儿童急性播散性脑脊髓炎血清阴性的性别和年龄差异:来自三级中心的结果和见解。

IF 0.9 Q4 CLINICAL NEUROLOGY
Iranian Journal of Child Neurology Pub Date : 2025-01-01 Epub Date: 2025-03-11 DOI:10.22037/ijcn.v19i2.46613
Reza Nejad Shahrokh Abadi, Farrokh Seilanian Toosi, Javad Akhoondian, Mehran Beiraghi Toosi, Farah Ashrafzadeh, Mohammadali Nahayati, Shima Shekari, Samaneh Kamali, Shima Imannezhad, Ahmad Sohrab Niazi, Narges Hashemi
{"title":"儿童急性播散性脑脊髓炎血清阴性的性别和年龄差异:来自三级中心的结果和见解。","authors":"Reza Nejad Shahrokh Abadi, Farrokh Seilanian Toosi, Javad Akhoondian, Mehran Beiraghi Toosi, Farah Ashrafzadeh, Mohammadali Nahayati, Shima Shekari, Samaneh Kamali, Shima Imannezhad, Ahmad Sohrab Niazi, Narges Hashemi","doi":"10.22037/ijcn.v19i2.46613","DOIUrl":null,"url":null,"abstract":"<p><strong>Objectives: </strong>Acute disseminated encephalomyelitis (ADEM) is a rapid-onset inflammatory central nervous system (CNS) disorder in children, causing demyelination, encephalopathy, and neurological deficits, often following infections.</p><p><strong>Materials & methods: </strong>This 10-year retrospective study evaluated pediatric patients with seronegative acute disseminated encephalomyelitis (ADEM), focusing on clinical, laboratory, and imaging profiles. The various profiles were assessed to determine age- and/or sex-based differences.</p><p><strong>Results: </strong>The study reviewed 36 patients, with an average age of 6.08 years and predominantly male (61.1%). Clinical presentations included fever, nausea, vomiting, and seizures, with left facial hemiparesis being more common in girls (P-value = 0.023), while abnormal deep tendon reflexes (DTRs) and right-sided pathologies were more common in older patients (P-value < 0.05). Recent laboratory results have revealed differences between peripheral lymphocytes and polymorphonuclear (PMN) cells. Imaging revealed predominantly bilateral lesions, with older patients more likely to show lesions in the right parietal and occipital lobes (P-value = 0.01 and 0.04). Bilateral parietal lobe lesions were significantly correlated with several laboratory findings across the different subgroups. Multivariate logistic regression revealed that these findings were statistically significant in regards to peripheral PMN and lymphocytes in the age category and cerebrospinal fluid (CSF) protein in the gender category (P-value < 0.05). Additionally, girls, particularly those who were older, had significantly higher involvement of the cervical spine (P-value = 0.04 and 0.02).</p><p><strong>Conclusion: </strong>This study reveals age and sex-related differences in the clinical presentation and imaging findings of seronegative pediatric ADEM, showcasing the various demographic factors in patient profiles.</p>","PeriodicalId":14537,"journal":{"name":"Iranian Journal of Child Neurology","volume":"19 2","pages":"77-91"},"PeriodicalIF":0.9000,"publicationDate":"2025-01-01","publicationTypes":"Journal Article","fieldsOfStudy":null,"isOpenAccess":false,"openAccessPdf":"https://www.ncbi.nlm.nih.gov/pmc/articles/PMC11994128/pdf/","citationCount":"0","resultStr":"{\"title\":\"Gender and Age Differences in Seronegative Pediatric Acute Disseminated Encephalomyelitis Profiles: Results and Insights from a Tertiary Center.