吸入大量炭黑。

IF 0.6 Q3 MEDICINE, GENERAL & INTERNAL
Arunee Motes, Tushi Singh, Irfan Warraich, Kenneth Nugent
{"title":"吸入大量炭黑。","authors":"Arunee Motes, Tushi Singh, Irfan Warraich, Kenneth Nugent","doi":"10.55729/2000-9666.1434","DOIUrl":null,"url":null,"abstract":"<p><p>Carbon black is the general term for a powdery commercial form of carbon. It can cause adverse health effects after inhalation, ingestion, or dermal contact. Exposure to carbon black particles can have adverse effects on the respiratory system; this exposure usually occurs when people inhale contaminated air in the workplace. Here we report a patient with massive carbon black exposure at work who continues to have productive cough with black material in sputum for over a year after this one-time exposure. This patient worked as a repair man and welder at a carbon black manufacturing facility. He had an intense exposure to carbon black for 4-10 min when equipment in the plant malfunctioned. He developed immediate respiratory symptoms, and these have persisted for at least 1.5 years post exposure with a chronic productive cough with black particles. Cytological analysis of his sputum revealed carbon laden macrophages. A high-resolution computed tomography scan documented patchy alveolar infiltrates at the lung bases with septal thickening. His symptoms have partially improved with empiric treatment with a long-acting beta agonist and inhaled corticosteroids. This case demonstrates that a single one-time exposure to a dense fog of carbon black can result in particle deposition in the lung that persists for prolonged periods of time.</p>","PeriodicalId":15460,"journal":{"name":"Journal of Community Hospital Internal Medicine Perspectives","volume":"15 1","pages":"75-78"},"PeriodicalIF":0.6000,"publicationDate":"2025-01-06","publicationTypes":"Journal Article","fieldsOfStudy":null,"isOpenAccess":false,"openAccessPdf":"https://www.ncbi.nlm.nih.gov/pmc/articles/PMC11759086/pdf/","citationCount":"0","resultStr":"{\"title\":\"Massive Carbon Black Inhalation.\",\"authors\":\"Arunee Motes, Tushi Singh, Irfan Warraich, Kenneth Nugent\",\"doi\":\"10.55729/2000-9666.1434\",\"DOIUrl\":null,\"url\":null,\"abstract\":\"<p><p>Carbon black is the general term for a powdery commercial form of carbon. It can cause adverse health effects after inhalation, ingestion, or dermal contact. Exposure to carbon black particles can have adverse effects on the respiratory system; this exposure usually occurs when people inhale contaminated air in the workplace. Here we report a patient with massive carbon black exposure at work who continues to have productive cough with black material in sputum for over a year after this one-time exposure. This patient worked as a repair man and welder at a carbon black manufacturing facility. He had an intense exposure to carbon black for 4-10 min when equipment in the plant malfunctioned. He developed immediate respiratory symptoms, and these have persisted for at least 1.5 years post exposure with a chronic productive cough with black particles. Cytological analysis of his sputum revealed carbon laden macrophages. A high-resolution computed tomography scan documented patchy alveolar infiltrates at the lung bases with septal thickening. His symptoms have partially improved with empiric treatment with a long-acting beta agonist and inhaled corticosteroids. This case demonstrates that a single one-time exposure to a dense fog of carbon black can result in particle deposition in the lung that persists for prolonged periods of time.</p>\",\"PeriodicalId\":15460,\"journal\":{\"name\":\"Journal of Community Hospital Internal Medicine Perspectives\",\"volume\":\"15 1\",\"pages\":\"75-78\"},\"PeriodicalIF\":0.6000,\"publicationDate\":\"2025-01-06\",\"publicationTypes\":\"Journal Article\",\"fieldsOfStudy\":null,\"isOpenAccess\":false,\"openAccessPdf\":\"https://www.ncbi.nlm.nih.gov/pmc/articles/PMC11759086/pdf/\",\"citationCount\":\"0\",\"resultStr\":null,\"platform\":\"Semanticscholar\",\"paperid\":null,\"PeriodicalName\":\"Journal of Community Hospital Internal Medicine Perspectives\",\"FirstCategoryId\":\"1085\",\"ListUrlMain\":\"https://doi.org/10.55729/2000-9666.1434\",\"RegionNum\":0,\"RegionCategory\":null,\"ArticlePicture\":[],\"TitleCN\":null,\"AbstractTextCN\":null,\"PMCID\":null,\"EPubDate\":\"2025/1/1 0:00:00\",\"PubModel\":\"eCollection\",\"JCR\":\"Q3\",\"JCRName\":\"MEDICINE, GENERAL & INTERNAL\",\"Score\":null,\"Total\":0}","platform":"Semanticscholar","paperid":null,"PeriodicalName":"Journal of Community Hospital Internal Medicine Perspectives","FirstCategoryId":"1085","ListUrlMain":"https://doi.org/10.55729/2000-9666.1434","RegionNum":0,"RegionCategory":null,"ArticlePicture":[],"TitleCN":null,"AbstractTextCN":null,"PMCID":null,"EPubDate":"2025/1/1 0:00:00","PubModel":"eCollection","JCR":"Q3","JCRName":"MEDICINE, GENERAL & INTERNAL","Score":null,"Total":0}
引用次数: 0

