跗骨隧道综合征患者的术前磁共振成像表现及术后预后。

IF 2.3 4区 医学 Q2 CLINICAL NEUROLOGY
Neurologia medico-chirurgica Pub Date : 2025-09-15 Epub Date: 2025-07-31 DOI:10.2176/jns-nmc.2025-0115
Kyongsong Kim, Toyohiko Isu, Atsushi Sugawara, Kenta Koketsu, Minoru Ideguchi, Hiroyuki Dan, Riku Mihara, Yasuo Murai
{"title":"跗骨隧道综合征患者的术前磁共振成像表现及术后预后。","authors":"Kyongsong Kim, Toyohiko Isu, Atsushi Sugawara, Kenta Koketsu, Minoru Ideguchi, Hiroyuki Dan, Riku Mihara, Yasuo Murai","doi":"10.2176/jns-nmc.2025-0115","DOIUrl":null,"url":null,"abstract":"<p><p>Tarsal tunnel syndrome is an entrapment neuropathy at the tarsal tunnel. The diagnosis and the prediction of the surgical outcome are difficult. We compared preoperative magnetic resonance imaging findings with the postoperative results. We examined preoperative magnetic resonance imaging findings in 38 consecutive patients with Tarsal tunnel syndrome (47 feet); their mean age was 73.8 years. We inspected the nerve width on the slice showing the most compressed nerve, and the hyperintensity of that nerve on preoperative T2* fat-suppressed axial magnetic resonance imaging images and examined the role of magnetic resonance imaging in the diagnosis and of the surgical outcomes in patients with Tarsal tunnel syndrome. Postoperatively, there was significant symptom improvement. On preoperative magnetic resonance imaging scans the mean width of the most compressed nerve was 0.99 ± 0.37 mm. There was no significant correlation between the preoperative symptom severity and postoperative symptom improvement. In 29 feet (61.7%) we observed hyperintensity of the compressed nerve. In all but one foot the hyperintense area was displayed on 3 axial slices adjacent to the strongest nerve compression point. There was no significant difference in the preoperative symptom severity in patients with (group 1, n = 29) or without hyperintensity (group 2, n = 18). The nerve width at the point of greatest compression was significantly thinner, and postoperative symptom improvement was significantly greater in group 1 patients. Although there was no correlation between the preoperative nerve compression severity and the surgical results, nerve hyperintensity on magnetic resonance imaging scans may help with the diagnosis of Tarsal tunnel syndrome.</p>","PeriodicalId":19225,"journal":{"name":"Neurologia medico-chirurgica","volume":" ","pages":"407-412"},"PeriodicalIF":2.3000,"publicationDate":"2025-09-15","publicationTypes":"Journal Article","fieldsOfStudy":null,"isOpenAccess":false,"openAccessPdf":"https://www.ncbi.nlm.nih.gov/pmc/articles/PMC12497515/pdf/","citationCount":"0","resultStr":"{\"title\":\"Preoperative Magnetic Resonance Imaging Findings in Patients with Tarsal Tunnel Syndrome and Postoperative Outcomes.\",\"authors\":\"Kyongsong Kim, Toyohiko Isu, Atsushi Sugawara, Kenta Koketsu, Minoru Ideguchi, Hiroyuki Dan, Riku Mihara, Yasuo Murai\",\"doi\":\"10.2176/jns-nmc.2025-0115\",\"DOIUrl\":null,\"url\":null,\"abstract\":\"<p><p>Tarsal tunnel syndrome is an entrapment neuropathy at the tarsal tunnel. The diagnosis and the prediction of the surgical outcome are difficult. We compared preoperative magnetic resonance imaging findings with the postoperative results. We examined preoperative magnetic resonance imaging findings in 38 consecutive patients with Tarsal tunnel syndrome (47 feet); their mean age was 73.8 years. We inspected the nerve width on the slice showing the most compressed nerve, and the hyperintensity of that nerve on preoperative T2* fat-suppressed axial magnetic resonance imaging images and examined the role of magnetic resonance imaging in the diagnosis and of the surgical outcomes in patients with Tarsal tunnel syndrome. Postoperatively, there was significant symptom improvement. On preoperative magnetic resonance imaging scans the mean width of the most compressed nerve was 0.99 ± 0.37 mm. There was no significant correlation between the preoperative symptom severity and postoperative symptom improvement. In 29 feet (61.7%) we observed hyperintensity of the compressed nerve. In all but one foot the hyperintense area was displayed on 3 axial slices adjacent to the strongest nerve compression point. There was no significant difference in the preoperative symptom severity in patients with (group 1, n = 29) or without hyperintensity (group 2, n = 18). The nerve width at the point of greatest compression was significantly thinner, and postoperative symptom improvement was significantly greater in group 1 patients. Although there was no correlation between the preoperative nerve compression severity and the surgical results, nerve hyperintensity on magnetic resonance imaging scans may help with the diagnosis of Tarsal tunnel syndrome.</p>\",\"PeriodicalId\":19225,\"journal\":{\"name\":\"Neurologia medico-chirurgica\",\"volume\":\" \",\"pages\":\"407-412\"},\"PeriodicalIF\":2.3000,\"publicationDate\":\"2025-09-15\",\"publicationTypes\":\"Journal Article\",\"fieldsOfStudy\":null,\"isOpenAccess\":false,\"openAccessPdf\":\"https://www.ncbi.nlm.nih.gov/pmc/articles/PMC12497515/pdf/\",\"citationCount\":\"0\",\"resultStr\":null,\"platform\":\"Semanticscholar\",\"paperid\":null,\"PeriodicalName\":\"Neurologia medico-chirurgica\",\"FirstCategoryId\":\"3\",\"ListUrlMain\":\"https://doi.org/10.2176/jns-nmc.2025-0115\",\"RegionNum\":4,\"RegionCategory\":\"医学\",\"ArticlePicture\":[],\"TitleCN\":null,\"AbstractTextCN\":null,\"PMCID\":null,\"EPubDate\":\"2025/7/31 0:00:00\",\"PubModel\":\"Epub\",\"JCR\":\"Q2\",\"JCRName\":\"CLINICAL NEUROLOGY\",\"Score\":null,\"Total\":0}","platform":"Semanticscholar","paperid":null,"PeriodicalName":"Neurologia medico-chirurgica","FirstCategoryId":"3","ListUrlMain":"https://doi.org/10.2176/jns-nmc.2025-0115","RegionNum":4,"RegionCategory":"医学","ArticlePicture":[],"TitleCN":null,"AbstractTextCN":null,"PMCID":null,"EPubDate":"2025/7/31 0:00:00","PubModel":"Epub","JCR":"Q2","JCRName":"CLINICAL NEUROLOGY","Score":null,"Total":0}
引用次数: 0

