CNNM4的一种新突变与埃及的一例贾利利综合征有关。

IF 2.9 4区 医学 Q2 OPHTHALMOLOGY
Documenta Ophthalmologica Pub Date : 2025-06-01 Epub Date: 2025-04-15 DOI:10.1007/s10633-025-10018-1
Caroline Atef Tawfik, Haneen Sabry Aly, Menna Kabeel, Iman Yousri, Sara Abdallah Mohamed
{"title":"CNNM4的一种新突变与埃及的一例贾利利综合征有关。","authors":"Caroline Atef Tawfik, Haneen Sabry Aly, Menna Kabeel, Iman Yousri, Sara Abdallah Mohamed","doi":"10.1007/s10633-025-10018-1","DOIUrl":null,"url":null,"abstract":"<p><strong>Purpose: </strong>To report a novel homozygous mutation in CNNM4 gene associated with Jalili syndrome (JS) which is a rare, recessively inherited oculo-dental syndrome which encompasses cone-rod dystrophy (CORD) and amelogenesis imperfecta (AI).</p><p><strong>Methods: </strong>A 4-year-old male patient of consanguineous Egyptian parents, who presented with progressive visual impairment and tooth decay underwent complete ophthalmological examination, dental, and systemic examination. Additionally, color fundus photography, fundus autofluorescence (FAF), spectral domain optical coherence tomography (SD-OCT) of the macula, full field electroretinogram (ffERG) were obtained. Orthopantomogram (OPG) were also obtained. NGS-based gene panel testing was done in a commercial laboratory from a peripheral blood sample.</p><p><strong>Results: </strong>Fundus examination demonstrated typical features of CORD in the form of loss of foveal reflexes with macular retinal pigment epithelial mottling and atrophy reminiscent of bull's eye maculopathy. Dental assessment revealed evidence of AI. NGS-based gene panel identified a novel mutation in CNMM4 gene c.1423 G>A consistent with a diagnosis JS, thereby confirming the rare diagnosis.</p><p><strong>Conclusion: </strong>To the best of our knowledge, this is the first report of Jalili syndrome in Egypt. We are reporting a novel mutation in CNMM4 gene. We are also expanding the clinical spectrum of dental manifestation by reporting early eruption of the first permanent molars and suggesting that hyperopia could be a rather constant feature of JS. This case emphasizes the importance of comprehensive multidisciplinary assessment beyond visual complaints in IRD patients in order to reach an accurate diagnosis.</p>","PeriodicalId":11207,"journal":{"name":"Documenta Ophthalmologica","volume":" ","pages":"189-196"},"PeriodicalIF":2.9000,"publicationDate":"2025-06-01","publicationTypes":"Journal Article","fieldsOfStudy":null,"isOpenAccess":false,"openAccessPdf":"https://www.ncbi.nlm.nih.gov/pmc/articles/PMC12137488/pdf/","citationCount":"0","resultStr":"{\"title\":\"A novel mutation in CNNM4 is associated with a case of Jalili syndrome in Egypt.\",\"authors\":\"Caroline Atef Tawfik, Haneen Sabry Aly, Menna Kabeel, Iman Yousri, Sara Abdallah Mohamed\",\"doi\":\"10.1007/s10633-025-10018-1\",\"DOIUrl\":null,\"url\":null,\"abstract\":\"<p><strong>Purpose: </strong>To report a novel homozygous mutation in CNNM4 gene associated with Jalili syndrome (JS) which is a rare, recessively inherited oculo-dental syndrome which encompasses cone-rod dystrophy (CORD) and amelogenesis imperfecta (AI).</p><p><strong>Methods: </strong>A 4-year-old male patient of consanguineous Egyptian parents, who presented with progressive visual impairment and tooth decay underwent complete ophthalmological examination, dental, and systemic examination. Additionally, color fundus photography, fundus autofluorescence (FAF), spectral domain optical coherence tomography (SD-OCT) of the macula, full field electroretinogram (ffERG) were obtained. Orthopantomogram (OPG) were also obtained. NGS-based gene panel testing was done in a commercial laboratory from a peripheral blood sample.</p><p><strong>Results: </strong>Fundus examination demonstrated typical features of CORD in the form of loss of foveal reflexes with macular retinal pigment epithelial mottling and atrophy reminiscent of bull's eye maculopathy. Dental assessment revealed evidence of AI. NGS-based gene panel identified a novel mutation in CNMM4 gene c.1423 G>A consistent with a diagnosis JS, thereby confirming the rare diagnosis.</p><p><strong>Conclusion: </strong>To the best of our knowledge, this is the first report of Jalili syndrome in Egypt. We are reporting a novel mutation in CNMM4 gene. We are also expanding the clinical spectrum of dental manifestation by reporting early eruption of the first permanent molars and suggesting that hyperopia could be a rather constant feature of JS. This case emphasizes the importance of comprehensive multidisciplinary assessment beyond visual complaints in IRD patients in order to reach an accurate diagnosis.</p>\",\"PeriodicalId\":11207,\"journal\":{\"name\":\"Documenta Ophthalmologica\",\"volume\":\" \",\"pages\":\"189-196\"},\"PeriodicalIF\":2.9000,\"publicationDate\":\"2025-06-01\",\"publicationTypes\":\"Journal Article\",\"fieldsOfStudy\":null,\"isOpenAccess\":false,\"openAccessPdf\":\"https://www.ncbi.nlm.nih.gov/pmc/articles/PMC12137488/pdf/\",\"citationCount\":\"0\",\"resultStr\":null,\"platform\":\"Semanticscholar\",\"paperid\":null,\"PeriodicalName\":\"Documenta Ophthalmologica\",\"FirstCategoryId\":\"3\",\"ListUrlMain\":\"https://doi.org/10.1007/s10633-025-10018-1\",\"RegionNum\":4,\"RegionCategory\":\"医学\",\"ArticlePicture\":[],\"TitleCN\":null,\"AbstractTextCN\":null,\"PMCID\":null,\"EPubDate\":\"2025/4/15 0:00:00\",\"PubModel\":\"Epub\",\"JCR\":\"Q2\",\"JCRName\":\"OPHTHALMOLOGY\",\"Score\":null,\"Total\":0}","platform":"Semanticscholar","paperid":null,"PeriodicalName":"Documenta Ophthalmologica","FirstCategoryId":"3","ListUrlMain":"https://doi.org/10.1007/s10633-025-10018-1","RegionNum":4,"RegionCategory":"医学","ArticlePicture":[],"TitleCN":null,"AbstractTextCN":null,"PMCID":null,"EPubDate":"2025/4/15 0:00:00","PubModel":"Epub","JCR":"Q2","JCRName":"OPHTHALMOLOGY","Score":null,"Total":0}
引用次数: 0

