罕见的神经内分泌肿瘤:心脏肿块。

IF 0.6 Q3 MEDICINE, GENERAL & INTERNAL
Anish K Shrestha, Anirudra Devkota, Terina S Chen, Mahsa Mohebtash
{"title":"罕见的神经内分泌肿瘤:心脏肿块。","authors":"Anish K Shrestha, Anirudra Devkota, Terina S Chen, Mahsa Mohebtash","doi":"10.55729/2000-9666.1488","DOIUrl":null,"url":null,"abstract":"<p><p>Carcinoid tumors are rare, slow-growing neoplasms of neuroendocrine origin commonly affecting the gastrointestinal or respiratory system. They metastasize to lymph nodes and the liver based on their lymphatic and venous drainage of their tissue of origin. Metastasis to the heart is exceedingly rare accounting for <2 % of cases. Exceedingly rare is the incidental detection of cardiac carcinoid metastasis as the initial presentation of carcinoid syndrome. Here, we describe a case of metastatic cardiac carcinoid detected during a routine echocardiogram done for evaluation of a systolic murmur.</p>","PeriodicalId":15460,"journal":{"name":"Journal of Community Hospital Internal Medicine Perspectives","volume":"15 3","pages":"76-79"},"PeriodicalIF":0.6000,"publicationDate":"2025-05-05","publicationTypes":"Journal Article","fieldsOfStudy":null,"isOpenAccess":false,"openAccessPdf":"https://www.ncbi.nlm.nih.gov/pmc/articles/PMC12313280/pdf/","citationCount":"0","resultStr":"{\"title\":\"A Rare Discovery of Neuroendocrine Tumor: Cardiac Mass.\",\"authors\":\"Anish K Shrestha, Anirudra Devkota, Terina S Chen, Mahsa Mohebtash\",\"doi\":\"10.55729/2000-9666.1488\",\"DOIUrl\":null,\"url\":null,\"abstract\":\"<p><p>Carcinoid tumors are rare, slow-growing neoplasms of neuroendocrine origin commonly affecting the gastrointestinal or respiratory system. They metastasize to lymph nodes and the liver based on their lymphatic and venous drainage of their tissue of origin. Metastasis to the heart is exceedingly rare accounting for <2 % of cases. Exceedingly rare is the incidental detection of cardiac carcinoid metastasis as the initial presentation of carcinoid syndrome. Here, we describe a case of metastatic cardiac carcinoid detected during a routine echocardiogram done for evaluation of a systolic murmur.</p>\",\"PeriodicalId\":15460,\"journal\":{\"name\":\"Journal of Community Hospital Internal Medicine Perspectives\",\"volume\":\"15 3\",\"pages\":\"76-79\"},\"PeriodicalIF\":0.6000,\"publicationDate\":\"2025-05-05\",\"publicationTypes\":\"Journal Article\",\"fieldsOfStudy\":null,\"isOpenAccess\":false,\"openAccessPdf\":\"https://www.ncbi.nlm.nih.gov/pmc/articles/PMC12313280/pdf/\",\"citationCount\":\"0\",\"resultStr\":null,\"platform\":\"Semanticscholar\",\"paperid\":null,\"PeriodicalName\":\"Journal of Community Hospital Internal Medicine Perspectives\",\"FirstCategoryId\":\"1085\",\"ListUrlMain\":\"https://doi.org/10.55729/2000-9666.1488\",\"RegionNum\":0,\"RegionCategory\":null,\"ArticlePicture\":[],\"TitleCN\":null,\"AbstractTextCN\":null,\"PMCID\":null,\"EPubDate\":\"2025/1/1 0:00:00\",\"PubModel\":\"eCollection\",\"JCR\":\"Q3\",\"JCRName\":\"MEDICINE, GENERAL & INTERNAL\",\"Score\":null,\"Total\":0}","platform":"Semanticscholar","paperid":null,"PeriodicalName":"Journal of Community Hospital Internal Medicine Perspectives","FirstCategoryId":"1085","ListUrlMain":"https://doi.org/10.55729/2000-9666.1488","RegionNum":0,"RegionCategory":null,"ArticlePicture":[],"TitleCN":null,"AbstractTextCN":null,"PMCID":null,"EPubDate":"2025/1/1 0:00:00","PubModel":"eCollection","JCR":"Q3","JCRName":"MEDICINE, GENERAL & INTERNAL","Score":null,"Total":0}
引用次数: 0

