皮肤鳞状细胞癌神经周围扩散的异常形态学表现:综合分子分析和机器学习辅助诊断。

IF 1.1 4区 医学 Q3 DERMATOLOGY
Madhurya Ramineni, Hassan Ghani, Bruce R. Smoller, Rajnish Bharadwaj
{"title":"皮肤鳞状细胞癌神经周围扩散的异常形态学表现:综合分子分析和机器学习辅助诊断。","authors":"Madhurya Ramineni,&nbsp;Hassan Ghani,&nbsp;Bruce R. Smoller,&nbsp;Rajnish Bharadwaj","doi":"10.1111/cup.14832","DOIUrl":null,"url":null,"abstract":"<p>Neoplasms of unknown primary frequently pose a diagnostic challenge due to their nonspecific morphological and immunohistochemical features. Definitive classification of these neoplasms has a profound impact on treatment decisions. Mutational and gene expression profiling can provide diagnostic and prognostic information in these challenging cases. We present a case of pontine and cranial nerve lesions in an elderly male with no clinically identifiable index lesion at the time of presentation. The lesion's morphology and immunoprofile did not provide a definitive diagnosis. The whole-exome and transcriptome sequencing identified a UV signature confirming the tumor's cutaneous origin. In addition, pathogenic mutations in multiple genes, including those frequently associated with squamous cell carcinoma (e.g., <i>NOTCH1</i>), were identified. The molecular data was also analyzed by “Caris MI GPSai,” a machine-learning algorithm that compares the neoplasm's gene expression and mutational profile against an extensive reference database of genomic and transcriptomic alterations observed in various neoplasms. This predicted the cancer to be cutaneous squamous cell carcinoma with a 66% probability, enabling appropriate treatment for the patient. This case highlights the deceptive morphology of cutaneous squamous cell carcinoma with perineural spread and demonstrates how molecular profiling with machine learning can aid in achieving a definitive diagnosis.</p>","PeriodicalId":15407,"journal":{"name":"Journal of Cutaneous Pathology","volume":"52 9","pages":"568-573"},"PeriodicalIF":1.1000,"publicationDate":"2025-06-30","publicationTypes":"Journal Article","fieldsOfStudy":null,"isOpenAccess":false,"openAccessPdf":"https://onlinelibrary.wiley.com/doi/epdf/10.1111/cup.14832","citationCount":"0","resultStr":"{\"title\":\"Unusual Morphologic Presentation of Perineural Spread From Cutaneous Squamous Cell Carcinoma: Diagnosis Aided by Comprehensive Molecular Analysis and Machine Learning\",\"authors\":\"Madhurya Ramineni,&nbsp;Hassan Ghani,&nbsp;Bruce R. Smoller,&nbsp;Rajnish Bharadwaj\",\"doi\":\"10.1111/cup.14832\",\"DOIUrl\":null,\"url\":null,\"abstract\":\"<p>Neoplasms of unknown primary frequently pose a diagnostic challenge due to their nonspecific morphological and immunohistochemical features. Definitive classification of these neoplasms has a profound impact on treatment decisions. Mutational and gene expression profiling can provide diagnostic and prognostic information in these challenging cases. We present a case of pontine and cranial nerve lesions in an elderly male with no clinically identifiable index lesion at the time of presentation. The lesion's morphology and immunoprofile did not provide a definitive diagnosis. The whole-exome and transcriptome sequencing identified a UV signature confirming the tumor's cutaneous origin. In addition, pathogenic mutations in multiple genes, including those frequently associated with squamous cell carcinoma (e.g., <i>NOTCH1</i>), were identified. The molecular data was also analyzed by “Caris MI GPSai,” a machine-learning algorithm that compares the neoplasm's gene expression and mutational profile against an extensive reference database of genomic and transcriptomic alterations observed in various neoplasms. This predicted the cancer to be cutaneous squamous cell carcinoma with a 66% probability, enabling appropriate treatment for the patient. This case highlights the deceptive morphology of cutaneous squamous cell carcinoma with perineural spread and demonstrates how molecular profiling with machine learning can aid in achieving a definitive diagnosis.</p>\",\"PeriodicalId\":15407,\"journal\":{\"name\":\"Journal of Cutaneous Pathology\",\"volume\":\"52 9\",\"pages\":\"568-573\"},\"PeriodicalIF\":1.1000,\"publicationDate\":\"2025-06-30\",\"publicationTypes\":\"Journal Article\",\"fieldsOfStudy\":null,\"isOpenAccess\":false,\"openAccessPdf\":\"https://onlinelibrary.wiley.com/doi/epdf/10.1111/cup.14832\",\"citationCount\":\"0\",\"resultStr\":null,\"platform\":\"Semanticscholar\",\"paperid\":null,\"PeriodicalName\":\"Journal of Cutaneous Pathology\",\"FirstCategoryId\":\"3\",\"ListUrlMain\":\"https://onlinelibrary.wiley.com/doi/10.1111/cup.14832\",\"RegionNum\":4,\"RegionCategory\":\"医学\",\"ArticlePicture\":[],\"TitleCN\":null,\"AbstractTextCN\":null,\"PMCID\":null,\"EPubDate\":\"\",\"PubModel\":\"\",\"JCR\":\"Q3\",\"JCRName\":\"DERMATOLOGY\",\"Score\":null,\"Total\":0}","platform":"Semanticscholar","paperid":null,"PeriodicalName":"Journal of Cutaneous Pathology","FirstCategoryId":"3","ListUrlMain":"https://onlinelibrary.wiley.com/doi/10.1111/cup.14832","RegionNum":4,"RegionCategory":"医学","ArticlePicture":[],"TitleCN":null,"AbstractTextCN":null,"PMCID":null,"EPubDate":"","PubModel":"","JCR":"Q3","JCRName":"DERMATOLOGY","Score":null,"Total":0}
引用次数: 0

