视神经头和乳头旁伽玛区与儿童近视发生和发展的关系:香港儿童眼研究。

IF 4.7 2区 医学 Q1 OPHTHALMOLOGY
Xiu Juan Zhang, Yi Li, Yuzhou Zhang, Xiaotong Li, Ka Wai Kam, Alvin L Young, Patrick Ip, Wei Zhang, Clement C Tham, Li Jia Chen, Jost B Jonas, Kyoko Ohno-Matsui, Chi Pui Pang, Jason C Yam
{"title":"视神经头和乳头旁伽玛区与儿童近视发生和发展的关系:香港儿童眼研究。","authors":"Xiu Juan Zhang, Yi Li, Yuzhou Zhang, Xiaotong Li, Ka Wai Kam, Alvin L Young, Patrick Ip, Wei Zhang, Clement C Tham, Li Jia Chen, Jost B Jonas, Kyoko Ohno-Matsui, Chi Pui Pang, Jason C Yam","doi":"10.1167/iovs.66.11.1","DOIUrl":null,"url":null,"abstract":"<p><strong>Purpose: </strong>The purpose of this study was to evaluate the associations of optic nerve head (ONH) metrics and parapapillary gamma zone with myopia onset and progression in school children aged 6 to 8 years over a 3-year period.</p><p><strong>Methods: </strong>The ONH was imaged by spectral domain-optical coherence tomography (SD-OCT) using an adopted scan protocol comprising 24 equally spaced radial B-scans.</p><p><strong>Results: </strong>The study included 765 children (mean age = 7.69 ± 1.01 years, range = 6-8 years, refractive error = 0.33 ± 1.30 diopters [D] at baseline). Significant differences were found in disc ovality index, gamma zone area, Bruch's membrane opening distance (BMOD), temporal border tissue angle (BTA), and optic disc-fovea distance (DFD) across different refractive status groups (all P < 0.001). Multivariable logistic regression analysis indicated that female sex (odds ratio [OR] = 1.74, P = 0.006), longer axial length (OR = 1.81, P < 0.001), larger nasal BTA (OR = 1.01, P = 0.005), larger temporal BTA (OR = 1.01, P = 0.019), optic disc torsion (OR = 2.12, P = 0.007), and longer DFD at baseline (OR = 3.39, P < 0.001) were risk factors of myopia onset, whereas the presence of the gamma zone at baseline was not. In multivariable linear regression analysis, baseline disc ovality index, BMOD, nasal BTA, temporal BTA, and DFD, as well as changes in BMOD, nasal BTA, temporal BTA, gamma zone area, and DFD were significantly associated with spherical equivalent (SE) progression over 3 years.</p><p><strong>Conclusions: </strong>ONH parameters like nasal BTA, temporal BTA, disc torsion, and DFD may have predictive value for myopia onset and progression. As the myopic SE progresses, gamma zone enlargement coincides with the elongation of BMOD and DFD. It may be explained by an axial elongation-related Bruch's membrane opening shift into the temporal direction.</p>","PeriodicalId":14620,"journal":{"name":"Investigative ophthalmology & visual science","volume":"66 11","pages":"1"},"PeriodicalIF":4.7000,"publicationDate":"2025-08-01","publicationTypes":"Journal Article","fieldsOfStudy":null,"isOpenAccess":false,"openAccessPdf":"https://www.ncbi.nlm.nih.gov/pmc/articles/PMC12320900/pdf/","citationCount":"0","resultStr":"{\"title\":\"Association of Optic Nerve Head Metrics and Parapapillary Gamma Zone With Myopia Onset and Progression in Children: The Hong Kong Children Eye Study.\",\"authors\":\"Xiu Juan Zhang, Yi Li, Yuzhou Zhang, Xiaotong Li, Ka Wai Kam, Alvin L Young, Patrick Ip, Wei Zhang, Clement C Tham, Li Jia Chen, Jost B Jonas, Kyoko Ohno-Matsui, Chi Pui Pang, Jason C Yam\",\"doi\":\"10.1167/iovs.66.11.1\",\"DOIUrl\":null,\"url\":null,\"abstract\":\"<p><strong>Purpose: </strong>The purpose of this study was to evaluate the associations of optic nerve head (ONH) metrics and parapapillary gamma zone with myopia onset and progression in school children aged 6 to 8 years over a 3-year period.</p><p><strong>Methods: </strong>The ONH was imaged by spectral domain-optical coherence tomography (SD-OCT) using an adopted scan protocol comprising 24 equally spaced radial B-scans.</p><p><strong>Results: </strong>The study included 765 children (mean age = 7.69 ± 1.01 years, range = 6-8 years, refractive error = 0.33 ± 1.30 diopters [D] at baseline). Significant differences were found in disc ovality index, gamma zone area, Bruch's membrane opening distance (BMOD), temporal border tissue angle (BTA), and optic disc-fovea distance (DFD) across different refractive status groups (all P < 0.001). Multivariable logistic regression analysis indicated that female sex (odds ratio [OR] = 1.74, P = 0.006), longer axial length (OR = 1.81, P < 0.001), larger nasal BTA (OR = 1.01, P = 0.005), larger temporal BTA (OR = 1.01, P = 0.019), optic disc torsion (OR = 2.12, P = 0.007), and longer DFD at baseline (OR = 3.39, P < 0.001) were risk factors of myopia onset, whereas the presence of the gamma zone at baseline was not. In multivariable linear regression analysis, baseline disc ovality index, BMOD, nasal BTA, temporal BTA, and DFD, as well as changes in BMOD, nasal BTA, temporal BTA, gamma zone area, and DFD were significantly associated with spherical equivalent (SE) progression over 3 years.</p><p><strong>Conclusions: </strong>ONH parameters like nasal BTA, temporal BTA, disc torsion, and DFD may have predictive value for myopia onset and progression. As the myopic SE progresses, gamma zone enlargement coincides with the elongation of BMOD and DFD. It may be explained by an axial elongation-related Bruch's membrane opening shift into the temporal direction.</p>\",\"PeriodicalId\":14620,\"journal\":{\"name\":\"Investigative ophthalmology & visual science\",\"volume\":\"66 11\",\"pages\":\"1\"},\"PeriodicalIF\":4.7000,\"publicationDate\":\"2025-08-01\",\"publicationTypes\":\"Journal Article\",\"fieldsOfStudy\":null,\"isOpenAccess\":false,\"openAccessPdf\":\"https://www.ncbi.nlm.nih.gov/pmc/articles/PMC12320900/pdf/\",\"citationCount\":\"0\",\"resultStr\":null,\"platform\":\"Semanticscholar\",\"paperid\":null,\"PeriodicalName\":\"Investigative ophthalmology & visual science\",\"FirstCategoryId\":\"3\",\"ListUrlMain\":\"https://doi.org/10.1167/iovs.66.11.1\",\"RegionNum\":2,\"RegionCategory\":\"医学\",\"ArticlePicture\":[],\"TitleCN\":null,\"AbstractTextCN\":null,\"PMCID\":null,\"EPubDate\":\"\",\"PubModel\":\"\",\"JCR\":\"Q1\",\"JCRName\":\"OPHTHALMOLOGY\",\"Score\":null,\"Total\":0}","platform":"Semanticscholar","paperid":null,"PeriodicalName":"Investigative ophthalmology & visual science","FirstCategoryId":"3","ListUrlMain":"https://doi.org/10.1167/iovs.66.11.1","RegionNum":2,"RegionCategory":"医学","ArticlePicture":[],"TitleCN":null,"AbstractTextCN":null,"PMCID":null,"EPubDate":"","PubModel":"","JCR":"Q1","JCRName":"OPHTHALMOLOGY","Score":null,"Total":0}
引用次数: 0

