经皮硬膜下穿刺治疗慢性硬膜下血肿(青木法)后复发及并发症相关因素分析:383例慢性硬膜下血肿的临床体会

IF 2.3 4区 医学 Q2 CLINICAL NEUROLOGY
Neurologia medico-chirurgica Pub Date : 2025-06-15 Epub Date: 2025-04-07 DOI:10.2176/jns-nmc.2024-0224
Hiroaki Hamada, Kenichiro Tajitsu, Hiroshi Tokimura, Shinichi Kuroki, Takaaki Hiwatari, Ryosuke Hanaya
{"title":"经皮硬膜下穿刺治疗慢性硬膜下血肿(青木法)后复发及并发症相关因素分析:383例慢性硬膜下血肿的临床体会","authors":"Hiroaki Hamada, Kenichiro Tajitsu, Hiroshi Tokimura, Shinichi Kuroki, Takaaki Hiwatari, Ryosuke Hanaya","doi":"10.2176/jns-nmc.2024-0224","DOIUrl":null,"url":null,"abstract":"<p><p>Chronic subdural hematoma is a common disease in the field of neurosurgery, and the number of cases is expected to continue increasing in an aging society. At our hospital, minimally invasive percutaneous subdural perforation (the Aoki method) is the first-line treatment. We investigated the recurrence rate associated with the Aoki method, factors related to recurrence, and the complication risks. Among the cases treated with the Aoki method between June 2007 and December 2020, 383 (431 lesions) for which image analysis and recurrence tracking were possible were included. On the basis of the preoperative patient background (sex, age, history of taking antiplatelet and anticoagulant drugs, preoperative neurological findings, imaging findings (preoperative hematoma volume and hematoma density), surgical details, and postoperative use of concomitant drugs), we retrospectively analyzed the recurrence rate, factors related to recurrence, and complication risk. The recurrence rate was 23.7%, which is within the same range as that of burr-hole hematoma irrigation. Multivariate analysis showed that age and a large preoperative hematoma volume were associated with recurrence. One of the 3 cases with postoperative epidural and 2 of the 3 cases with subdural hematomas required craniotomy. The incidence of complications requiring additional surgery was approximately 1%, which is comparable to that of burr-hole irrigation. The Aoki method is efficient because it is minimally invasive and has a therapeutic effect equivalent to that of burr-hole irrigation, which is the current standard of care.</p>","PeriodicalId":19225,"journal":{"name":"Neurologia medico-chirurgica","volume":" ","pages":"263-270"},"PeriodicalIF":2.3000,"publicationDate":"2025-06-15","publicationTypes":"Journal Article","fieldsOfStudy":null,"isOpenAccess":false,"openAccessPdf":"https://www.ncbi.nlm.nih.gov/pmc/articles/PMC12229747/pdf/","citationCount":"0","resultStr":"{\"title\":\"Factors Related to Recurrence and Complications after Percutaneous Subdural Tapping for Chronic Subdural Hematomas (Aoki Method): Clinical Experiences of 383 Patients with Chronic Subdural Hematomas.\",\"authors\":\"Hiroaki Hamada, Kenichiro Tajitsu, Hiroshi Tokimura, Shinichi Kuroki, Takaaki Hiwatari, Ryosuke Hanaya\",\"doi\":\"10.2176/jns-nmc.2024-0224\",\"DOIUrl\":null,\"url\":null,\"abstract\":\"<p><p>Chronic subdural hematoma is a common disease in the field of neurosurgery, and the number of cases is expected to continue increasing in an aging society. At our hospital, minimally invasive percutaneous subdural perforation (the Aoki method) is the first-line treatment. We investigated the recurrence rate associated with the Aoki method, factors related to recurrence, and the complication risks. Among the cases treated with the Aoki method between June 2007 and December 2020, 383 (431 lesions) for which image analysis and recurrence tracking were possible were included. On the basis of the preoperative patient background (sex, age, history of taking antiplatelet and anticoagulant drugs, preoperative neurological findings, imaging findings (preoperative hematoma volume and hematoma density), surgical details, and postoperative use of concomitant drugs), we retrospectively analyzed the recurrence rate, factors related to recurrence, and complication risk. The recurrence rate was 23.7%, which is within the same range as that of burr-hole hematoma irrigation. Multivariate analysis showed that age and a large preoperative hematoma volume were associated with recurrence. One of the 3 cases with postoperative epidural and 2 of the 3 cases with subdural hematomas required craniotomy. The incidence of complications requiring additional surgery was approximately 1%, which is comparable to that of burr-hole irrigation. The Aoki method is efficient because it is minimally invasive and has a therapeutic effect equivalent to that of burr-hole irrigation, which is the current standard of care.</p>\",\"PeriodicalId\":19225,\"journal\":{\"name\":\"Neurologia medico-chirurgica\",\"volume\":\" \",\"pages\":\"263-270\"},\"PeriodicalIF\":2.3000,\"publicationDate\":\"2025-06-15\",\"publicationTypes\":\"Journal Article\",\"fieldsOfStudy\":null,\"isOpenAccess\":false,\"openAccessPdf\":\"https://www.ncbi.nlm.nih.gov/pmc/articles/PMC12229747/pdf/\",\"citationCount\":\"0\",\"resultStr\":null,\"platform\":\"Semanticscholar\",\"paperid\":null,\"PeriodicalName\":\"Neurologia medico-chirurgica\",\"FirstCategoryId\":\"3\",\"ListUrlMain\":\"https://doi.org/10.2176/jns-nmc.2024-0224\",\"RegionNum\":4,\"RegionCategory\":\"医学\",\"ArticlePicture\":[],\"TitleCN\":null,\"AbstractTextCN\":null,\"PMCID\":null,\"EPubDate\":\"2025/4/7 0:00:00\",\"PubModel\":\"Epub\",\"JCR\":\"Q2\",\"JCRName\":\"CLINICAL NEUROLOGY\",\"Score\":null,\"Total\":0}","platform":"Semanticscholar","paperid":null,"PeriodicalName":"Neurologia medico-chirurgica","FirstCategoryId":"3","ListUrlMain":"https://doi.org/10.2176/jns-nmc.2024-0224","RegionNum":4,"RegionCategory":"医学","ArticlePicture":[],"TitleCN":null,"AbstractTextCN":null,"PMCID":null,"EPubDate":"2025/4/7 0:00:00","PubModel":"Epub","JCR":"Q2","JCRName":"CLINICAL NEUROLOGY","Score":null,"Total":0}
引用次数: 0

