急性脑病和顽固性低钾血症的12岁男孩。

IF 0.9 Q4 CLINICAL NEUROLOGY
Iranian Journal of Child Neurology Pub Date : 2025-01-01 Epub Date: 2025-01-07 DOI:10.22037/ijcn.v19i1.45350
Toktam Moosavian, Zahra Pournasiri, Shiva Fatollahierad
{"title":"急性脑病和顽固性低钾血症的12岁男孩。","authors":"Toktam Moosavian, Zahra Pournasiri, Shiva Fatollahierad","doi":"10.22037/ijcn.v19i1.45350","DOIUrl":null,"url":null,"abstract":"<p><p>Wilson disease is an inherited disorder characterized by copper accumulation in various organs, leading to a wide range of clinical manifestations depending on the deposition site. Typically, symptoms of Wilson disease emerge between the ages of 5 and 35 years, primarily presenting with neurological and hepatic symptoms. This case report describes a 12-year-old boy diagnosed with Wilson disease based on low serum ceruloplasmin levels and elevated 24-hour urinary copper levels. His initial presentation included acute encephalopathy and tubulopathy with persistent hypokalemia. This case highlights the importance of a thorough evaluation, including neurological and renal assessments, to determine the underlying cause of acute encephalopathy, such as Wilson disease. Furthermore, this case shows that Wilson disease can manifest with neurological and kidney presentations despite a normal hepatic evaluation.</p>","PeriodicalId":14537,"journal":{"name":"Iranian Journal of Child Neurology","volume":"19 1","pages":"107-112"},"PeriodicalIF":0.9000,"publicationDate":"2025-01-01","publicationTypes":"Journal Article","fieldsOfStudy":null,"isOpenAccess":false,"openAccessPdf":"https://www.ncbi.nlm.nih.gov/pmc/articles/PMC11781346/pdf/","citationCount":"0","resultStr":"{\"title\":\"Acute Encephalopathy and Refractory Hypokalemia in a 12-Year-Old Boy.\",\"authors\":\"Toktam Moosavian, Zahra Pournasiri, Shiva Fatollahierad\",\"doi\":\"10.22037/ijcn.v19i1.45350\",\"DOIUrl\":null,\"url\":null,\"abstract\":\"<p><p>Wilson disease is an inherited disorder characterized by copper accumulation in various organs, leading to a wide range of clinical manifestations depending on the deposition site. Typically, symptoms of Wilson disease emerge between the ages of 5 and 35 years, primarily presenting with neurological and hepatic symptoms. This case report describes a 12-year-old boy diagnosed with Wilson disease based on low serum ceruloplasmin levels and elevated 24-hour urinary copper levels. His initial presentation included acute encephalopathy and tubulopathy with persistent hypokalemia. This case highlights the importance of a thorough evaluation, including neurological and renal assessments, to determine the underlying cause of acute encephalopathy, such as Wilson disease. Furthermore, this case shows that Wilson disease can manifest with neurological and kidney presentations despite a normal hepatic evaluation.</p>\",\"PeriodicalId\":14537,\"journal\":{\"name\":\"Iranian Journal of Child Neurology\",\"volume\":\"19 1\",\"pages\":\"107-112\"},\"PeriodicalIF\":0.9000,\"publicationDate\":\"2025-01-01\",\"publicationTypes\":\"Journal Article\",\"fieldsOfStudy\":null,\"isOpenAccess\":false,\"openAccessPdf\":\"https://www.ncbi.nlm.nih.gov/pmc/articles/PMC11781346/pdf/\",\"citationCount\":\"0\",\"resultStr\":null,\"platform\":\"Semanticscholar\",\"paperid\":null,\"PeriodicalName\":\"Iranian Journal of Child Neurology\",\"FirstCategoryId\":\"1085\",\"ListUrlMain\":\"https://doi.org/10.22037/ijcn.v19i1.45350\",\"RegionNum\":0,\"RegionCategory\":null,\"ArticlePicture\":[],\"TitleCN\":null,\"AbstractTextCN\":null,\"PMCID\":null,\"EPubDate\":\"2025/1/7 0:00:00\",\"PubModel\":\"Epub\",\"JCR\":\"Q4\",\"JCRName\":\"CLINICAL NEUROLOGY\",\"Score\":null,\"Total\":0}","platform":"Semanticscholar","paperid":null,"PeriodicalName":"Iranian Journal of Child Neurology","FirstCategoryId":"1085","ListUrlMain":"https://doi.org/10.22037/ijcn.v19i1.45350","RegionNum":0,"RegionCategory":null,"ArticlePicture":[],"TitleCN":null,"AbstractTextCN":null,"PMCID":null,"EPubDate":"2025/1/7 0:00:00","PubModel":"Epub","JCR":"Q4","JCRName":"CLINICAL NEUROLOGY","Score":null,"Total":0}
引用次数: 0

