芦荟提取物对阿霉素诱导小鼠卵巢滤泡和间质细胞变性的保护作用。

IF 1.9 4区 医学 Q2 BIOLOGY
E I T de Assis, A N Godinho, J M O Freire, M F de Lima Neto, J J N Costa, A L P Souza, A P O do Monte, M H T Matos, A L M de Sousa, J R V Silva, A W B Silva
{"title":"芦荟提取物对阿霉素诱导小鼠卵巢滤泡和间质细胞变性的保护作用。","authors":"E I T de Assis, A N Godinho, J M O Freire, M F de Lima Neto, J J N Costa, A L P Souza, A P O do Monte, M H T Matos, A L M de Sousa, J R V Silva, A W B Silva","doi":"10.1590/1414-431X2025e14402","DOIUrl":null,"url":null,"abstract":"<p><p>The present study aimed to evaluate the protective effects of Aloe vera on doxorubicin (DOX)-induced degeneration in ovarian follicles and stromal cells in mice. Mice (n=48) were randomly divided into six groups. The positive control group mice received pretreatment of N-acetylcysteine orally (po), followed by a single intraperitoneal (ip) dose of DOX after 1 h (NAC+DOX). The negative control group mice were pre-treated with saline (po) and administered a single DOX dose (ip) after 1 h (SAL+DOX). The other groups of mice were pre-treated with different concentrations (0.1, 1.0, or 10.0 mg/kg; po) of Aloe vera and then received a single dose of DOX (ip) after 1 h (AV0.1+DOX, AV1.0+DOX, and AV10.0+DOX). The control group received saline po and ip (SAL+SAL). Aloe vera was administered once daily for 3 consecutive days. On the fourth day, the ovaries were processed for histological analysis, immunohistochemistry, and real-time PCR (mRNA for superoxide dismutase (SOD), catalase (CAT), nuclear factor erythroid 2-related factor 2 (NRF2), and tumor necrosis factor-α (TNF-α). Results showed that 0.1 and 1.0 mg/kg Aloe vera protected ovarian follicles and stromal density against DOX-induced degeneration. Furthermore, 0.1 and 1.0 mg/kg Aloe vera reduced TNF-α protein expression and increased NRF2, SOD, and CAT mRNA levels. In conclusion, 0.1 and 1.0 mg/kg Aloe vera had protective effects against DOX-induced degeneration in ovarian follicles and stromal cells in mice.</p>","PeriodicalId":9088,"journal":{"name":"Brazilian Journal of Medical and Biological Research","volume":"58 ","pages":"e14402"},"PeriodicalIF":1.9000,"publicationDate":"2025-06-16","publicationTypes":"Journal Article","fieldsOfStudy":null,"isOpenAccess":false,"openAccessPdf":"https://www.ncbi.nlm.nih.gov/pmc/articles/PMC12172158/pdf/","citationCount":"0","resultStr":"{\"title\":\"Protective effects of Aloe vera extract against doxorubicin-induced degeneration in ovarian follicles and stromal cells in mice.\",\"authors\":\"E I T de Assis, A N Godinho, J M O Freire, M F de Lima Neto, J J N Costa, A L P Souza, A P O do Monte, M H T Matos, A L M de Sousa, J R V Silva, A W B Silva\",\"doi\":\"10.1590/1414-431X2025e14402\",\"DOIUrl\":null,\"url\":null,\"abstract\":\"<p><p>The present study aimed to evaluate the protective effects of Aloe vera on doxorubicin (DOX)-induced degeneration in ovarian follicles and stromal cells in mice. Mice (n=48) were randomly divided into six groups. The positive control group mice received pretreatment of N-acetylcysteine orally (po), followed by a single intraperitoneal (ip) dose of DOX after 1 h (NAC+DOX). The negative control group mice were pre-treated with saline (po) and administered a single DOX dose (ip) after 1 h (SAL+DOX). The other groups of mice were pre-treated with different concentrations (0.1, 1.0, or 10.0 mg/kg; po) of Aloe vera and then received a single dose of DOX (ip) after 1 h (AV0.1+DOX, AV1.0+DOX, and AV10.0+DOX). The control group received saline po and ip (SAL+SAL). Aloe vera was administered once daily for 3 consecutive days. On the fourth day, the ovaries were processed for histological analysis, immunohistochemistry, and real-time PCR (mRNA for superoxide dismutase (SOD), catalase (CAT), nuclear factor erythroid 2-related factor 2 (NRF2), and tumor necrosis factor-α (TNF-α). Results showed that 0.1 and 1.0 mg/kg Aloe vera protected ovarian follicles and stromal density against DOX-induced degeneration. Furthermore, 0.1 and 1.0 mg/kg Aloe vera reduced TNF-α protein expression and increased NRF2, SOD, and CAT mRNA levels. In conclusion, 0.1 and 1.0 mg/kg Aloe vera had protective effects against DOX-induced degeneration in ovarian follicles and stromal cells in mice.</p>\",\"PeriodicalId\":9088,\"journal\":{\"name\":\"Brazilian Journal of Medical and Biological Research\",\"volume\":\"58 \",\"pages\":\"e14402\"},\"PeriodicalIF\":1.9000,\"publicationDate\":\"2025-06-16\",\"publicationTypes\":\"Journal Article\",\"fieldsOfStudy\":null,\"isOpenAccess\":false,\"openAccessPdf\":\"https://www.ncbi.nlm.nih.gov/pmc/articles/PMC12172158/pdf/\",\"citationCount\":\"0\",\"resultStr\":null,\"platform\":\"Semanticscholar\",\"paperid\":null,\"PeriodicalName\":\"Brazilian Journal of Medical and Biological Research\",\"FirstCategoryId\":\"3\",\"ListUrlMain\":\"https://doi.org/10.1590/1414-431X2025e14402\",\"RegionNum\":4,\"RegionCategory\":\"医学\",\"ArticlePicture\":[],\"TitleCN\":null,\"AbstractTextCN\":null,\"PMCID\":null,\"EPubDate\":\"2025/1/1 0:00:00\",\"PubModel\":\"eCollection\",\"JCR\":\"Q2\",\"JCRName\":\"BIOLOGY\",\"Score\":null,\"Total\":0}","platform":"Semanticscholar","paperid":null,"PeriodicalName":"Brazilian Journal of Medical and Biological Research","FirstCategoryId":"3","ListUrlMain":"https://doi.org/10.1590/1414-431X2025e14402","RegionNum":4,"RegionCategory":"医学","ArticlePicture":[],"TitleCN":null,"AbstractTextCN":null,"PMCID":null,"EPubDate":"2025/1/1 0:00:00","PubModel":"eCollection","JCR":"Q2","JCRName":"BIOLOGY","Score":null,"Total":0}
引用次数: 0