摘要

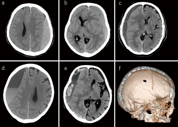
慢性硬膜下血肿是神经外科领域的一种常见疾病,在老龄化社会中,病例数预计将继续增加。在我院,微创经皮硬膜下穿孔(青木法)是一线治疗方法。我们调查了与青木法相关的复发率、复发相关因素和并发症风险。在2007年6月至2020年12月间采用青木法治疗的病例中,纳入了383例(431例)病灶,可以进行图像分析和复发追踪。根据患者的术前背景(性别、年龄、服用抗血小板和抗凝药物的历史、术前神经学表现、影像学表现(术前血肿体积和血肿密度)、手术细节、术后合用药物情况),回顾性分析其复发率、复发相关因素、并发症风险。复发率为23.7%,与钻孔血肿冲洗的复发率相同。多因素分析显示,年龄和术前血肿量大与复发有关。3例术后硬膜外血肿1例,硬膜下血肿2例需开颅。需要额外手术的并发症发生率约为1%,与钻孔灌洗相当。青木方法是有效的,因为它是微创的,治疗效果相当于钻孔冲洗,这是目前的标准护理。
本文章由计算机程序翻译,如有差异,请以英文原文为准。

Factors Related to Recurrence and Complications after Percutaneous Subdural Tapping for Chronic Subdural Hematomas (Aoki Method): Clinical Experiences of 383 Patients with Chronic Subdural Hematomas.

Factors Related to Recurrence and Complications after Percutaneous Subdural Tapping for Chronic Subdural Hematomas (Aoki Method): Clinical Experiences of 383 Patients with Chronic Subdural Hematomas.

Chronic subdural hematoma is a common disease in the field of neurosurgery, and the number of cases is expected to continue increasing in an aging society. At our hospital, minimally invasive percutaneous subdural perforation (the Aoki method) is the first-line treatment. We investigated the recurrence rate associated with the Aoki method, factors related to recurrence, and the complication risks. Among the cases treated with the Aoki method between June 2007 and December 2020, 383 (431 lesions) for which image analysis and recurrence tracking were possible were included. On the basis of the preoperative patient background (sex, age, history of taking antiplatelet and anticoagulant drugs, preoperative neurological findings, imaging findings (preoperative hematoma volume and hematoma density), surgical details, and postoperative use of concomitant drugs), we retrospectively analyzed the recurrence rate, factors related to recurrence, and complication risk. The recurrence rate was 23.7%, which is within the same range as that of burr-hole hematoma irrigation. Multivariate analysis showed that age and a large preoperative hematoma volume were associated with recurrence. One of the 3 cases with postoperative epidural and 2 of the 3 cases with subdural hematomas required craniotomy. The incidence of complications requiring additional surgery was approximately 1%, which is comparable to that of burr-hole irrigation. The Aoki method is efficient because it is minimally invasive and has a therapeutic effect equivalent to that of burr-hole irrigation, which is the current standard of care.

求助全文
通过发布文献求助,成功后即可免费获取论文全文。 去求助
来源期刊
Neurologia medico-chirurgica
Neurologia medico-chirurgica 医学-临床神经学
CiteScore
3.70
自引率
10.50%
发文量
63
审稿时长
3-8 weeks
期刊介绍: Information not localized
×
引用
GB/T 7714-2015
复制
MLA
复制
APA
复制
导出至
BibTeX EndNote RefMan NoteFirst NoteExpress
×
提示
您的信息不完整,为了账户安全,请先补充。
现在去补充
×
提示
您因"违规操作"
具体请查看互助需知
我知道了
×
提示
确定
请完成安全验证×
copy
已复制链接
快去分享给好友吧!
我知道了
右上角分享
点击右上角分享
0
联系我们:info@booksci.cn Book学术提供免费学术资源搜索服务,方便国内外学者检索中英文文献。致力于提供最便捷和优质的服务体验。 Copyright © 2023 布克学术 All rights reserved.
京ICP备2023020795号-1
ghs 京公网安备 11010802042870号
Book学术文献互助
Book学术文献互助群
群 号:604180095
Book学术官方微信