摘要

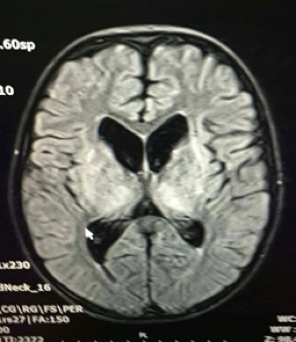
威尔逊病是一种以铜在各器官积累为特征的遗传性疾病,根据沉积部位的不同,导致广泛的临床表现。肝豆状核病的典型症状出现在5岁至35岁之间,主要表现为神经和肝脏症状。本病例报告描述了一名12岁男孩,根据低血清铜蓝蛋白水平和24小时尿铜水平升高诊断为威尔逊病。他最初的表现包括急性脑病和持续低钾血症的小管病。该病例强调了全面评估的重要性,包括神经和肾脏评估,以确定急性脑病(如Wilson病)的潜在病因。此外,本病例显示肝豆状核变性可表现为神经系统和肾脏表现,尽管肝脏评估正常。
本文章由计算机程序翻译,如有差异,请以英文原文为准。

Acute Encephalopathy and Refractory Hypokalemia in a 12-Year-Old Boy.

Acute Encephalopathy and Refractory Hypokalemia in a 12-Year-Old Boy.

Wilson disease is an inherited disorder characterized by copper accumulation in various organs, leading to a wide range of clinical manifestations depending on the deposition site. Typically, symptoms of Wilson disease emerge between the ages of 5 and 35 years, primarily presenting with neurological and hepatic symptoms. This case report describes a 12-year-old boy diagnosed with Wilson disease based on low serum ceruloplasmin levels and elevated 24-hour urinary copper levels. His initial presentation included acute encephalopathy and tubulopathy with persistent hypokalemia. This case highlights the importance of a thorough evaluation, including neurological and renal assessments, to determine the underlying cause of acute encephalopathy, such as Wilson disease. Furthermore, this case shows that Wilson disease can manifest with neurological and kidney presentations despite a normal hepatic evaluation.

求助全文
通过发布文献求助,成功后即可免费获取论文全文。 去求助
来源期刊
CiteScore
1.40
自引率
0.00%
发文量
35
×
引用
GB/T 7714-2015
复制
MLA
复制
APA
复制
导出至
BibTeX EndNote RefMan NoteFirst NoteExpress
×
提示
您的信息不完整,为了账户安全,请先补充。
现在去补充
×
提示
您因"违规操作"
具体请查看互助需知
我知道了
×
提示
确定
请完成安全验证×
copy
已复制链接
快去分享给好友吧!
我知道了
右上角分享
点击右上角分享
0
联系我们:info@booksci.cn Book学术提供免费学术资源搜索服务,方便国内外学者检索中英文文献。致力于提供最便捷和优质的服务体验。 Copyright © 2023 布克学术 All rights reserved.
京ICP备2023020795号-1
ghs 京公网安备 11010802042870号
Book学术文献互助
Book学术文献互助群
群 号:604180095
Book学术官方微信