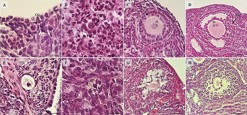
摘要

本研究旨在评价芦荟对阿霉素(DOX)诱导的小鼠卵巢卵泡和基质细胞变性的保护作用。48只小鼠随机分为6组。阳性对照组小鼠口服n -乙酰半胱氨酸(po)预处理,1h后单次腹腔注射DOX (NAC+DOX)。阴性对照组小鼠经生理盐水(po)预处理,1 h后给予单剂量DOX (SAL+DOX)。其他各组小鼠分别以不同浓度预处理(0.1、1.0、10.0 mg/kg;po),然后在1 h后接受单剂量DOX (AV0.1+DOX, AV1.0+DOX和AV10.0+DOX)。对照组给予生理盐水po、ip (SAL+SAL)。芦荟每天1次,连续3天。第4天,对卵巢进行组织学分析、免疫组化、实时荧光定量PCR (real-time PCR)检测超氧化物歧化酶(SOD)、过氧化氢酶(CAT)、核因子-红细胞2相关因子2 (NRF2)、肿瘤坏死因子-α (TNF-α) mRNA。结果表明,0.1和1.0 mg/kg芦荟对dox诱导的卵巢变性具有保护作用。此外,0.1和1.0 mg/kg芦荟可降低TNF-α蛋白表达,提高NRF2、SOD和CAT mRNA水平。综上所述,0.1和1.0 mg/kg芦荟对dox诱导的小鼠卵巢卵泡和间质细胞变性具有保护作用。
本文章由计算机程序翻译,如有差异,请以英文原文为准。

Protective effects of Aloe vera extract against doxorubicin-induced degeneration in ovarian follicles and stromal cells in mice.

