心房颤动和心力衰竭之外:依鲁替尼诱发的心包积液。

IF 0.6 Q3 MEDICINE, GENERAL & INTERNAL
Anaiya Singh, Kathryn Rucktuhl, Viraj Panchal, Poornima Ramadas
{"title":"心房颤动和心力衰竭之外:依鲁替尼诱发的心包积液。","authors":"Anaiya Singh, Kathryn Rucktuhl, Viraj Panchal, Poornima Ramadas","doi":"10.55729/2000-9666.1509","DOIUrl":null,"url":null,"abstract":"<p><p>Ibrutinib, a Bruton's tyrosine kinase inhibitor, has transformed the management of various hematological malignancies. However, its association with cardiovascular toxicities, particularly atrial fibrillation (AF), hypertension, and heart failure (HF), has raised clinical concerns. Pericardial effusion, though rare, is an emerging complication warranting attention. We present the case of a 62-year-old male with lymphoplasmacytic lymphoma, initially treated with Bendamustine and Rituximab, which was discontinued due to significant neutropenia. Ibrutinib therapy was initiated, leading to a partial response at three months. Approximately ten months into ibrutinib treatment, the patient developed new-onset dyspnea, palpitations, and dizziness. ECG revealed AF with rapid ventricular response, and transthoracic echocardiogram (TTE) showed a reduced left ventricular ejection fraction of 40 % and a moderate pericardial effusion. Baseline assessments prior to ibrutinib had indicated normal cardiac function. Given the development of heart failure with reduced ejection fraction and pericardial effusion, ibrutinib was discontinued. The patient was initiated on guideline-directed medical therapy for heart failure. Over six months, the patient exhibited significant cardiac recovery, with normalization of ejection fraction and resolution of the pericardial effusion. While atrial fibrillation and heart failure are recognized as adverse effects of ibrutinib, pericardial effusion is less commonly reported. Given the increasing use of ibrutinib, clinicians should maintain vigilance for cardiovascular complications. Early recognition and management are crucial to mitigate morbidity and mortality associated with these adverse effects. This case highlights the importance of comprehensive cardiovascular monitoring in patients receiving ibrutinib and contributes to the growing body of literature on its cardiotoxic profile.</p>","PeriodicalId":15460,"journal":{"name":"Journal of Community Hospital Internal Medicine Perspectives","volume":"15 4","pages":"81-87"},"PeriodicalIF":0.6000,"publicationDate":"2025-07-03","publicationTypes":"Journal Article","fieldsOfStudy":null,"isOpenAccess":false,"openAccessPdf":"https://www.ncbi.nlm.nih.gov/pmc/articles/PMC12315882/pdf/","citationCount":"0","resultStr":"{\"title\":\"Beyond Atrial Fibrillation and Heart Failure: Ibrutinib-induced Pericardial Effusion.\",\"authors\":\"Anaiya Singh, Kathryn Rucktuhl, Viraj Panchal, Poornima Ramadas\",\"doi\":\"10.55729/2000-9666.1509\",\"DOIUrl\":null,\"url\":null,\"abstract\":\"<p><p>Ibrutinib, a Bruton's tyrosine kinase inhibitor, has transformed the management of various hematological malignancies. However, its association with cardiovascular toxicities, particularly atrial fibrillation (AF), hypertension, and heart failure (HF), has raised clinical concerns. Pericardial effusion, though rare, is an emerging complication warranting attention. We present the case of a 62-year-old male with lymphoplasmacytic lymphoma, initially treated with Bendamustine and Rituximab, which was discontinued due to significant neutropenia. Ibrutinib therapy was initiated, leading to a partial response at three months. Approximately ten months into ibrutinib treatment, the patient developed new-onset dyspnea, palpitations, and dizziness. ECG revealed AF with rapid ventricular response, and transthoracic echocardiogram (TTE) showed a reduced left ventricular ejection fraction of 40 % and a moderate pericardial effusion. Baseline assessments prior to ibrutinib had indicated normal cardiac function. Given the development of heart failure with reduced ejection fraction and pericardial effusion, ibrutinib was discontinued. The patient was initiated on guideline-directed medical therapy for heart failure. Over six months, the patient exhibited significant cardiac recovery, with normalization of ejection fraction and resolution of the pericardial effusion. While atrial fibrillation and heart failure are recognized as adverse effects of ibrutinib, pericardial effusion is less commonly reported. Given the increasing use of ibrutinib, clinicians should maintain vigilance for cardiovascular complications. Early recognition and management are crucial to mitigate morbidity and mortality associated with these adverse effects. This case highlights the importance of comprehensive cardiovascular monitoring in patients receiving ibrutinib and contributes to the growing body of literature on its cardiotoxic profile.</p>\",\"PeriodicalId\":15460,\"journal\":{\"name\":\"Journal of Community Hospital Internal Medicine Perspectives\",\"volume\":\"15 4\",\"pages\":\"81-87\"},\"PeriodicalIF\":0.6000,\"publicationDate\":\"2025-07-03\",\"publicationTypes\":\"Journal Article\",\"fieldsOfStudy\":null,\"isOpenAccess\":false,\"openAccessPdf\":\"https://www.ncbi.nlm.nih.gov/pmc/articles/PMC12315882/pdf/\",\"citationCount\":\"0\",\"resultStr\":null,\"platform\":\"Semanticscholar\",\"paperid\":null,\"PeriodicalName\":\"Journal of Community Hospital Internal Medicine Perspectives\",\"FirstCategoryId\":\"1085\",\"ListUrlMain\":\"https://doi.org/10.55729/2000-9666.1509\",\"RegionNum\":0,\"RegionCategory\":null,\"ArticlePicture\":[],\"TitleCN\":null,\"AbstractTextCN\":null,\"PMCID\":null,\"EPubDate\":\"2025/1/1 0:00:00\",\"PubModel\":\"eCollection\",\"JCR\":\"Q3\",\"JCRName\":\"MEDICINE, GENERAL & INTERNAL\",\"Score\":null,\"Total\":0}","platform":"Semanticscholar","paperid":null,"PeriodicalName":"Journal of Community Hospital Internal Medicine Perspectives","FirstCategoryId":"1085","ListUrlMain":"https://doi.org/10.55729/2000-9666.1509","RegionNum":0,"RegionCategory":null,"ArticlePicture":[],"TitleCN":null,"AbstractTextCN":null,"PMCID":null,"EPubDate":"2025/1/1 0:00:00","PubModel":"eCollection","JCR":"Q3","JCRName":"MEDICINE, GENERAL & INTERNAL","Score":null,"Total":0}
引用次数: 0

