家族遗传:家族性特发性结肠静脉曲张的罕见病例。

IF 0.6 Q3 MEDICINE, GENERAL & INTERNAL
Rakahn Haddadin, Ozoemena Akah, Maryam Ameen, George Trad, John Ryan, Hatim Gemil
{"title":"家族遗传:家族性特发性结肠静脉曲张的罕见病例。","authors":"Rakahn Haddadin, Ozoemena Akah, Maryam Ameen, George Trad, John Ryan, Hatim Gemil","doi":"10.55729/2000-9666.1473","DOIUrl":null,"url":null,"abstract":"<p><strong>Background: </strong>Colonic varices (CV) remain an extremely rare condition, the usual cause of which is portal hypertension due to liver disease, chronic pancreatitis or malignancy. Here we present a case of familial idiopathic CV in a middle-aged female, complicated by a polyp removal during colonoscopy.</p><p><strong>Case presentation: </strong>A 57-year-old female with a past medical history of 5 months of melena, polyps and hemorrhoids diagnosed with idiopathic CV during diagnostic colonoscopy. She had no prior history of liver disease, pancreatic disease, non-steroidal anti-inflammatory drugs (NSAID) use, or blood thinner use. She was later found to have a family history of the condition.</p><p><strong>Conclusion: </strong>The rarity of this case is of particular concern for clinicians due to its life threatening complication of severe lower gastrointestinal bleed - a true medical emergency. This is particularly difficult in the absence of usual predisposing triggers. Differential diagnoses should be considered in patients that present with rectal bleeding of unknown cause.</p>","PeriodicalId":15460,"journal":{"name":"Journal of Community Hospital Internal Medicine Perspectives","volume":"15 3","pages":"103-107"},"PeriodicalIF":0.6000,"publicationDate":"2025-05-05","publicationTypes":"Journal Article","fieldsOfStudy":null,"isOpenAccess":false,"openAccessPdf":"https://www.ncbi.nlm.nih.gov/pmc/articles/PMC12313120/pdf/","citationCount":"0","resultStr":"{\"title\":\"It Runs in the Family: A Rare Case of Familial Idiopathic Colonic Varices.\",\"authors\":\"Rakahn Haddadin, Ozoemena Akah, Maryam Ameen, George Trad, John Ryan, Hatim Gemil\",\"doi\":\"10.55729/2000-9666.1473\",\"DOIUrl\":null,\"url\":null,\"abstract\":\"<p><strong>Background: </strong>Colonic varices (CV) remain an extremely rare condition, the usual cause of which is portal hypertension due to liver disease, chronic pancreatitis or malignancy. Here we present a case of familial idiopathic CV in a middle-aged female, complicated by a polyp removal during colonoscopy.</p><p><strong>Case presentation: </strong>A 57-year-old female with a past medical history of 5 months of melena, polyps and hemorrhoids diagnosed with idiopathic CV during diagnostic colonoscopy. She had no prior history of liver disease, pancreatic disease, non-steroidal anti-inflammatory drugs (NSAID) use, or blood thinner use. She was later found to have a family history of the condition.</p><p><strong>Conclusion: </strong>The rarity of this case is of particular concern for clinicians due to its life threatening complication of severe lower gastrointestinal bleed - a true medical emergency. This is particularly difficult in the absence of usual predisposing triggers. Differential diagnoses should be considered in patients that present with rectal bleeding of unknown cause.</p>\",\"PeriodicalId\":15460,\"journal\":{\"name\":\"Journal of Community Hospital Internal Medicine Perspectives\",\"volume\":\"15 3\",\"pages\":\"103-107\"},\"PeriodicalIF\":0.6000,\"publicationDate\":\"2025-05-05\",\"publicationTypes\":\"Journal Article\",\"fieldsOfStudy\":null,\"isOpenAccess\":false,\"openAccessPdf\":\"https://www.ncbi.nlm.nih.gov/pmc/articles/PMC12313120/pdf/\",\"citationCount\":\"0\",\"resultStr\":null,\"platform\":\"Semanticscholar\",\"paperid\":null,\"PeriodicalName\":\"Journal of Community Hospital Internal Medicine Perspectives\",\"FirstCategoryId\":\"1085\",\"ListUrlMain\":\"https://doi.org/10.55729/2000-9666.1473\",\"RegionNum\":0,\"RegionCategory\":null,\"ArticlePicture\":[],\"TitleCN\":null,\"AbstractTextCN\":null,\"PMCID\":null,\"EPubDate\":\"2025/1/1 0:00:00\",\"PubModel\":\"eCollection\",\"JCR\":\"Q3\",\"JCRName\":\"MEDICINE, GENERAL & INTERNAL\",\"Score\":null,\"Total\":0}","platform":"Semanticscholar","paperid":null,"PeriodicalName":"Journal of Community Hospital Internal Medicine Perspectives","FirstCategoryId":"1085","ListUrlMain":"https://doi.org/10.55729/2000-9666.1473","RegionNum":0,"RegionCategory":null,"ArticlePicture":[],"TitleCN":null,"AbstractTextCN":null,"PMCID":null,"EPubDate":"2025/1/1 0:00:00","PubModel":"eCollection","JCR":"Q3","JCRName":"MEDICINE, GENERAL & INTERNAL","Score":null,"Total":0}
引用次数: 0

