双门静脉内窥镜减压、常规椎板次全切除术和微创经椎间孔腰椎椎体间融合术治疗腰椎中枢性狭窄的比较结果。

IF 3.6 2区 医学 Q1 CLINICAL NEUROLOGY
Neurospine Pub Date : 2024-12-01 Epub Date: 2024-12-31 DOI:10.14245/ns.2448830.415
Mu Ha Lee, Hyun Jun Jang, Bong Ju Moon, Kyung Hyun Kim, Dong Kyu Chin, Keun Su Kim, Jeong-Yoon Park
{"title":"双门静脉内窥镜减压、常规椎板次全切除术和微创经椎间孔腰椎椎体间融合术治疗腰椎中枢性狭窄的比较结果。","authors":"Mu Ha Lee, Hyun Jun Jang, Bong Ju Moon, Kyung Hyun Kim, Dong Kyu Chin, Keun Su Kim, Jeong-Yoon Park","doi":"10.14245/ns.2448830.415","DOIUrl":null,"url":null,"abstract":"<p><strong>Objective: </strong>Spinal stenosis is a prevalent condition; however, the optimal surgical treatment for central lumbar stenosis remains controversial. This study compared the clinical outcomes and radiological parameters of 3 surgical.</p><p><strong>Methods: </strong>unilateral laminectomy bilateral decompression with unilateral biportal endoscopy (ULBD-UBE), conventional subtotal laminectomy (STL), and minimally invasive transforaminal lumbar interbody fusion (MIS-TLIF).</p><p><strong>Methods: </strong>This retrospective study included 86 patients, divided into ULBD-UBE (n=34), STL (n=24), and MIS-TLIF (n=28) groups. We evaluated demographics and perioperative factors and assessed clinical outcomes using the visual analogue scale (VAS), Oswestry Disability Index (ODI), and neurogenic intermittent claudication (NIC). Radiological parameters assessed included lumbar lordosis, L4S1 Cobb angle (L4S1), T12S1 Cobb angle (T12S1), increased cross-sectional dural area (CSA), dynamic angulation (DA), dynamic slip (DS), and development of postoperative instability.</p><p><strong>Results: </strong>The ULBD-UBE group showed a significantly shorter hospital stay duration and operation time and reduced blood loss than the other groups (p<0.001). ULBD-UBE group showed a trend towards greater VAS and ODI improvement at 1 month and postoperative NIC symptom relief. Radiologically, MIS-TLIF group exhibited lower postoperative DA and DS (p<0.001), indicating higher postoperative stability. Postoperative instability was lower in the ULBD-UBE group (2.9%) than in the STL group (16.7%) and similar to the MIS-TLIF group (0.0%) (p=0.028). The CSA was highest in the MIS-TLIF group (295.5%) compared to that in the other groups (ULBD-UBE, 216.3%; STL, 245.2%) (p<0.001).</p><p><strong>Conclusion: </strong>Compared to other procedures, ULBD-UBE is a safe, effective, and viable surgical procedure for treating lumbar central stenosis.</p>","PeriodicalId":19269,"journal":{"name":"Neurospine","volume":"21 4","pages":"1178-1189"},"PeriodicalIF":3.6000,"publicationDate":"2024-12-01","publicationTypes":"Journal Article","fieldsOfStudy":null,"isOpenAccess":false,"openAccessPdf":"https://www.ncbi.nlm.nih.gov/pmc/articles/PMC11744548/pdf/","citationCount":"0","resultStr":"{\"title\":\"Comparative Outcomes of Biportal Endoscopic Decompression, Conventional Subtotal Laminectomy, and Minimally Invasive Transforaminal Lumbar Interbody Fusion for Lumbar Central Stenosis.\",\"authors\":\"Mu Ha Lee, Hyun Jun Jang, Bong Ju Moon, Kyung Hyun Kim, Dong Kyu Chin, Keun Su Kim, Jeong-Yoon Park\",\"doi\":\"10.14245/ns.2448830.415\",\"DOIUrl\":null,\"url\":null,\"abstract\":\"<p><strong>Objective: </strong>Spinal stenosis is a prevalent condition; however, the optimal surgical treatment for central lumbar stenosis remains controversial. This study compared the clinical outcomes and radiological parameters of 3 surgical.</p><p><strong>Methods: </strong>unilateral laminectomy bilateral decompression with unilateral biportal endoscopy (ULBD-UBE), conventional subtotal laminectomy (STL), and minimally invasive transforaminal lumbar interbody fusion (MIS-TLIF).</p><p><strong>Methods: </strong>This retrospective study included 86 patients, divided into ULBD-UBE (n=34), STL (n=24), and MIS-TLIF (n=28) groups. We evaluated demographics and perioperative factors and assessed clinical outcomes using the visual analogue scale (VAS), Oswestry Disability Index (ODI), and neurogenic intermittent claudication (NIC). Radiological parameters assessed included lumbar lordosis, L4S1 Cobb angle (L4S1), T12S1 Cobb angle (T12S1), increased cross-sectional dural area (CSA), dynamic angulation (DA), dynamic slip (DS), and development of postoperative instability.</p><p><strong>Results: </strong>The ULBD-UBE group showed a significantly shorter hospital stay duration and operation time and reduced blood loss than the other groups (p<0.001). ULBD-UBE group showed a trend towards greater VAS and ODI improvement at 1 month and postoperative NIC symptom relief. Radiologically, MIS-TLIF group exhibited lower postoperative DA and DS (p<0.001), indicating higher postoperative stability. Postoperative instability was lower in the ULBD-UBE group (2.9%) than in the STL group (16.7%) and similar to the MIS-TLIF group (0.0%) (p=0.028). The CSA was highest in the MIS-TLIF group (295.5%) compared to that in the other groups (ULBD-UBE, 216.3%; STL, 245.2%) (p<0.001).</p><p><strong>Conclusion: </strong>Compared to other procedures, ULBD-UBE is a safe, effective, and viable surgical procedure for treating lumbar central stenosis.</p>\",\"PeriodicalId\":19269,\"journal\":{\"name\":\"Neurospine\",\"volume\":\"21 4\",\"pages\":\"1178-1189\"},\"PeriodicalIF\":3.6000,\"publicationDate\":\"2024-12-01\",\"publicationTypes\":\"Journal Article\",\"fieldsOfStudy\":null,\"isOpenAccess\":false,\"openAccessPdf\":\"https://www.ncbi.nlm.nih.gov/pmc/articles/PMC11744548/pdf/\",\"citationCount\":\"0\",\"resultStr\":null,\"platform\":\"Semanticscholar\",\"paperid\":null,\"PeriodicalName\":\"Neurospine\",\"FirstCategoryId\":\"3\",\"ListUrlMain\":\"https://doi.org/10.14245/ns.2448830.415\",\"RegionNum\":2,\"RegionCategory\":\"医学\",\"ArticlePicture\":[],\"TitleCN\":null,\"AbstractTextCN\":null,\"PMCID\":null,\"EPubDate\":\"2024/12/31 0:00:00\",\"PubModel\":\"Epub\",\"JCR\":\"Q1\",\"JCRName\":\"CLINICAL NEUROLOGY\",\"Score\":null,\"Total\":0}","platform":"Semanticscholar","paperid":null,"PeriodicalName":"Neurospine","FirstCategoryId":"3","ListUrlMain":"https://doi.org/10.14245/ns.2448830.415","RegionNum":2,"RegionCategory":"医学","ArticlePicture":[],"TitleCN":null,"AbstractTextCN":null,"PMCID":null,"EPubDate":"2024/12/31 0:00:00","PubModel":"Epub","JCR":"Q1","JCRName":"CLINICAL NEUROLOGY","Score":null,"Total":0}
引用次数: 0

