肾移植受者的芽生菌病:在阿巴拉契亚农村罕见的遭遇。

IF 0.6 Q3 MEDICINE, GENERAL & INTERNAL
Khawaja O Omar, William Sebastian, Suzanne Kemper
{"title":"肾移植受者的芽生菌病:在阿巴拉契亚农村罕见的遭遇。","authors":"Khawaja O Omar, William Sebastian, Suzanne Kemper","doi":"10.55729/2000-9666.1470","DOIUrl":null,"url":null,"abstract":"<p><strong>Background: </strong>Blastomycosis is a fungal infection caused by <i>Blastomyces</i> species, which are thermally dimorphic fungi endemic to the midwestern, south-central, and southeastern United States (US). Organ transplant patients are at risk of infection due to long-term immunosuppressive therapy. We present a unique case of blastomycosis in a renal transplant patient residing in a non-endemic region of Appalachia.</p><p><strong>Case report: </strong>A 67-year-old patient with history of tobacco use, atrial fibrillation, type 2 diabetes, hyperlipidemia, and bilateral deceased donor kidney transplantation (DDKT) in 2021, presented to Charleston Area Medical Center's (CAMC), Charleston WV, Emergency Department (ED) for fever and night sweats. Initial workup revealed 39.4 °C temperature with remaining vital signs normal. Corona, parainfluenza, influenza, metapneumovirus, mycoplasma pneumonia, RSV were negative, GI PCR panel was negative for C. difficle, yersinia, campylobacter, giardia, vibrio, norovirus, salmonella, rotavirus. Chest X-ray showed a 2.1 × 1.6 cm nodular density in the left upper lobe (LUL) lobe. White blood cell (WBC) count was elevated at 13000/mcl with a left-sided shift. Subsequent computed tomography (CT) of the chest without contrast demonstrated a 2.7 × 2.1 cm LUL mass. Urine <i>Blastomyces</i> antigen tested positive, prompting the initiation of empiric therapy for blastomycosis. Aspergillus was ruled out initially.</p><p><strong>Conclusion: </strong>Blastomycosis is a rare occurrence in the US, with annual incidence reported at 1 to 2 cases per 100,000. While transplant recipients are predisposed to acquiring blastomycosis, it remains an infrequent occurrence. In transplant patients presenting with persistent infectious symptoms, blastomycosis and other rare etiologies should be considered to prevent severe complications.</p>","PeriodicalId":15460,"journal":{"name":"Journal of Community Hospital Internal Medicine Perspectives","volume":"15 4","pages":"96-99"},"PeriodicalIF":0.6000,"publicationDate":"2025-07-03","publicationTypes":"Journal Article","fieldsOfStudy":null,"isOpenAccess":false,"openAccessPdf":"https://www.ncbi.nlm.nih.gov/pmc/articles/PMC12315875/pdf/","citationCount":"0","resultStr":"{\"title\":\"Blastomycosis in a Renal Transplant Recipient: A Rare Encounter in Rural Appalachia.\",\"authors\":\"Khawaja O Omar, William Sebastian, Suzanne Kemper\",\"doi\":\"10.55729/2000-9666.1470\",\"DOIUrl\":null,\"url\":null,\"abstract\":\"<p><strong>Background: </strong>Blastomycosis is a fungal infection caused by <i>Blastomyces</i> species, which are thermally dimorphic fungi endemic to the midwestern, south-central, and southeastern United States (US). Organ transplant patients are at risk of infection due to long-term immunosuppressive therapy. We present a unique case of blastomycosis in a renal transplant patient residing in a non-endemic region of Appalachia.</p><p><strong>Case report: </strong>A 67-year-old patient with history of tobacco use, atrial fibrillation, type 2 diabetes, hyperlipidemia, and bilateral deceased donor kidney transplantation (DDKT) in 2021, presented to Charleston Area Medical Center's (CAMC), Charleston WV, Emergency Department (ED) for fever and night sweats. Initial workup revealed 39.4 °C temperature with remaining vital signs normal. Corona, parainfluenza, influenza, metapneumovirus, mycoplasma pneumonia, RSV were negative, GI PCR panel was negative for C. difficle, yersinia, campylobacter, giardia, vibrio, norovirus, salmonella, rotavirus. Chest X-ray showed a 2.1 × 1.6 cm nodular density in the left upper lobe (LUL) lobe. White blood cell (WBC) count was elevated at 13000/mcl with a left-sided shift. Subsequent computed tomography (CT) of the chest without contrast demonstrated a 2.7 × 2.1 cm LUL mass. Urine <i>Blastomyces</i> antigen tested positive, prompting the initiation of empiric therapy for blastomycosis. Aspergillus was ruled out initially.</p><p><strong>Conclusion: </strong>Blastomycosis is a rare occurrence in the US, with annual incidence reported at 1 to 2 cases per 100,000. While transplant recipients are predisposed to acquiring blastomycosis, it remains an infrequent occurrence. In transplant patients presenting with persistent infectious symptoms, blastomycosis and other rare etiologies should be considered to prevent severe complications.</p>\",\"PeriodicalId\":15460,\"journal\":{\"name\":\"Journal of Community Hospital Internal Medicine Perspectives\",\"volume\":\"15 4\",\"pages\":\"96-99\"},\"PeriodicalIF\":0.6000,\"publicationDate\":\"2025-07-03\",\"publicationTypes\":\"Journal Article\",\"fieldsOfStudy\":null,\"isOpenAccess\":false,\"openAccessPdf\":\"https://www.ncbi.nlm.nih.gov/pmc/articles/PMC12315875/pdf/\",\"citationCount\":\"0\",\"resultStr\":null,\"platform\":\"Semanticscholar\",\"paperid\":null,\"PeriodicalName\":\"Journal of Community Hospital Internal Medicine Perspectives\",\"FirstCategoryId\":\"1085\",\"ListUrlMain\":\"https://doi.org/10.55729/2000-9666.1470\",\"RegionNum\":0,\"RegionCategory\":null,\"ArticlePicture\":[],\"TitleCN\":null,\"AbstractTextCN\":null,\"PMCID\":null,\"EPubDate\":\"2025/1/1 0:00:00\",\"PubModel\":\"eCollection\",\"JCR\":\"Q3\",\"JCRName\":\"MEDICINE, GENERAL & INTERNAL\",\"Score\":null,\"Total\":0}","platform":"Semanticscholar","paperid":null,"PeriodicalName":"Journal of Community Hospital Internal Medicine Perspectives","FirstCategoryId":"1085","ListUrlMain":"https://doi.org/10.55729/2000-9666.1470","RegionNum":0,"RegionCategory":null,"ArticlePicture":[],"TitleCN":null,"AbstractTextCN":null,"PMCID":null,"EPubDate":"2025/1/1 0:00:00","PubModel":"eCollection","JCR":"Q3","JCRName":"MEDICINE, GENERAL & INTERNAL","Score":null,"Total":0}
引用次数: 0