Protective effects of Aloe vera extract against doxorubicin-induced degeneration in ovarian follicles and stromal cells in mice.

Protective effects of Aloe vera extract against doxorubicin-induced degeneration in ovarian follicles and stromal cells in mice.

Protective effects of Aloe vera extract against doxorubicin-induced degeneration in ovarian follicles and stromal cells in mice.

The present study aimed to evaluate the protective effects of Aloe vera on doxorubicin (DOX)-induced degeneration in ovarian follicles and stromal cells in mice. Mice (n=48) were randomly divided into six groups. The positive control group mice received pretreatment of N-acetylcysteine orally (po), followed by a single intraperitoneal (ip) dose of DOX after 1 h (NAC+DOX). The negative control group mice were pre-treated with saline (po) and administered a single DOX dose (ip) after 1 h (SAL+DOX). The other groups of mice were pre-treated with different concentrations (0.1, 1.0, or 10.0 mg/kg; po) of Aloe vera and then received a single dose of DOX (ip) after 1 h (AV0.1+DOX, AV1.0+DOX, and AV10.0+DOX). The control group received saline po and ip (SAL+SAL). Aloe vera was administered once daily for 3 consecutive days. On the fourth day, the ovaries were processed for histological analysis, immunohistochemistry, and real-time PCR (mRNA for superoxide dismutase (SOD), catalase (CAT), nuclear factor erythroid 2-related factor 2 (NRF2), and tumor necrosis factor-α (TNF-α). Results showed that 0.1 and 1.0 mg/kg Aloe vera protected ovarian follicles and stromal density against DOX-induced degeneration. Furthermore, 0.1 and 1.0 mg/kg Aloe vera reduced TNF-α protein expression and increased NRF2, SOD, and CAT mRNA levels. In conclusion, 0.1 and 1.0 mg/kg Aloe vera had protective effects against DOX-induced degeneration in ovarian follicles and stromal cells in mice.

求助全文
通过发布文献求助,成功后即可免费获取论文全文。 去求助
来源期刊
CiteScore
4.00
自引率
0.00%
发文量
129
审稿时长
2 months
期刊介绍: The Brazilian Journal of Medical and Biological Research, founded by Michel Jamra, is edited and published monthly by the Associação Brasileira de Divulgação Científica (ABDC), a federation of Brazilian scientific societies: - Sociedade Brasileira de Biofísica (SBBf) - Sociedade Brasileira de Farmacologia e Terapêutica Experimental (SBFTE) - Sociedade Brasileira de Fisiologia (SBFis) - Sociedade Brasileira de Imunologia (SBI) - Sociedade Brasileira de Investigação Clínica (SBIC) - Sociedade Brasileira de Neurociências e Comportamento (SBNeC).
×
引用
GB/T 7714-2015
复制
MLA
复制
APA
复制
导出至
BibTeX EndNote RefMan NoteFirst NoteExpress
×
提示
您的信息不完整,为了账户安全,请先补充。
现在去补充
×
提示
您因"违规操作"
具体请查看互助需知
我知道了
×
提示
确定
请完成安全验证×
copy
已复制链接
快去分享给好友吧!
我知道了
右上角分享
点击右上角分享
0
联系我们:info@booksci.cn Book学术提供免费学术资源搜索服务,方便国内外学者检索中英文文献。致力于提供最便捷和优质的服务体验。 Copyright © 2023 布克学术 All rights reserved.
京ICP备2023020795号-1
ghs 京公网安备 11010802042870号
Book学术文献互助
Book学术文献互助群
群 号:604180095
Book学术官方微信