萌芽胰腺肿块:弥散性芽生菌病的研究进展。

IF 0.6 Q3 MEDICINE, GENERAL & INTERNAL
Tina C L Phan, Chloe N Hundman, Neena Thomas-Gosain, Christopher D Jackson
{"title":"萌芽胰腺肿块:弥散性芽生菌病的研究进展。","authors":"Tina C L Phan, Chloe N Hundman, Neena Thomas-Gosain, Christopher D Jackson","doi":"10.55729/2000-9666.1484","DOIUrl":null,"url":null,"abstract":"<p><p>A 67-year-old male patient presented with anorexia, weight loss, skin masses, and flank pain over the past three months. Imaging revealed a lung mass and a cystic lesion in the pancreatic head. After initial diagnostic work-up and clinical deterioration, broad based budding, seen on pathology, led to a diagnosis of disseminated blastomycosis. After receiving a 14-day course of liposomal amphotericin B followed by itraconazole, the patient showed significant clinical improvement. We reviewed all disseminated blastomycosis cases in the medical literature involving gastrointestinal organs. Although pancreatic involvement is rare, we suggest that it should be suspected in those with a rapidly growing pancreatic mass even in immunocompetent patients. Finally, tissue biopsy should be obtained expeditiously, but repeat biopsy may be indicated if initial results are negative and clinical suspicion remains high.</p>","PeriodicalId":15460,"journal":{"name":"Journal of Community Hospital Internal Medicine Perspectives","volume":"15 3","pages":"111-115"},"PeriodicalIF":0.6000,"publicationDate":"2025-05-05","publicationTypes":"Journal Article","fieldsOfStudy":null,"isOpenAccess":false,"openAccessPdf":"https://www.ncbi.nlm.nih.gov/pmc/articles/PMC12313127/pdf/","citationCount":"0","resultStr":"{\"title\":\"A Budding Pancreatic Mass: A Review of Disseminated Blastomycosis.\",\"authors\":\"Tina C L Phan, Chloe N Hundman, Neena Thomas-Gosain, Christopher D Jackson\",\"doi\":\"10.55729/2000-9666.1484\",\"DOIUrl\":null,\"url\":null,\"abstract\":\"<p><p>A 67-year-old male patient presented with anorexia, weight loss, skin masses, and flank pain over the past three months. Imaging revealed a lung mass and a cystic lesion in the pancreatic head. After initial diagnostic work-up and clinical deterioration, broad based budding, seen on pathology, led to a diagnosis of disseminated blastomycosis. After receiving a 14-day course of liposomal amphotericin B followed by itraconazole, the patient showed significant clinical improvement. We reviewed all disseminated blastomycosis cases in the medical literature involving gastrointestinal organs. Although pancreatic involvement is rare, we suggest that it should be suspected in those with a rapidly growing pancreatic mass even in immunocompetent patients. Finally, tissue biopsy should be obtained expeditiously, but repeat biopsy may be indicated if initial results are negative and clinical suspicion remains high.</p>\",\"PeriodicalId\":15460,\"journal\":{\"name\":\"Journal of Community Hospital Internal Medicine Perspectives\",\"volume\":\"15 3\",\"pages\":\"111-115\"},\"PeriodicalIF\":0.6000,\"publicationDate\":\"2025-05-05\",\"publicationTypes\":\"Journal Article\",\"fieldsOfStudy\":null,\"isOpenAccess\":false,\"openAccessPdf\":\"https://www.ncbi.nlm.nih.gov/pmc/articles/PMC12313127/pdf/\",\"citationCount\":\"0\",\"resultStr\":null,\"platform\":\"Semanticscholar\",\"paperid\":null,\"PeriodicalName\":\"Journal of Community Hospital Internal Medicine Perspectives\",\"FirstCategoryId\":\"1085\",\"ListUrlMain\":\"https://doi.org/10.55729/2000-9666.1484\",\"RegionNum\":0,\"RegionCategory\":null,\"ArticlePicture\":[],\"TitleCN\":null,\"AbstractTextCN\":null,\"PMCID\":null,\"EPubDate\":\"2025/1/1 0:00:00\",\"PubModel\":\"eCollection\",\"JCR\":\"Q3\",\"JCRName\":\"MEDICINE, GENERAL & INTERNAL\",\"Score\":null,\"Total\":0}","platform":"Semanticscholar","paperid":null,"PeriodicalName":"Journal of Community Hospital Internal Medicine Perspectives","FirstCategoryId":"1085","ListUrlMain":"https://doi.org/10.55729/2000-9666.1484","RegionNum":0,"RegionCategory":null,"ArticlePicture":[],"TitleCN":null,"AbstractTextCN":null,"PMCID":null,"EPubDate":"2025/1/1 0:00:00","PubModel":"eCollection","JCR":"Q3","JCRName":"MEDICINE, GENERAL & INTERNAL","Score":null,"Total":0}
引用次数: 0