摘要

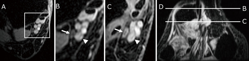
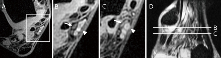
跗骨隧道综合征是一种位于跗骨隧道的压迫性神经病变。诊断和预测手术结果是困难的。我们比较了术前和术后的磁共振成像结果。我们检查了连续38例跗骨隧道综合征(47英尺)患者的术前磁共振成像结果;他们的平均年龄为73.8岁。我们在术前T2*脂肪抑制轴向磁共振成像图像上观察最受压神经切片上的神经宽度和该神经的高强度,并探讨磁共振成像在跗骨隧道综合征患者的诊断和手术结果中的作用。术后症状明显改善。术前磁共振成像扫描显示,最受压神经的平均宽度为0.99±0.37 mm。术前症状严重程度与术后症状改善无显著相关性。在29英尺(61.7%),我们观察到压迫神经的高强度。除一只脚外,其余足部均在靠近最强神经压迫点的3个轴向切片上显示高信号区。术前有高强度(1组,n = 29)和无高强度(2组,n = 18)患者的症状严重程度无显著差异。组1患者最大受压点神经宽度明显变细,术后症状改善明显较大。虽然术前神经压迫严重程度与手术结果之间没有相关性,但磁共振成像扫描显示的神经高强度可能有助于跗骨隧道综合征的诊断。
本文章由计算机程序翻译,如有差异,请以英文原文为准。

Preoperative Magnetic Resonance Imaging Findings in Patients with Tarsal Tunnel Syndrome and Postoperative Outcomes.

Preoperative Magnetic Resonance Imaging Findings in Patients with Tarsal Tunnel Syndrome and Postoperative Outcomes.

Preoperative Magnetic Resonance Imaging Findings in Patients with Tarsal Tunnel Syndrome and Postoperative Outcomes.

Preoperative Magnetic Resonance Imaging Findings in Patients with Tarsal Tunnel Syndrome and Postoperative Outcomes.

Tarsal tunnel syndrome is an entrapment neuropathy at the tarsal tunnel. The diagnosis and the prediction of the surgical outcome are difficult. We compared preoperative magnetic resonance imaging findings with the postoperative results. We examined preoperative magnetic resonance imaging findings in 38 consecutive patients with Tarsal tunnel syndrome (47 feet); their mean age was 73.8 years. We inspected the nerve width on the slice showing the most compressed nerve, and the hyperintensity of that nerve on preoperative T2* fat-suppressed axial magnetic resonance imaging images and examined the role of magnetic resonance imaging in the diagnosis and of the surgical outcomes in patients with Tarsal tunnel syndrome. Postoperatively, there was significant symptom improvement. On preoperative magnetic resonance imaging scans the mean width of the most compressed nerve was 0.99 ± 0.37 mm. There was no significant correlation between the preoperative symptom severity and postoperative symptom improvement. In 29 feet (61.7%) we observed hyperintensity of the compressed nerve. In all but one foot the hyperintense area was displayed on 3 axial slices adjacent to the strongest nerve compression point. There was no significant difference in the preoperative symptom severity in patients with (group 1, n = 29) or without hyperintensity (group 2, n = 18). The nerve width at the point of greatest compression was significantly thinner, and postoperative symptom improvement was significantly greater in group 1 patients. Although there was no correlation between the preoperative nerve compression severity and the surgical results, nerve hyperintensity on magnetic resonance imaging scans may help with the diagnosis of Tarsal tunnel syndrome.

求助全文
通过发布文献求助,成功后即可免费获取论文全文。 去求助
来源期刊
Neurologia medico-chirurgica
Neurologia medico-chirurgica 医学-临床神经学
CiteScore
3.70
自引率
10.50%
发文量
63
审稿时长
3-8 weeks
期刊介绍: Information not localized
×
引用
GB/T 7714-2015
复制
MLA
复制
APA
复制
导出至
BibTeX EndNote RefMan NoteFirst NoteExpress
×
提示
您的信息不完整,为了账户安全,请先补充。
现在去补充
×
提示
您因"违规操作"
具体请查看互助需知
我知道了
×
提示
确定
请完成安全验证×
copy
已复制链接
快去分享给好友吧!
我知道了
右上角分享
点击右上角分享
0
联系我们:info@booksci.cn Book学术提供免费学术资源搜索服务,方便国内外学者检索中英文文献。致力于提供最便捷和优质的服务体验。 Copyright © 2023 布克学术 All rights reserved.
京ICP备2023020795号-1
ghs 京公网安备 11010802042870号
Book学术文献互助
Book学术文献互助群
群 号:604180095
Book学术官方微信