在乳腺癌小鼠模型中,靶向缺氧诱导因子1 α通过调节肿瘤微环境增强化疗/免疫治疗的协同效应。

IF 2.2 4区 工程技术 Q3 PHARMACOLOGY & PHARMACY
Bioimpacts Pub Date : 2024-09-10 eCollection Date: 2025-01-01 DOI:10.34172/bi.30424
Mohsen Rashid, Mina Ramezani, Ommoleila Molavi, Zeinab Ghesmati, Behzad Baradaran, Mehdi Sabzichi, Fatemeh Ramezani
{"title":"在乳腺癌小鼠模型中,靶向缺氧诱导因子1 α通过调节肿瘤微环境增强化疗/免疫治疗的协同效应。","authors":"Mohsen Rashid, Mina Ramezani, Ommoleila Molavi, Zeinab Ghesmati, Behzad Baradaran, Mehdi Sabzichi, Fatemeh Ramezani","doi":"10.34172/bi.30424","DOIUrl":null,"url":null,"abstract":"<p><p></p><p><strong>Introduction: </strong>The immunosuppressive context of the tumor microenvironment (TME) is a significant hurdle in breast cancer (BC) treatment. Combinational therapies targeting cancer core signaling pathways involved in the induction of TME immunosuppressive milieu have emerged as a potent strategy to overcome immunosuppression in TME and enhance patient therapeutic outcomes. This study presents compelling evidence that targeting hypoxia-inducible-factor-1 alpha (Hif-1α) alongside chemotherapy and immune-inducing factors leads to substantial anticancer effects through modulation of TME.</p><p><strong>Methods: </strong>Chitosan (Cs)/Hif-1alpha siRNA nano-complex was synthesized by siRNA adsorption methods. Nanoparticles were fully characterized using dynamic light scattering and scanning electron microscope. Cs/Hif-1α siRNA cytotoxicity was measured by MTT assay. The anticancer effects of the combinational therapy were assessed in BALB/c bearing 4T1 tumors. qPCR and western blotting were applied to assess the expression of some key genes and proteins involved in the induction of immunosuppression in TME.</p><p><strong>Results: </strong>Hif-1α siRNA was successfully loaded in chitosan nanoparticles. Hif-1α siRNA nanocomplexes significantly inhibited the expression of <i>Hif-1α</i>. Triple combination therapy (Paclitaxel (Ptx) + Imiquimod (Imq) + Cs/Hif-1α siRNA) inhibited tumor growth and downregulated cancer progression genes while upregulating cellular-immune-related cytokines. Mice without Cs/Hif-1α siRNA treatments revealed fewer cancer inhibitory effects and more TME immunosuppressive factors. These results suggest that the inhibition of <i>Hif-1α</i> effects synergize with Ptx and Imq to inhibit cancer progression more significantly than other combinational treatments.</p><p><strong>Conclusion: </strong>Combining Hif-1α siRNA with Ptx and Imq is promising as a multimodality treatment. It has the potential to attenuate TME inhibitory effects and significantly enhance the immune system's ability to combat tumor cell growth, offering an inspiration of hope in the fight against BC.</p>","PeriodicalId":48614,"journal":{"name":"Bioimpacts","volume":"15 ","pages":"30424"},"PeriodicalIF":2.2000,"publicationDate":"2024-09-10","publicationTypes":"Journal Article","fieldsOfStudy":null,"isOpenAccess":false,"openAccessPdf":"https://www.ncbi.nlm.nih.gov/pmc/articles/PMC12008255/pdf/","citationCount":"0","resultStr":"{\"title\":\"Targeting hypoxia-inducible factor 1 alpha augments synergistic effects of chemo/immunotherapy via modulating tumor microenvironment in a breast cancer mouse model.\",\"authors\":\"Mohsen Rashid, Mina Ramezani, Ommoleila Molavi, Zeinab Ghesmati, Behzad Baradaran, Mehdi Sabzichi, Fatemeh Ramezani\",\"doi\":\"10.34172/bi.30424\",\"DOIUrl\":null,\"url\":null,\"abstract\":\"<p><p></p><p><strong>Introduction: </strong>The immunosuppressive context of the tumor microenvironment (TME) is a significant hurdle in breast cancer (BC) treatment. Combinational therapies targeting cancer core signaling pathways involved in the induction of TME immunosuppressive milieu have emerged as a potent strategy to overcome immunosuppression in TME and enhance patient therapeutic outcomes. This study presents compelling evidence that targeting hypoxia-inducible-factor-1 alpha (Hif-1α) alongside chemotherapy and immune-inducing factors leads to substantial anticancer effects through modulation of TME.</p><p><strong>Methods: </strong>Chitosan (Cs)/Hif-1alpha siRNA nano-complex was synthesized by siRNA adsorption methods. Nanoparticles were fully characterized using dynamic light scattering and scanning electron microscope. Cs/Hif-1α siRNA cytotoxicity was measured by MTT assay. The anticancer effects of the combinational therapy were assessed in BALB/c bearing 4T1 tumors. qPCR and western blotting were applied to assess the expression of some key genes and proteins involved in the induction of immunosuppression in TME.</p><p><strong>Results: </strong>Hif-1α siRNA was successfully loaded in chitosan nanoparticles. Hif-1α siRNA nanocomplexes significantly inhibited the expression of <i>Hif-1α</i>. Triple combination therapy (Paclitaxel (Ptx) + Imiquimod (Imq) + Cs/Hif-1α siRNA) inhibited tumor growth and downregulated cancer progression genes while upregulating cellular-immune-related cytokines. Mice without Cs/Hif-1α siRNA treatments revealed fewer cancer inhibitory effects and more TME immunosuppressive factors. These results suggest that the inhibition of <i>Hif-1α</i> effects synergize with Ptx and Imq to inhibit cancer progression more significantly than other combinational treatments.</p><p><strong>Conclusion: </strong>Combining Hif-1α siRNA with Ptx and Imq is promising as a multimodality treatment. It has the potential to attenuate TME inhibitory effects and significantly enhance the immune system's ability to combat tumor cell growth, offering an inspiration of hope in the fight against BC.</p>\",\"PeriodicalId\":48614,\"journal\":{\"name\":\"Bioimpacts\",\"volume\":\"15 \",\"pages\":\"30424\"},\"PeriodicalIF\":2.2000,\"publicationDate\":\"2024-09-10\",\"publicationTypes\":\"Journal Article\",\"fieldsOfStudy\":null,\"isOpenAccess\":false,\"openAccessPdf\":\"https://www.ncbi.nlm.nih.gov/pmc/articles/PMC12008255/pdf/\",\"citationCount\":\"0\",\"resultStr\":null,\"platform\":\"Semanticscholar\",\"paperid\":null,\"PeriodicalName\":\"Bioimpacts\",\"FirstCategoryId\":\"5\",\"ListUrlMain\":\"https://doi.org/10.34172/bi.30424\",\"RegionNum\":4,\"RegionCategory\":\"工程技术\",\"ArticlePicture\":[],\"TitleCN\":null,\"AbstractTextCN\":null,\"PMCID\":null,\"EPubDate\":\"2025/1/1 0:00:00\",\"PubModel\":\"eCollection\",\"JCR\":\"Q3\",\"JCRName\":\"PHARMACOLOGY & PHARMACY\",\"Score\":null,\"Total\":0}","platform":"Semanticscholar","paperid":null,"PeriodicalName":"Bioimpacts","FirstCategoryId":"5","ListUrlMain":"https://doi.org/10.34172/bi.30424","RegionNum":4,"RegionCategory":"工程技术","ArticlePicture":[],"TitleCN":null,"AbstractTextCN":null,"PMCID":null,"EPubDate":"2025/1/1 0:00:00","PubModel":"eCollection","JCR":"Q3","JCRName":"PHARMACOLOGY & PHARMACY","Score":null,"Total":0}
引用次数: 0

