基于壳聚糖水凝胶和睾丸脱细胞板的维甲酸释放支架。

IF 2.2 4区 工程技术 Q3 PHARMACOLOGY & PHARMACY
Bioimpacts Pub Date : 2024-05-13 eCollection Date: 2025-01-01 DOI:10.34172/bi.30007
Hooman Zarei, Mansoureh Movahedin, Fariba Ganji, Ali Ghiaseddin
{"title":"基于壳聚糖水凝胶和睾丸脱细胞板的维甲酸释放支架。","authors":"Hooman Zarei, Mansoureh Movahedin, Fariba Ganji, Ali Ghiaseddin","doi":"10.34172/bi.30007","DOIUrl":null,"url":null,"abstract":"<p><p></p><p><strong>Introduction: </strong>The use of releasing scaffolds is promising for testes tissue engineering. Chitosan (CS) is a natural biopolymer extensively used as a delivery system. The decellularized testis provides a structure resembling natural extracellular matrix (ECM). All-trans retinoic acid (atRA) is an important factor for spermatogonia differentiation, meiosis completion, and mature sperm release. In this study, thermosensitive CS/βGP hydrogel was served as a novel atRA-releasing support for testis decellular plates (TDPs).</p><p><strong>Methods: </strong>The CS/βGP hydrogel was evaluated for gelation time, morphology, wettability, cytocompatibility, and atRA-releasing behavior. Mouse testes were treated with 1% SDS and evaluated for decellularization efficacy through morphological assessments, DNA content assays, and DAPI staining. TDPs were obtained from the decellularized testes and placed on an atRA-releasing CS/βGP hydrogel support.</p><p><strong>Results: </strong>The CS/βGP hydrogels were prepared with different formulations. It was found that increasing the βGP concentration significantly decreased the gelation time. The addition of atRA did not considerably affect the hydrophilicity of hydrogel. The in vitro release studies showed a sustained atRA release behavior, although an initial low burst release was recorded. Also, increasing the amount of atRA led to a decrease in the rate of drug release. The decellularization procedure successfully removed cells while preserving the ECM. The atRA-releasing CS-TDP scaffold was found to be non-toxic with good biocompatibility.</p><p><strong>Conclusion: </strong>Results showed that the novel atRA-releasing CS-TDP scaffold can sustainably deliver atRA to the culture system and create a cytocompatible environment for testicular cells. Therefore, this scaffold may be useful in developing new tissue engineering approaches for various types of male infertility diseases.</p>","PeriodicalId":48614,"journal":{"name":"Bioimpacts","volume":"15 ","pages":"30007"},"PeriodicalIF":2.2000,"publicationDate":"2024-05-13","publicationTypes":"Journal Article","fieldsOfStudy":null,"isOpenAccess":false,"openAccessPdf":"https://www.ncbi.nlm.nih.gov/pmc/articles/PMC11830144/pdf/","citationCount":"0","resultStr":"{\"title\":\"Retinoic acid-releasing scaffold based on chitosan hydrogel and testis decellular plates.\",\"authors\":\"Hooman Zarei, Mansoureh Movahedin, Fariba Ganji, Ali Ghiaseddin\",\"doi\":\"10.34172/bi.30007\",\"DOIUrl\":null,\"url\":null,\"abstract\":\"<p><p></p><p><strong>Introduction: </strong>The use of releasing scaffolds is promising for testes tissue engineering. Chitosan (CS) is a natural biopolymer extensively used as a delivery system. The decellularized testis provides a structure resembling natural extracellular matrix (ECM). All-trans retinoic acid (atRA) is an important factor for spermatogonia differentiation, meiosis completion, and mature sperm release. In this study, thermosensitive CS/βGP hydrogel was served as a novel atRA-releasing support for testis decellular plates (TDPs).</p><p><strong>Methods: </strong>The CS/βGP hydrogel was evaluated for gelation time, morphology, wettability, cytocompatibility, and atRA-releasing behavior. Mouse testes were treated with 1% SDS and evaluated for decellularization efficacy through morphological assessments, DNA content assays, and DAPI staining. TDPs were obtained from the decellularized testes and placed on an atRA-releasing CS/βGP hydrogel support.</p><p><strong>Results: </strong>The CS/βGP hydrogels were prepared with different formulations. It was found that increasing the βGP concentration significantly decreased the gelation time. The addition of atRA did not considerably affect the hydrophilicity of hydrogel. The in vitro release studies showed a sustained atRA release behavior, although an initial low burst release was recorded. Also, increasing the amount of atRA led to a decrease in the rate of drug release. The decellularization procedure successfully removed cells while preserving the ECM. The atRA-releasing CS-TDP scaffold was found to be non-toxic with good biocompatibility.</p><p><strong>Conclusion: </strong>Results showed that the novel atRA-releasing CS-TDP scaffold can sustainably deliver atRA to the culture system and create a cytocompatible environment for testicular cells. Therefore, this scaffold may be useful in developing new tissue engineering approaches for various types of male infertility diseases.</p>\",\"PeriodicalId\":48614,\"journal\":{\"name\":\"Bioimpacts\",\"volume\":\"15 \",\"pages\":\"30007\"},\"PeriodicalIF\":2.2000,\"publicationDate\":\"2024-05-13\",\"publicationTypes\":\"Journal Article\",\"fieldsOfStudy\":null,\"isOpenAccess\":false,\"openAccessPdf\":\"https://www.ncbi.nlm.nih.gov/pmc/articles/PMC11830144/pdf/\",\"citationCount\":\"0\",\"resultStr\":null,\"platform\":\"Semanticscholar\",\"paperid\":null,\"PeriodicalName\":\"Bioimpacts\",\"FirstCategoryId\":\"5\",\"ListUrlMain\":\"https://doi.org/10.34172/bi.30007\",\"RegionNum\":4,\"RegionCategory\":\"工程技术\",\"ArticlePicture\":[],\"TitleCN\":null,\"AbstractTextCN\":null,\"PMCID\":null,\"EPubDate\":\"2025/1/1 0:00:00\",\"PubModel\":\"eCollection\",\"JCR\":\"Q3\",\"JCRName\":\"PHARMACOLOGY & PHARMACY\",\"Score\":null,\"Total\":0}","platform":"Semanticscholar","paperid":null,"PeriodicalName":"Bioimpacts","FirstCategoryId":"5","ListUrlMain":"https://doi.org/10.34172/bi.30007","RegionNum":4,"RegionCategory":"工程技术","ArticlePicture":[],"TitleCN":null,"AbstractTextCN":null,"PMCID":null,"EPubDate":"2025/1/1 0:00:00","PubModel":"eCollection","JCR":"Q3","JCRName":"PHARMACOLOGY & PHARMACY","Score":null,"Total":0}
引用次数: 0

