cnot3相关神经发育障碍的综合分析:表型和基因型表征。

IF 4.6 2区 生物学 Q2 BIOCHEMISTRY & MOLECULAR BIOLOGY
Camille Engel, Michaela Rendek, Jessica Assoumani, Emanuela Argilli, Francesca Ariani, Anne-Laude Avice-Denizet, Emilia K. Bijlsmaa, Pierre Blanc, Lucia Pia Bruno, Bert Callewaert, Valeria Capra, Michele Carullo, Bertrand Chesneau, Sandra Coppens, Cynthia Curry, Breanne Dale, Eric Dahlen, Andrée Delahaye-Duriez, Anne-Sophie Denommé-Pichon, Bénédicte Demeer, Lenka Dvořáková, Jan Fischer, David Geneviève, Thea Giacomini, Mette M. Handrup, Delphine Heron, Irina Hüning, Michelle Iacomino, Bertrand Isidor, Boris Keren, Stanislav Kmoch, David A. Koolen, Andrea Kübler, Jana Laštůvková, Carolyn Le, Jonathan Levy, Caterina Lo Rizzo, Silvia Maitz, Sandrine Marlin, Cyril Mignot, Ghayda Mirzaa, Inga Nagel, Sebastian Neuens, Lenka Nosková, Emily Pao, Anna Pecková, Julie Plaisancie, Joseph Porrmann, Flavia Privitera, André Reis, Alessandra Renieri, Marlène Rio, Alyssa Rippert, Lukáš Ryba, Marcello Scala, Jolanda H. Schieving, Elliott H. Sherr, Andrew Shuen, Richard Sidlow, Thomas Smol, Julie Soblet, Pasquale Striano, Mohnish Suri, Hannes Syryn, Frédéric Tran Mau-Them, Andre M. Travessa, Julien Van Gils, Georgia Vasileiou, Jolijn J. A. Verseput, Catheline Vilain, Catherine Vincent-Delorme, Emílie Vyhnálková, Emma L. Wakeling, Pia Zacher, Federico Zara, Paul Kuentz, Juliette Piard
{"title":"cnot3相关神经发育障碍的综合分析:表型和基因型表征。","authors":"Camille Engel, Michaela Rendek, Jessica Assoumani, Emanuela Argilli, Francesca Ariani, Anne-Laude Avice-Denizet, Emilia K. Bijlsmaa, Pierre Blanc, Lucia Pia Bruno, Bert Callewaert, Valeria Capra, Michele Carullo, Bertrand Chesneau, Sandra Coppens, Cynthia Curry, Breanne Dale, Eric Dahlen, Andrée Delahaye-Duriez, Anne-Sophie Denommé-Pichon, Bénédicte Demeer, Lenka Dvořáková, Jan Fischer, David Geneviève, Thea Giacomini, Mette M. Handrup, Delphine Heron, Irina Hüning, Michelle Iacomino, Bertrand Isidor, Boris Keren, Stanislav Kmoch, David A. Koolen, Andrea Kübler, Jana Laštůvková, Carolyn Le, Jonathan Levy, Caterina Lo Rizzo, Silvia Maitz, Sandrine Marlin, Cyril Mignot, Ghayda Mirzaa, Inga Nagel, Sebastian Neuens, Lenka Nosková, Emily Pao, Anna Pecková, Julie Plaisancie, Joseph Porrmann, Flavia Privitera, André Reis, Alessandra Renieri, Marlène Rio, Alyssa Rippert, Lukáš Ryba, Marcello Scala, Jolanda H. Schieving, Elliott H. Sherr, Andrew Shuen, Richard Sidlow, Thomas Smol, Julie Soblet, Pasquale Striano, Mohnish Suri, Hannes Syryn, Frédéric Tran Mau-Them, Andre M. Travessa, Julien Van Gils, Georgia Vasileiou, Jolijn J. A. Verseput, Catheline Vilain, Catherine Vincent-Delorme, Emílie Vyhnálková, Emma L. Wakeling, Pia Zacher, Federico Zara, Paul Kuentz, Juliette Piard","doi":"10.1038/s41431-025-01884-z","DOIUrl":null,"url":null,"abstract":"The CCR4-NOT complex, crucial in gene expression regulation, includes CNOT3, a subunit linked to neurodevelopmental disorders when mutated. This study investigates 51 patients from 42 families with heterozygous CNOT3 variants, aiming to expand the understanding of CNOT3-related neurodevelopmental disorders and explore genotype-phenotype correlations. Patients