摘要

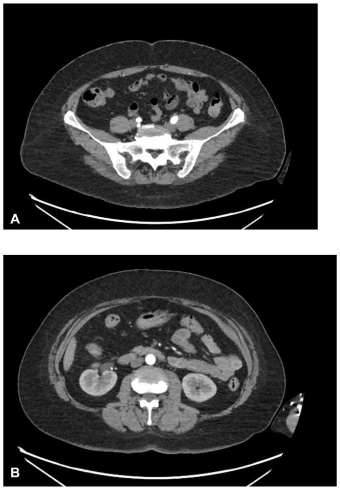
背景:结肠静脉曲张(CV)仍然是一种极其罕见的疾病,其常见原因是由肝脏疾病、慢性胰腺炎或恶性肿瘤引起的门静脉高压。我们在此报告一位中年女性的家族性特发性CV,并在结肠镜检查时切除息肉。病例介绍:一名57岁女性,既往有5个月的黑黑、息肉和痔疮病史,在诊断性结肠镜检查中被诊断为特发性CV。既往无肝脏疾病、胰腺疾病、非甾体抗炎药(NSAID)使用史或血液稀释剂使用史。后来发现她有家族病史。结论:该病例的罕见性特别值得临床医生关注,因为其危及生命的并发症是严重的下消化道出血-一种真正的医疗紧急情况。在没有常见诱因的情况下,这尤其困难。在出现原因不明的直肠出血时,应考虑鉴别诊断。
本文章由计算机程序翻译,如有差异,请以英文原文为准。

It Runs in the Family: A Rare Case of Familial Idiopathic Colonic Varices.

It Runs in the Family: A Rare Case of Familial Idiopathic Colonic Varices.

It Runs in the Family: A Rare Case of Familial Idiopathic Colonic Varices.

Background: Colonic varices (CV) remain an extremely rare condition, the usual cause of which is portal hypertension due to liver disease, chronic pancreatitis or malignancy. Here we present a case of familial idiopathic CV in a middle-aged female, complicated by a polyp removal during colonoscopy.

Case presentation: A 57-year-old female with a past medical history of 5 months of melena, polyps and hemorrhoids diagnosed with idiopathic CV during diagnostic colonoscopy. She had no prior history of liver disease, pancreatic disease, non-steroidal anti-inflammatory drugs (NSAID) use, or blood thinner use. She was later found to have a family history of the condition.

Conclusion: The rarity of this case is of particular concern for clinicians due to its life threatening complication of severe lower gastrointestinal bleed - a true medical emergency. This is particularly difficult in the absence of usual predisposing triggers. Differential diagnoses should be considered in patients that present with rectal bleeding of unknown cause.

求助全文
通过发布文献求助,成功后即可免费获取论文全文。 去求助
来源期刊
自引率
0.00%
发文量
106
审稿时长
17 weeks
期刊介绍: JCHIMP provides: up-to-date information in the field of Internal Medicine to community hospital medical professionals a platform for clinical faculty, residents, and medical students to publish research relevant to community hospital programs. Manuscripts that explore aspects of medicine at community hospitals welcome, including but not limited to: the best practices of community academic programs community hospital-based research opinion and insight from community hospital leadership and faculty the scholarly work of residents and medical students affiliated with community hospitals.
×
引用
GB/T 7714-2015
复制
MLA
复制
APA
复制
导出至
BibTeX EndNote RefMan NoteFirst NoteExpress
×
提示
您的信息不完整,为了账户安全,请先补充。
现在去补充
×
提示
您因"违规操作"
具体请查看互助需知
我知道了
×
提示
确定
请完成安全验证×
copy
已复制链接
快去分享给好友吧!
我知道了
右上角分享
点击右上角分享
0
联系我们:info@booksci.cn Book学术提供免费学术资源搜索服务,方便国内外学者检索中英文文献。致力于提供最便捷和优质的服务体验。 Copyright © 2023 布克学术 All rights reserved.
京ICP备2023020795号-1
ghs 京公网安备 11010802042870号
Book学术文献互助
Book学术文献互助群
群 号:604180095
Book学术官方微信