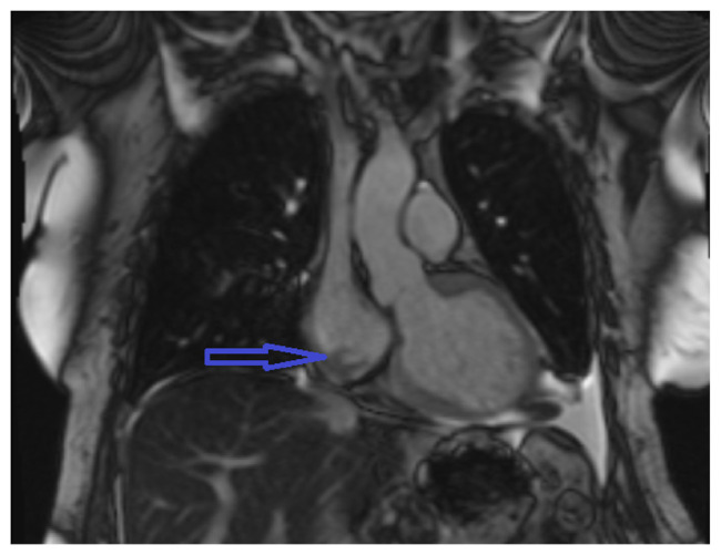
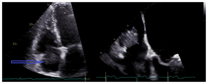
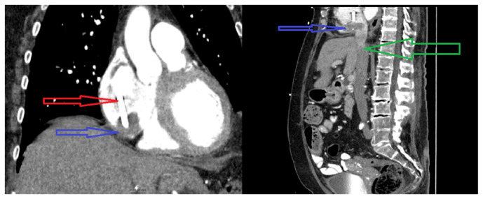
导管相关性右心房血栓伴心室快速反应的分析性房颤。

IF 0.6 Q3 MEDICINE, GENERAL & INTERNAL
Anish K Shrestha, Sakthi Gautham, Shiavax J Rao, Khalid K Al-Talib, Sriram Padmanabhan
{"title":"导管相关性右心房血栓伴心室快速反应的分析性房颤。","authors":"Anish K Shrestha, Sakthi Gautham, Shiavax J Rao, Khalid K Al-Talib, Sriram Padmanabhan","doi":"10.55729/2000-9666.1490","DOIUrl":null,"url":null,"abstract":"<p><p>Right atrial thrombus is a rare complication of hemodialysis catheter with an incidence of <6 %. New-onset atrial fibrillation can be the first symptom of catheter-related right atrial thrombus (CRAT) in a patient with long-term dialysis catheter. Therefore, evaluation for CRAT is justified in such scenario. We highlight a case report where a new-onset atrial fibrillation led to the discovery of a right atrial thrombus in a patient with long-term dialysis catheter.</p>","PeriodicalId":15460,"journal":{"name":"Journal of Community Hospital Internal Medicine Perspectives","volume":"15 4","pages":"54-57"},"PeriodicalIF":0.6000,"publicationDate":"2025-07-03","publicationTypes":"Journal Article","fieldsOfStudy":null,"isOpenAccess":false,"openAccessPdf":"https://www.ncbi.nlm.nih.gov/pmc/articles/PMC12315892/pdf/","citationCount":"0","resultStr":"{\"title\":\"Intradialytic Atrial Fibrillation With Rapid Ventricular Response From Catheter-related Right Atrial Thrombus.\",\"authors\":\"Anish K Shrestha, Sakthi Gautham, Shiavax J Rao, Khalid K Al-Talib, Sriram Padmanabhan\",\"doi\":\"10.55729/2000-9666.1490\",\"DOIUrl\":null,\"url\":null,\"abstract\":\"<p><p>Right atrial thrombus is a rare complication of hemodialysis catheter with an incidence of <6 %. New-onset atrial fibrillation can be the first symptom of catheter-related right atrial thrombus (CRAT) in a patient with long-term dialysis catheter. Therefore, evaluation for CRAT is justified in such scenario. We highlight a case report where a new-onset atrial fibrillation led to the discovery of a right atrial thrombus in a patient with long-term dialysis catheter.</p>\",\"PeriodicalId\":15460,\"journal\":{\"name\":\"Journal of Community Hospital Internal Medicine Perspectives\",\"volume\":\"15 4\",\"pages\":\"54-57\"},\"PeriodicalIF\":0.6000,\"publicationDate\":\"2025-07-03\",\"publicationTypes\":\"Journal Article\",\"fieldsOfStudy\":null,\"isOpenAccess\":false,\"openAccessPdf\":\"https://www.ncbi.nlm.nih.gov/pmc/articles/PMC12315892/pdf/\",\"citationCount\":\"0\",\"resultStr\":null,\"platform\":\"Semanticscholar\",\"paperid\":null,\"PeriodicalName\":\"Journal of Community Hospital Internal Medicine Perspectives\",\"FirstCategoryId\":\"1085\",\"ListUrlMain\":\"https://doi.org/10.55729/2000-9666.1490\",\"RegionNum\":0,\"RegionCategory\":null,\"ArticlePicture\":[],\"TitleCN\":null,\"AbstractTextCN\":null,\"PMCID\":null,\"EPubDate\":\"2025/1/1 0:00:00\",\"PubModel\":\"eCollection\",\"JCR\":\"Q3\",\"JCRName\":\"MEDICINE, GENERAL & INTERNAL\",\"Score\":null,\"Total\":0}","platform":"Semanticscholar","paperid":null,"PeriodicalName":"Journal of Community Hospital Internal Medicine Perspectives","FirstCategoryId":"1085","ListUrlMain":"https://doi.org/10.55729/2000-9666.1490","RegionNum":0,"RegionCategory":null,"ArticlePicture":[],"TitleCN":null,"AbstractTextCN":null,"PMCID":null,"EPubDate":"2025/1/1 0:00:00","PubModel":"eCollection","JCR":"Q3","JCRName":"MEDICINE, GENERAL & INTERNAL","Score":null,"Total":0}
引用次数: 0

