不同皮肤光型的皮肤镜特征:26例回顾性研究。

IF 2.3 4区 医学 Q2 DERMATOLOGY
Bengu Nisa Akay, Handan Merve Erol Mart, Aylin Okcu Heper
{"title":"不同皮肤光型的皮肤镜特征:26例回顾性研究。","authors":"Bengu Nisa Akay, Handan Merve Erol Mart, Aylin Okcu Heper","doi":"10.5826/dpc.1502a5071","DOIUrl":null,"url":null,"abstract":"<p><strong>Introduction: </strong>Eccrine poroma (EP) is a benign adnexal tumor. Establishing a definitive diagnosis based on clinical and dermoscopic findings can be challenging.</p><p><strong>Objectives: </strong>The aim of this study was to perform a comprehensive analysis of the dermoscopic features of pigmented, hypopigmented, and nonpigmented variants of EP and to compare these dermoscopic features in patients with dark and light Fitzpatrick skin phototypes.</p><p><strong>Methods: </strong>A total of 26 cases of histopathologically confirmed EP were included. Each case was categorized as pigmented, hypopigmented, or nonpigmented based on the melanin content within the lesion. Patients were classified according to their Fitzpatrick skin phototypes. Dermoscopic images were subjected to revised pattern analysis, and the results were compared with the existing literature.</p><p><strong>Results: </strong>Regarding Fitzpatrick skin phototype, four (15.4%), 11 (42.3%), six (23.1%), and five (19.2%) patients had Fitzpatrick skin phototypes II, III, IV, and V, respectively. Of the cases, 17 (65.4%) were classified as nonpigmented, three (11.5%) as hypopigmented, and six (23.1%) as pigmented EP. All pigmented EP cases occurred in patients with dark skin and were located on non-acral sites. Polymorphic vascular pattern, branched vessels with rounded endings, linear-irregular vessels, interlacing white areas around vessels, and collarettes were more frequently observed in patients with light skin. In contrast, clod vessels, coiled vessels, white lines, ulceration, fiber sign, scales, and structureless areas were more common in patients with dark skin.</p><p><strong>Conclusions: </strong>This study underscores the significant dermoscopic diversity observed in EP, revealing distinct patterns based on pigmentation and Fitzpatrick skin phototypes.</p>","PeriodicalId":11168,"journal":{"name":"Dermatology practical & conceptual","volume":"15 2","pages":""},"PeriodicalIF":2.3000,"publicationDate":"2025-04-01","publicationTypes":"Journal Article","fieldsOfStudy":null,"isOpenAccess":false,"openAccessPdf":"https://www.ncbi.nlm.nih.gov/pmc/articles/PMC12090919/pdf/","citationCount":"0","resultStr":"{\"title\":\"Dermoscopic Features of Eccrine Poromas in Diverse Skin Phototypes: A Retrospective Study of 26 Cases.\",\"authors\":\"Bengu Nisa Akay, Handan Merve Erol Mart, Aylin Okcu Heper\",\"doi\":\"10.5826/dpc.1502a5071\",\"DOIUrl\":null,\"url\":null,\"abstract\":\"<p><strong>Introduction: </strong>Eccrine poroma (EP) is a benign adnexal tumor. Establishing a definitive diagnosis based on clinical and dermoscopic findings can be challenging.</p><p><strong>Objectives: </strong>The aim of this study was to perform a comprehensive analysis of the dermoscopic features of pigmented, hypopigmented, and nonpigmented variants of EP and to compare these dermoscopic features in patients with dark and light Fitzpatrick skin phototypes.</p><p><strong>Methods: </strong>A total of 26 cases of histopathologically confirmed EP were included. Each case was categorized as pigmented, hypopigmented, or nonpigmented based on the melanin content within the lesion. Patients were classified according to their Fitzpatrick skin phototypes. Dermoscopic images were subjected to revised pattern analysis, and the results were compared with the existing literature.</p><p><strong>Results: </strong>Regarding Fitzpatrick skin phototype, four (15.4%), 11 (42.3%), six (23.1%), and five (19.2%) patients had Fitzpatrick skin phototypes II, III, IV, and V, respectively. Of the cases, 17 (65.4%) were classified as nonpigmented, three (11.5%) as hypopigmented, and six (23.1%) as pigmented EP. All pigmented EP cases occurred in patients with dark skin and were located on non-acral sites. Polymorphic vascular pattern, branched vessels with rounded endings, linear-irregular vessels, interlacing white areas around vessels, and collarettes were more frequently observed in patients with light skin. In contrast, clod vessels, coiled vessels, white lines, ulceration, fiber sign, scales, and structureless areas were more common in patients with dark skin.</p><p><strong>Conclusions: </strong>This study underscores the significant dermoscopic diversity observed in EP, revealing distinct patterns based on pigmentation and Fitzpatrick skin phototypes.</p>\",\"PeriodicalId\":11168,\"journal\":{\"name\":\"Dermatology practical & conceptual\",\"volume\":\"15 2\",\"pages\":\"\"},\"PeriodicalIF\":2.3000,\"publicationDate\":\"2025-04-01\",\"publicationTypes\":\"Journal Article\",\"fieldsOfStudy\":null,\"isOpenAccess\":false,\"openAccessPdf\":\"https://www.ncbi.nlm.nih.gov/pmc/articles/PMC12090919/pdf/\",\"citationCount\":\"0\",\"resultStr\":null,\"platform\":\"Semanticscholar\",\"paperid\":null,\"PeriodicalName\":\"Dermatology practical & conceptual\",\"FirstCategoryId\":\"3\",\"ListUrlMain\":\"https://doi.org/10.5826/dpc.1502a5071\",\"RegionNum\":4,\"RegionCategory\":\"医学\",\"ArticlePicture\":[],\"TitleCN\":null,\"AbstractTextCN\":null,\"PMCID\":null,\"EPubDate\":\"\",\"PubModel\":\"\",\"JCR\":\"Q2\",\"JCRName\":\"DERMATOLOGY\",\"Score\":null,\"Total\":0}","platform":"Semanticscholar","paperid":null,"PeriodicalName":"Dermatology practical & conceptual","FirstCategoryId":"3","ListUrlMain":"https://doi.org/10.5826/dpc.1502a5071","RegionNum":4,"RegionCategory":"医学","ArticlePicture":[],"TitleCN":null,"AbstractTextCN":null,"PMCID":null,"EPubDate":"","PubModel":"","JCR":"Q2","JCRName":"DERMATOLOGY","Score":null,"Total":0}
引用次数: 0

