肠外:肺癌表现为复杂的憩室炎。

IF 0.6 Q3 MEDICINE, GENERAL & INTERNAL
Ramya Vasireddy, Mariah M Bilalaga, Greeshma Gaddipati, Terina S Chen, Hashroop Gurm
{"title":"肠外:肺癌表现为复杂的憩室炎。","authors":"Ramya Vasireddy, Mariah M Bilalaga, Greeshma Gaddipati, Terina S Chen, Hashroop Gurm","doi":"10.55729/2000-9666.1487","DOIUrl":null,"url":null,"abstract":"<p><p>Lung cancer is often diagnosed at advanced stages frequently metastasizing to organs like the liver, adrenal glands, brain and bones. However, gastrointestinal metastasis, especially to the small intestine, is rare. We report a patient who presented with a perforated small bowel, requiring emergent laparotomy. Imaging suggested an infectious process, but subsequent workup revealed jejunal perforation and poorly differentiated lung cancer. Despite being a candidate for immunotherapy alone, the patient opted for hospice. This case emphasizes the atypical presentation of lung cancer as a gastrointestinal complication and underscores the importance of keeping malignancy in the differential for a perforated small bowel.</p>","PeriodicalId":15460,"journal":{"name":"Journal of Community Hospital Internal Medicine Perspectives","volume":"15 3","pages":"98-102"},"PeriodicalIF":0.6000,"publicationDate":"2025-05-05","publicationTypes":"Journal Article","fieldsOfStudy":null,"isOpenAccess":false,"openAccessPdf":"https://www.ncbi.nlm.nih.gov/pmc/articles/PMC12313122/pdf/","citationCount":"0","resultStr":"{\"title\":\"Beyond the Bowel: Lung Cancer Presenting as Complicated Diverticulitis.\",\"authors\":\"Ramya Vasireddy, Mariah M Bilalaga, Greeshma Gaddipati, Terina S Chen, Hashroop Gurm\",\"doi\":\"10.55729/2000-9666.1487\",\"DOIUrl\":null,\"url\":null,\"abstract\":\"<p><p>Lung cancer is often diagnosed at advanced stages frequently metastasizing to organs like the liver, adrenal glands, brain and bones. However, gastrointestinal metastasis, especially to the small intestine, is rare. We report a patient who presented with a perforated small bowel, requiring emergent laparotomy. Imaging suggested an infectious process, but subsequent workup revealed jejunal perforation and poorly differentiated lung cancer. Despite being a candidate for immunotherapy alone, the patient opted for hospice. This case emphasizes the atypical presentation of lung cancer as a gastrointestinal complication and underscores the importance of keeping malignancy in the differential for a perforated small bowel.</p>\",\"PeriodicalId\":15460,\"journal\":{\"name\":\"Journal of Community Hospital Internal Medicine Perspectives\",\"volume\":\"15 3\",\"pages\":\"98-102\"},\"PeriodicalIF\":0.6000,\"publicationDate\":\"2025-05-05\",\"publicationTypes\":\"Journal Article\",\"fieldsOfStudy\":null,\"isOpenAccess\":false,\"openAccessPdf\":\"https://www.ncbi.nlm.nih.gov/pmc/articles/PMC12313122/pdf/\",\"citationCount\":\"0\",\"resultStr\":null,\"platform\":\"Semanticscholar\",\"paperid\":null,\"PeriodicalName\":\"Journal of Community Hospital Internal Medicine Perspectives\",\"FirstCategoryId\":\"1085\",\"ListUrlMain\":\"https://doi.org/10.55729/2000-9666.1487\",\"RegionNum\":0,\"RegionCategory\":null,\"ArticlePicture\":[],\"TitleCN\":null,\"AbstractTextCN\":null,\"PMCID\":null,\"EPubDate\":\"2025/1/1 0:00:00\",\"PubModel\":\"eCollection\",\"JCR\":\"Q3\",\"JCRName\":\"MEDICINE, GENERAL & INTERNAL\",\"Score\":null,\"Total\":0}","platform":"Semanticscholar","paperid":null,"PeriodicalName":"Journal of Community Hospital Internal Medicine Perspectives","FirstCategoryId":"1085","ListUrlMain":"https://doi.org/10.55729/2000-9666.1487","RegionNum":0,"RegionCategory":null,"ArticlePicture":[],"TitleCN":null,"AbstractTextCN":null,"PMCID":null,"EPubDate":"2025/1/1 0:00:00","PubModel":"eCollection","JCR":"Q3","JCRName":"MEDICINE, GENERAL & INTERNAL","Score":null,"Total":0}
引用次数: 0

