除了短钢板到椎间盘的距离外,“邻接水平骨化发展”的危险因素及其对邻接节段病理的临床意义。

IF 3.6 2区 医学 Q1 CLINICAL NEUROLOGY
Neurospine Pub Date : 2025-03-01 Epub Date: 2025-03-31 DOI:10.14245/ns.2448832.416
Sang Hun Lee, Micheal Raad, David B Cohen, Khaled M Kebaish, Lee H Riley Iii
{"title":"除了短钢板到椎间盘的距离外,“邻接水平骨化发展”的危险因素及其对邻接节段病理的临床意义。","authors":"Sang Hun Lee, Micheal Raad, David B Cohen, Khaled M Kebaish, Lee H Riley Iii","doi":"10.14245/ns.2448832.416","DOIUrl":null,"url":null,"abstract":"<p><strong>Purpose: </strong>To identify factors associated with adjacent-level ossification development (ALOD) after anterior cervical discectomy and fusion (ACDF) and associated clinical outcomes.</p><p><strong>Methods: </strong>We retrospectively reviewed records of 140 adults who underwent primary ACDF for degenerative disc disease. We compared patients with and without ALOD after ACDF. Radiographic measurements and factors associated with ALOD were assessed preoperatively and at minimum 24-month follow-up. Clinical outcomes were incidence of clinical adjacent-segment pathologies (CASP), revision surgery, and patient-reported outcomes.</p><p><strong>Results: </strong>Factors associated with both cranial and caudal ALOD were short plate-to-disc distance (PDD), adjacent-segment kyphosis, hyperlordotic ACDF causing junctional segment kyphosis, and preoperative ossification of the anterior longitudinal ligament (OALL). Mean final adjacent-segment range of motion (ROM) was less in those with cranial ALOD (6.9° ± 2.8°) than in those without cranial ALOD (12° ± 4.2°) (p < 0.01). Mean final adjacent-segment ROM was also less in those with caudal ALOD (5.5° ± 2.4º) than in those without caudal ALOD (8.2º ± 3.7º) (p < 0.01). The incidence of CASP-required surgery was higher in those with caudal ALOD (p = 0.02) but no different in those with cranial ALOD (p = 0.69) compared with those without ALOD.</p><p><strong>Conclusion: </strong>Factors associated with ALOD were a kyphotic segment adjacent to ACDF, hyperlordotic fusion, preoperative OALL, and short PDD. ALOD was associated with less segmental ROM and, for those with caudal but not cranial ALOD, higher incidence of revision surgery for CASP.</p>","PeriodicalId":19269,"journal":{"name":"Neurospine","volume":"22 1","pages":"194-201"},"PeriodicalIF":3.6000,"publicationDate":"2025-03-01","publicationTypes":"Journal Article","fieldsOfStudy":null,"isOpenAccess":false,"openAccessPdf":"https://www.ncbi.nlm.nih.gov/pmc/articles/PMC12010857/pdf/","citationCount":"0","resultStr":"{\"title\":\"Risk Factors for \\\"Adjacent-Level Ossification Development\\\" Other Than Short Plate-to-Disc Distance and Clinical Implications for Adjacent-Segment Pathology.\",\"authors\":\"Sang Hun Lee, Micheal Raad, David B Cohen, Khaled M Kebaish, Lee H Riley Iii\",\"doi\":\"10.14245/ns.2448832.416\",\"DOIUrl\":null,\"url\":null,\"abstract\":\"<p><strong>Purpose: </strong>To identify factors associated with adjacent-level ossification development (ALOD) after anterior cervical discectomy and fusion (ACDF) and associated clinical outcomes.</p><p><strong>Methods: </strong>We retrospectively reviewed records of 140 adults who underwent primary ACDF for degenerative disc disease. We compared patients with and without ALOD after ACDF. Radiographic measurements and factors associated with ALOD were assessed preoperatively and at minimum 24-month follow-up. Clinical outcomes were incidence of clinical adjacent-segment pathologies (CASP), revision surgery, and patient-reported outcomes.</p><p><strong>Results: </strong>Factors associated with both cranial and caudal ALOD were short plate-to-disc distance (PDD), adjacent-segment kyphosis, hyperlordotic ACDF causing junctional segment kyphosis, and preoperative ossification of the anterior longitudinal ligament (OALL). Mean final adjacent-segment range of motion (ROM) was less in those with cranial ALOD (6.9° ± 2.8°) than in those without cranial ALOD (12° ± 4.2°) (p < 0.01). Mean final adjacent-segment ROM was also less in those with caudal ALOD (5.5° ± 2.4º) than in those without caudal ALOD (8.2º ± 3.7º) (p < 0.01). The incidence of CASP-required surgery was higher in those with caudal ALOD (p = 0.02) but no different in those with cranial ALOD (p = 0.69) compared with those without ALOD.</p><p><strong>Conclusion: </strong>Factors associated with ALOD were a kyphotic segment adjacent to ACDF, hyperlordotic fusion, preoperative OALL, and short PDD. ALOD was associated with less segmental ROM and, for those with caudal but not cranial ALOD, higher incidence of revision surgery for CASP.</p>\",\"PeriodicalId\":19269,\"journal\":{\"name\":\"Neurospine\",\"volume\":\"22 1\",\"pages\":\"194-201\"},\"PeriodicalIF\":3.6000,\"publicationDate\":\"2025-03-01\",\"publicationTypes\":\"Journal Article\",\"fieldsOfStudy\":null,\"isOpenAccess\":false,\"openAccessPdf\":\"https://www.ncbi.nlm.nih.gov/pmc/articles/PMC12010857/pdf/\",\"citationCount\":\"0\",\"resultStr\":null,\"platform\":\"Semanticscholar\",\"paperid\":null,\"PeriodicalName\":\"Neurospine\",\"FirstCategoryId\":\"3\",\"ListUrlMain\":\"https://doi.org/10.14245/ns.2448832.416\",\"RegionNum\":2,\"RegionCategory\":\"医学\",\"ArticlePicture\":[],\"TitleCN\":null,\"AbstractTextCN\":null,\"PMCID\":null,\"EPubDate\":\"2025/3/31 0:00:00\",\"PubModel\":\"Epub\",\"JCR\":\"Q1\",\"JCRName\":\"CLINICAL NEUROLOGY\",\"Score\":null,\"Total\":0}","platform":"Semanticscholar","paperid":null,"PeriodicalName":"Neurospine","FirstCategoryId":"3","ListUrlMain":"https://doi.org/10.14245/ns.2448832.416","RegionNum":2,"RegionCategory":"医学","ArticlePicture":[],"TitleCN":null,"AbstractTextCN":null,"PMCID":null,"EPubDate":"2025/3/31 0:00:00","PubModel":"Epub","JCR":"Q1","JCRName":"CLINICAL NEUROLOGY","Score":null,"Total":0}
引用次数: 0

