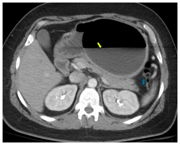
胃内球囊致急性胰腺炎罕见病例。

IF 0.6 Q3 MEDICINE, GENERAL & INTERNAL
Islam Rajab, Nagihan Orhun, Mina F Alkomos, Yana Cavanagh, Walid Baddoura
{"title":"胃内球囊致急性胰腺炎罕见病例。","authors":"Islam Rajab, Nagihan Orhun, Mina F Alkomos, Yana Cavanagh, Walid Baddoura","doi":"10.55729/2000-9666.1464","DOIUrl":null,"url":null,"abstract":"<p><p>Intragastric balloon (IGB) placement, a minimally invasive intervention for obesity, can lead to a range of complications from mild gastrointestinal symptoms such as nausea, vomiting, abdominal pain, and gastroesophageal reflux (GERD) to more severe and life-threatening conditions, including perforation, balloon migration, and pancreatitis. IGB-related pancreatitis is a rare complication, but it is being reported in the literature. This case report presents a rare cause of pancreatitis induced by IGB, with complete resolution achieved following balloon removal.</p>","PeriodicalId":15460,"journal":{"name":"Journal of Community Hospital Internal Medicine Perspectives","volume":"15 2","pages":"61-65"},"PeriodicalIF":0.6000,"publicationDate":"2025-03-07","publicationTypes":"Journal Article","fieldsOfStudy":null,"isOpenAccess":false,"openAccessPdf":"https://www.ncbi.nlm.nih.gov/pmc/articles/PMC12039328/pdf/","citationCount":"0","resultStr":"{\"title\":\"Rare Case of Intragastric Balloon Induced Acute Pancreatitis.\",\"authors\":\"Islam Rajab, Nagihan Orhun, Mina F Alkomos, Yana Cavanagh, Walid Baddoura\",\"doi\":\"10.55729/2000-9666.1464\",\"DOIUrl\":null,\"url\":null,\"abstract\":\"<p><p>Intragastric balloon (IGB) placement, a minimally invasive intervention for obesity, can lead to a range of complications from mild gastrointestinal symptoms such as nausea, vomiting, abdominal pain, and gastroesophageal reflux (GERD) to more severe and life-threatening conditions, including perforation, balloon migration, and pancreatitis. IGB-related pancreatitis is a rare complication, but it is being reported in the literature. This case report presents a rare cause of pancreatitis induced by IGB, with complete resolution achieved following balloon removal.</p>\",\"PeriodicalId\":15460,\"journal\":{\"name\":\"Journal of Community Hospital Internal Medicine Perspectives\",\"volume\":\"15 2\",\"pages\":\"61-65\"},\"PeriodicalIF\":0.6000,\"publicationDate\":\"2025-03-07\",\"publicationTypes\":\"Journal Article\",\"fieldsOfStudy\":null,\"isOpenAccess\":false,\"openAccessPdf\":\"https://www.ncbi.nlm.nih.gov/pmc/articles/PMC12039328/pdf/\",\"citationCount\":\"0\",\"resultStr\":null,\"platform\":\"Semanticscholar\",\"paperid\":null,\"PeriodicalName\":\"Journal of Community Hospital Internal Medicine Perspectives\",\"FirstCategoryId\":\"1085\",\"ListUrlMain\":\"https://doi.org/10.55729/2000-9666.1464\",\"RegionNum\":0,\"RegionCategory\":null,\"ArticlePicture\":[],\"TitleCN\":null,\"AbstractTextCN\":null,\"PMCID\":null,\"EPubDate\":\"2025/1/1 0:00:00\",\"PubModel\":\"eCollection\",\"JCR\":\"Q3\",\"JCRName\":\"MEDICINE, GENERAL & INTERNAL\",\"Score\":null,\"Total\":0}","platform":"Semanticscholar","paperid":null,"PeriodicalName":"Journal of Community Hospital Internal Medicine Perspectives","FirstCategoryId":"1085","ListUrlMain":"https://doi.org/10.55729/2000-9666.1464","RegionNum":0,"RegionCategory":null,"ArticlePicture":[],"TitleCN":null,"AbstractTextCN":null,"PMCID":null,"EPubDate":"2025/1/1 0:00:00","PubModel":"eCollection","JCR":"Q3","JCRName":"MEDICINE, GENERAL & INTERNAL","Score":null,"Total":0}
引用次数: 0

摘要

胃内球囊置入术(IGB)是一种治疗肥胖的微创干预手段,可导致一系列并发症,从轻微的胃肠道症状,如恶心、呕吐、腹痛和胃食管反流(GERD),到更严重和危及生命的疾病,包括穿孔、球囊迁移和胰腺炎。igb相关性胰腺炎是一种罕见的并发症,但在文献中有报道。本病例报告是一例罕见的由IGB引起的胰腺炎,并在球囊切除后得到完全解决。
本文章由计算机程序翻译,如有差异,请以英文原文为准。

Rare Case of Intragastric Balloon Induced Acute Pancreatitis.

Rare Case of Intragastric Balloon Induced Acute Pancreatitis.

Rare Case of Intragastric Balloon Induced Acute Pancreatitis.

Rare Case of Intragastric Balloon Induced Acute Pancreatitis.

Intragastric balloon (IGB) placement, a minimally invasive intervention for obesity, can lead to a range of complications from mild gastrointestinal symptoms such as nausea, vomiting, abdominal pain, and gastroesophageal reflux (GERD) to more severe and life-threatening conditions, including perforation, balloon migration, and pancreatitis. IGB-related pancreatitis is a rare complication, but it is being reported in the literature. This case report presents a rare cause of pancreatitis induced by IGB, with complete resolution achieved following balloon removal.

求助全文
通过发布文献求助,成功后即可免费获取论文全文。 去求助
来源期刊
自引率
0.00%
发文量
106
审稿时长
17 weeks
期刊介绍: JCHIMP provides: up-to-date information in the field of Internal Medicine to community hospital medical professionals a platform for clinical faculty, residents, and medical students to publish research relevant to community hospital programs. Manuscripts that explore aspects of medicine at community hospitals welcome, including but not limited to: the best practices of community academic programs community hospital-based research opinion and insight from community hospital leadership and faculty the scholarly work of residents and medical students affiliated with community hospitals.
×
引用
GB/T 7714-2015
复制
MLA
复制
APA
复制
导出至
BibTeX EndNote RefMan NoteFirst NoteExpress
×
提示
您的信息不完整,为了账户安全,请先补充。
现在去补充
×
提示
您因"违规操作"
具体请查看互助需知
我知道了
×
提示
确定
请完成安全验证×
copy
已复制链接
快去分享给好友吧!
我知道了
右上角分享
点击右上角分享
0
联系我们:info@booksci.cn Book学术提供免费学术资源搜索服务,方便国内外学者检索中英文文献。致力于提供最便捷和优质的服务体验。 Copyright © 2023 布克学术 All rights reserved.
京ICP备2023020795号-1
ghs 京公网安备 11010802042870号
Book学术文献互助
Book学术文献互助群
群 号:604180095
Book学术官方微信