重组乳酸乳球菌生长条件和诱导浓度的优化及其动力学模型研究。

IF 2.9 Q3 MICROBIOLOGY
Bioscience of microbiota, food and health Pub Date : 2025-01-01 Epub Date: 2025-04-21 DOI:10.12938/bmfh.2024-110
Termidzi Husni Mubarak, Silvia Maulita, Oktavia Rahayu Adianingsih, Jurjen Duintjer Tebbens, Takeshi Shimosato, Valentina Yurina
{"title":"重组乳酸乳球菌生长条件和诱导浓度的优化及其动力学模型研究。","authors":"Termidzi Husni Mubarak, Silvia Maulita, Oktavia Rahayu Adianingsih, Jurjen Duintjer Tebbens, Takeshi Shimosato, Valentina Yurina","doi":"10.12938/bmfh.2024-110","DOIUrl":null,"url":null,"abstract":"<p><p><i>Lactococcus lactis</i> bacterium can be genetically modified to transport the spike protein from SARS-CoV-2, making it a potential candidate for a COVID-19 mucosal vaccine. This study aimed to optimize the nisin concentration, pH, incubation time, and media composition to induce spike protein expression. The concentrations of nisin used in this study ranged from 0 to 40 ng/mL, the incubation period was 3 to 24 hr, and the pH of the growth media ranged from 4 to 8. The media was also supplemented with various yeast extract and sucrose concentrations. The highest protein band intensity was observed at a concentration of 40 ng/mL and an incubation period of 9 hr. Supplementation with 4% w/v yeast extract and 6% w/v sucrose significantly increased the expression of HCR spike protein. <i>In silico</i> simulation suggested a maximal protein band intensity of 70.95 arbitrary units, while the nisin concentration needed to produce half the maximal protein band intensity was estimated to be 9.599 ng/mL. No significant difference in spike protein expression was found between pH variations. The media composition, inducer, and incubation time strongly affect the spike protein expression.</p>","PeriodicalId":93908,"journal":{"name":"Bioscience of microbiota, food and health","volume":"44 3","pages":"227-234"},"PeriodicalIF":2.9000,"publicationDate":"2025-01-01","publicationTypes":"Journal Article","fieldsOfStudy":null,"isOpenAccess":false,"openAccessPdf":"https://www.ncbi.nlm.nih.gov/pmc/articles/PMC12236166/pdf/","citationCount":"0","resultStr":"{\"title\":\"Optimization of growth conditions and the inducer concentration for increasing spike protein expression in recombinant <i>Lactococcus lactis</i> and its kinetic modeling.\",\"authors\":\"Termidzi Husni Mubarak, Silvia Maulita, Oktavia Rahayu Adianingsih, Jurjen Duintjer Tebbens, Takeshi Shimosato, Valentina Yurina\",\"doi\":\"10.12938/bmfh.2024-110\",\"DOIUrl\":null,\"url\":null,\"abstract\":\"<p><p><i>Lactococcus lactis</i> bacterium can be genetically modified to transport the spike protein from SARS-CoV-2, making it a potential candidate for a COVID-19 mucosal vaccine. This study aimed to optimize the nisin concentration, pH, incubation time, and media composition to induce spike protein expression. The concentrations of nisin used in this study ranged from 0 to 40 ng/mL, the incubation period was 3 to 24 hr, and the pH of the growth media ranged from 4 to 8. The media was also supplemented with various yeast extract and sucrose concentrations. The highest protein band intensity was observed at a concentration of 40 ng/mL and an incubation period of 9 hr. Supplementation with 4% w/v yeast extract and 6% w/v sucrose significantly increased the expression of HCR spike protein. <i>In silico</i> simulation suggested a maximal protein band intensity of 70.95 arbitrary units, while the nisin concentration needed to produce half the maximal protein band intensity was estimated to be 9.599 ng/mL. No significant difference in spike protein expression was found between pH variations. The media composition, inducer, and incubation time strongly affect the spike protein expression.</p>\",\"PeriodicalId\":93908,\"journal\":{\"name\":\"Bioscience of microbiota, food and health\",\"volume\":\"44 3\",\"pages\":\"227-234\"},\"PeriodicalIF\":2.9000,\"publicationDate\":\"2025-01-01\",\"publicationTypes\":\"Journal Article\",\"fieldsOfStudy\":null,\"isOpenAccess\":false,\"openAccessPdf\":\"https://www.ncbi.nlm.nih.gov/pmc/articles/PMC12236166/pdf/\",\"citationCount\":\"0\",\"resultStr\":null,\"platform\":\"Semanticscholar\",\"paperid\":null,\"PeriodicalName\":\"Bioscience of microbiota, food and health\",\"FirstCategoryId\":\"1085\",\"ListUrlMain\":\"https://doi.org/10.12938/bmfh.2024-110\",\"RegionNum\":0,\"RegionCategory\":null,\"ArticlePicture\":[],\"TitleCN\":null,\"AbstractTextCN\":null,\"PMCID\":null,\"EPubDate\":\"2025/4/21 0:00:00\",\"PubModel\":\"Epub\",\"JCR\":\"Q3\",\"JCRName\":\"MICROBIOLOGY\",\"Score\":null,\"Total\":0}","platform":"Semanticscholar","paperid":null,"PeriodicalName":"Bioscience of microbiota, food and health","FirstCategoryId":"1085","ListUrlMain":"https://doi.org/10.12938/bmfh.2024-110","RegionNum":0,"RegionCategory":null,"ArticlePicture":[],"TitleCN":null,"AbstractTextCN":null,"PMCID":null,"EPubDate":"2025/4/21 0:00:00","PubModel":"Epub","JCR":"Q3","JCRName":"MICROBIOLOGY","Score":null,"Total":0}
引用次数: 0