摘要

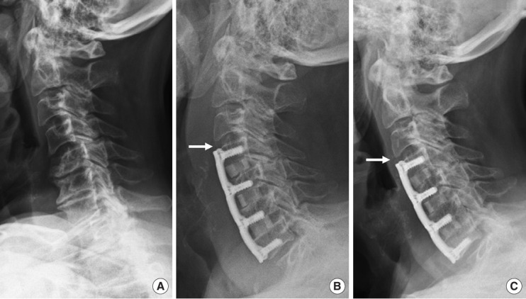
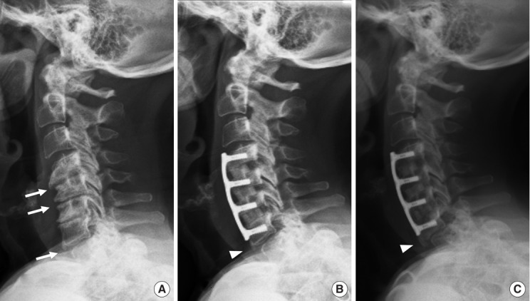
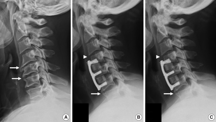
目的:探讨颈椎前路椎间盘切除术融合(ACDF)后邻接层骨化发展(ALOD)的相关因素及相关临床结果。方法:我们回顾性回顾了140例因退行性椎间盘疾病而行原发性ACDF的成年人的记录。我们比较ACDF后有和没有ALOD的患者。术前和至少24个月随访时评估影像学测量和与ALOD相关的因素。临床结果包括临床邻接节段病变(CASP)的发生率、翻修手术和患者报告的结果。结果:与颅侧和尾侧ALOD相关的因素是板到椎间盘距离短(PDD),相邻节段后凸,前凸性ACDF引起的连接节段后凸,以及术前前纵韧带骨化(OALL)。颅ALOD组的平均最终邻接节段运动范围(ROM)(6.9°±2.8°)小于无ALOD组(12°±4.2°)(p < 0.01)。尾侧ALOD组的平均最终邻接段ROM(5.5°±2.4º)也低于无尾侧ALOD组(8.2º±3.7º)(p < 0.01)。与无ALOD的患者相比,尾部ALOD患者的casp手术发生率更高(p = 0.02),而颅侧ALOD患者的casp手术发生率无差异(p = 0.69)。结论:与ALOD相关的因素是与ACDF相邻的后凸节段,前凸融合,术前OALL和短PDD。ALOD与较小的节段性ROM相关,对于尾侧而非颅侧ALOD的患者,CASP翻修手术的发生率较高。
本文章由计算机程序翻译,如有差异,请以英文原文为准。