摘要

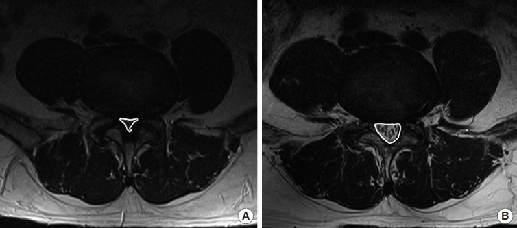
目的:椎管狭窄是一种常见的疾病;然而,对于中央腰椎管狭窄的最佳手术治疗仍然存在争议。本研究比较了3例外科手术的临床结果和影像学参数。方法:单侧椎板切除术,双侧双门静脉内镜减压(ULBD-UBE),常规椎板次全切除术(STL),微创经椎间孔腰椎体间融合术(MIS-TLIF)。方法回顾性研究86例患者,分为ULBD-UBE组(n=34)、STL组(n=24)和MIS-TLIF组(n=28)。我们评估了人口统计学和围手术期因素,并使用视觉模拟量表(VAS)、Oswestry残疾指数(ODI)和神经源性间歇性跛行(NIC)评估了临床结果。评估的影像学参数包括腰椎前凸、L4S1 Cobb角(L4S1)、T12S1 Cobb角(T12S1)、横断硬脑膜面积(CSA)增加、动态成角(DA)、动态滑移(DS)和术后不稳定的发展。结果:与其他术式相比,ULBD-UBE组的住院时间和手术时间明显缩短,出血量明显减少(p结论:与其他术式相比,ULBD-UBE是一种安全、有效、可行的治疗腰椎中央狭窄的术式。
本文章由计算机程序翻译,如有差异,请以英文原文为准。

