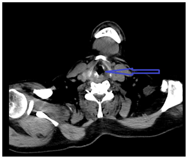
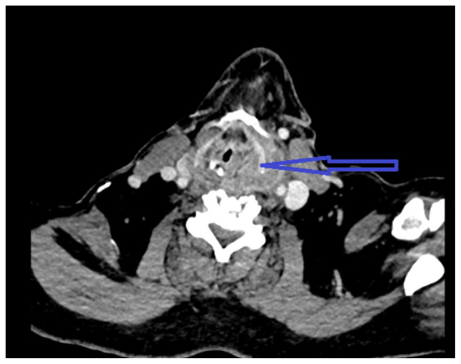
深颈间隙感染是经食管超声心动图心房扑动消融的并发症。

IF 0.6 Q3 MEDICINE, GENERAL & INTERNAL
Anish K Shrestha, Naffa Faisal, Kanchana Bali, Nadine Safi, Maria E Mesalles, Nahar Saleh
{"title":"深颈间隙感染是经食管超声心动图心房扑动消融的并发症。","authors":"Anish K Shrestha, Naffa Faisal, Kanchana Bali, Nadine Safi, Maria E Mesalles, Nahar Saleh","doi":"10.55729/2000-9666.1520","DOIUrl":null,"url":null,"abstract":"<p><p>Transesophageal echocardiography is a relatively safe procedure; however, there are rare complications associated with it. Multiple attempts during TEE can lead to injury of hypopharyngeal or parapharyngeal wall leading to an infection. Here, we describe a case of hypopharyngeal-parapharyngeal abscess resulting from multiple TEE attempts during cardioversion leading to a prolonged hospital course.</p>","PeriodicalId":15460,"journal":{"name":"Journal of Community Hospital Internal Medicine Perspectives","volume":"15 4","pages":"108-111"},"PeriodicalIF":0.6000,"publicationDate":"2025-07-03","publicationTypes":"Journal Article","fieldsOfStudy":null,"isOpenAccess":false,"openAccessPdf":"https://www.ncbi.nlm.nih.gov/pmc/articles/PMC12315896/pdf/","citationCount":"0","resultStr":"{\"title\":\"Deep Neck Space Infection as a Complication of Transesophageal Echocardiogram for Atrial Flutter Ablation.\",\"authors\":\"Anish K Shrestha, Naffa Faisal, Kanchana Bali, Nadine Safi, Maria E Mesalles, Nahar Saleh\",\"doi\":\"10.55729/2000-9666.1520\",\"DOIUrl\":null,\"url\":null,\"abstract\":\"<p><p>Transesophageal echocardiography is a relatively safe procedure; however, there are rare complications associated with it. Multiple attempts during TEE can lead to injury of hypopharyngeal or parapharyngeal wall leading to an infection. Here, we describe a case of hypopharyngeal-parapharyngeal abscess resulting from multiple TEE attempts during cardioversion leading to a prolonged hospital course.</p>\",\"PeriodicalId\":15460,\"journal\":{\"name\":\"Journal of Community Hospital Internal Medicine Perspectives\",\"volume\":\"15 4\",\"pages\":\"108-111\"},\"PeriodicalIF\":0.6000,\"publicationDate\":\"2025-07-03\",\"publicationTypes\":\"Journal Article\",\"fieldsOfStudy\":null,\"isOpenAccess\":false,\"openAccessPdf\":\"https://www.ncbi.nlm.nih.gov/pmc/articles/PMC12315896/pdf/\",\"citationCount\":\"0\",\"resultStr\":null,\"platform\":\"Semanticscholar\",\"paperid\":null,\"PeriodicalName\":\"Journal of Community Hospital Internal Medicine Perspectives\",\"FirstCategoryId\":\"1085\",\"ListUrlMain\":\"https://doi.org/10.55729/2000-9666.1520\",\"RegionNum\":0,\"RegionCategory\":null,\"ArticlePicture\":[],\"TitleCN\":null,\"AbstractTextCN\":null,\"PMCID\":null,\"EPubDate\":\"2025/1/1 0:00:00\",\"PubModel\":\"eCollection\",\"JCR\":\"Q3\",\"JCRName\":\"MEDICINE, GENERAL & INTERNAL\",\"Score\":null,\"Total\":0}","platform":"Semanticscholar","paperid":null,"PeriodicalName":"Journal of Community Hospital Internal Medicine Perspectives","FirstCategoryId":"1085","ListUrlMain":"https://doi.org/10.55729/2000-9666.1520","RegionNum":0,"RegionCategory":null,"ArticlePicture":[],"TitleCN":null,"AbstractTextCN":null,"PMCID":null,"EPubDate":"2025/1/1 0:00:00","PubModel":"eCollection","JCR":"Q3","JCRName":"MEDICINE, GENERAL & INTERNAL","Score":null,"Total":0}
引用次数: 0

摘要

经食管超声心动图是一种相对安全的手术;然而,有罕见的并发症与之相关。在TEE期间多次尝试可导致下咽或咽旁壁损伤导致感染。在这里,我们描述了一个病例下咽咽旁脓肿导致多次TEE尝试在心脏复心导致延长的住院过程。
本文章由计算机程序翻译,如有差异,请以英文原文为准。

Deep Neck Space Infection as a Complication of Transesophageal Echocardiogram for Atrial Flutter Ablation.

Deep Neck Space Infection as a Complication of Transesophageal Echocardiogram for Atrial Flutter Ablation.

Deep Neck Space Infection as a Complication of Transesophageal Echocardiogram for Atrial Flutter Ablation.

Deep Neck Space Infection as a Complication of Transesophageal Echocardiogram for Atrial Flutter Ablation.

Transesophageal echocardiography is a relatively safe procedure; however, there are rare complications associated with it. Multiple attempts during TEE can lead to injury of hypopharyngeal or parapharyngeal wall leading to an infection. Here, we describe a case of hypopharyngeal-parapharyngeal abscess resulting from multiple TEE attempts during cardioversion leading to a prolonged hospital course.

求助全文
通过发布文献求助,成功后即可免费获取论文全文。 去求助
来源期刊
自引率
0.00%
发文量
106
审稿时长
17 weeks
期刊介绍: JCHIMP provides: up-to-date information in the field of Internal Medicine to community hospital medical professionals a platform for clinical faculty, residents, and medical students to publish research relevant to community hospital programs. Manuscripts that explore aspects of medicine at community hospitals welcome, including but not limited to: the best practices of community academic programs community hospital-based research opinion and insight from community hospital leadership and faculty the scholarly work of residents and medical students affiliated with community hospitals.
×
引用
GB/T 7714-2015
复制
MLA
复制
APA
复制
导出至
BibTeX EndNote RefMan NoteFirst NoteExpress
×
提示
您的信息不完整,为了账户安全,请先补充。
现在去补充
×
提示
您因"违规操作"
具体请查看互助需知
我知道了
×
提示
确定
请完成安全验证×
copy
已复制链接
快去分享给好友吧!
我知道了
右上角分享
点击右上角分享
0
联系我们:info@booksci.cn Book学术提供免费学术资源搜索服务,方便国内外学者检索中英文文献。致力于提供最便捷和优质的服务体验。 Copyright © 2023 布克学术 All rights reserved.
京ICP备2023020795号-1
ghs 京公网安备 11010802042870号
Book学术文献互助
Book学术文献互助群
群 号:604180095
Book学术官方微信