显微与全内窥镜下微血管减压治疗面肌痉挛手术效果比较。

IF 2.3 4区 医学 Q2 CLINICAL NEUROLOGY
Neurologia medico-chirurgica Pub Date : 2025-05-15 Epub Date: 2025-03-21 DOI:10.2176/jns-nmc.2024-0245
Kyosuke Matsunaga, Norio Ichimasu, Nobuyuki Nakajima, Michihiro Kohno
{"title":"显微与全内窥镜下微血管减压治疗面肌痉挛手术效果比较。","authors":"Kyosuke Matsunaga, Norio Ichimasu, Nobuyuki Nakajima, Michihiro Kohno","doi":"10.2176/jns-nmc.2024-0245","DOIUrl":null,"url":null,"abstract":"<p><p>Fully endoscopic microvascular decompression is increasingly being used to treat hemifacial spasm; however, its efficacy must be validated by comparing it with conventional microscopic microvascular decompression. In this study, we aimed to compare the surgical outcomes of microsurgical and endoscopic microvascular decompression for hemifacial spasm and discuss the usefulness and risks of endoscopic treatment. A total of 40 patients with hemifacial spasm were retrospectively evaluated at a single institution between 2016 and 2022, including 33 patients who underwent microscopic microvascular decompression (microvascular decompression group) and 7 patients who underwent fully endoscopic microvascular decompression group, which was chosen for patients with sufficient space in the cerebellopontine cistern for endoscopic manipulation. Statistical analyses of the microvascular decompression group and the endoscopic microvascular decompression group were performed to compare patient background and surgical outcomes. No significant differences in age, sex, or affected side were observed between the 2 groups. At the 6-month follow-up, substantial improvement was observed in more than 85% of the patients in each group. Delayed facial palsy and mild lower cranial nerve palsy, such as hoarseness, were more common in the endoscopic microvascular decompression group than in the microvascular decompression group, although there were no significant differences in the rate of complications between the 2 groups. All complications were alleviated within 3 months after surgery. During endoscopic microvascular decompression, interference between the endoscope and instruments can cause neural damage owing to the limited space along the petrosal surface of the cerebellum. Our results suggest that endoscopic procedures cannot always be used as a substitute for conventional microscopic microvascular decompression.</p>","PeriodicalId":19225,"journal":{"name":"Neurologia medico-chirurgica","volume":" ","pages":"230-238"},"PeriodicalIF":2.3000,"publicationDate":"2025-05-15","publicationTypes":"Journal Article","fieldsOfStudy":null,"isOpenAccess":false,"openAccessPdf":"https://www.ncbi.nlm.nih.gov/pmc/articles/PMC12137054/pdf/","citationCount":"0","resultStr":"{\"title\":\"Comparison of Surgical Outcomes in Microscopic and Fully Endoscopic Microvascular Decompression for Hemifacial Spasm.\",\"authors\":\"Kyosuke Matsunaga, Norio Ichimasu, Nobuyuki Nakajima, Michihiro Kohno\",\"doi\":\"10.2176/jns-nmc.2024-0245\",\"DOIUrl\":null,\"url\":null,\"abstract\":\"<p><p>Fully endoscopic microvascular decompression is increasingly being used to treat hemifacial spasm; however, its efficacy must be validated by comparing it with conventional microscopic microvascular decompression. In this study, we aimed to compare the surgical outcomes of microsurgical and endoscopic microvascular decompression for hemifacial spasm and discuss the usefulness and risks of endoscopic treatment. A total of 40 patients with hemifacial spasm were retrospectively evaluated at a single institution between 2016 and 2022, including 33 patients who underwent microscopic microvascular decompression (microvascular decompression group) and 7 patients who underwent fully endoscopic microvascular decompression group, which was chosen for patients with sufficient space in the cerebellopontine cistern for endoscopic manipulation. Statistical analyses of the microvascular decompression group and the endoscopic microvascular decompression group were performed to compare patient background and surgical outcomes. No significant differences in age, sex, or affected side were observed between the 2 groups. At the 6-month follow-up, substantial improvement was observed in more than 85% of the patients in each group. Delayed facial palsy and mild lower cranial nerve palsy, such as hoarseness, were more common in the endoscopic microvascular decompression group than in the microvascular decompression group, although there were no significant differences in the rate of complications between the 2 groups. All complications were alleviated within 3 months after surgery. During endoscopic microvascular decompression, interference between the endoscope and instruments can cause neural damage owing to the limited space along the petrosal surface of the cerebellum. Our results suggest that endoscopic procedures cannot always be used as a substitute for conventional microscopic microvascular decompression.</p>\",\"PeriodicalId\":19225,\"journal\":{\"name\":\"Neurologia medico-chirurgica\",\"volume\":\" \",\"pages\":\"230-238\"},\"PeriodicalIF\":2.3000,\"publicationDate\":\"2025-05-15\",\"publicationTypes\":\"Journal Article\",\"fieldsOfStudy\":null,\"isOpenAccess\":false,\"openAccessPdf\":\"https://www.ncbi.nlm.nih.gov/pmc/articles/PMC12137054/pdf/\",\"citationCount\":\"0\",\"resultStr\":null,\"platform\":\"Semanticscholar\",\"paperid\":null,\"PeriodicalName\":\"Neurologia medico-chirurgica\",\"FirstCategoryId\":\"3\",\"ListUrlMain\":\"https://doi.org/10.2176/jns-nmc.2024-0245\",\"RegionNum\":4,\"RegionCategory\":\"医学\",\"ArticlePicture\":[],\"TitleCN\":null,\"AbstractTextCN\":null,\"PMCID\":null,\"EPubDate\":\"2025/3/21 0:00:00\",\"PubModel\":\"Epub\",\"JCR\":\"Q2\",\"JCRName\":\"CLINICAL NEUROLOGY\",\"Score\":null,\"Total\":0}","platform":"Semanticscholar","paperid":null,"PeriodicalName":"Neurologia medico-chirurgica","FirstCategoryId":"3","ListUrlMain":"https://doi.org/10.2176/jns-nmc.2024-0245","RegionNum":4,"RegionCategory":"医学","ArticlePicture":[],"TitleCN":null,"AbstractTextCN":null,"PMCID":null,"EPubDate":"2025/3/21 0:00:00","PubModel":"Epub","JCR":"Q2","JCRName":"CLINICAL NEUROLOGY","Score":null,"Total":0}
引用次数: 0