摘要

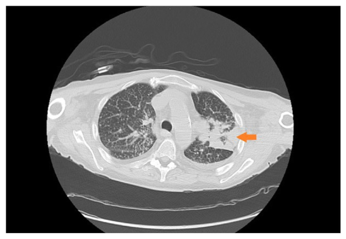
背景:芽生菌病是一种由芽生菌引起的真菌感染,芽生菌是美国中西部、中南部和东南部特有的热二态真菌。由于长期免疫抑制治疗,器官移植患者有感染的危险。我们提出了一个独特的情况下,芽菌病在肾移植患者居住在阿巴拉契亚的非地方性地区。病例报告:一名67岁的患者,有吸烟、心房颤动、2型糖尿病、高脂血症和双侧已故供体肾移植(DDKT)病史,于2021年被送往查尔斯顿地区医疗中心(CAMC), WV急诊科(ED)发烧和盗汗。初步检查显示体温39.4°C,其余生命体征正常。冠状病毒、副流感病毒、流感病毒、偏肺病毒、肺炎支原体、RSV阴性,GI PCR检测艰难梭菌、耶尔森菌、弯曲杆菌、贾第鞭毛虫、弧菌、诺如病毒、沙门氏菌、轮状病毒阴性。胸片示左上肺叶一2.1 × 1.6 cm结节密度。白细胞(WBC)计数升高至13000/mcl,左侧移位。随后的胸部计算机断层扫描(CT)显示一个2.7 × 2.1 cm的LUL肿块。尿液中芽生菌抗原检测呈阳性,提示开始对芽生菌病进行经验性治疗。最初排除了曲霉。结论:在美国,芽生菌病是一种罕见的疾病,据报道每年的发病率为每10万人中有1至2例。虽然移植受者易患胚菌病,但这种情况并不常见。对于出现持续感染症状的移植患者,应考虑芽孢菌病和其他罕见病因,以防止严重并发症。
本文章由计算机程序翻译,如有差异,请以英文原文为准。

