Haberland综合征(脑-颅-皮脂肪增多症):1例报告及文献复习。

IF 0.9 Q4 CLINICAL NEUROLOGY
Iranian Journal of Child Neurology Pub Date : 2025-01-01 Epub Date: 2025-01-07 DOI:10.22037/ijcn.v19i1.37492
Ala Torabi, Reza Shervin Badv, Masoud Mohammadpour, Fatemeh Zamani, Masoumeh Sadat Sadeghzadeh, Neda Pak
{"title":"Haberland综合征(脑-颅-皮脂肪增多症):1例报告及文献复习。","authors":"Ala Torabi, Reza Shervin Badv, Masoud Mohammadpour, Fatemeh Zamani, Masoumeh Sadat Sadeghzadeh, Neda Pak","doi":"10.22037/ijcn.v19i1.37492","DOIUrl":null,"url":null,"abstract":"<p><p>Encephalocraniocutaneous lipomatosis (ECCL), also known as Haberland syndrome, is a rare, nonhereditary, nonprogressive congenital neurocutaneous syndrome with underlying ectodermal dysgenesis. The classic triad of this syndrome is central nervous system (CNS), ocular, and cutaneous involvement as unilateral lipomatous lesions of the scalp, neck, and face with ipsilateral brain anomalies and ipsilateral ocular choristoma. Herein, this study reports a case of a 2-year-old boy presented with status epilepticus for the first time. Intraspinal lipoma, arachnoid cyst, cerebral hemiatrophy, asymmetric hydrocephaly, choristoma, and corneal clouding were noted. This case fulfilled Moog's clinical criteria for diagnosis of Haberland syndrome. Additionally, this study introduces linear and whorled nevoid hypermelanosis and cerebral periventricular white matter hyperintensity as novel manifestations of this syndrome.</p>","PeriodicalId":14537,"journal":{"name":"Iranian Journal of Child Neurology","volume":"19 1","pages":"127-133"},"PeriodicalIF":0.9000,"publicationDate":"2025-01-01","publicationTypes":"Journal Article","fieldsOfStudy":null,"isOpenAccess":false,"openAccessPdf":"https://www.ncbi.nlm.nih.gov/pmc/articles/PMC11781344/pdf/","citationCount":"0","resultStr":"{\"title\":\"Haberland Syndrome (Encephalocraniocutaneous Lipomatosis): A Case Report and Review of Literature.\",\"authors\":\"Ala Torabi, Reza Shervin Badv, Masoud Mohammadpour, Fatemeh Zamani, Masoumeh Sadat Sadeghzadeh, Neda Pak\",\"doi\":\"10.22037/ijcn.v19i1.37492\",\"DOIUrl\":null,\"url\":null,\"abstract\":\"<p><p>Encephalocraniocutaneous lipomatosis (ECCL), also known as Haberland syndrome, is a rare, nonhereditary, nonprogressive congenital neurocutaneous syndrome with underlying ectodermal dysgenesis. The classic triad of this syndrome is central nervous system (CNS), ocular, and cutaneous involvement as unilateral lipomatous lesions of the scalp, neck, and face with ipsilateral brain anomalies and ipsilateral ocular choristoma. Herein, this study reports a case of a 2-year-old boy presented with status epilepticus for the first time. Intraspinal lipoma, arachnoid cyst, cerebral hemiatrophy, asymmetric hydrocephaly, choristoma, and corneal clouding were noted. This case fulfilled Moog's clinical criteria for diagnosis of Haberland syndrome. Additionally, this study introduces linear and whorled nevoid hypermelanosis and cerebral periventricular white matter hyperintensity as novel manifestations of this syndrome.</p>\",\"PeriodicalId\":14537,\"journal\":{\"name\":\"Iranian Journal of Child Neurology\",\"volume\":\"19 1\",\"pages\":\"127-133\"},\"PeriodicalIF\":0.9000,\"publicationDate\":\"2025-01-01\",\"publicationTypes\":\"Journal Article\",\"fieldsOfStudy\":null,\"isOpenAccess\":false,\"openAccessPdf\":\"https://www.ncbi.nlm.nih.gov/pmc/articles/PMC11781344/pdf/\",\"citationCount\":\"0\",\"resultStr\":null,\"platform\":\"Semanticscholar\",\"paperid\":null,\"PeriodicalName\":\"Iranian Journal of Child Neurology\",\"FirstCategoryId\":\"1085\",\"ListUrlMain\":\"https://doi.org/10.22037/ijcn.v19i1.37492\",\"RegionNum\":0,\"RegionCategory\":null,\"ArticlePicture\":[],\"TitleCN\":null,\"AbstractTextCN\":null,\"PMCID\":null,\"EPubDate\":\"2025/1/7 0:00:00\",\"PubModel\":\"Epub\",\"JCR\":\"Q4\",\"JCRName\":\"CLINICAL NEUROLOGY\",\"Score\":null,\"Total\":0}","platform":"Semanticscholar","paperid":null,"PeriodicalName":"Iranian Journal of Child Neurology","FirstCategoryId":"1085","ListUrlMain":"https://doi.org/10.22037/ijcn.v19i1.37492","RegionNum":0,"RegionCategory":null,"ArticlePicture":[],"TitleCN":null,"AbstractTextCN":null,"PMCID":null,"EPubDate":"2025/1/7 0:00:00","PubModel":"Epub","JCR":"Q4","JCRName":"CLINICAL NEUROLOGY","Score":null,"Total":0}
引用次数: 0

