舒马曲坦致可逆性脑血管收缩综合征1例报告及文献复习。

IF 0.6 Q3 MEDICINE, GENERAL & INTERNAL
Rafi Aibani, Morgan Koontz, James S Harman, Amir Kamran, Khawaja Omar
{"title":"舒马曲坦致可逆性脑血管收缩综合征1例报告及文献复习。","authors":"Rafi Aibani, Morgan Koontz, James S Harman, Amir Kamran, Khawaja Omar","doi":"10.55729/2000-9666.1482","DOIUrl":null,"url":null,"abstract":"<p><strong>Background: </strong>Reversible Cerebral Vasoconstriction Syndrome (RCVS) is characterized by multiple transient cerebral vasoconstrictions that typically resolve within three months, often presenting with sudden thunderclap headaches. Although the cause can be identified in 25 %-60 % of cases, RCVS can also occur spontaneously. Common triggers include vasoactive substances and postpartum states, with the latter accounting for 50 %-60 % of cases. This report discusses a case of RCVS following sumatriptan use.</p><p><strong>Case report: </strong>A 58-year-old woman with controlled hypertension and obstructive sleep apnea presented with recurrent unilateral pulsating headaches, nausea, and photophobia. Initially diagnosed as migraine, she later developed right homonymous hemianopia. Imaging revealed bilateral occipital and parietal strokes with intracranial vasoconstriction. Cerebral angiography confirmed vasospasm, responsive to intra-arterial milrinone. Diagnosed with reversible cerebral vasoconstriction syndrome, she was treated with nimodipine, resulting in complete symptom resolution.</p><p><strong>Conclusion: </strong>RCVS is a rare syndrome with varied triggers and clinical features, requiring careful evaluation and management. Early diagnosis and vasospasm-targeted therapies, such as nimodipine, are essential for preventing complications. This case underscores the importance of considering RCVS in patients with sudden severe headaches and neurological deficits, particularly those using serotonergic medications.</p>","PeriodicalId":15460,"journal":{"name":"Journal of Community Hospital Internal Medicine Perspectives","volume":"15 3","pages":"68-72"},"PeriodicalIF":0.6000,"publicationDate":"2025-05-05","publicationTypes":"Journal Article","fieldsOfStudy":null,"isOpenAccess":false,"openAccessPdf":"https://www.ncbi.nlm.nih.gov/pmc/articles/PMC12313128/pdf/","citationCount":"0","resultStr":"{\"title\":\"Reversible Cerebral Vasoconstriction Syndrome Induced by Sumatriptan: A Case Report and Review of Literature.\",\"authors\":\"Rafi Aibani, Morgan Koontz, James S Harman, Amir Kamran, Khawaja Omar\",\"doi\":\"10.55729/2000-9666.1482\",\"DOIUrl\":null,\"url\":null,\"abstract\":\"<p><strong>Background: </strong>Reversible Cerebral Vasoconstriction Syndrome (RCVS) is characterized by multiple transient cerebral vasoconstrictions that typically resolve within three months, often presenting with sudden thunderclap headaches. Although the cause can be identified in 25 %-60 % of cases, RCVS can also occur spontaneously. Common triggers include vasoactive substances and postpartum states, with the latter accounting for 50 %-60 % of cases. This report discusses a case of RCVS following sumatriptan use.</p><p><strong>Case report: </strong>A 58-year-old woman with controlled hypertension and obstructive sleep apnea presented with recurrent unilateral pulsating headaches, nausea, and photophobia. Initially diagnosed as migraine, she later developed right homonymous hemianopia. Imaging revealed bilateral occipital and parietal strokes with intracranial vasoconstriction. Cerebral angiography confirmed vasospasm, responsive to intra-arterial milrinone. Diagnosed with reversible cerebral vasoconstriction syndrome, she was treated with nimodipine, resulting in complete symptom resolution.</p><p><strong>Conclusion: </strong>RCVS is a rare syndrome with varied triggers and clinical features, requiring careful evaluation and management. Early diagnosis and vasospasm-targeted therapies, such as nimodipine, are essential for preventing complications. This case underscores the importance of considering RCVS in patients with sudden severe headaches and neurological deficits, particularly those using serotonergic medications.</p>\",\"PeriodicalId\":15460,\"journal\":{\"name\":\"Journal of Community Hospital Internal Medicine Perspectives\",\"volume\":\"15 3\",\"pages\":\"68-72\"},\"PeriodicalIF\":0.6000,\"publicationDate\":\"2025-05-05\",\"publicationTypes\":\"Journal Article\",\"fieldsOfStudy\":null,\"isOpenAccess\":false,\"openAccessPdf\":\"https://www.ncbi.nlm.nih.gov/pmc/articles/PMC12313128/pdf/\",\"citationCount\":\"0\",\"resultStr\":null,\"platform\":\"Semanticscholar\",\"paperid\":null,\"PeriodicalName\":\"Journal of Community Hospital Internal Medicine Perspectives\",\"FirstCategoryId\":\"1085\",\"ListUrlMain\":\"https://doi.org/10.55729/2000-9666.1482\",\"RegionNum\":0,\"RegionCategory\":null,\"ArticlePicture\":[],\"TitleCN\":null,\"AbstractTextCN\":null,\"PMCID\":null,\"EPubDate\":\"2025/1/1 0:00:00\",\"PubModel\":\"eCollection\",\"JCR\":\"Q3\",\"JCRName\":\"MEDICINE, GENERAL & INTERNAL\",\"Score\":null,\"Total\":0}","platform":"Semanticscholar","paperid":null,"PeriodicalName":"Journal of Community Hospital Internal Medicine Perspectives","FirstCategoryId":"1085","ListUrlMain":"https://doi.org/10.55729/2000-9666.1482","RegionNum":0,"RegionCategory":null,"ArticlePicture":[],"TitleCN":null,"AbstractTextCN":null,"PMCID":null,"EPubDate":"2025/1/1 0:00:00","PubModel":"eCollection","JCR":"Q3","JCRName":"MEDICINE, GENERAL & INTERNAL","Score":null,"Total":0}
引用次数: 0

