派姆单抗致难治性重症肌无力1例。

IF 0.6 Q3 MEDICINE, GENERAL & INTERNAL
Bushra Amer, Fatima D Hawshab, Lateefah D Hawshab, Khaled M Darwesh
{"title":"派姆单抗致难治性重症肌无力1例。","authors":"Bushra Amer, Fatima D Hawshab, Lateefah D Hawshab, Khaled M Darwesh","doi":"10.55729/2000-9666.1486","DOIUrl":null,"url":null,"abstract":"<p><p>Nowadays, checkpoint inhibitors play a major role in the management of different types of cancers. However, we have seen variants of immune therapy-related adverse events, which usually are variables from fatigue, to neuropathy to severe devastating complications such as respiratory failure due to myasthenia gravis (MG), as we saw in our case. Our patient was started on pembrolizumab, and they developed severe respiratory failure attributed to MG after three weeks from treatment initiation. Also, the patient presented with myositis, mild myocarditis and hepatitis, which were all related to pembrolizumab.</p>","PeriodicalId":15460,"journal":{"name":"Journal of Community Hospital Internal Medicine Perspectives","volume":"15 3","pages":"59-62"},"PeriodicalIF":0.6000,"publicationDate":"2025-05-05","publicationTypes":"Journal Article","fieldsOfStudy":null,"isOpenAccess":false,"openAccessPdf":"https://www.ncbi.nlm.nih.gov/pmc/articles/PMC12313284/pdf/","citationCount":"0","resultStr":"{\"title\":\"Case With Refractory Myasthenia Gravis Caused by Pembrolizumab.\",\"authors\":\"Bushra Amer, Fatima D Hawshab, Lateefah D Hawshab, Khaled M Darwesh\",\"doi\":\"10.55729/2000-9666.1486\",\"DOIUrl\":null,\"url\":null,\"abstract\":\"<p><p>Nowadays, checkpoint inhibitors play a major role in the management of different types of cancers. However, we have seen variants of immune therapy-related adverse events, which usually are variables from fatigue, to neuropathy to severe devastating complications such as respiratory failure due to myasthenia gravis (MG), as we saw in our case. Our patient was started on pembrolizumab, and they developed severe respiratory failure attributed to MG after three weeks from treatment initiation. Also, the patient presented with myositis, mild myocarditis and hepatitis, which were all related to pembrolizumab.</p>\",\"PeriodicalId\":15460,\"journal\":{\"name\":\"Journal of Community Hospital Internal Medicine Perspectives\",\"volume\":\"15 3\",\"pages\":\"59-62\"},\"PeriodicalIF\":0.6000,\"publicationDate\":\"2025-05-05\",\"publicationTypes\":\"Journal Article\",\"fieldsOfStudy\":null,\"isOpenAccess\":false,\"openAccessPdf\":\"https://www.ncbi.nlm.nih.gov/pmc/articles/PMC12313284/pdf/\",\"citationCount\":\"0\",\"resultStr\":null,\"platform\":\"Semanticscholar\",\"paperid\":null,\"PeriodicalName\":\"Journal of Community Hospital Internal Medicine Perspectives\",\"FirstCategoryId\":\"1085\",\"ListUrlMain\":\"https://doi.org/10.55729/2000-9666.1486\",\"RegionNum\":0,\"RegionCategory\":null,\"ArticlePicture\":[],\"TitleCN\":null,\"AbstractTextCN\":null,\"PMCID\":null,\"EPubDate\":\"2025/1/1 0:00:00\",\"PubModel\":\"eCollection\",\"JCR\":\"Q3\",\"JCRName\":\"MEDICINE, GENERAL & INTERNAL\",\"Score\":null,\"Total\":0}","platform":"Semanticscholar","paperid":null,"PeriodicalName":"Journal of Community Hospital Internal Medicine Perspectives","FirstCategoryId":"1085","ListUrlMain":"https://doi.org/10.55729/2000-9666.1486","RegionNum":0,"RegionCategory":null,"ArticlePicture":[],"TitleCN":null,"AbstractTextCN":null,"PMCID":null,"EPubDate":"2025/1/1 0:00:00","PubModel":"eCollection","JCR":"Q3","JCRName":"MEDICINE, GENERAL & INTERNAL","Score":null,"Total":0}
引用次数: 0

摘要

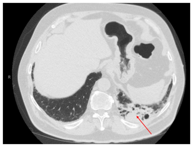
如今,检查点抑制剂在不同类型癌症的治疗中发挥着重要作用。然而,我们已经看到了免疫治疗相关不良事件的变体,通常从疲劳到神经病变到严重的破坏性并发症,如重症肌无力(MG)引起的呼吸衰竭,就像我们在本病例中看到的那样。我们的患者开始使用派姆单抗,在开始治疗三周后出现MG引起的严重呼吸衰竭。此外,患者出现肌炎、轻度心肌炎和肝炎,均与派姆单抗有关。
本文章由计算机程序翻译,如有差异,请以英文原文为准。

Case With Refractory Myasthenia Gravis Caused by Pembrolizumab.

Case With Refractory Myasthenia Gravis Caused by Pembrolizumab.

Case With Refractory Myasthenia Gravis Caused by Pembrolizumab.

Nowadays, checkpoint inhibitors play a major role in the management of different types of cancers. However, we have seen variants of immune therapy-related adverse events, which usually are variables from fatigue, to neuropathy to severe devastating complications such as respiratory failure due to myasthenia gravis (MG), as we saw in our case. Our patient was started on pembrolizumab, and they developed severe respiratory failure attributed to MG after three weeks from treatment initiation. Also, the patient presented with myositis, mild myocarditis and hepatitis, which were all related to pembrolizumab.

求助全文
通过发布文献求助,成功后即可免费获取论文全文。 去求助
来源期刊
自引率
0.00%
发文量
106
审稿时长
17 weeks
期刊介绍: JCHIMP provides: up-to-date information in the field of Internal Medicine to community hospital medical professionals a platform for clinical faculty, residents, and medical students to publish research relevant to community hospital programs. Manuscripts that explore aspects of medicine at community hospitals welcome, including but not limited to: the best practices of community academic programs community hospital-based research opinion and insight from community hospital leadership and faculty the scholarly work of residents and medical students affiliated with community hospitals.
×
引用
GB/T 7714-2015
复制
MLA
复制
APA
复制
导出至
BibTeX EndNote RefMan NoteFirst NoteExpress
×
提示
您的信息不完整,为了账户安全,请先补充。
现在去补充
×
提示
您因"违规操作"
具体请查看互助需知
我知道了
×
提示
确定
请完成安全验证×
copy
已复制链接
快去分享给好友吧!
我知道了
右上角分享
点击右上角分享
0
联系我们:info@booksci.cn Book学术提供免费学术资源搜索服务,方便国内外学者检索中英文文献。致力于提供最便捷和优质的服务体验。 Copyright © 2023 布克学术 All rights reserved.
京ICP备2023020795号-1
ghs 京公网安备 11010802042870号
Book学术文献互助
Book学术文献互助群
群 号:604180095
Book学术官方微信