摘要

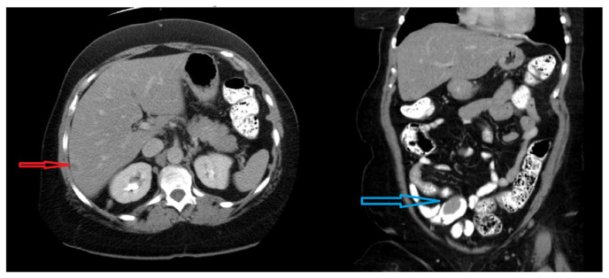
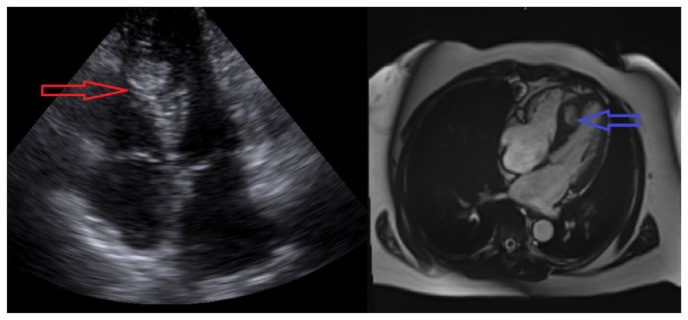
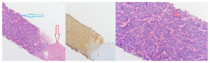
类癌是一种罕见的生长缓慢的神经内分泌肿瘤,通常影响胃肠道或呼吸系统。根据其起源组织的淋巴和静脉引流,它们转移到淋巴结和肝脏。转移到心脏是非常罕见的
本文章由计算机程序翻译,如有差异,请以英文原文为准。

A Rare Discovery of Neuroendocrine Tumor: Cardiac Mass.

A Rare Discovery of Neuroendocrine Tumor: Cardiac Mass.

A Rare Discovery of Neuroendocrine Tumor: Cardiac Mass.

A Rare Discovery of Neuroendocrine Tumor: Cardiac Mass.

Carcinoid tumors are rare, slow-growing neoplasms of neuroendocrine origin commonly affecting the gastrointestinal or respiratory system. They metastasize to lymph nodes and the liver based on their lymphatic and venous drainage of their tissue of origin. Metastasis to the heart is exceedingly rare accounting for <2 % of cases. Exceedingly rare is the incidental detection of cardiac carcinoid metastasis as the initial presentation of carcinoid syndrome. Here, we describe a case of metastatic cardiac carcinoid detected during a routine echocardiogram done for evaluation of a systolic murmur.

求助全文
通过发布文献求助,成功后即可免费获取论文全文。 去求助
来源期刊
自引率
0.00%
发文量
106
审稿时长
17 weeks
期刊介绍: JCHIMP provides: up-to-date information in the field of Internal Medicine to community hospital medical professionals a platform for clinical faculty, residents, and medical students to publish research relevant to community hospital programs. Manuscripts that explore aspects of medicine at community hospitals welcome, including but not limited to: the best practices of community academic programs community hospital-based research opinion and insight from community hospital leadership and faculty the scholarly work of residents and medical students affiliated with community hospitals.
×
引用
GB/T 7714-2015
复制
MLA
复制
APA
复制
导出至
BibTeX EndNote RefMan NoteFirst NoteExpress
×
提示
您的信息不完整,为了账户安全,请先补充。
现在去补充
×
提示
您因"违规操作"
具体请查看互助需知
我知道了
×
提示
确定
请完成安全验证×
copy
已复制链接
快去分享给好友吧!
我知道了
右上角分享
点击右上角分享
0
联系我们:info@booksci.cn Book学术提供免费学术资源搜索服务,方便国内外学者检索中英文文献。致力于提供最便捷和优质的服务体验。 Copyright © 2023 布克学术 All rights reserved.
京ICP备2023020795号-1
ghs 京公网安备 11010802042870号
Book学术文献互助
Book学术文献互助群
群 号:604180095
Book学术官方微信