Blastomycosis in a Renal Transplant Recipient: A Rare Encounter in Rural Appalachia.

Blastomycosis in a Renal Transplant Recipient: A Rare Encounter in Rural Appalachia.

Background: Blastomycosis is a fungal infection caused by Blastomyces species, which are thermally dimorphic fungi endemic to the midwestern, south-central, and southeastern United States (US). Organ transplant patients are at risk of infection due to long-term immunosuppressive therapy. We present a unique case of blastomycosis in a renal transplant patient residing in a non-endemic region of Appalachia.

Case report: A 67-year-old patient with history of tobacco use, atrial fibrillation, type 2 diabetes, hyperlipidemia, and bilateral deceased donor kidney transplantation (DDKT) in 2021, presented to Charleston Area Medical Center's (CAMC), Charleston WV, Emergency Department (ED) for fever and night sweats. Initial workup revealed 39.4 °C temperature with remaining vital signs normal. Corona, parainfluenza, influenza, metapneumovirus, mycoplasma pneumonia, RSV were negative, GI PCR panel was negative for C. difficle, yersinia, campylobacter, giardia, vibrio, norovirus, salmonella, rotavirus. Chest X-ray showed a 2.1 × 1.6 cm nodular density in the left upper lobe (LUL) lobe. White blood cell (WBC) count was elevated at 13000/mcl with a left-sided shift. Subsequent computed tomography (CT) of the chest without contrast demonstrated a 2.7 × 2.1 cm LUL mass. Urine Blastomyces antigen tested positive, prompting the initiation of empiric therapy for blastomycosis. Aspergillus was ruled out initially.

Conclusion: Blastomycosis is a rare occurrence in the US, with annual incidence reported at 1 to 2 cases per 100,000. While transplant recipients are predisposed to acquiring blastomycosis, it remains an infrequent occurrence. In transplant patients presenting with persistent infectious symptoms, blastomycosis and other rare etiologies should be considered to prevent severe complications.

求助全文
通过发布文献求助,成功后即可免费获取论文全文。 去求助
来源期刊
自引率
0.00%
发文量
106
审稿时长
17 weeks
期刊介绍: JCHIMP provides: up-to-date information in the field of Internal Medicine to community hospital medical professionals a platform for clinical faculty, residents, and medical students to publish research relevant to community hospital programs. Manuscripts that explore aspects of medicine at community hospitals welcome, including but not limited to: the best practices of community academic programs community hospital-based research opinion and insight from community hospital leadership and faculty the scholarly work of residents and medical students affiliated with community hospitals.
×
引用
GB/T 7714-2015
复制
MLA
复制
APA
复制
导出至
BibTeX EndNote RefMan NoteFirst NoteExpress
×
提示
您的信息不完整,为了账户安全,请先补充。
现在去补充
×
提示
您因"违规操作"
具体请查看互助需知
我知道了
×
提示
确定
请完成安全验证×
copy
已复制链接
快去分享给好友吧!
我知道了
右上角分享
点击右上角分享
0
联系我们:info@booksci.cn Book学术提供免费学术资源搜索服务,方便国内外学者检索中英文文献。致力于提供最便捷和优质的服务体验。 Copyright © 2023 布克学术 All rights reserved.
京ICP备2023020795号-1
ghs 京公网安备 11010802042870号
Book学术文献互助
Book学术文献互助群
群 号:604180095
Book学术官方微信