\",\"authors\":\"Reza Nejad Shahrokh Abadi, Farrokh Seilanian Toosi, Javad Akhoondian, Mehran Beiraghi Toosi, Farah Ashrafzadeh, Mohammadali Nahayati, Shima Shekari, Samaneh Kamali, Shima Imannezhad, Ahmad Sohrab Niazi, Narges Hashemi\",\"doi\":\"10.22037/ijcn.v19i2.46613\",\"DOIUrl\":null,\"url\":null,\"abstract\":\"<p><strong>Objectives: </strong>Acute disseminated encephalomyelitis (ADEM) is a rapid-onset inflammatory central nervous system (CNS) disorder in children, causing demyelination, encephalopathy, and neurological deficits, often following infections.</p><p><strong>Materials & methods: </strong>This 10-year retrospective study evaluated pediatric patients with seronegative acute disseminated encephalomyelitis (ADEM), focusing on clinical, laboratory, and imaging profiles. The various profiles were assessed to determine age- and/or sex-based differences.</p><p><strong>Results: </strong>The study reviewed 36 patients, with an average age of 6.08 years and predominantly male (61.1%). Clinical presentations included fever, nausea, vomiting, and seizures, with left facial hemiparesis being more common in girls (P-value = 0.023), while abnormal deep tendon reflexes (DTRs) and right-sided pathologies were more common in older patients (P-value < 0.05). Recent laboratory results have revealed differences between peripheral lymphocytes and polymorphonuclear (PMN) cells. Imaging revealed predominantly bilateral lesions, with older patients more likely to show lesions in the right parietal and occipital lobes (P-value = 0.01 and 0.04). Bilateral parietal lobe lesions were significantly correlated with several laboratory findings across the different subgroups. Multivariate logistic regression revealed that these findings were statistically significant in regards to peripheral PMN and lymphocytes in the age category and cerebrospinal fluid (CSF) protein in the gender category (P-value < 0.05). Additionally, girls, particularly those who were older, had significantly higher involvement of the cervical spine (P-value = 0.04 and 0.02).</p><p><strong>Conclusion: </strong>This study reveals age and sex-related differences in the clinical presentation and imaging findings of seronegative pediatric ADEM, showcasing the various demographic factors in patient profiles.</p>\",\"PeriodicalId\":14537,\"journal\":{\"name\":\"Iranian Journal of Child Neurology\",\"volume\":\"19 2\",\"pages\":\"77-91\"},\"PeriodicalIF\":0.9000,\"publicationDate\":\"2025-01-01\",\"publicationTypes\":\"Journal Article\",\"fieldsOfStudy\":null,\"isOpenAccess\":false,\"openAccessPdf\":\"https://www.ncbi.nlm.nih.gov/pmc/articles/PMC11994128/pdf/\",\"citationCount\":\"0\",\"resultStr\":null,\"platform\":\"Semanticscholar\",\"paperid\":null,\"PeriodicalName\":\"Iranian Journal of Child Neurology\",\"FirstCategoryId\":\"1085\",\"ListUrlMain\":\"https://doi.org/10.22037/ijcn.v19i2.46613\",\"RegionNum\":0,\"RegionCategory\":null,\"ArticlePicture\":[],\"TitleCN\":null,\"AbstractTextCN\":null,\"PMCID\":null,\"EPubDate\":\"2025/3/11 0:00:00\",\"PubModel\":\"Epub\",\"JCR\":\"Q4\",\"JCRName\":\"CLINICAL NEUROLOGY\",\"Score\":null,\"Total\":0}","platform":"Semanticscholar","paperid":null,"PeriodicalName":"Iranian Journal of Child Neurology","FirstCategoryId":"1085","ListUrlMain":"https://doi.org/10.22037/ijcn.v19i2.46613","RegionNum":0,"RegionCategory":null,"ArticlePicture":[],"TitleCN":null,"AbstractTextCN":null,"PMCID":null,"EPubDate":"2025/3/11 0:00:00","PubModel":"Epub","JCR":"Q4","JCRName":"CLINICAL NEUROLOGY","Score":null,"Total":0}
引用次数: 0