摘要

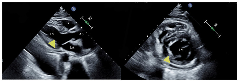
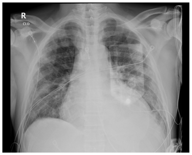
伊鲁替尼,一种布鲁顿酪氨酸激酶抑制剂,已经改变了各种血液系统恶性肿瘤的管理。然而,它与心血管毒性,特别是心房颤动(AF)、高血压和心力衰竭(HF)的关联引起了临床关注。心包积液虽然罕见,但也是一种值得注意的新并发症。我们报告一个62岁男性淋巴浆细胞性淋巴瘤的病例,最初用苯达莫司汀和利妥昔单抗治疗,由于明显的中性粒细胞减少而停止治疗。开始伊鲁替尼治疗,3个月时部分缓解。伊鲁替尼治疗约10个月后,患者出现新发呼吸困难、心悸和头晕。心电图显示房颤伴心室快速反应,经胸超声心动图(TTE)显示左心室射血分数降低40%,心包积液中度。使用依鲁替尼之前的基线评估显示心脏功能正常。考虑到心力衰竭伴射血分数降低和心包积液的发展,停用依鲁替尼。患者开始接受指南指导的心力衰竭药物治疗。6个月后,患者表现出明显的心脏恢复,射血分数恢复正常,心包积液消失。虽然心房颤动和心力衰竭被认为是依鲁替尼的不良反应,但心包积液很少被报道。鉴于伊鲁替尼的使用日益增加,临床医生应对心血管并发症保持警惕。早期识别和管理对于降低与这些不良反应相关的发病率和死亡率至关重要。该病例强调了对接受伊鲁替尼治疗的患者进行全面心血管监测的重要性,并有助于越来越多的关于其心脏毒性的文献。
本文章由计算机程序翻译,如有差异,请以英文原文为准。