摘要

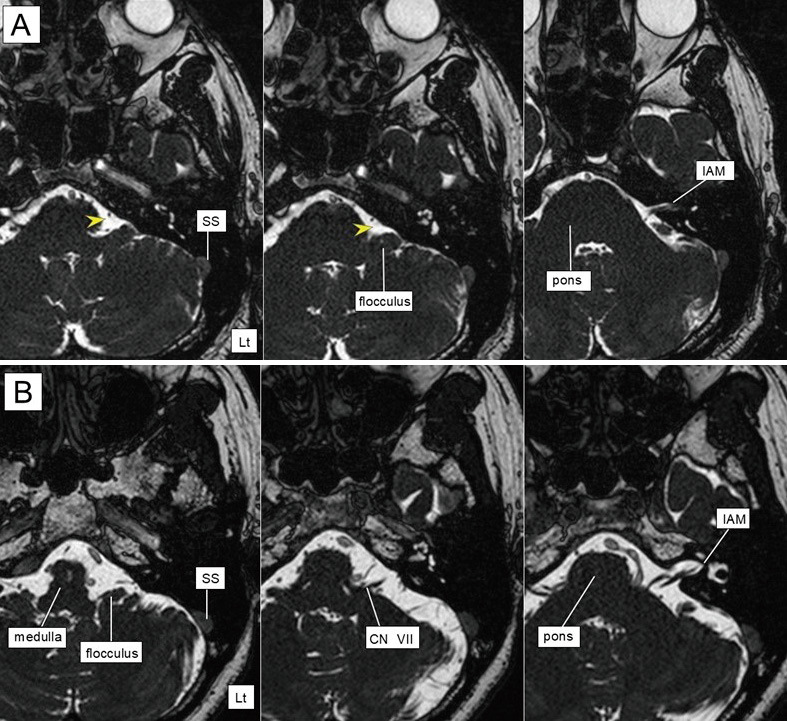
全内窥镜微血管减压术越来越多地被用于治疗面肌痉挛;然而,其疗效必须通过与常规显微微血管减压术的比较来验证。在本研究中,我们旨在比较显微手术和内窥镜下微血管减压治疗面肌痉挛的手术效果,并讨论内窥镜治疗的有效性和风险。回顾性分析2016 - 2022年在同一医院收治的40例面肌痉挛患者,其中显微微血管减压组33例(微血管减压组),全内镜微血管减压组7例(选择桥小脑池有足够空间进行内镜操作的患者)。对微血管减压组和内镜下微血管减压组进行统计分析,比较患者背景和手术结果。两组患者在年龄、性别、受累侧均无显著差异。在6个月的随访中,两组85%以上的患者均有明显改善。内窥镜微血管减压组比微血管减压组更常见延迟性面瘫和轻度下颅神经麻痹,如声音嘶哑等,但两组并发症发生率无显著差异。术后3个月内并发症均得到缓解。在内窥镜微血管减压过程中,由于小脑岩石表面的空间有限,内窥镜和器械之间的干扰可引起神经损伤。我们的研究结果表明,内窥镜手术不能总是用来代替传统的显微微血管减压。
本文章由计算机程序翻译,如有差异,请以英文原文为准。