摘要

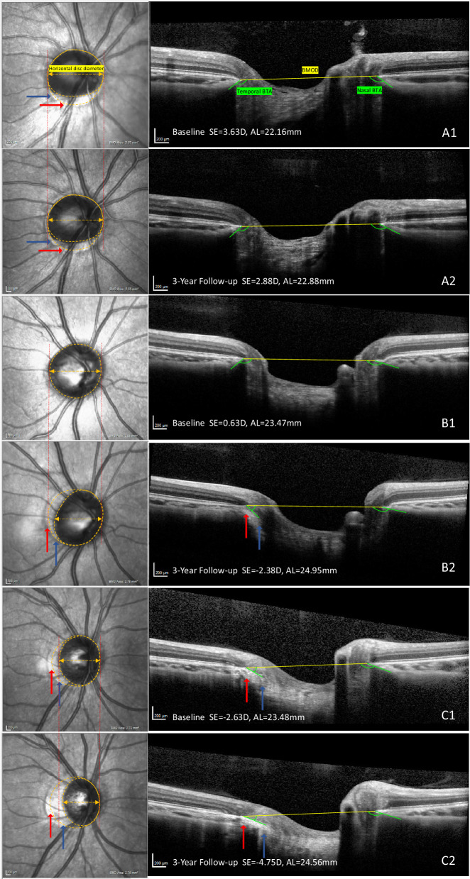
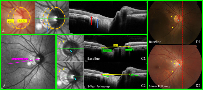
目的:本研究的目的是评估视神经头(ONH)指标和乳头旁伽玛带与6至8岁学龄儿童近视发生和进展的关系。方法:采用光谱域光学相干断层扫描(SD-OCT)对ONH进行扫描,采用24次等间隔径向b扫描。结果:研究纳入765例儿童,平均年龄7.69±1.01岁,范围6-8岁,基线时屈光不正= 0.33±1.30屈光度[D]。不同屈光状态组的视盘椭圆度指数、gamma区面积、Bruch膜开口距离(BMOD)、颞缘组织角(BTA)、视盘-中央凹距离(DFD)差异均有统计学意义(P < 0.001)。多变量logistic回归分析显示,女性(优势比[OR] = 1.74, P = 0.006)、较长的眼轴长度(OR = 1.81, P < 0.001)、较大的鼻BTA (OR = 1.01, P = 0.005)、较大的颞BTA (OR = 1.01, P = 0.019)、视盘扭转(OR = 2.12, P = 0.007)和较长的基线DFD (OR = 3.39, P < 0.001)是近视发生的危险因素,而基线伽马区的存在则不是危险因素。在多变量线性回归分析中,基线椎间盘椭圆度指数、BMOD、鼻BTA、颞BTA和DFD,以及BMOD、鼻BTA、颞BTA、γ区面积和DFD的变化与3年内的球形当量(SE)进展显著相关。结论:鼻部BTA、颞部BTA、椎间盘扭转和DFD等ONH参数可能对近视的发生和发展具有预测价值。随着近视SE的发展,伽玛区的扩大与BMOD和DFD的延长一致。这可能是由于与轴向拉伸相关的布鲁氏膜开口向颞方向移动。
本文章由计算机程序翻译,如有差异,请以英文原文为准。

