长期糖尿病的肺栓塞:胰腺癌的提示。

IF 0.6 Q3 MEDICINE, GENERAL & INTERNAL
Anish K Shrestha, Christopher Haas
{"title":"长期糖尿病的肺栓塞:胰腺癌的提示。","authors":"Anish K Shrestha, Christopher Haas","doi":"10.55729/2000-9666.1429","DOIUrl":null,"url":null,"abstract":"<p><p>Pancreatic carcinoma has remained one of the leading causes of cancer-related mortality worldwide. Cancer originating in the head of pancreas is often detected early in the disease due to biliary obstruction resulting in jaundice. In contrast, cancer of the pancreatic body and tail remains indolent, presenting late with significantly increased tumor burden and distant metastasis. Unfortunately, a single laboratory screening study is neither sensitive nor specific for early detection of pancreatic cancer. In this report, we present a patient with longstanding diabetes incidentally detected to have pancreatic tail carcinoma while presenting with pulmonary embolism, emphasizing the need for pancreatic cancer screening studies in population with longstanding diabetes.</p>","PeriodicalId":15460,"journal":{"name":"Journal of Community Hospital Internal Medicine Perspectives","volume":"15 1","pages":"118-122"},"PeriodicalIF":0.6000,"publicationDate":"2025-01-06","publicationTypes":"Journal Article","fieldsOfStudy":null,"isOpenAccess":false,"openAccessPdf":"https://www.ncbi.nlm.nih.gov/pmc/articles/PMC11759090/pdf/","citationCount":"0","resultStr":"{\"title\":\"Pulmonary Embolism in Long Standing Diabetes: A Hint Towards Pancreatic Carcinoma.\",\"authors\":\"Anish K Shrestha, Christopher Haas\",\"doi\":\"10.55729/2000-9666.1429\",\"DOIUrl\":null,\"url\":null,\"abstract\":\"<p><p>Pancreatic carcinoma has remained one of the leading causes of cancer-related mortality worldwide. Cancer originating in the head of pancreas is often detected early in the disease due to biliary obstruction resulting in jaundice. In contrast, cancer of the pancreatic body and tail remains indolent, presenting late with significantly increased tumor burden and distant metastasis. Unfortunately, a single laboratory screening study is neither sensitive nor specific for early detection of pancreatic cancer. In this report, we present a patient with longstanding diabetes incidentally detected to have pancreatic tail carcinoma while presenting with pulmonary embolism, emphasizing the need for pancreatic cancer screening studies in population with longstanding diabetes.</p>\",\"PeriodicalId\":15460,\"journal\":{\"name\":\"Journal of Community Hospital Internal Medicine Perspectives\",\"volume\":\"15 1\",\"pages\":\"118-122\"},\"PeriodicalIF\":0.6000,\"publicationDate\":\"2025-01-06\",\"publicationTypes\":\"Journal Article\",\"fieldsOfStudy\":null,\"isOpenAccess\":false,\"openAccessPdf\":\"https://www.ncbi.nlm.nih.gov/pmc/articles/PMC11759090/pdf/\",\"citationCount\":\"0\",\"resultStr\":null,\"platform\":\"Semanticscholar\",\"paperid\":null,\"PeriodicalName\":\"Journal of Community Hospital Internal Medicine Perspectives\",\"FirstCategoryId\":\"1085\",\"ListUrlMain\":\"https://doi.org/10.55729/2000-9666.1429\",\"RegionNum\":0,\"RegionCategory\":null,\"ArticlePicture\":[],\"TitleCN\":null,\"AbstractTextCN\":null,\"PMCID\":null,\"EPubDate\":\"2025/1/1 0:00:00\",\"PubModel\":\"eCollection\",\"JCR\":\"Q3\",\"JCRName\":\"MEDICINE, GENERAL & INTERNAL\",\"Score\":null,\"Total\":0}","platform":"Semanticscholar","paperid":null,"PeriodicalName":"Journal of Community Hospital Internal Medicine Perspectives","FirstCategoryId":"1085","ListUrlMain":"https://doi.org/10.55729/2000-9666.1429","RegionNum":0,"RegionCategory":null,"ArticlePicture":[],"TitleCN":null,"AbstractTextCN":null,"PMCID":null,"EPubDate":"2025/1/1 0:00:00","PubModel":"eCollection","JCR":"Q3","JCRName":"MEDICINE, GENERAL & INTERNAL","Score":null,"Total":0}
引用次数: 0