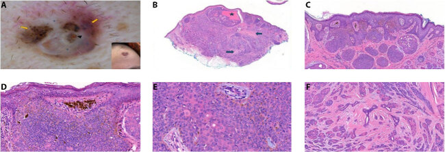
摘要

简介:外阴脓肿(Eccrine poroma, EP)是一种良性附件肿瘤。根据临床和皮肤镜检查结果建立明确的诊断可能具有挑战性。目的:本研究的目的是对EP的色素型、低色素型和非色素型的皮肤镜特征进行全面分析,并比较深色和浅色Fitzpatrick皮肤光型患者的皮肤镜特征。方法:选取经组织病理学证实的EP患者26例。根据病变内的黑色素含量,将每个病例分为色素沉着、低色素沉着或无色素沉着。根据患者的菲茨帕特里克皮肤照相类型对患者进行分类。对皮肤镜图像进行修正模式分析,并将结果与现有文献进行比较。结果:Fitzpatrick皮肤光型分别为II、III、IV、V型4例(15.4%)、11例(42.3%)、6例(23.1%)、5例(19.2%)。其中17例(65.4%)为无色素沉着,3例(11.5%)为低色素沉着,6例(23.1%)为色素沉着。所有色素性EP病例均发生在皮肤黝黑且位于非肢端部位的患者中。皮肤较浅者多见血管形态多形性、末梢为圆形的支状血管、血管线状不规则、血管周围白色相间区、结缔组织。相反,血管凝固、血管盘绕、白线、溃疡、纤维征、鳞片和无结构区在深色皮肤患者中更为常见。结论:本研究强调了EP在皮肤镜下观察到的显著多样性,揭示了基于色素沉着和Fitzpatrick皮肤光型的不同模式。
本文章由计算机程序翻译,如有差异,请以英文原文为准。

Dermoscopic Features of Eccrine Poromas in Diverse Skin Phototypes: A Retrospective Study of 26 Cases.

Dermoscopic Features of Eccrine Poromas in Diverse Skin Phototypes: A Retrospective Study of 26 Cases.

Dermoscopic Features of Eccrine Poromas in Diverse Skin Phototypes: A Retrospective Study of 26 Cases.

Dermoscopic Features of Eccrine Poromas in Diverse Skin Phototypes: A Retrospective Study of 26 Cases.

Introduction: Eccrine poroma (EP) is a benign adnexal tumor. Establishing a definitive diagnosis based on clinical and dermoscopic findings can be challenging.

Objectives: The aim of this study was to perform a comprehensive analysis of the dermoscopic features of pigmented, hypopigmented, and nonpigmented variants of EP and to compare these dermoscopic features in patients with dark and light Fitzpatrick skin phototypes.

Methods: A total of 26 cases of histopathologically confirmed EP were included. Each case was categorized as pigmented, hypopigmented, or nonpigmented based on the melanin content within the lesion. Patients were classified according to their Fitzpatrick skin phototypes. Dermoscopic images were subjected to revised pattern analysis, and the results were compared with the existing literature.

Results: Regarding Fitzpatrick skin phototype, four (15.4%), 11 (42.3%), six (23.1%), and five (19.2%) patients had Fitzpatrick skin phototypes II, III, IV, and V, respectively. Of the cases, 17 (65.4%) were classified as nonpigmented, three (11.5%) as hypopigmented, and six (23.1%) as pigmented EP. All pigmented EP cases occurred in patients with dark skin and were located on non-acral sites. Polymorphic vascular pattern, branched vessels with rounded endings, linear-irregular vessels, interlacing white areas around vessels, and collarettes were more frequently observed in patients with light skin. In contrast, clod vessels, coiled vessels, white lines, ulceration, fiber sign, scales, and structureless areas were more common in patients with dark skin.

Conclusions: This study underscores the significant dermoscopic diversity observed in EP, revealing distinct patterns based on pigmentation and Fitzpatrick skin phototypes.

求助全文
通过发布文献求助,成功后即可免费获取论文全文。 去求助
来源期刊
CiteScore
1.40
自引率
0.00%
发文量
217
×
引用
GB/T 7714-2015
复制
MLA
复制
APA
复制
导出至
BibTeX EndNote RefMan NoteFirst NoteExpress
×
提示
您的信息不完整,为了账户安全,请先补充。
现在去补充
×
提示
您因"违规操作"
具体请查看互助需知
我知道了
×
提示
确定
请完成安全验证×
copy
已复制链接
快去分享给好友吧!
我知道了
右上角分享
点击右上角分享
0
联系我们:info@booksci.cn Book学术提供免费学术资源搜索服务,方便国内外学者检索中英文文献。致力于提供最便捷和优质的服务体验。 Copyright © 2023 布克学术 All rights reserved.
京ICP备2023020795号-1
ghs 京公网安备 11010802042870号
Book学术文献互助
Book学术文献互助群
群 号:604180095
Book学术官方微信