Comparative Outcomes of Biportal Endoscopic Decompression, Conventional Subtotal Laminectomy, and Minimally Invasive Transforaminal Lumbar Interbody Fusion for Lumbar Central Stenosis.

Comparative Outcomes of Biportal Endoscopic Decompression, Conventional Subtotal Laminectomy, and Minimally Invasive Transforaminal Lumbar Interbody Fusion for Lumbar Central Stenosis.

Comparative Outcomes of Biportal Endoscopic Decompression, Conventional Subtotal Laminectomy, and Minimally Invasive Transforaminal Lumbar Interbody Fusion for Lumbar Central Stenosis.

Comparative Outcomes of Biportal Endoscopic Decompression, Conventional Subtotal Laminectomy, and Minimally Invasive Transforaminal Lumbar Interbody Fusion for Lumbar Central Stenosis.

Objective: Spinal stenosis is a prevalent condition; however, the optimal surgical treatment for central lumbar stenosis remains controversial. This study compared the clinical outcomes and radiological parameters of 3 surgical.

Methods: unilateral laminectomy bilateral decompression with unilateral biportal endoscopy (ULBD-UBE), conventional subtotal laminectomy (STL), and minimally invasive transforaminal lumbar interbody fusion (MIS-TLIF).

Methods: This retrospective study included 86 patients, divided into ULBD-UBE (n=34), STL (n=24), and MIS-TLIF (n=28) groups. We evaluated demographics and perioperative factors and assessed clinical outcomes using the visual analogue scale (VAS), Oswestry Disability Index (ODI), and neurogenic intermittent claudication (NIC). Radiological parameters assessed included lumbar lordosis, L4S1 Cobb angle (L4S1), T12S1 Cobb angle (T12S1), increased cross-sectional dural area (CSA), dynamic angulation (DA), dynamic slip (DS), and development of postoperative instability.

Results: The ULBD-UBE group showed a significantly shorter hospital stay duration and operation time and reduced blood loss than the other groups (p<0.001). ULBD-UBE group showed a trend towards greater VAS and ODI improvement at 1 month and postoperative NIC symptom relief. Radiologically, MIS-TLIF group exhibited lower postoperative DA and DS (p<0.001), indicating higher postoperative stability. Postoperative instability was lower in the ULBD-UBE group (2.9%) than in the STL group (16.7%) and similar to the MIS-TLIF group (0.0%) (p=0.028). The CSA was highest in the MIS-TLIF group (295.5%) compared to that in the other groups (ULBD-UBE, 216.3%; STL, 245.2%) (p<0.001).

Conclusion: Compared to other procedures, ULBD-UBE is a safe, effective, and viable surgical procedure for treating lumbar central stenosis.

求助全文
通过发布文献求助,成功后即可免费获取论文全文。 去求助
来源期刊
Neurospine
Neurospine Multiple-
CiteScore
5.80
自引率
18.80%
发文量
93
审稿时长
10 weeks
×
引用
GB/T 7714-2015
复制
MLA
复制
APA
复制
导出至
BibTeX EndNote RefMan NoteFirst NoteExpress
×
提示
您的信息不完整,为了账户安全,请先补充。
现在去补充
×
提示
您因"违规操作"
具体请查看互助需知
我知道了
×
提示
确定
请完成安全验证×
copy
已复制链接
快去分享给好友吧!
我知道了
右上角分享
点击右上角分享
0
联系我们:info@booksci.cn Book学术提供免费学术资源搜索服务,方便国内外学者检索中英文文献。致力于提供最便捷和优质的服务体验。 Copyright © 2023 布克学术 All rights reserved.
京ICP备2023020795号-1
ghs 京公网安备 11010802042870号
Book学术文献互助
Book学术文献互助群
群 号:604180095
Book学术官方微信