摘要

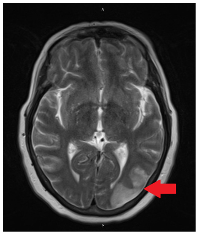
背景:可逆性脑血管收缩综合征(RCVS)的特征是多发性短暂性脑血管收缩,通常在3个月内消退,常表现为突然的雷击性头痛。虽然在25% - 60%的病例中可以确定病因,但RCVS也可以自发发生。常见的触发因素包括血管活性物质和产后状态,后者占50% - 60%的病例。本报告讨论了一个使用舒美司坦后发生RCVS的病例。病例报告:一名58岁女性,患有控制高血压和阻塞性睡眠呼吸暂停,表现为反复的单侧搏动性头痛,恶心和畏光。她最初被诊断为偏头痛,后来发展为右眼同义性偏视。影像学显示双侧枕部和顶叶中风伴颅内血管收缩。脑血管造影证实血管痉挛,动脉内注射米力酮有反应。诊断为可逆性脑血管收缩综合征,给予尼莫地平治疗,症状完全缓解。结论:RCVS是一种罕见的综合征,具有多种触发因素和临床特征,需要仔细评估和处理。早期诊断和针对血管痉挛的治疗,如尼莫地平,对于预防并发症至关重要。该病例强调了在突发性严重头痛和神经功能障碍患者中考虑RCVS的重要性,特别是那些使用血清素能药物的患者。
本文章由计算机程序翻译,如有差异,请以英文原文为准。

Reversible Cerebral Vasoconstriction Syndrome Induced by Sumatriptan: A Case Report and Review of Literature.

Reversible Cerebral Vasoconstriction Syndrome Induced by Sumatriptan: A Case Report and Review of Literature.

Reversible Cerebral Vasoconstriction Syndrome Induced by Sumatriptan: A Case Report and Review of Literature.

Reversible Cerebral Vasoconstriction Syndrome Induced by Sumatriptan: A Case Report and Review of Literature.

Background: Reversible Cerebral Vasoconstriction Syndrome (RCVS) is characterized by multiple transient cerebral vasoconstrictions that typically resolve within three months, often presenting with sudden thunderclap headaches. Although the cause can be identified in 25 %-60 % of cases, RCVS can also occur spontaneously. Common triggers include vasoactive substances and postpartum states, with the latter accounting for 50 %-60 % of cases. This report discusses a case of RCVS following sumatriptan use.

Case report: A 58-year-old woman with controlled hypertension and obstructive sleep apnea presented with recurrent unilateral pulsating headaches, nausea, and photophobia. Initially diagnosed as migraine, she later developed right homonymous hemianopia. Imaging revealed bilateral occipital and parietal strokes with intracranial vasoconstriction. Cerebral angiography confirmed vasospasm, responsive to intra-arterial milrinone. Diagnosed with reversible cerebral vasoconstriction syndrome, she was treated with nimodipine, resulting in complete symptom resolution.

Conclusion: RCVS is a rare syndrome with varied triggers and clinical features, requiring careful evaluation and management. Early diagnosis and vasospasm-targeted therapies, such as nimodipine, are essential for preventing complications. This case underscores the importance of considering RCVS in patients with sudden severe headaches and neurological deficits, particularly those using serotonergic medications.

求助全文
通过发布文献求助,成功后即可免费获取论文全文。 去求助
来源期刊
自引率
0.00%
发文量
106
审稿时长
17 weeks
期刊介绍: JCHIMP provides: up-to-date information in the field of Internal Medicine to community hospital medical professionals a platform for clinical faculty, residents, and medical students to publish research relevant to community hospital programs. Manuscripts that explore aspects of medicine at community hospitals welcome, including but not limited to: the best practices of community academic programs community hospital-based research opinion and insight from community hospital leadership and faculty the scholarly work of residents and medical students affiliated with community hospitals.
×
引用
GB/T 7714-2015
复制
MLA
复制
APA
复制
导出至
BibTeX EndNote RefMan NoteFirst NoteExpress
×
提示
您的信息不完整,为了账户安全,请先补充。
现在去补充
×
提示
您因"违规操作"
具体请查看互助需知
我知道了
×
提示
确定
请完成安全验证×
copy
已复制链接
快去分享给好友吧!
我知道了
右上角分享
点击右上角分享
0
联系我们:info@booksci.cn Book学术提供免费学术资源搜索服务,方便国内外学者检索中英文文献。致力于提供最便捷和优质的服务体验。 Copyright © 2023 布克学术 All rights reserved.
京ICP备2023020795号-1
ghs 京公网安备 11010802042870号
Book学术文献互助
Book学术文献互助群
群 号:604180095
Book学术官方微信