Comparison of Surgical Outcomes in Microscopic and Fully Endoscopic Microvascular Decompression for Hemifacial Spasm.

Comparison of Surgical Outcomes in Microscopic and Fully Endoscopic Microvascular Decompression for Hemifacial Spasm.

Comparison of Surgical Outcomes in Microscopic and Fully Endoscopic Microvascular Decompression for Hemifacial Spasm.

Fully endoscopic microvascular decompression is increasingly being used to treat hemifacial spasm; however, its efficacy must be validated by comparing it with conventional microscopic microvascular decompression. In this study, we aimed to compare the surgical outcomes of microsurgical and endoscopic microvascular decompression for hemifacial spasm and discuss the usefulness and risks of endoscopic treatment. A total of 40 patients with hemifacial spasm were retrospectively evaluated at a single institution between 2016 and 2022, including 33 patients who underwent microscopic microvascular decompression (microvascular decompression group) and 7 patients who underwent fully endoscopic microvascular decompression group, which was chosen for patients with sufficient space in the cerebellopontine cistern for endoscopic manipulation. Statistical analyses of the microvascular decompression group and the endoscopic microvascular decompression group were performed to compare patient background and surgical outcomes. No significant differences in age, sex, or affected side were observed between the 2 groups. At the 6-month follow-up, substantial improvement was observed in more than 85% of the patients in each group. Delayed facial palsy and mild lower cranial nerve palsy, such as hoarseness, were more common in the endoscopic microvascular decompression group than in the microvascular decompression group, although there were no significant differences in the rate of complications between the 2 groups. All complications were alleviated within 3 months after surgery. During endoscopic microvascular decompression, interference between the endoscope and instruments can cause neural damage owing to the limited space along the petrosal surface of the cerebellum. Our results suggest that endoscopic procedures cannot always be used as a substitute for conventional microscopic microvascular decompression.

求助全文
通过发布文献求助,成功后即可免费获取论文全文。 去求助
来源期刊
Neurologia medico-chirurgica
Neurologia medico-chirurgica 医学-临床神经学
CiteScore
3.70
自引率
10.50%
发文量
63
审稿时长
3-8 weeks
期刊介绍: Information not localized
×
引用
GB/T 7714-2015
复制
MLA
复制
APA
复制
导出至
BibTeX EndNote RefMan NoteFirst NoteExpress
×
提示
您的信息不完整,为了账户安全,请先补充。
现在去补充
×
提示
您因"违规操作"
具体请查看互助需知
我知道了
×
提示
确定
请完成安全验证×
copy
已复制链接
快去分享给好友吧!
我知道了
右上角分享
点击右上角分享
0
联系我们:info@booksci.cn Book学术提供免费学术资源搜索服务,方便国内外学者检索中英文文献。致力于提供最便捷和优质的服务体验。 Copyright © 2023 布克学术 All rights reserved.
京ICP备2023020795号-1
ghs 京公网安备 11010802042870号
Book学术文献互助
Book学术文献互助群
群 号:604180095
Book学术官方微信