originated from various countries, reflecting the disorder’s global significance. All patients exhibited developmental delays, particularly in the language area. Intellectual disability was found in 87% of patients and was typically mild to moderate. Behavioral issues, including autism spectrum disorders and attention deficits, were common, affecting over half of the patients. Dysmorphic features were highlighted and may help establishing the diagnosis. Epilepsy was uncommon (10%). Twenty-eight novel variants were identified, including missense, nonsense, frameshift, intronic variations and a deletion of 12 exons. Missense variants clustered at the N- and C-terminal regions of the protein, indicating critical functional roles. No clear genotype-phenotype correlation was observed, suggesting that all identified variants resulted in a loss-of-function effect. Finally, this work delineates the clinical and molecular spectrum of CNOT3-related disorders thanks to an in-depth characterization of a large cohort. Further research will be necessary to understand the functional consequences of the variants and enhance patient long-term outcomes.","PeriodicalId":12016,"journal":{"name":"European Journal of Human Genetics","volume":"33 8","pages":"989-996"},"PeriodicalIF":4.6000,"publicationDate":"2025-06-25","publicationTypes":"Journal Article","fieldsOfStudy":null,"isOpenAccess":false,"openAccessPdf":"","citationCount":"0","resultStr":"{\"title\":\"Comprehensive analysis of CNOT3-related neurodevelopmental disorders: phenotypic and genotypic characterization\",\"authors\":\"Camille Engel, Michaela Rendek, Jessica Assoumani, Emanuela Argilli, Francesca Ariani, Anne-Laude Avice-Denizet, Emilia K. Bijlsmaa, Pierre Blanc, Lucia Pia Bruno, Bert Callewaert, Valeria Capra, Michele Carullo, Bertrand Chesneau, Sandra Coppens, Cynthia Curry, Breanne Dale, Eric Dahlen, Andrée Delahaye-Duriez, Anne-Sophie Denommé-Pichon, Bénédicte Demeer, Lenka Dvořáková, Jan Fischer, David Geneviève, Thea Giacomini, Mette M. Handrup, Delphine Heron, Irina Hüning, Michelle Iacomino, Bertrand Isidor, Boris Keren, Stanislav Kmoch, David A. Koolen, Andrea Kübler, Jana Laštůvková, Carolyn Le, Jonathan Levy, Caterina Lo Rizzo, Silvia Maitz, Sandrine Marlin, Cyril Mignot, Ghayda Mirzaa, Inga Nagel, Sebastian Neuens, Lenka Nosková, Emily Pao, Anna Pecková, Julie Plaisancie, Joseph Porrmann, Flavia Privitera, André Reis, Alessandra Renieri, Marlène Rio, Alyssa Rippert, Lukáš Ryba, Marcello Scala, Jolanda H. Schieving, Elliott H. Sherr, Andrew Shuen, Richard Sidlow, Thomas Smol, Julie Soblet, Pasquale Striano, Mohnish Suri, Hannes Syryn, Frédéric Tran Mau-Them, Andre M. Travessa, Julien Van Gils, Georgia Vasileiou, Jolijn J. A. Verseput, Catheline Vilain, Catherine Vincent-Delorme, Emílie Vyhnálková, Emma L. Wakeling, Pia Zacher, Federico Zara, Paul Kuentz, Juliette Piard\",\"doi\":\"10.1038/s41431-025-01884-z\",\"DOIUrl\":null,\"url\":null,\"abstract\":\"The CCR4-NOT complex, crucial in gene expression regulation, includes CNOT3, a subunit linked to neurodevelopmental disorders when mutated. This study investigates 