阿达木单抗治疗化脓性汗腺炎边缘带淋巴瘤1例。

IF 0.6 Q3 MEDICINE, GENERAL & INTERNAL
Anish K Shrestha, Rojina Pokherel, Greeshma N Gaddipati, Pankti S Desai
{"title":"阿达木单抗治疗化脓性汗腺炎边缘带淋巴瘤1例。","authors":"Anish K Shrestha, Rojina Pokherel, Greeshma N Gaddipati, Pankti S Desai","doi":"10.55729/2000-9666.1444","DOIUrl":null,"url":null,"abstract":"<p><p>Marginal zone lymphoma has seldom been described in relation to adalimumab used for treatment of hidradenitis suppurativa. Although studies have shown an increased risk of lymphoma with adalimumab, most of these studies were done in patients with underlying inflammatory bowel disease or rheumatoid arthritis where the disease itself presents as a confounder for lymphoma. Our case described adds to the role of chronic anti-TNF alpha therapy as a possible etiology of lymphoma.</p>","PeriodicalId":15460,"journal":{"name":"Journal of Community Hospital Internal Medicine Perspectives","volume":"15 1","pages":"58-62"},"PeriodicalIF":0.6000,"publicationDate":"2025-01-06","publicationTypes":"Journal Article","fieldsOfStudy":null,"isOpenAccess":false,"openAccessPdf":"https://www.ncbi.nlm.nih.gov/pmc/articles/PMC11759067/pdf/","citationCount":"0","resultStr":"{\"title\":\"Marginal Zone Lymphoma in a Case of Hidradenitis Suppurativa Treated With Adalimumab Therapy.\",\"authors\":\"Anish K Shrestha, Rojina Pokherel, Greeshma N Gaddipati, Pankti S Desai\",\"doi\":\"10.55729/2000-9666.1444\",\"DOIUrl\":null,\"url\":null,\"abstract\":\"<p><p>Marginal zone lymphoma has seldom been described in relation to adalimumab used for treatment of hidradenitis suppurativa. Although studies have shown an increased risk of lymphoma with adalimumab, most of these studies were done in patients with underlying inflammatory bowel disease or rheumatoid arthritis where the disease itself presents as a confounder for lymphoma. Our case described adds to the role of chronic anti-TNF alpha therapy as a possible etiology of lymphoma.</p>\",\"PeriodicalId\":15460,\"journal\":{\"name\":\"Journal of Community Hospital Internal Medicine Perspectives\",\"volume\":\"15 1\",\"pages\":\"58-62\"},\"PeriodicalIF\":0.6000,\"publicationDate\":\"2025-01-06\",\"publicationTypes\":\"Journal Article\",\"fieldsOfStudy\":null,\"isOpenAccess\":false,\"openAccessPdf\":\"https://www.ncbi.nlm.nih.gov/pmc/articles/PMC11759067/pdf/\",\"citationCount\":\"0\",\"resultStr\":null,\"platform\":\"Semanticscholar\",\"paperid\":null,\"PeriodicalName\":\"Journal of Community Hospital Internal Medicine Perspectives\",\"FirstCategoryId\":\"1085\",\"ListUrlMain\":\"https://doi.org/10.55729/2000-9666.1444\",\"RegionNum\":0,\"RegionCategory\":null,\"ArticlePicture\":[],\"TitleCN\":null,\"AbstractTextCN\":null,\"PMCID\":null,\"EPubDate\":\"2025/1/1 0:00:00\",\"PubModel\":\"eCollection\",\"JCR\":\"Q3\",\"JCRName\":\"MEDICINE, GENERAL & INTERNAL\",\"Score\":null,\"Total\":0}","platform":"Semanticscholar","paperid":null,"PeriodicalName":"Journal of Community Hospital Internal Medicine Perspectives","FirstCategoryId":"1085","ListUrlMain":"https://doi.org/10.55729/2000-9666.1444","RegionNum":0,"RegionCategory":null,"ArticlePicture":[],"TitleCN":null,"AbstractTextCN":null,"PMCID":null,"EPubDate":"2025/1/1 0:00:00","PubModel":"eCollection","JCR":"Q3","JCRName":"MEDICINE, GENERAL & INTERNAL","Score":null,"Total":0}
引用次数: 0