Beyond Atrial Fibrillation and Heart Failure: Ibrutinib-induced Pericardial Effusion.

Beyond Atrial Fibrillation and Heart Failure: Ibrutinib-induced Pericardial Effusion.

Beyond Atrial Fibrillation and Heart Failure: Ibrutinib-induced Pericardial Effusion.

Beyond Atrial Fibrillation and Heart Failure: Ibrutinib-induced Pericardial Effusion.

Ibrutinib, a Bruton's tyrosine kinase inhibitor, has transformed the management of various hematological malignancies. However, its association with cardiovascular toxicities, particularly atrial fibrillation (AF), hypertension, and heart failure (HF), has raised clinical concerns. Pericardial effusion, though rare, is an emerging complication warranting attention. We present the case of a 62-year-old male with lymphoplasmacytic lymphoma, initially treated with Bendamustine and Rituximab, which was discontinued due to significant neutropenia. Ibrutinib therapy was initiated, leading to a partial response at three months. Approximately ten months into ibrutinib treatment, the patient developed new-onset dyspnea, palpitations, and dizziness. ECG revealed AF with rapid ventricular response, and transthoracic echocardiogram (TTE) showed a reduced left ventricular ejection fraction of 40 % and a moderate pericardial effusion. Baseline assessments prior to ibrutinib had indicated normal cardiac function. Given the development of heart failure with reduced ejection fraction and pericardial effusion, ibrutinib was discontinued. The patient was initiated on guideline-directed medical therapy for heart failure. Over six months, the patient exhibited significant cardiac recovery, with normalization of ejection fraction and resolution of the pericardial effusion. While atrial fibrillation and heart failure are recognized as adverse effects of ibrutinib, pericardial effusion is less commonly reported. Given the increasing use of ibrutinib, clinicians should maintain vigilance for cardiovascular complications. Early recognition and management are crucial to mitigate morbidity and mortality associated with these adverse effects. This case highlights the importance of comprehensive cardiovascular monitoring in patients receiving ibrutinib and contributes to the growing body of literature on its cardiotoxic profile.

求助全文
通过发布文献求助,成功后即可免费获取论文全文。 去求助
来源期刊
自引率
0.00%
发文量
106
审稿时长
17 weeks
期刊介绍: JCHIMP provides: up-to-date information in the field of Internal Medicine to community hospital medical professionals a platform for clinical faculty, residents, and medical students to publish research relevant to community hospital programs. Manuscripts that explore aspects of medicine at community hospitals welcome, including but not limited to: the best practices of community academic programs community hospital-based research opinion and insight from community hospital leadership and faculty the scholarly work of residents and medical students affiliated with community hospitals.
×
引用
GB/T 7714-2015
复制
MLA
复制
APA
复制
导出至
BibTeX EndNote RefMan NoteFirst NoteExpress
×
提示
您的信息不完整,为了账户安全,请先补充。
现在去补充
×
提示
您因"违规操作"
具体请查看互助需知
我知道了
×
提示
确定
请完成安全验证×
copy
已复制链接
快去分享给好友吧!
我知道了
右上角分享
点击右上角分享
0
联系我们:info@booksci.cn Book学术提供免费学术资源搜索服务,方便国内外学者检索中英文文献。致力于提供最便捷和优质的服务体验。 Copyright © 2023 布克学术 All rights reserved.
京ICP备2023020795号-1
ghs 京公网安备 11010802042870号
Book学术文献互助
Book学术文献互助群
群 号:604180095
Book学术官方微信