51 patients from 42 families with heterozygous CNOT3 variants, aiming to expand the understanding of CNOT3-related neurodevelopmental disorders and explore genotype-phenotype correlations. Patients originated from various countries, reflecting the disorder’s global significance. All patients exhibited developmental delays, particularly in the language area. Intellectual disability was found in 87% of patients and was typically mild to moderate. Behavioral issues, including autism spectrum disorders and attention deficits, were common, affecting over half of the patients. Dysmorphic features were highlighted and may help establishing the diagnosis. Epilepsy was uncommon (10%). Twenty-eight novel variants were identified, including missense, nonsense, frameshift, intronic variations and a deletion of 12 exons. Missense variants clustered at the N- and C-terminal regions of the protein, indicating critical functional roles. No clear genotype-phenotype correlation was observed, suggesting that all identified variants resulted in a loss-of-function effect. Finally, this work delineates the clinical and molecular spectrum of CNOT3-related disorders thanks to an in-depth characterization of a large cohort. Further research will be necessary to understand the functional consequences of the variants and enhance patient long-term outcomes.\",\"PeriodicalId\":12016,\"journal\":{\"name\":\"European Journal of Human Genetics\",\"volume\":\"33 8\",\"pages\":\"989-996\"},\"PeriodicalIF\":4.6000,\"publicationDate\":\"2025-06-25\",\"publicationTypes\":\"Journal Article\",\"fieldsOfStudy\":null,\"isOpenAccess\":false,\"openAccessPdf\":\"\",\"citationCount\":\"0\",\"resultStr\":null,\"platform\":\"Semanticscholar\",\"paperid\":null,\"PeriodicalName\":\"European Journal of Human Genetics\",\"FirstCategoryId\":\"99\",\"ListUrlMain\":\"https://www.nature.com/articles/s41431-025-01884-z\",\"RegionNum\":2,\"RegionCategory\":\"生物学\",\"ArticlePicture\":[],\"TitleCN\":null,\"AbstractTextCN\":null,\"PMCID\":null,\"EPubDate\":\"\",\"PubModel\":\"\",\"JCR\":\"Q2\",\"JCRName\":\"BIOCHEMISTRY & MOLECULAR BIOLOGY\",\"Score\":null,\"Total\":0}","platform":"Semanticscholar","paperid":null,"PeriodicalName":"European Journal of Human Genetics","FirstCategoryId":"99","ListUrlMain":"https://www.nature.com/articles/s41431-025-01884-z","RegionNum":2,"RegionCategory":"生物学","ArticlePicture":[],"TitleCN":null,"AbstractTextCN":null,"PMCID":null,"EPubDate":"","PubModel":"","JCR":"Q2","JCRName":"BIOCHEMISTRY & MOLECULAR BIOLOGY","Score":null,"Total":0}
引用次数: 0

摘要

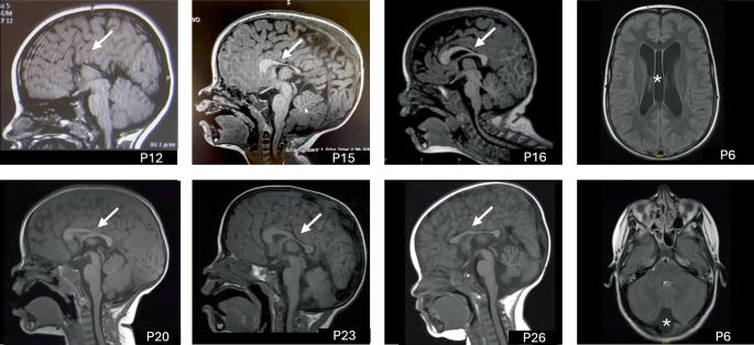
CCR4-NOT复合物在基因表达调控中起着至关重要的作用,其中包括CNOT3,这是一种突变时与神经发育障碍相关的亚基。本研究调查了来自42个CNOT3杂合变异家族的51例患者,旨在扩大对CNOT3相关神经发育障碍的认识,并探索基因型-表型相关性。患者来自不同的国家,反映了这种疾病的全球意义。所有患者都表现出发育迟缓,尤其是在语言方面。87%的患者存在智力残疾,通常为轻度至中度。包括自闭症谱系障碍和注意力缺陷在内的行为问题很常见,影响了一半以上的患者。畸形特征突出,可能有助于建立诊断。癫痫不常见(10%)。鉴定出28个新的变异,包括错义、无义、移码、内含子变异和12个外显子的缺失。错义变体聚集在蛋白质的N端和c端区域,表明关键的功能作用。没有观察到明确的基因型-表型相关性,这表明所有已鉴定的变异都会导致功能丧失效应。最后,通过对一个大队列的深入研究,本研究描绘了cnot3相关疾病的临床和分子谱。进一步的研究将是必要的,以了解变异的功能后果和提高患者的长期预后。
本文章由计算机程序翻译,如有差异,请以英文原文为准。