摘要

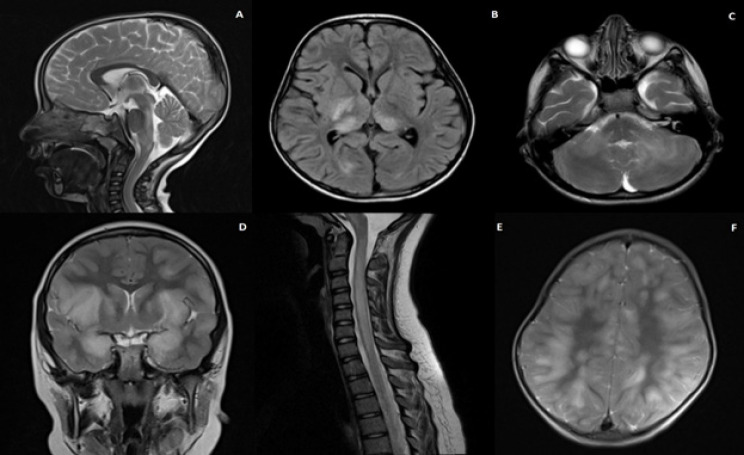
目的:急性播散性脑脊髓炎(ADEM)是儿童中一种快速发作的炎症性中枢神经系统(CNS)疾病,通常在感染后引起脱髓鞘、脑病和神经功能障碍。材料与方法:这项为期10年的回顾性研究评估了血清阴性急性弥散性脑脊髓炎(ADEM)的儿科患者,重点关注临床、实验室和影像学资料。评估各种概况以确定年龄和/或性别差异。结果:本组共36例患者,平均年龄6.08岁,男性占61.1%。临床表现为发热、恶心、呕吐、癫痫发作,女孩以左侧面瘫多见(p值= 0.023),老年患者以深肌腱反射异常(DTRs)和右侧病变多见(p值< 0.05)。最近的实验室结果揭示了外周血淋巴细胞和多形核(PMN)细胞之间的差异。影像学主要表现为双侧病变,老年患者更容易表现为右侧顶叶和枕叶病变(p值分别为0.01和0.04)。双侧顶叶病变与不同亚组的几个实验室结果显著相关。多因素logistic回归分析显示,外周血PMN和淋巴细胞在年龄组和脑脊液(CSF)蛋白在性别组的差异有统计学意义(p值< 0.05)。此外,女孩,尤其是年龄较大的女孩,颈椎受累率明显更高(p值= 0.04和0.02)。结论:本研究揭示了血清阴性儿童ADEM的临床表现和影像学表现的年龄和性别相关差异,显示了患者资料中的各种人口统计学因素。
本文章由计算机程序翻译,如有差异,请以英文原文为准。

Gender and Age Differences in Seronegative Pediatric Acute Disseminated Encephalomyelitis Profiles: Results and Insights from a Tertiary Center.

Gender and Age Differences in Seronegative Pediatric Acute Disseminated Encephalomyelitis Profiles: Results and Insights from a Tertiary Center.

Gender and Age Differences in Seronegative Pediatric Acute Disseminated Encephalomyelitis Profiles: Results and Insights from a Tertiary Center.

Objectives: Acute disseminated encephalomyelitis (ADEM) is a rapid-onset inflammatory central nervous system (CNS) disorder in children, causing demyelination, encephalopathy, and neurological deficits, often following infections.

Materials & methods: This 10-year retrospective study evaluated pediatric patients with seronegative acute disseminated encephalomyelitis (ADEM), focusing on clinical, laboratory, and imaging profiles. The various profiles were assessed to determine age- and/or sex-based differences.

Results: The study reviewed 36 patients, with an average age of 6.08 years and predominantly male (61.1%). Clinical presentations included fever, nausea, vomiting, and seizures, with left facial hemiparesis being more common in girls (P-value = 0.023), while abnormal deep tendon reflexes (DTRs) and right-sided pathologies were more common in older patients (P-value < 0.05). Recent laboratory results have revealed differences between peripheral lymphocytes and polymorphonuclear (PMN) cells. Imaging revealed predominantly bilateral lesions, with older patients more likely to show lesions in the right parietal and occipital lobes (P-value = 0.01 and 0.04). Bilateral parietal lobe lesions were significantly correlated with several laboratory findings across the different subgroups. Multivariate logistic regression revealed that these findings were statistically significant in regards to peripheral PMN and lymphocytes in the age category and cerebrospinal fluid (CSF) protein in the gender category (P-value < 0.05). Additionally, girls, particularly those who were older, had significantly higher involvement of the cervical spine (P-value = 0.04 and 0.02).

Conclusion: This study reveals age and sex-related differences in the clinical presentation and imaging findings of seronegative pediatric ADEM, showcasing the various demographic factors in patient profiles.

求助全文
通过发布文献求助,成功后即可免费获取论文全文。 去求助
来源期刊
CiteScore
1.40
自引率
0.00%
发文量
35
×
引用
GB/T 7714-2015
复制
MLA
复制
APA
复制
导出至
BibTeX EndNote RefMan NoteFirst NoteExpress
×
提示
您的信息不完整,为了账户安全,请先补充。
现在去补充
×
提示
您因"违规操作"
具体请查看互助需知
我知道了
×
提示
确定
请完成安全验证×
copy
已复制链接
快去分享给好友吧!
我知道了
右上角分享
点击右上角分享
0
联系我们:info@booksci.cn Book学术提供免费学术资源搜索服务,方便国内外学者检索中英文文献。致力于提供最便捷和优质的服务体验。 Copyright © 2023 布克学术 All rights reserved.
京ICP备2023020795号-1
ghs 京公网安备 11010802042870号
Book学术文献互助
Book学术文献互助群
群 号:604180095
Book学术官方微信