摘要

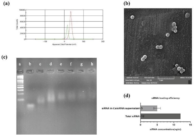
肿瘤微环境(TME)的免疫抑制背景是乳腺癌(BC)治疗的一个重要障碍。针对参与诱导TME免疫抑制环境的癌症核心信号通路的联合治疗已成为克服TME免疫抑制和提高患者治疗效果的有效策略。这项研究提供了令人信服的证据,表明靶向缺氧诱导因子-1α (Hif-1α)与化疗和免疫诱导因子一起通过调节TME产生实质性的抗癌作用。方法:采用siRNA吸附法合成壳聚糖(Cs)/ hif -1 α siRNA纳米复合物。利用动态光散射和扫描电镜对纳米颗粒进行了表征。MTT法检测Cs/Hif-1α siRNA细胞毒性。在携带BALB/c的4T1肿瘤中评估联合治疗的抗癌效果。应用qPCR和western blotting检测TME中诱导免疫抑制的关键基因和蛋白的表达情况。结果:壳聚糖纳米颗粒成功负载了Hif-1α siRNA。Hif-1α siRNA纳米复合物显著抑制Hif-1α的表达。三联疗法(紫杉醇(Ptx) +咪喹莫特(Imq) + Cs/Hif-1α siRNA)抑制肿瘤生长,下调癌症进展基因,同时上调细胞免疫相关细胞因子。未经Cs/Hif-1α siRNA处理的小鼠显示出更少的肿瘤抑制作用和更多的TME免疫抑制因子。这些结果表明,抑制Hif-1α效应与Ptx和Imq协同作用比其他联合治疗更显著地抑制癌症进展。结论:Hif-1α siRNA联合Ptx和Imq是一种很有前途的多模式治疗方法。它有可能减弱TME的抑制作用,并显著增强免疫系统对抗肿瘤细胞生长的能力,为对抗BC提供了希望的灵感。
本文章由计算机程序翻译,如有差异,请以英文原文为准。