Risk Factors for "Adjacent-Level Ossification Development" Other Than Short Plate-to-Disc Distance and Clinical Implications for Adjacent-Segment Pathology.

Risk Factors for "Adjacent-Level Ossification Development" Other Than Short Plate-to-Disc Distance and Clinical Implications for Adjacent-Segment Pathology.

Risk Factors for "Adjacent-Level Ossification Development" Other Than Short Plate-to-Disc Distance and Clinical Implications for Adjacent-Segment Pathology.

Risk Factors for "Adjacent-Level Ossification Development" Other Than Short Plate-to-Disc Distance and Clinical Implications for Adjacent-Segment Pathology.

Purpose: To identify factors associated with adjacent-level ossification development (ALOD) after anterior cervical discectomy and fusion (ACDF) and associated clinical outcomes.

Methods: We retrospectively reviewed records of 140 adults who underwent primary ACDF for degenerative disc disease. We compared patients with and without ALOD after ACDF. Radiographic measurements and factors associated with ALOD were assessed preoperatively and at minimum 24-month follow-up. Clinical outcomes were incidence of clinical adjacent-segment pathologies (CASP), revision surgery, and patient-reported outcomes.

Results: Factors associated with both cranial and caudal ALOD were short plate-to-disc distance (PDD), adjacent-segment kyphosis, hyperlordotic ACDF causing junctional segment kyphosis, and preoperative ossification of the anterior longitudinal ligament (OALL). Mean final adjacent-segment range of motion (ROM) was less in those with cranial ALOD (6.9° ± 2.8°) than in those without cranial ALOD (12° ± 4.2°) (p < 0.01). Mean final adjacent-segment ROM was also less in those with caudal ALOD (5.5° ± 2.4º) than in those without caudal ALOD (8.2º ± 3.7º) (p < 0.01). The incidence of CASP-required surgery was higher in those with caudal ALOD (p = 0.02) but no different in those with cranial ALOD (p = 0.69) compared with those without ALOD.

Conclusion: Factors associated with ALOD were a kyphotic segment adjacent to ACDF, hyperlordotic fusion, preoperative OALL, and short PDD. ALOD was associated with less segmental ROM and, for those with caudal but not cranial ALOD, higher incidence of revision surgery for CASP.

求助全文
通过发布文献求助,成功后即可免费获取论文全文。 去求助
来源期刊
Neurospine
Neurospine Multiple-
CiteScore
5.80
自引率
18.80%
发文量
93
审稿时长
10 weeks
×
引用
GB/T 7714-2015
复制
MLA
复制
APA
复制
导出至
BibTeX EndNote RefMan NoteFirst NoteExpress
×
提示
您的信息不完整,为了账户安全,请先补充。
现在去补充
×
提示
您因"违规操作"
具体请查看互助需知
我知道了
×
提示
确定
请完成安全验证×
copy
已复制链接
快去分享给好友吧!
我知道了
右上角分享
点击右上角分享
0
联系我们:info@booksci.cn Book学术提供免费学术资源搜索服务,方便国内外学者检索中英文文献。致力于提供最便捷和优质的服务体验。 Copyright © 2023 布克学术 All rights reserved.
京ICP备2023020795号-1
ghs 京公网安备 11010802042870号
Book学术文献互助
Book学术文献互助群
群 号:604180095
Book学术官方微信