摘要

右心房血栓是一种罕见的血液透析导管并发症,发生率为
本文章由计算机程序翻译,如有差异,请以英文原文为准。

Intradialytic Atrial Fibrillation With Rapid Ventricular Response From Catheter-related Right Atrial Thrombus.

Intradialytic Atrial Fibrillation With Rapid Ventricular Response From Catheter-related Right Atrial Thrombus.

Intradialytic Atrial Fibrillation With Rapid Ventricular Response From Catheter-related Right Atrial Thrombus.

Intradialytic Atrial Fibrillation With Rapid Ventricular Response From Catheter-related Right Atrial Thrombus.

Right atrial thrombus is a rare complication of hemodialysis catheter with an incidence of <6 %. New-onset atrial fibrillation can be the first symptom of catheter-related right atrial thrombus (CRAT) in a patient with long-term dialysis catheter. Therefore, evaluation for CRAT is justified in such scenario. We highlight a case report where a new-onset atrial fibrillation led to the discovery of a right atrial thrombus in a patient with long-term dialysis catheter.

求助全文
通过发布文献求助,成功后即可免费获取论文全文。 去求助
来源期刊
自引率
0.00%
发文量
106
审稿时长
17 weeks
期刊介绍: JCHIMP provides: up-to-date information in the field of Internal Medicine to community hospital medical professionals a platform for clinical faculty, residents, and medical students to publish research relevant to community hospital programs. Manuscripts that explore aspects of medicine at community hospitals welcome, including but not limited to: the best practices of community academic programs community hospital-based research opinion and insight from community hospital leadership and faculty the scholarly work of residents and medical students affiliated with community hospitals.
×
引用
GB/T 7714-2015
复制
MLA
复制
APA
复制
导出至
BibTeX EndNote RefMan NoteFirst NoteExpress
×
提示
您的信息不完整,为了账户安全,请先补充。
现在去补充
×
提示
您因"违规操作"
具体请查看互助需知
我知道了
×
提示
确定
请完成安全验证×
copy
已复制链接
快去分享给好友吧!
我知道了
右上角分享
点击右上角分享
0
联系我们:info@booksci.cn Book学术提供免费学术资源搜索服务,方便国内外学者检索中英文文献。致力于提供最便捷和优质的服务体验。 Copyright © 2023 布克学术 All rights reserved.
京ICP备2023020795号-1
ghs 京公网安备 11010802042870号
Book学术文献互助
Book学术文献互助群
群 号:604180095
Book学术官方微信