软骨脱细胞技术方法的更新:基于物理的方案。

IF 2.2 4区 工程技术 Q3 PHARMACOLOGY & PHARMACY
Bioimpacts Pub Date : 2024-10-26 eCollection Date: 2025-01-01 DOI:10.34172/bi.2024.30047
Hengameh Dortaj, Ahmad Vaez, Ashraf Hassanpour-Dehnavie, Ali Akbar Alizadeh
{"title":"软骨脱细胞技术方法的更新:基于物理的方案。","authors":"Hengameh Dortaj, Ahmad Vaez, Ashraf Hassanpour-Dehnavie, Ali Akbar Alizadeh","doi":"10.34172/bi.2024.30047","DOIUrl":null,"url":null,"abstract":"<p><p></p><p><strong>Introduction: </strong>Despite advances in orthopedic surgery, the lack of effective conventional treatment for cartilage defects has led to research in cartilage tissue engineering. One of the interesting topics is the use of decellularized extracellular matrix (ECM) as a suitable natural scaffold that supports the growth and function of cells cultured in it. A concern with decellularization protocols, especially those with high detergent concentrations, is the disruption of native ECM, which has deleterious effects on subsequent scaffold recellularization. Therefore, this study focused on optimizing cartilage decellularization by physical methods without the use of ionic detergents.</p><p><strong>Methods: </strong>The bovine tracheal cartilage fragments were decellularized by a combination of 8 cycles of freeze-thaw and ultrasound techniques. Then, the tissues were immersed and shaken in 0.25% trypsin for 24 hours. Efficient cell removal and preservation of ECM were confirmed by histological and cytocompatibility assessments. The in-vivo studies were performed to evaluate the biocompatibility and bioactivity of the scaffold.</p><p><strong>Results: </strong>The histological assessments indicated the appropriate cytocompatibility and the fibroblast cell culture study demonstrated that cells were able to proliferate and migrate on the decellularized cartilage. In-vivo evaluation also showed a reduced adverse immune response, including leukocyte infiltration into the ECM.</p><p><strong>Conclusion: </strong>These results suggest that a cartilage scaffold created using a physical decellularization protocol that efficiently removes cells while preserving the native ECM can be a suitable scaffold for cartilage reconstruction. The main advantage of this protocol is the absence of potentially toxic chemicals in the tissues.</p>","PeriodicalId":48614,"journal":{"name":"Bioimpacts","volume":"15 ","pages":"30047"},"PeriodicalIF":2.2000,"publicationDate":"2024-10-26","publicationTypes":"Journal Article","fieldsOfStudy":null,"isOpenAccess":false,"openAccessPdf":"https://www.ncbi.nlm.nih.gov/pmc/articles/PMC11954751/pdf/","citationCount":"0","resultStr":"{\"title\":\"An update on technical method of cartilage decellularization: A physical-based protocol.\",\"authors\":\"Hengameh Dortaj, Ahmad Vaez, Ashraf Hassanpour-Dehnavie, Ali Akbar Alizadeh\",\"doi\":\"10.34172/bi.2024.30047\",\"DOIUrl\":null,\"url\":null,\"abstract\":\"<p><p></p><p><strong>Introduction: </strong>Despite advances in orthopedic surgery, the lack of effective conventional treatment for cartilage defects has led to research in cartilage tissue engineering. One of the interesting topics is the use of decellularized extracellular matrix (ECM) as a suitable natural scaffold that supports the growth and function of cells cultured in it. A concern with decellularization protocols, especially those with high detergent concentrations, is the disruption of native ECM, which has deleterious effects on subsequent scaffold recellularization. Therefore, this study focused on optimizing cartilage decellularization by physical methods without the use of ionic detergents.</p><p><strong>Methods: </strong>The bovine tracheal cartilage fragments were decellularized by a combination of 8 cycles of freeze-thaw and ultrasound techniques. Then, the tissues were immersed and shaken in 0.25% trypsin for 24 hours. Efficient cell removal and preservation of ECM were confirmed by histological and cytocompatibility assessments. The in-vivo studies were performed to evaluate the biocompatibility and bioactivity of the scaffold.</p><p><strong>Results: </strong>The histological assessments indicated the appropriate cytocompatibility and the fibroblast cell culture study demonstrated that cells were able to proliferate and migrate on the decellularized cartilage. In-vivo evaluation also showed a reduced adverse immune response, including leukocyte infiltration into the ECM.</p><p><strong>Conclusion: </strong>These results suggest that a cartilage scaffold created using a physical decellularization protocol that efficiently removes cells while preserving the native ECM can be a suitable scaffold for cartilage reconstruction. The main advantage of this protocol is the absence of potentially toxic chemicals in the tissues.</p>\",\"PeriodicalId\":48614,\"journal\":{\"name\":\"Bioimpacts\",\"volume\":\"15 \",\"pages\":\"30047\"},\"PeriodicalIF\":2.2000,\"publicationDate\":\"2024-10-26\",\"publicationTypes\":\"Journal Article\",\"fieldsOfStudy\":null,\"isOpenAccess\":false,\"openAccessPdf\":\"https://www.ncbi.nlm.nih.gov/pmc/articles/PMC11954751/pdf/\",\"citationCount\":\"0\",\"resultStr\":null,\"platform\":\"Semanticscholar\",\"paperid\":null,\"PeriodicalName\":\"Bioimpacts\",\"FirstCategoryId\":\"5\",\"ListUrlMain\":\"https://doi.org/10.34172/bi.2024.30047\",\"RegionNum\":4,\"RegionCategory\":\"工程技术\",\"ArticlePicture\":[],\"TitleCN\":null,\"AbstractTextCN\":null,\"PMCID\":null,\"EPubDate\":\"2025/1/1 0:00:00\",\"PubModel\":\"eCollection\",\"JCR\":\"Q3\",\"JCRName\":\"PHARMACOLOGY & PHARMACY\",\"Score\":null,\"Total\":0}","platform":"Semanticscholar","paperid":null,"PeriodicalName":"Bioimpacts","FirstCategoryId":"5","ListUrlMain":"https://doi.org/10.34172/bi.2024.30047","RegionNum":4,"RegionCategory":"工程技术","ArticlePicture":[],"TitleCN":null,"AbstractTextCN":null,"PMCID":null,"EPubDate":"2025/1/1 0:00:00","PubModel":"eCollection","JCR":"Q3","JCRName":"PHARMACOLOGY & PHARMACY","Score":null,"Total":0}
引用次数: 0