摘要

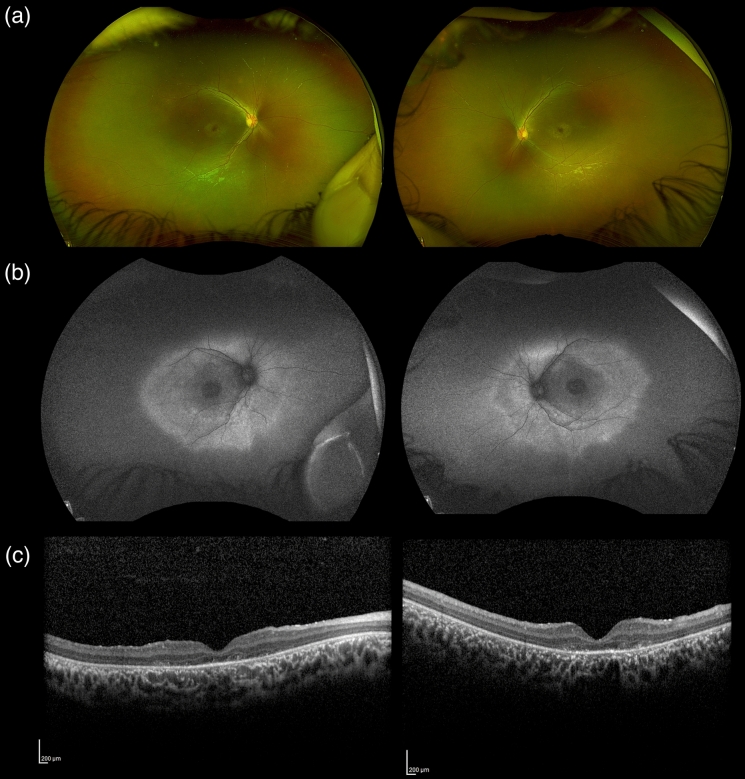
目的:报道与Jalili综合征(JS)相关的一种新的CNNM4基因纯合突变,Jalili综合征是一种罕见的隐性遗传眼牙综合征,包括锥杆营养不良(CORD)和淀粉样发育不全(AI)。方法:1例4岁男性埃及近亲患者,表现为进行性视力障碍和蛀牙,接受了全面的眼科检查、牙科检查和全身检查。眼底彩色摄影、眼底自体荧光(FAF)、黄斑光谱域光学相干层析成像(SD-OCT)、全视场视网膜电图(ffERG)。同时进行了正骨断层扫描(OPG)。在商业实验室对外周血样本进行了基于ngs的基因面板检测。结果:眼底检查显示典型的CORD特征,表现为中央凹反射丧失,黄斑视网膜色素上皮斑驳和萎缩,令人联想到牛眼黄斑病。牙科检查发现了人工智能的证据。基于ngs的基因面板鉴定出CNMM4基因c.1423的新突变G>A与诊断JS一致,从而证实了罕见的诊断。结论:据我们所知,这是埃及首次报道贾利利综合征。我们报道了CNMM4基因的一个新的突变。我们还通过报告第一恒磨牙的早期出牙,扩大了牙齿表现的临床范围,并表明远视可能是JS的一个相当恒定的特征。这个病例强调了综合多学科评估的重要性,除了视觉症状,在IRD患者为了达到准确的诊断。
本文章由计算机程序翻译,如有差异,请以英文原文为准。