摘要

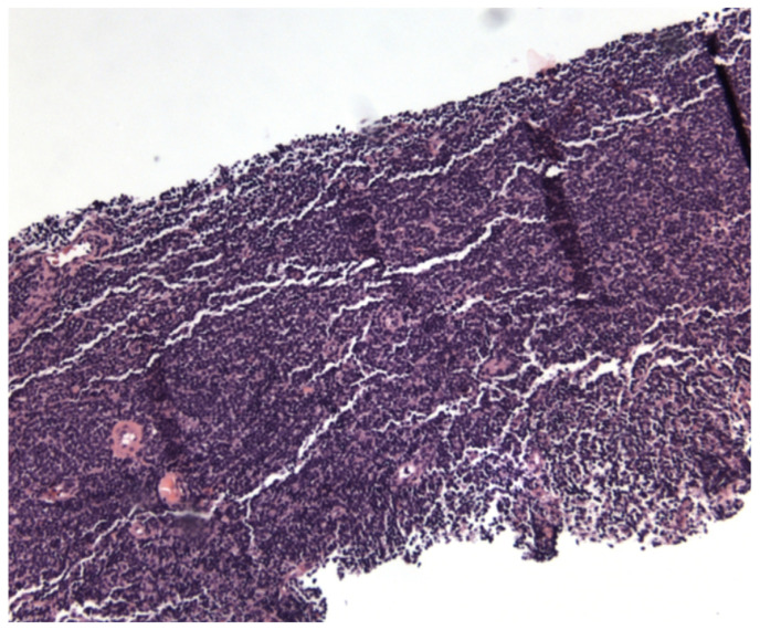
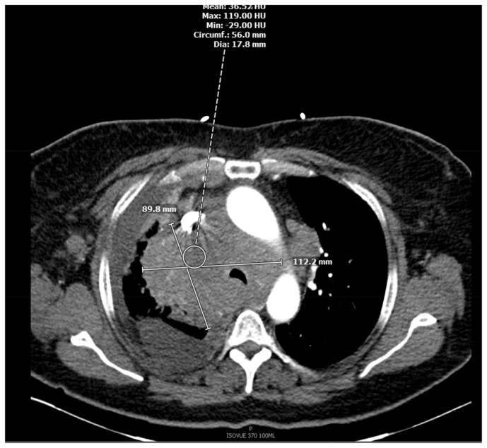
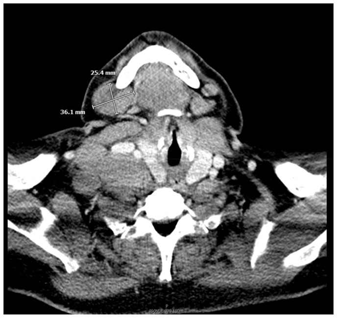
边缘带淋巴瘤很少与阿达木单抗用于治疗化脓性汗腺炎有关。虽然研究表明阿达木单抗增加了淋巴瘤的风险,但这些研究大多是在患有潜在炎症性肠病或类风湿关节炎的患者中进行的,这些患者的疾病本身是淋巴瘤的混杂因素。我们的病例描述增加了慢性抗tnf α治疗作为淋巴瘤的可能病因的作用。
本文章由计算机程序翻译,如有差异,请以英文原文为准。

Marginal Zone Lymphoma in a Case of Hidradenitis Suppurativa Treated With Adalimumab Therapy.

Marginal Zone Lymphoma in a Case of Hidradenitis Suppurativa Treated With Adalimumab Therapy.

Marginal Zone Lymphoma in a Case of Hidradenitis Suppurativa Treated With Adalimumab Therapy.

Marginal Zone Lymphoma in a Case of Hidradenitis Suppurativa Treated With Adalimumab Therapy.

Marginal zone lymphoma has seldom been described in relation to adalimumab used for treatment of hidradenitis suppurativa. Although studies have shown an increased risk of lymphoma with adalimumab, most of these studies were done in patients with underlying inflammatory bowel disease or rheumatoid arthritis where the disease itself presents as a confounder for lymphoma. Our case described adds to the role of chronic anti-TNF alpha therapy as a possible etiology of lymphoma.

求助全文
通过发布文献求助,成功后即可免费获取论文全文。 去求助
来源期刊
自引率
0.00%
发文量
106
审稿时长
17 weeks
期刊介绍: JCHIMP provides: up-to-date information in the field of Internal Medicine to community hospital medical professionals a platform for clinical faculty, residents, and medical students to publish research relevant to community hospital programs. Manuscripts that explore aspects of medicine at community hospitals welcome, including but not limited to: the best practices of community academic programs community hospital-based research opinion and insight from community hospital leadership and faculty the scholarly work of residents and medical students affiliated with community hospitals.
×
引用
GB/T 7714-2015
复制
MLA
复制
APA
复制
导出至
BibTeX EndNote RefMan NoteFirst NoteExpress
×
提示
您的信息不完整,为了账户安全,请先补充。
现在去补充
×
提示
您因"违规操作"
具体请查看互助需知
我知道了
×
提示
确定
请完成安全验证×
copy
已复制链接
快去分享给好友吧!
我知道了
右上角分享
点击右上角分享
0
联系我们:info@booksci.cn Book学术提供免费学术资源搜索服务,方便国内外学者检索中英文文献。致力于提供最便捷和优质的服务体验。 Copyright © 2023 布克学术 All rights reserved.
京ICP备2023020795号-1
ghs 京公网安备 11010802042870号
Book学术文献互助
Book学术文献互助群
群 号:604180095
Book学术官方微信