摘要

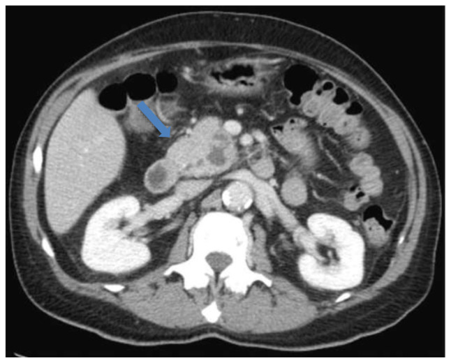
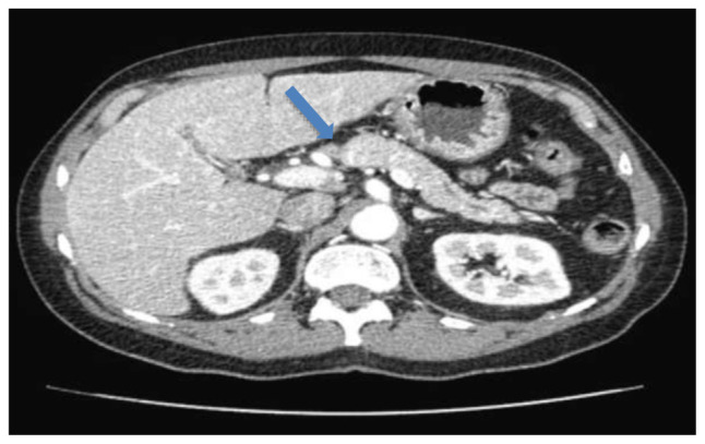
一位67岁男性患者,在过去的三个月里表现为厌食、体重减轻、皮肤肿块和腹部疼痛。影像学显示肺肿块及胰头囊性病变。在最初的诊断检查和临床恶化后,在病理上看到广泛的芽殖,导致播散性芽殖菌病的诊断。患者接受两性霉素B脂质体治疗14天后,再加伊曲康唑治疗,临床表现明显改善。我们回顾了医学文献中所有涉及胃肠道器官的播散性芽孢菌病病例。虽然胰腺受累是罕见的,我们建议应该怀疑那些快速增长的胰腺肿块,即使是免疫功能正常的患者。最后,应迅速进行组织活检,但如果初步结果为阴性且临床怀疑仍然很高,则可能需要重复活检。
本文章由计算机程序翻译,如有差异,请以英文原文为准。

A Budding Pancreatic Mass: A Review of Disseminated Blastomycosis.

A Budding Pancreatic Mass: A Review of Disseminated Blastomycosis.

A Budding Pancreatic Mass: A Review of Disseminated Blastomycosis.

A 67-year-old male patient presented with anorexia, weight loss, skin masses, and flank pain over the past three months. Imaging revealed a lung mass and a cystic lesion in the pancreatic head. After initial diagnostic work-up and clinical deterioration, broad based budding, seen on pathology, led to a diagnosis of disseminated blastomycosis. After receiving a 14-day course of liposomal amphotericin B followed by itraconazole, the patient showed significant clinical improvement. We reviewed all disseminated blastomycosis cases in the medical literature involving gastrointestinal organs. Although pancreatic involvement is rare, we suggest that it should be suspected in those with a rapidly growing pancreatic mass even in immunocompetent patients. Finally, tissue biopsy should be obtained expeditiously, but repeat biopsy may be indicated if initial results are negative and clinical suspicion remains high.

求助全文
通过发布文献求助,成功后即可免费获取论文全文。 去求助
来源期刊
自引率
0.00%
发文量
106
审稿时长
17 weeks
期刊介绍: JCHIMP provides: up-to-date information in the field of Internal Medicine to community hospital medical professionals a platform for clinical faculty, residents, and medical students to publish research relevant to community hospital programs. Manuscripts that explore aspects of medicine at community hospitals welcome, including but not limited to: the best practices of community academic programs community hospital-based research opinion and insight from community hospital leadership and faculty the scholarly work of residents and medical students affiliated with community hospitals.
×
引用
GB/T 7714-2015
复制
MLA
复制
APA
复制
导出至
BibTeX EndNote RefMan NoteFirst NoteExpress
×
提示
您的信息不完整,为了账户安全,请先补充。
现在去补充
×
提示
您因"违规操作"
具体请查看互助需知
我知道了
×
提示
确定
请完成安全验证×
copy
已复制链接
快去分享给好友吧!
我知道了
右上角分享
点击右上角分享
0
联系我们:info@booksci.cn Book学术提供免费学术资源搜索服务,方便国内外学者检索中英文文献。致力于提供最便捷和优质的服务体验。 Copyright © 2023 布克学术 All rights reserved.
京ICP备2023020795号-1
ghs 京公网安备 11010802042870号
Book学术文献互助
Book学术文献互助群
群 号:604180095
Book学术官方微信