摘要

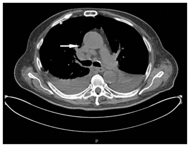
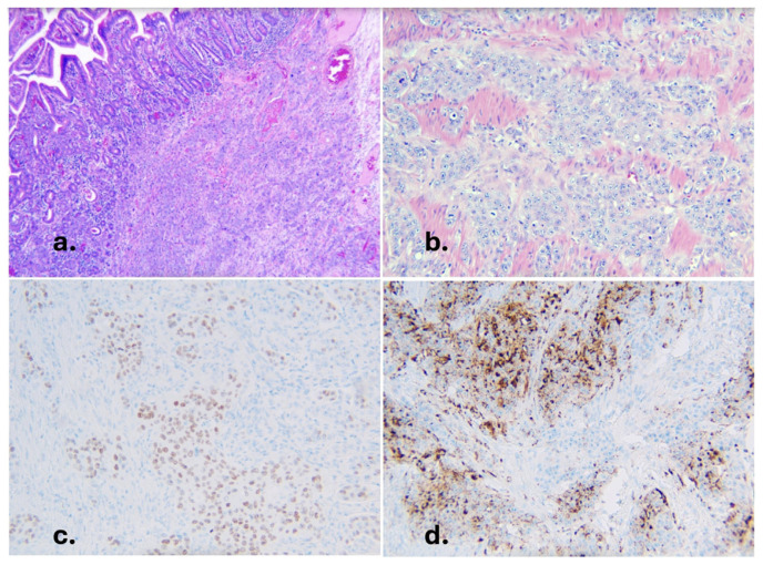
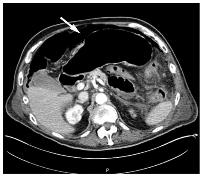
肺癌通常在晚期被诊断出来,经常转移到肝脏、肾上腺、大脑和骨骼等器官。然而,胃肠道转移,特别是小肠,是罕见的。我们报告一个病人谁提出了穿孔的小肠,需要紧急剖腹手术。影像学提示感染过程,但随后的检查显示空肠穿孔和低分化肺癌。尽管有可能接受单独的免疫治疗,病人还是选择了临终关怀。本病例强调了肺癌作为胃肠道并发症的非典型表现,并强调了在鉴别小肠穿孔时保持恶性肿瘤的重要性。
本文章由计算机程序翻译,如有差异,请以英文原文为准。

Beyond the Bowel: Lung Cancer Presenting as Complicated Diverticulitis.

Beyond the Bowel: Lung Cancer Presenting as Complicated Diverticulitis.

Beyond the Bowel: Lung Cancer Presenting as Complicated Diverticulitis.

Beyond the Bowel: Lung Cancer Presenting as Complicated Diverticulitis.

Lung cancer is often diagnosed at advanced stages frequently metastasizing to organs like the liver, adrenal glands, brain and bones. However, gastrointestinal metastasis, especially to the small intestine, is rare. We report a patient who presented with a perforated small bowel, requiring emergent laparotomy. Imaging suggested an infectious process, but subsequent workup revealed jejunal perforation and poorly differentiated lung cancer. Despite being a candidate for immunotherapy alone, the patient opted for hospice. This case emphasizes the atypical presentation of lung cancer as a gastrointestinal complication and underscores the importance of keeping malignancy in the differential for a perforated small bowel.

求助全文
通过发布文献求助,成功后即可免费获取论文全文。 去求助
来源期刊
自引率
0.00%
发文量
106
审稿时长
17 weeks
期刊介绍: JCHIMP provides: up-to-date information in the field of Internal Medicine to community hospital medical professionals a platform for clinical faculty, residents, and medical students to publish research relevant to community hospital programs. Manuscripts that explore aspects of medicine at community hospitals welcome, including but not limited to: the best practices of community academic programs community hospital-based research opinion and insight from community hospital leadership and faculty the scholarly work of residents and medical students affiliated with community hospitals.
×
引用
GB/T 7714-2015
复制
MLA
复制
APA
复制
导出至
BibTeX EndNote RefMan NoteFirst NoteExpress
×
提示
您的信息不完整,为了账户安全,请先补充。
现在去补充
×
提示
您因"违规操作"
具体请查看互助需知
我知道了
×
提示
确定
请完成安全验证×
copy
已复制链接
快去分享给好友吧!
我知道了
右上角分享
点击右上角分享
0
联系我们:info@booksci.cn Book学术提供免费学术资源搜索服务,方便国内外学者检索中英文文献。致力于提供最便捷和优质的服务体验。 Copyright © 2023 布克学术 All rights reserved.
京ICP备2023020795号-1
ghs 京公网安备 11010802042870号
Book学术文献互助
Book学术文献互助群
群 号:604180095
Book学术官方微信