摘要

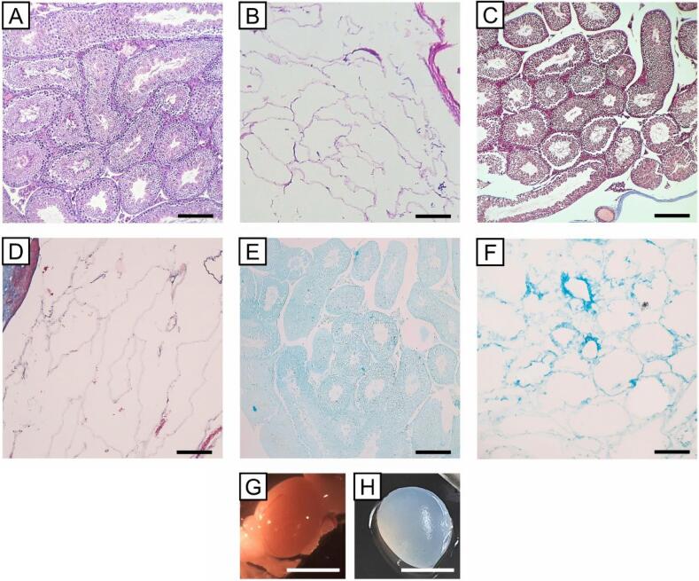
摘要:释放支架在睾丸组织工程中具有广阔的应用前景。壳聚糖(CS)是一种天然的生物聚合物,被广泛用作递送系统。脱细胞睾丸提供类似于天然细胞外基质(ECM)的结构。全反式维甲酸(atRA)是精原细胞分化、减数分裂完成和成熟精子释放的重要因子。本研究将热敏CS/βGP水凝胶作为睾丸脱细胞板(TDPs)的新型atra释放载体。方法:对CS/βGP水凝胶凝胶化时间、形态、润湿性、细胞相容性和atra释放行为进行评价。小鼠睾丸用1% SDS处理,通过形态学评估、DNA含量测定和DAPI染色来评估脱细胞效果。从去细胞的睾丸中获得tdp,并将其置于atra释放的CS/βGP水凝胶载体上。结果:制备了不同配方的CS/βGP水凝胶。结果表明,增加βGP浓度可显著缩短凝胶时间。atRA的加入对水凝胶的亲水性没有明显影响。体外释放研究显示持续的atRA释放行为,尽管最初的低爆发释放被记录。此外,增加atRA的量导致药物释放速度的降低。脱细胞过程成功地去除了细胞,同时保留了ECM。结果表明,释放atra的CS-TDP支架无毒,具有良好的生物相容性。结论:新型atRA释放支架CS-TDP能够持续向培养体系输送atRA,为睾丸细胞创造细胞相容环境。因此,这种支架可能有助于开发新的组织工程方法来治疗各种类型的男性不育症。
本文章由计算机程序翻译,如有差异,请以英文原文为准。