Targeting hypoxia-inducible factor 1 alpha augments synergistic effects of chemo/immunotherapy via modulating tumor microenvironment in a breast cancer mouse model.

Targeting hypoxia-inducible factor 1 alpha augments synergistic effects of chemo/immunotherapy via modulating tumor microenvironment in a breast cancer mouse model.

Targeting hypoxia-inducible factor 1 alpha augments synergistic effects of chemo/immunotherapy via modulating tumor microenvironment in a breast cancer mouse model.

Targeting hypoxia-inducible factor 1 alpha augments synergistic effects of chemo/immunotherapy via modulating tumor microenvironment in a breast cancer mouse model.

Introduction: The immunosuppressive context of the tumor microenvironment (TME) is a significant hurdle in breast cancer (BC) treatment. Combinational therapies targeting cancer core signaling pathways involved in the induction of TME immunosuppressive milieu have emerged as a potent strategy to overcome immunosuppression in TME and enhance patient therapeutic outcomes. This study presents compelling evidence that targeting hypoxia-inducible-factor-1 alpha (Hif-1α) alongside chemotherapy and immune-inducing factors leads to substantial anticancer effects through modulation of TME.

Methods: Chitosan (Cs)/Hif-1alpha siRNA nano-complex was synthesized by siRNA adsorption methods. Nanoparticles were fully characterized using dynamic light scattering and scanning electron microscope. Cs/Hif-1α siRNA cytotoxicity was measured by MTT assay. The anticancer effects of the combinational therapy were assessed in BALB/c bearing 4T1 tumors. qPCR and western blotting were applied to assess the expression of some key genes and proteins involved in the induction of immunosuppression in TME.

Results: Hif-1α siRNA was successfully loaded in chitosan nanoparticles. Hif-1α siRNA nanocomplexes significantly inhibited the expression of Hif-1α. Triple combination therapy (Paclitaxel (Ptx) + Imiquimod (Imq) + Cs/Hif-1α siRNA) inhibited tumor growth and downregulated cancer progression genes while upregulating cellular-immune-related cytokines. Mice without Cs/Hif-1α siRNA treatments revealed fewer cancer inhibitory effects and more TME immunosuppressive factors. These results suggest that the inhibition of Hif-1α effects synergize with Ptx and Imq to inhibit cancer progression more significantly than other combinational treatments.

Conclusion: Combining Hif-1α siRNA with Ptx and Imq is promising as a multimodality treatment. It has the potential to attenuate TME inhibitory effects and significantly enhance the immune system's ability to combat tumor cell growth, offering an inspiration of hope in the fight against BC.

求助全文
通过发布文献求助,成功后即可免费获取论文全文。 去求助
来源期刊
Bioimpacts
Bioimpacts Pharmacology, Toxicology and Pharmaceutics-Pharmaceutical Science
CiteScore
4.80
自引率
7.70%
发文量
36
审稿时长
5 weeks
期刊介绍: BioImpacts (BI) is a peer-reviewed multidisciplinary international journal, covering original research articles, reviews, commentaries, hypotheses, methodologies, and visions/reflections dealing with all aspects of biological and biomedical researches at molecular, cellular, functional and translational dimensions.
×
引用
GB/T 7714-2015
复制
MLA
复制
APA
复制
导出至
BibTeX EndNote RefMan NoteFirst NoteExpress
×
提示
您的信息不完整,为了账户安全,请先补充。
现在去补充
×
提示
您因"违规操作"
具体请查看互助需知
我知道了
×
提示
确定
请完成安全验证×
copy
已复制链接
快去分享给好友吧!
我知道了
右上角分享
点击右上角分享
0
联系我们:info@booksci.cn Book学术提供免费学术资源搜索服务,方便国内外学者检索中英文文献。致力于提供最便捷和优质的服务体验。 Copyright © 2023 布克学术 All rights reserved.
京ICP备2023020795号-1
ghs 京公网安备 11010802042870号
Book学术文献互助
Book学术文献互助群
群 号:604180095
Book学术官方微信