摘要

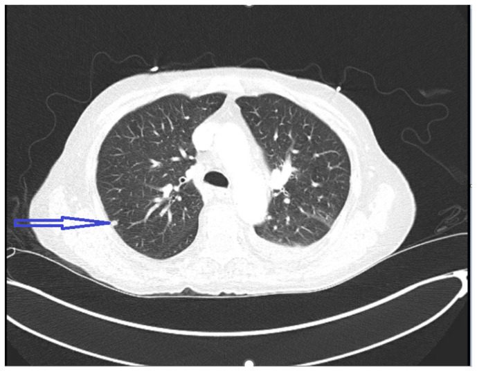
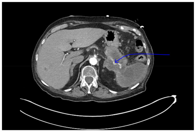
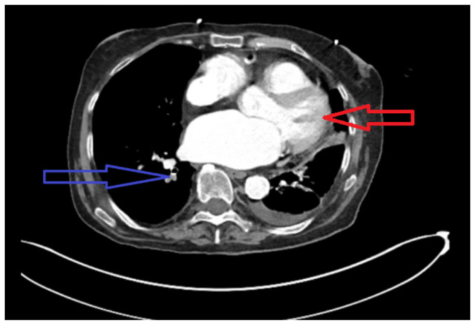
胰腺癌一直是世界范围内癌症相关死亡的主要原因之一。由于胆道阻塞导致黄疸,起源于胰腺头部的癌症通常在疾病早期被发现。相比之下,胰腺体和尾部的癌仍然是惰性的,表现较晚,肿瘤负担明显增加,远处转移。不幸的是,单一的实验室筛查研究对早期发现胰腺癌既不敏感也不特异性。在本报告中,我们报告了一例长期糖尿病患者在出现肺栓塞的同时偶然发现了胰尾癌,强调了在长期糖尿病人群中进行胰腺癌筛查研究的必要性。
本文章由计算机程序翻译,如有差异,请以英文原文为准。

Pulmonary Embolism in Long Standing Diabetes: A Hint Towards Pancreatic Carcinoma.

Pulmonary Embolism in Long Standing Diabetes: A Hint Towards Pancreatic Carcinoma.

Pulmonary Embolism in Long Standing Diabetes: A Hint Towards Pancreatic Carcinoma.

Pulmonary Embolism in Long Standing Diabetes: A Hint Towards Pancreatic Carcinoma.

Pancreatic carcinoma has remained one of the leading causes of cancer-related mortality worldwide. Cancer originating in the head of pancreas is often detected early in the disease due to biliary obstruction resulting in jaundice. In contrast, cancer of the pancreatic body and tail remains indolent, presenting late with significantly increased tumor burden and distant metastasis. Unfortunately, a single laboratory screening study is neither sensitive nor specific for early detection of pancreatic cancer. In this report, we present a patient with longstanding diabetes incidentally detected to have pancreatic tail carcinoma while presenting with pulmonary embolism, emphasizing the need for pancreatic cancer screening studies in population with longstanding diabetes.

求助全文
通过发布文献求助,成功后即可免费获取论文全文。 去求助
来源期刊
自引率
0.00%
发文量
106
审稿时长
17 weeks
期刊介绍: JCHIMP provides: up-to-date information in the field of Internal Medicine to community hospital medical professionals a platform for clinical faculty, residents, and medical students to publish research relevant to community hospital programs. Manuscripts that explore aspects of medicine at community hospitals welcome, including but not limited to: the best practices of community academic programs community hospital-based research opinion and insight from community hospital leadership and faculty the scholarly work of residents and medical students affiliated with community hospitals.
×
引用
GB/T 7714-2015
复制
MLA
复制
APA
复制
导出至
BibTeX EndNote RefMan NoteFirst NoteExpress
×
提示
您的信息不完整,为了账户安全,请先补充。
现在去补充
×
提示
您因"违规操作"
具体请查看互助需知
我知道了
×
提示
确定
请完成安全验证×
copy
已复制链接
快去分享给好友吧!
我知道了
右上角分享
点击右上角分享
0
联系我们:info@booksci.cn Book学术提供免费学术资源搜索服务,方便国内外学者检索中英文文献。致力于提供最便捷和优质的服务体验。 Copyright © 2023 布克学术 All rights reserved.
京ICP备2023020795号-1
ghs 京公网安备 11010802042870号
Book学术文献互助
Book学术文献互助群
群 号:604180095
Book学术官方微信