摘要

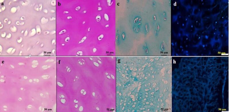
导论:尽管骨科手术取得了进步,但缺乏有效的常规治疗软骨缺损的方法,这导致了软骨组织工程的研究。其中一个有趣的话题是使用脱细胞细胞外基质(ECM)作为一种合适的天然支架,支持在其中培养的细胞的生长和功能。脱细胞方案的一个问题,特别是那些高洗涤剂浓度的方案,是对天然ECM的破坏,这对随后的支架再细胞化有有害影响。因此,本研究的重点是在不使用离子洗涤剂的情况下,通过物理方法优化软骨脱细胞。方法:采用8次冻融结合超声技术对牛气管软骨碎片进行脱细胞。然后,将组织浸入0.25%胰蛋白酶中震荡24小时。组织学和细胞相容性评估证实了ECM有效的细胞去除和保存。进行了体内研究,以评估支架的生物相容性和生物活性。结果:组织学评估显示细胞相容性良好,成纤维细胞培养研究表明细胞能够在脱细胞软骨上增殖和迁移。体内评估也显示不良免疫反应减少,包括白细胞浸润到ECM。结论:这些结果表明,使用物理脱细胞方案创建的软骨支架可以有效地去除细胞,同时保留天然ECM,是软骨重建的合适支架。该方案的主要优点是组织中没有潜在的有毒化学物质。
本文章由计算机程序翻译,如有差异,请以英文原文为准。

An update on technical method of cartilage decellularization: A physical-based protocol.

An update on technical method of cartilage decellularization: A physical-based protocol.

An update on technical method of cartilage decellularization: A physical-based protocol.

An update on technical method of cartilage decellularization: A physical-based protocol.

Introduction: Despite advances in orthopedic surgery, the lack of effective conventional treatment for cartilage defects has led to research in cartilage tissue engineering. One of the interesting topics is the use of decellularized extracellular matrix (ECM) as a suitable natural scaffold that supports the growth and function of cells cultured in it. A concern with decellularization protocols, especially those with high detergent concentrations, is the disruption of native ECM, which has deleterious effects on subsequent scaffold recellularization. Therefore, this study focused on optimizing cartilage decellularization by physical methods without the use of ionic detergents.

Methods: The bovine tracheal cartilage fragments were decellularized by a combination of 8 cycles of freeze-thaw and ultrasound techniques. Then, the tissues were immersed and shaken in 0.25% trypsin for 24 hours. Efficient cell removal and preservation of ECM were confirmed by histological and cytocompatibility assessments. The in-vivo studies were performed to evaluate the biocompatibility and bioactivity of the scaffold.

Results: The histological assessments indicated the appropriate cytocompatibility and the fibroblast cell culture study demonstrated that cells were able to proliferate and migrate on the decellularized cartilage. In-vivo evaluation also showed a reduced adverse immune response, including leukocyte infiltration into the ECM.

Conclusion: These results suggest that a cartilage scaffold created using a physical decellularization protocol that efficiently removes cells while preserving the native ECM can be a suitable scaffold for cartilage reconstruction. The main advantage of this protocol is the absence of potentially toxic chemicals in the tissues.

求助全文
通过发布文献求助,成功后即可免费获取论文全文。 去求助
来源期刊
Bioimpacts
Bioimpacts Pharmacology, Toxicology and Pharmaceutics-Pharmaceutical Science
CiteScore
4.80
自引率
7.70%
发文量
36
审稿时长
5 weeks
期刊介绍: BioImpacts (BI) is a peer-reviewed multidisciplinary international journal, covering original research articles, reviews, commentaries, hypotheses, methodologies, and visions/reflections dealing with all aspects of biological and biomedical researches at molecular, cellular, functional and translational dimensions.
×
引用
GB/T 7714-2015
复制
MLA
复制
APA
复制
导出至
BibTeX EndNote RefMan NoteFirst NoteExpress
×
提示
您的信息不完整,为了账户安全,请先补充。
现在去补充
×
提示
您因"违规操作"
具体请查看互助需知
我知道了
×
提示
确定
请完成安全验证×
copy
已复制链接
快去分享给好友吧!
我知道了
右上角分享
点击右上角分享
0
联系我们:info@booksci.cn Book学术提供免费学术资源搜索服务,方便国内外学者检索中英文文献。致力于提供最便捷和优质的服务体验。 Copyright © 2023 布克学术 All rights reserved.
京ICP备2023020795号-1
ghs 京公网安备 11010802042870号
Book学术文献互助
Book学术文献互助群
群 号:604180095
Book学术官方微信