Retinoic acid-releasing scaffold based on chitosan hydrogel and testis decellular plates.

Retinoic acid-releasing scaffold based on chitosan hydrogel and testis decellular plates.

Retinoic acid-releasing scaffold based on chitosan hydrogel and testis decellular plates.

Retinoic acid-releasing scaffold based on chitosan hydrogel and testis decellular plates.

Introduction: The use of releasing scaffolds is promising for testes tissue engineering. Chitosan (CS) is a natural biopolymer extensively used as a delivery system. The decellularized testis provides a structure resembling natural extracellular matrix (ECM). All-trans retinoic acid (atRA) is an important factor for spermatogonia differentiation, meiosis completion, and mature sperm release. In this study, thermosensitive CS/βGP hydrogel was served as a novel atRA-releasing support for testis decellular plates (TDPs).

Methods: The CS/βGP hydrogel was evaluated for gelation time, morphology, wettability, cytocompatibility, and atRA-releasing behavior. Mouse testes were treated with 1% SDS and evaluated for decellularization efficacy through morphological assessments, DNA content assays, and DAPI staining. TDPs were obtained from the decellularized testes and placed on an atRA-releasing CS/βGP hydrogel support.

Results: The CS/βGP hydrogels were prepared with different formulations. It was found that increasing the βGP concentration significantly decreased the gelation time. The addition of atRA did not considerably affect the hydrophilicity of hydrogel. The in vitro release studies showed a sustained atRA release behavior, although an initial low burst release was recorded. Also, increasing the amount of atRA led to a decrease in the rate of drug release. The decellularization procedure successfully removed cells while preserving the ECM. The atRA-releasing CS-TDP scaffold was found to be non-toxic with good biocompatibility.

Conclusion: Results showed that the novel atRA-releasing CS-TDP scaffold can sustainably deliver atRA to the culture system and create a cytocompatible environment for testicular cells. Therefore, this scaffold may be useful in developing new tissue engineering approaches for various types of male infertility diseases.

求助全文
通过发布文献求助,成功后即可免费获取论文全文。 去求助
来源期刊
Bioimpacts
Bioimpacts Pharmacology, Toxicology and Pharmaceutics-Pharmaceutical Science
CiteScore
4.80
自引率
7.70%
发文量
36
审稿时长
5 weeks
期刊介绍: BioImpacts (BI) is a peer-reviewed multidisciplinary international journal, covering original research articles, reviews, commentaries, hypotheses, methodologies, and visions/reflections dealing with all aspects of biological and biomedical researches at molecular, cellular, functional and translational dimensions.
×
引用
GB/T 7714-2015
复制
MLA
复制
APA
复制
导出至
BibTeX EndNote RefMan NoteFirst NoteExpress
×
提示
您的信息不完整,为了账户安全,请先补充。
现在去补充
×
提示
您因"违规操作"
具体请查看互助需知
我知道了
×
提示
确定
请完成安全验证×
copy
已复制链接
快去分享给好友吧!
我知道了
右上角分享
点击右上角分享
0
联系我们:info@booksci.cn Book学术提供免费学术资源搜索服务,方便国内外学者检索中英文文献。致力于提供最便捷和优质的服务体验。 Copyright © 2023 布克学术 All rights reserved.
京ICP备2023020795号-1
ghs 京公网安备 11010802042870号
Book学术文献互助
Book学术文献互助群
群 号:604180095
Book学术官方微信