摘要

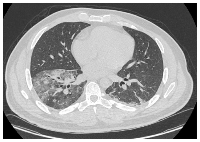
炭黑是一种粉状商业形式的碳的总称。吸入、摄入或皮肤接触后可对健康造成不良影响。接触炭黑颗粒会对呼吸系统产生不良影响;这种接触通常发生在人们在工作场所吸入被污染的空气时。在这里,我们报告了一个在工作中大量接触炭黑的病人,在这一次接触后,他的痰中有黑色物质持续咳了一年多。该患者在一家炭黑制造工厂担任修理工和焊工。当工厂的设备发生故障时,他在炭黑中暴露了4-10分钟。他立即出现呼吸道症状,这些症状在接触后持续至少1.5年,伴有带黑色颗粒的慢性生产性咳嗽。痰液细胞学分析显示含碳巨噬细胞。高分辨率计算机断层扫描显示肺底斑片状肺泡浸润伴间隔增厚。经经验性治疗,使用长效受体激动剂和吸入皮质类固醇,他的症状得到部分改善。本病例表明,一次暴露于炭黑浓雾中可导致肺部颗粒沉积,并持续很长一段时间。
本文章由计算机程序翻译,如有差异,请以英文原文为准。

Massive Carbon Black Inhalation.

Massive Carbon Black Inhalation.

Massive Carbon Black Inhalation.

Massive Carbon Black Inhalation.

Carbon black is the general term for a powdery commercial form of carbon. It can cause adverse health effects after inhalation, ingestion, or dermal contact. Exposure to carbon black particles can have adverse effects on the respiratory system; this exposure usually occurs when people inhale contaminated air in the workplace. Here we report a patient with massive carbon black exposure at work who continues to have productive cough with black material in sputum for over a year after this one-time exposure. This patient worked as a repair man and welder at a carbon black manufacturing facility. He had an intense exposure to carbon black for 4-10 min when equipment in the plant malfunctioned. He developed immediate respiratory symptoms, and these have persisted for at least 1.5 years post exposure with a chronic productive cough with black particles. Cytological analysis of his sputum revealed carbon laden macrophages. A high-resolution computed tomography scan documented patchy alveolar infiltrates at the lung bases with septal thickening. His symptoms have partially improved with empiric treatment with a long-acting beta agonist and inhaled corticosteroids. This case demonstrates that a single one-time exposure to a dense fog of carbon black can result in particle deposition in the lung that persists for prolonged periods of time.

求助全文
通过发布文献求助,成功后即可免费获取论文全文。 去求助
来源期刊
自引率
0.00%
发文量
106
审稿时长
17 weeks
期刊介绍: JCHIMP provides: up-to-date information in the field of Internal Medicine to community hospital medical professionals a platform for clinical faculty, residents, and medical students to publish research relevant to community hospital programs. Manuscripts that explore aspects of medicine at community hospitals welcome, including but not limited to: the best practices of community academic programs community hospital-based research opinion and insight from community hospital leadership and faculty the scholarly work of residents and medical students affiliated with community hospitals.
×
引用
GB/T 7714-2015
复制
MLA
复制
APA
复制
导出至
BibTeX EndNote RefMan NoteFirst NoteExpress
×
提示
您的信息不完整,为了账户安全,请先补充。
现在去补充
×
提示
您因"违规操作"
具体请查看互助需知
我知道了
×
提示
确定
请完成安全验证×
copy
已复制链接
快去分享给好友吧!
我知道了
右上角分享
点击右上角分享
0
联系我们:info@booksci.cn Book学术提供免费学术资源搜索服务,方便国内外学者检索中英文文献。致力于提供最便捷和优质的服务体验。 Copyright © 2023 布克学术 All rights reserved.
京ICP备2023020795号-1
ghs 京公网安备 11010802042870号
Book学术文献互助
Book学术文献互助群
群 号:604180095
Book学术官方微信