摘要

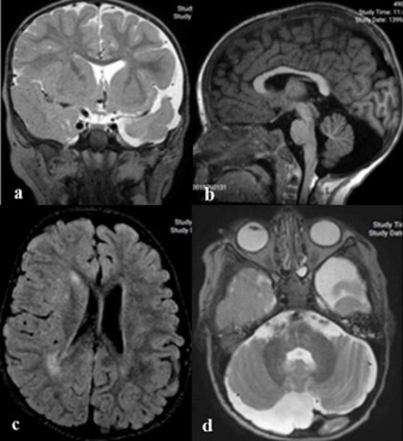
脑皮脂肪瘤病(ECCL),也称为哈伯兰综合征,是一种罕见的、非遗传性的、非进行性的先天性神经皮肤综合征,伴有潜在的外胚层发育不良。该综合征的典型三联征是中枢神经系统(CNS)、眼部和皮肤受累,表现为头皮、颈部和面部的单侧脂肪瘤病变,伴同侧脑异常和同侧眼脉膜瘤。在此,本研究报告一例2岁男童首次出现癫痫持续状态。椎管内脂肪瘤、蛛网膜囊肿、脑偏瘫、不对称脑积水、脉络膜瘤和角膜混浊。本病例符合穆格诊断Haberland综合征的临床标准。此外,本研究还介绍了线状和轮状瘤样黑色素过多症以及脑室周围白质增高作为该综合征的新表现。
本文章由计算机程序翻译,如有差异,请以英文原文为准。

Haberland Syndrome (Encephalocraniocutaneous Lipomatosis): A Case Report and Review of Literature.

Haberland Syndrome (Encephalocraniocutaneous Lipomatosis): A Case Report and Review of Literature.

Encephalocraniocutaneous lipomatosis (ECCL), also known as Haberland syndrome, is a rare, nonhereditary, nonprogressive congenital neurocutaneous syndrome with underlying ectodermal dysgenesis. The classic triad of this syndrome is central nervous system (CNS), ocular, and cutaneous involvement as unilateral lipomatous lesions of the scalp, neck, and face with ipsilateral brain anomalies and ipsilateral ocular choristoma. Herein, this study reports a case of a 2-year-old boy presented with status epilepticus for the first time. Intraspinal lipoma, arachnoid cyst, cerebral hemiatrophy, asymmetric hydrocephaly, choristoma, and corneal clouding were noted. This case fulfilled Moog's clinical criteria for diagnosis of Haberland syndrome. Additionally, this study introduces linear and whorled nevoid hypermelanosis and cerebral periventricular white matter hyperintensity as novel manifestations of this syndrome.

求助全文
通过发布文献求助,成功后即可免费获取论文全文。 去求助
来源期刊
CiteScore
1.40
自引率
0.00%
发文量
35
×
引用
GB/T 7714-2015
复制
MLA
复制
APA
复制
导出至
BibTeX EndNote RefMan NoteFirst NoteExpress
×
提示
您的信息不完整,为了账户安全,请先补充。
现在去补充
×
提示
您因"违规操作"
具体请查看互助需知
我知道了
×
提示
确定
请完成安全验证×
copy
已复制链接
快去分享给好友吧!
我知道了
右上角分享
点击右上角分享
0
联系我们:info@booksci.cn Book学术提供免费学术资源搜索服务,方便国内外学者检索中英文文献。致力于提供最便捷和优质的服务体验。 Copyright © 2023 布克学术 All rights reserved.
京ICP备2023020795号-1
ghs 京公网安备 11010802042870号
Book学术文献互助
Book学术文献互助群
群 号:604180095
Book学术官方微信