manuscripts that explore aspects of medicine at community hospitals welcome, including but not limited to: the best practices of community academic programs community hospital-based research opinion and insight from community hospital leadership and faculty the scholarly work of residents and medical students affiliated with community hospitals.
×
引用
GB/T 7714-2015
复制
MLA
复制
APA
复制
导出至
BibTeX EndNote RefMan NoteFirst NoteExpress
×
提示
您的信息不完整,为了账户安全,请先补充。
现在去补充
×
提示
您因"违规操作"
具体请查看互助需知
我知道了
×
提示
确定
请完成安全验证×
copy
已复制链接
快去分享给好友吧!
我知道了
右上角分享
点击右上角分享
0
联系我们:info@booksci.cn Book学术提供免费学术资源搜索服务,方便国内外学者检索中英文文献。致力于提供最便捷和优质的服务体验。 Copyright © 2023 布克学术 All rights reserved.
京ICP备2023020795号-1
ghs 京公网安备 11010802042870号
Book学术文献互助
Book学术文献互助群
群 号:604180095
Book学术官方微信