Association of Optic Nerve Head Metrics and Parapapillary Gamma Zone With Myopia Onset and Progression in Children: The Hong Kong Children Eye Study.

Association of Optic Nerve Head Metrics and Parapapillary Gamma Zone With Myopia Onset and Progression in Children: The Hong Kong Children Eye Study.

Association of Optic Nerve Head Metrics and Parapapillary Gamma Zone With Myopia Onset and Progression in Children: The Hong Kong Children Eye Study.

Association of Optic Nerve Head Metrics and Parapapillary Gamma Zone With Myopia Onset and Progression in Children: The Hong Kong Children Eye Study.

Purpose: The purpose of this study was to evaluate the associations of optic nerve head (ONH) metrics and parapapillary gamma zone with myopia onset and progression in school children aged 6 to 8 years over a 3-year period.

Methods: The ONH was imaged by spectral domain-optical coherence tomography (SD-OCT) using an adopted scan protocol comprising 24 equally spaced radial B-scans.

Results: The study included 765 children (mean age = 7.69 ± 1.01 years, range = 6-8 years, refractive error = 0.33 ± 1.30 diopters [D] at baseline). Significant differences were found in disc ovality index, gamma zone area, Bruch's membrane opening distance (BMOD), temporal border tissue angle (BTA), and optic disc-fovea distance (DFD) across different refractive status groups (all P < 0.001). Multivariable logistic regression analysis indicated that female sex (odds ratio [OR] = 1.74, P = 0.006), longer axial length (OR = 1.81, P < 0.001), larger nasal BTA (OR = 1.01, P = 0.005), larger temporal BTA (OR = 1.01, P = 0.019), optic disc torsion (OR = 2.12, P = 0.007), and longer DFD at baseline (OR = 3.39, P < 0.001) were risk factors of myopia onset, whereas the presence of the gamma zone at baseline was not. In multivariable linear regression analysis, baseline disc ovality index, BMOD, nasal BTA, temporal BTA, and DFD, as well as changes in BMOD, nasal BTA, temporal BTA, gamma zone area, and DFD were significantly associated with spherical equivalent (SE) progression over 3 years.

Conclusions: ONH parameters like nasal BTA, temporal BTA, disc torsion, and DFD may have predictive value for myopia onset and progression. As the myopic SE progresses, gamma zone enlargement coincides with the elongation of BMOD and DFD. It may be explained by an axial elongation-related Bruch's membrane opening shift into the temporal direction.

求助全文
通过发布文献求助,成功后即可免费获取论文全文。 去求助
来源期刊
CiteScore
6.90
自引率
4.50%
发文量
339
审稿时长
1 months
期刊介绍: Investigative Ophthalmology & Visual Science (IOVS), published as ready online, is a peer-reviewed academic journal of the Association for Research in Vision and Ophthalmology (ARVO). IOVS features original research, mostly pertaining to clinical and laboratory ophthalmology and vision research in general.
×
引用
GB/T 7714-2015
复制
MLA
复制
APA
复制
导出至
BibTeX EndNote RefMan NoteFirst NoteExpress
×
提示
您的信息不完整,为了账户安全,请先补充。
现在去补充
×
提示
您因"违规操作"
具体请查看互助需知
我知道了
×
提示
确定
请完成安全验证×
copy
已复制链接
快去分享给好友吧!
我知道了
右上角分享
点击右上角分享
0
联系我们:info@booksci.cn Book学术提供免费学术资源搜索服务,方便国内外学者检索中英文文献。致力于提供最便捷和优质的服务体验。 Copyright © 2023 布克学术 All rights reserved.
京ICP备2023020795号-1
ghs 京公网安备 11010802042870号
Book学术文献互助
Book学术文献互助群
群 号:604180095
Book学术官方微信