摘要

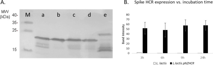
乳酸乳球菌可以通过基因改造来运输来自SARS-CoV-2的刺突蛋白,使其成为COVID-19粘膜疫苗的潜在候选物。本研究旨在优化nisin浓度、pH、培养时间和培养基组成来诱导刺突蛋白的表达。本研究使用的nisin浓度为0 ~ 40 ng/mL,孵育时间为3 ~ 24小时,培养基pH为4 ~ 8。培养基中还添加了不同浓度的酵母提取物和蔗糖。当浓度为40 ng/mL,孵育时间为9小时时,蛋白带强度最高。添加4% w/v酵母提取物和6% w/v蔗糖显著提高了HCR穗蛋白的表达。计算机模拟表明,最大蛋白带强度为70.95任意单位,而产生最大蛋白带强度一半所需的nisin浓度估计为9.599 ng/mL。不同pH值间刺突蛋白表达无显著差异。培养基组成、诱导剂和培养时间对穗蛋白表达有很大影响。
本文章由计算机程序翻译,如有差异,请以英文原文为准。

Optimization of growth conditions and the inducer concentration for increasing spike protein expression in recombinant <i>Lactococcus lactis</i> and its kinetic modeling.

Optimization of growth conditions and the inducer concentration for increasing spike protein expression in recombinant <i>Lactococcus lactis</i> and its kinetic modeling.

Optimization of growth conditions and the inducer concentration for increasing spike protein expression in recombinant <i>Lactococcus lactis</i> and its kinetic modeling.

Optimization of growth conditions and the inducer concentration for increasing spike protein expression in recombinant Lactococcus lactis and its kinetic modeling.

Lactococcus lactis bacterium can be genetically modified to transport the spike protein from SARS-CoV-2, making it a potential candidate for a COVID-19 mucosal vaccine. This study aimed to optimize the nisin concentration, pH, incubation time, and media composition to induce spike protein expression. The concentrations of nisin used in this study ranged from 0 to 40 ng/mL, the incubation period was 3 to 24 hr, and the pH of the growth media ranged from 4 to 8. The media was also supplemented with various yeast extract and sucrose concentrations. The highest protein band intensity was observed at a concentration of 40 ng/mL and an incubation period of 9 hr. Supplementation with 4% w/v yeast extract and 6% w/v sucrose significantly increased the expression of HCR spike protein. In silico simulation suggested a maximal protein band intensity of 70.95 arbitrary units, while the nisin concentration needed to produce half the maximal protein band intensity was estimated to be 9.599 ng/mL. No significant difference in spike protein expression was found between pH variations. The media composition, inducer, and incubation time strongly affect the spike protein expression.

求助全文
通过发布文献求助,成功后即可免费获取论文全文。 去求助
来源期刊
CiteScore
6.20
自引率
0.00%
发文量
0
×
引用
GB/T 7714-2015
复制
MLA
复制
APA
复制
导出至
BibTeX EndNote RefMan NoteFirst NoteExpress
×
提示
您的信息不完整,为了账户安全,请先补充。
现在去补充
×
提示
您因"违规操作"
具体请查看互助需知
我知道了
×
提示
确定
请完成安全验证×
copy
已复制链接
快去分享给好友吧!
我知道了
右上角分享
点击右上角分享
0
联系我们:info@booksci.cn Book学术提供免费学术资源搜索服务,方便国内外学者检索中英文文献。致力于提供最便捷和优质的服务体验。 Copyright © 2023 布克学术 All rights reserved.
京ICP备2023020795号-1
ghs 京公网安备 11010802042870号
Book学术文献互助
Book学术文献互助群
群 号:604180095
Book学术官方微信