A novel mutation in CNNM4 is associated with a case of Jalili syndrome in Egypt.

A novel mutation in CNNM4 is associated with a case of Jalili syndrome in Egypt.

A novel mutation in CNNM4 is associated with a case of Jalili syndrome in Egypt.

A novel mutation in CNNM4 is associated with a case of Jalili syndrome in Egypt.

Purpose: To report a novel homozygous mutation in CNNM4 gene associated with Jalili syndrome (JS) which is a rare, recessively inherited oculo-dental syndrome which encompasses cone-rod dystrophy (CORD) and amelogenesis imperfecta (AI).

Methods: A 4-year-old male patient of consanguineous Egyptian parents, who presented with progressive visual impairment and tooth decay underwent complete ophthalmological examination, dental, and systemic examination. Additionally, color fundus photography, fundus autofluorescence (FAF), spectral domain optical coherence tomography (SD-OCT) of the macula, full field electroretinogram (ffERG) were obtained. Orthopantomogram (OPG) were also obtained. NGS-based gene panel testing was done in a commercial laboratory from a peripheral blood sample.

Results: Fundus examination demonstrated typical features of CORD in the form of loss of foveal reflexes with macular retinal pigment epithelial mottling and atrophy reminiscent of bull's eye maculopathy. Dental assessment revealed evidence of AI. NGS-based gene panel identified a novel mutation in CNMM4 gene c.1423 G>A consistent with a diagnosis JS, thereby confirming the rare diagnosis.

Conclusion: To the best of our knowledge, this is the first report of Jalili syndrome in Egypt. We are reporting a novel mutation in CNMM4 gene. We are also expanding the clinical spectrum of dental manifestation by reporting early eruption of the first permanent molars and suggesting that hyperopia could be a rather constant feature of JS. This case emphasizes the importance of comprehensive multidisciplinary assessment beyond visual complaints in IRD patients in order to reach an accurate diagnosis.

求助全文
通过发布文献求助,成功后即可免费获取论文全文。 去求助
来源期刊
Documenta Ophthalmologica
Documenta Ophthalmologica 医学-眼科学
CiteScore
3.50
自引率
21.40%
发文量
46
审稿时长
>12 weeks
期刊介绍: Documenta Ophthalmologica is an official publication of the International Society for Clinical Electrophysiology of Vision. The purpose of the journal is to promote the understanding and application of clinical electrophysiology of vision. Documenta Ophthalmologica will publish reviews, research articles, technical notes, brief reports and case studies which inform the readers about basic and clinical sciences related to visual electrodiagnosis and means to improve diagnosis and clinical management of patients using visual electrophysiology. Studies may involve animals or humans. In either case appropriate care must be taken to follow the Declaration of Helsinki for human subject or appropriate humane standards of animal care (e.g., the ARVO standards on Animal Care and Use).
×
引用
GB/T 7714-2015
复制
MLA
复制
APA
复制
导出至
BibTeX EndNote RefMan NoteFirst NoteExpress
×
提示
您的信息不完整,为了账户安全,请先补充。
现在去补充
×
提示
您因"违规操作"
具体请查看互助需知
我知道了
×
提示
确定
请完成安全验证×
copy
已复制链接
快去分享给好友吧!
我知道了
右上角分享
点击右上角分享
0
联系我们:info@booksci.cn Book学术提供免费学术资源搜索服务,方便国内外学者检索中英文文献。致力于提供最便捷和优质的服务体验。 Copyright © 2023 布克学术 All rights reserved.
京ICP备2023020795号-1
ghs 京公网安备 11010802042870号
Book学术文献互助
Book学术文献互助群
群 号:604180095
Book学术官方微信