摘要

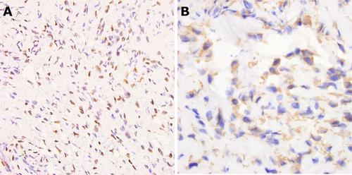
原发不明的肿瘤由于其非特异性的形态学和免疫组织化学特征,常常给诊断带来挑战。这些肿瘤的明确分类对治疗决策有着深远的影响。突变和基因表达谱可以为这些具有挑战性的病例提供诊断和预后信息。我们提出一个老年男性脑桥和脑神经病变的病例,在提出的时候没有临床可识别的指数病变。病变的形态和免疫图谱不能提供明确的诊断。全外显子组和转录组测序鉴定出一个紫外线标记,证实肿瘤的皮肤起源。此外,还发现了多个基因的致病突变,包括那些经常与鳞状细胞癌相关的基因(如NOTCH1)。分子数据也通过“Caris MI GPSai”进行分析,这是一种机器学习算法,将肿瘤的基因表达和突变谱与在各种肿瘤中观察到的基因组和转录组学改变的广泛参考数据库进行比较。预测该癌症为皮肤鳞状细胞癌的概率为66%,从而可以对患者进行适当的治疗。本病例突出了伴有神经周围扩散的皮肤鳞状细胞癌的欺骗性形态学,并证明了机器学习的分子谱分析如何有助于实现明确的诊断。
本文章由计算机程序翻译,如有差异,请以英文原文为准。

Unusual Morphologic Presentation of Perineural Spread From Cutaneous Squamous Cell Carcinoma: Diagnosis Aided by Comprehensive Molecular Analysis and Machine Learning

Unusual Morphologic Presentation of Perineural Spread From Cutaneous Squamous Cell Carcinoma: Diagnosis Aided by Comprehensive Molecular Analysis and Machine Learning

Neoplasms of unknown primary frequently pose a diagnostic challenge due to their nonspecific morphological and immunohistochemical features. Definitive classification of these neoplasms has a profound impact on treatment decisions. Mutational and gene expression profiling can provide diagnostic and prognostic information in these challenging cases. We present a case of pontine and cranial nerve lesions in an elderly male with no clinically identifiable index lesion at the time of presentation. The lesion's morphology and immunoprofile did not provide a definitive diagnosis. The whole-exome and transcriptome sequencing identified a UV signature confirming the tumor's cutaneous origin. In addition, pathogenic mutations in multiple genes, including those frequently associated with squamous cell carcinoma (e.g., NOTCH1), were identified. The molecular data was also analyzed by “Caris MI GPSai,” a machine-learning algorithm that compares the neoplasm's gene expression and mutational profile against an extensive reference database of genomic and transcriptomic alterations observed in various neoplasms. This predicted the cancer to be cutaneous squamous cell carcinoma with a 66% probability, enabling appropriate treatment for the patient. This case highlights the deceptive morphology of cutaneous squamous cell carcinoma with perineural spread and demonstrates how molecular profiling with machine learning can aid in achieving a definitive diagnosis.

求助全文
通过发布文献求助,成功后即可免费获取论文全文。 去求助
来源期刊
CiteScore
3.20
自引率
5.90%
发文量
174
审稿时长
3-8 weeks
期刊介绍: Journal of Cutaneous Pathology publishes manuscripts broadly relevant to diseases of the skin and mucosae, with the aims of advancing scientific knowledge regarding dermatopathology and enhancing the communication between clinical practitioners and research scientists. Original scientific manuscripts on diagnostic and experimental cutaneous pathology are especially desirable. Timely, pertinent review articles also will be given high priority. Manuscripts based on light, fluorescence, and electron microscopy, histochemistry, immunology, molecular biology, and genetics, as well as allied sciences, are all welcome, provided their principal focus is on cutaneous pathology. Publication time will be kept as short as possible, ensuring that articles will be quickly available to all interested in this speciality.
×
引用
GB/T 7714-2015
复制
MLA
复制
APA
复制
导出至
BibTeX EndNote RefMan NoteFirst NoteExpress
×
提示
您的信息不完整,为了账户安全,请先补充。
现在去补充
×
提示
您因"违规操作"
具体请查看互助需知
我知道了
×
提示
确定
请完成安全验证×
copy
已复制链接
快去分享给好友吧!
我知道了
右上角分享
点击右上角分享
0
联系我们:info@booksci.cn Book学术提供免费学术资源搜索服务,方便国内外学者检索中英文文献。致力于提供最便捷和优质的服务体验。 Copyright © 2023 布克学术 All rights reserved.
京ICP备2023020795号-1
ghs 京公网安备 11010802042870号
Book学术文献互助
Book学术文献互助群
群 号:604180095
Book学术官方微信