Comprehensive analysis of CNOT3-related neurodevelopmental disorders: phenotypic and genotypic characterization

Comprehensive analysis of CNOT3-related neurodevelopmental disorders: phenotypic and genotypic characterization
The CCR4-NOT complex, crucial in gene expression regulation, includes CNOT3, a subunit linked to neurodevelopmental disorders when mutated. This study investigates 51 patients from 42 families with heterozygous CNOT3 variants, aiming to expand the understanding of CNOT3-related neurodevelopmental disorders and explore genotype-phenotype correlations. Patients originated from various countries, reflecting the disorder’s global significance. All patients exhibited developmental delays, particularly in the language area. Intellectual disability was found in 87% of patients and was typically mild to moderate. Behavioral issues, including autism spectrum disorders and attention deficits, were common, affecting over half of the patients. Dysmorphic features were highlighted and may help establishing the diagnosis. Epilepsy was uncommon (10%). Twenty-eight novel variants were identified, including missense, nonsense, frameshift, intronic variations and a deletion of 12 exons. Missense variants clustered at the N- and C-terminal regions of the protein, indicating critical functional roles. No clear genotype-phenotype correlation was observed, suggesting that all identified variants resulted in a loss-of-function effect. Finally, this work delineates the clinical and molecular spectrum of CNOT3-related disorders thanks to an in-depth characterization of a large cohort. Further research will be necessary to understand the functional consequences of the variants and enhance patient long-term outcomes.
求助全文
通过发布文献求助,成功后即可免费获取论文全文。 去求助
来源期刊
European Journal of Human Genetics
European Journal of Human Genetics 生物-生化与分子生物学
CiteScore
9.90
自引率
5.80%
发文量
216
审稿时长
2 months
期刊介绍: The European Journal of Human Genetics is the official journal of the European Society of Human Genetics, publishing high-quality, original research papers, short reports and reviews in the rapidly expanding field of human genetics and genomics. It covers molecular, clinical and cytogenetics, interfacing between advanced biomedical research and the clinician, and bridging the great diversity of facilities, resources and viewpoints in the genetics community. Key areas include: -Monogenic and multifactorial disorders -Development and malformation -Hereditary cancer -Medical Genomics -Gene mapping and functional studies -Genotype-phenotype correlations -Genetic variation and genome diversity -Statistical and computational genetics -Bioinformatics -Advances in diagnostics -Therapy and prevention -Animal models -Genetic services -Community genetics
×
引用
GB/T 7714-2015
复制
MLA
复制
APA
复制
导出至
BibTeX EndNote RefMan NoteFirst NoteExpress
×
提示
您的信息不完整,为了账户安全,请先补充。
现在去补充
×
提示
您因"违规操作"
具体请查看互助需知
我知道了
×
提示
确定
请完成安全验证×
copy
已复制链接
快去分享给好友吧!
我知道了
右上角分享
点击右上角分享
0
联系我们:info@booksci.cn Book学术提供免费学术资源搜索服务,方便国内外学者检索中英文文献。致力于提供最便捷和优质的服务体验。 Copyright © 2023 布克学术 All rights reserved.
京ICP备2023020795号-1
ghs 京公网安备 11010802042870号
Book学术文献互助
Book学术文献互助群
群 号:604180095
Book学术官方微信