预测开放式颈椎板成形术后的颈部功能障碍——一项前瞻性队列患者报告的结果测量研究。

IF 3.6 2区 医学 Q1 CLINICAL NEUROLOGY
Neurospine Pub Date : 2024-12-01 Epub Date: 2024-12-31 DOI:10.14245/ns.2448620.310
Chiu-Hao Hsu, Wei-Wei Chen, Meng-Yin Ho, Chin-Chieh Wu, Dar-Ming Lai
{"title":"预测开放式颈椎板成形术后的颈部功能障碍——一项前瞻性队列患者报告的结果测量研究。","authors":"Chiu-Hao Hsu, Wei-Wei Chen, Meng-Yin Ho, Chin-Chieh Wu, Dar-Ming Lai","doi":"10.14245/ns.2448620.310","DOIUrl":null,"url":null,"abstract":"<p><strong>Objective: </strong>To analyze the predictive factors for neck pain and cervical spine function after laminoplasty for degenerative cervical myelopathy (DCM) using K-means for longitudinal data (KML).</p><p><strong>Methods: </strong>In this prospective cohort study, we collected clinical and radiographic data from patients with DCM who underwent cervical laminoplasty. A novel index of surgical outcome, \"neck function,\" which comprises neck pain and cervical spine function according to the Japanese Orthopedic Association Cervical Myelopathy Evaluation Questionnaire, was proposed. We treated surgical outcomes as longitudinal rather than cross-sectional data and used KML for analysis. Patients were categorized as having good or poor outcomes based on the KML graph of neck pain and cervical spine function.</p><p><strong>Results: </strong>From 2016 to 2020, 104 patients underwent laminoplasty for DCM; however, 35 patients were excluded because of loss to follow-up or incomplete data. The authors found that central canal stenosis (odds ratio [OR], 17.93; 95% confidence interval [CI], 1.26-254.73; p=0.03) and preoperative neck pain (OR per 1 point increase=1.49; 95% CI, 1.12-1.99; p=0.006) were 2 negative predictive factors and that a positive K-line during flexion was a positive predictive factor (OR, 0.11; 95% CI, 0.01-0.87; p=0.036) for neck function after laminoplasty.</p><p><strong>Conclusion: </strong>Central canal stenosis, preoperative neck pain and a K-line during flexion were found to be predictive of postoperative neck pain and cervical spine function after laminoplasty. To achieve better surgical outcomes for neck function, the authors suggest the utilization of these determinants as a guiding framework for the selection of surgical approaches for DCM.</p>","PeriodicalId":19269,"journal":{"name":"Neurospine","volume":"21 4","pages":"1053-1065"},"PeriodicalIF":3.6000,"publicationDate":"2024-12-01","publicationTypes":"Journal Article","fieldsOfStudy":null,"isOpenAccess":false,"openAccessPdf":"https://www.ncbi.nlm.nih.gov/pmc/articles/PMC11744542/pdf/","citationCount":"0","resultStr":"{\"title\":\"Predicting Neck Dysfunction After Open-Door Cervical Laminoplasty - A Prospective Cohort Patient-Reported Outcome Measurement Study.\",\"authors\":\"Chiu-Hao Hsu, Wei-Wei Chen, Meng-Yin Ho, Chin-Chieh Wu, Dar-Ming Lai\",\"doi\":\"10.14245/ns.2448620.310\",\"DOIUrl\":null,\"url\":null,\"abstract\":\"<p><strong>Objective: </strong>To analyze the predictive factors for neck pain and cervical spine function after laminoplasty for degenerative cervical myelopathy (DCM) using K-means for longitudinal data (KML).</p><p><strong>Methods: </strong>In this prospective cohort study, we collected clinical and radiographic data from patients with DCM who underwent cervical laminoplasty. A novel index of surgical outcome, \\\"neck function,\\\" which comprises neck pain and cervical spine function according to the Japanese Orthopedic Association Cervical Myelopathy Evaluation Questionnaire, was proposed. We treated surgical outcomes as longitudinal rather than cross-sectional data and used KML for analysis. Patients were categorized as having good or poor outcomes based on the KML graph of neck pain and cervical spine function.</p><p><strong>Results: </strong>From 2016 to 2020, 104 patients underwent laminoplasty for DCM; however, 35 patients were excluded because of loss to follow-up or incomplete data. The authors found that central canal stenosis (odds ratio [OR], 17.93; 95% confidence interval [CI], 1.26-254.73; p=0.03) and preoperative neck pain (OR per 1 point increase=1.49; 95% CI, 1.12-1.99; p=0.006) were 2 negative predictive factors and that a positive K-line during flexion was a positive predictive factor (OR, 0.11; 95% CI, 0.01-0.87; p=0.036) for neck function after laminoplasty.</p><p><strong>Conclusion: </strong>Central canal stenosis, preoperative neck pain and a K-line during flexion were found to be predictive of postoperative neck pain and cervical spine function after laminoplasty. To achieve better surgical outcomes for neck function, the authors suggest the utilization of these determinants as a guiding framework for the selection of surgical approaches for DCM.</p>\",\"PeriodicalId\":19269,\"journal\":{\"name\":\"Neurospine\",\"volume\":\"21 4\",\"pages\":\"1053-1065\"},\"PeriodicalIF\":3.6000,\"publicationDate\":\"2024-12-01\",\"publicationTypes\":\"Journal Article\",\"fieldsOfStudy\":null,\"isOpenAccess\":false,\"openAccessPdf\":\"https://www.ncbi.nlm.nih.gov/pmc/articles/PMC11744542/pdf/\",\"citationCount\":\"0\",\"resultStr\":null,\"platform\":\"Semanticscholar\",\"paperid\":null,\"PeriodicalName\":\"Neurospine\",\"FirstCategoryId\":\"3\",\"ListUrlMain\":\"https://doi.org/10.14245/ns.2448620.310\",\"RegionNum\":2,\"RegionCategory\":\"医学\",\"ArticlePicture\":[],\"TitleCN\":null,\"AbstractTextCN\":null,\"PMCID\":null,\"EPubDate\":\"2024/12/31 0:00:00\",\"PubModel\":\"Epub\",\"JCR\":\"Q1\",\"JCRName\":\"CLINICAL NEUROLOGY\",\"Score\":null,\"Total\":0}","platform":"Semanticscholar","paperid":null,"PeriodicalName":"Neurospine","FirstCategoryId":"3","ListUrlMain":"https://doi.org/10.14245/ns.2448620.310","RegionNum":2,"RegionCategory":"医学","ArticlePicture":[],"TitleCN":null,"AbstractTextCN":null,"PMCID":null,"EPubDate":"2024/12/31 0:00:00","PubModel":"Epub","JCR":"Q1","JCRName":"CLINICAL NEUROLOGY","Score":null,"Total":0}
引用次数: 0

摘要

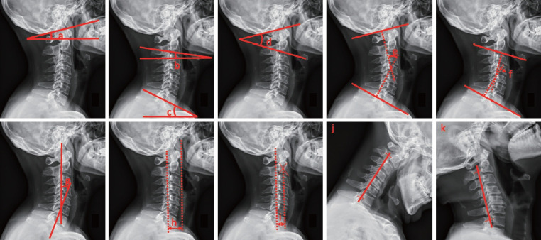
目的:应用纵向数据k均值(K-means for longitudinal, KML)分析退行性颈椎病(DCM)椎板成形术后颈部疼痛和颈椎功能的预测因素。方法:在这项前瞻性队列研究中,我们收集了行颈椎椎板成形术的DCM患者的临床和影像学资料。根据日本骨科协会颈椎病评估问卷,提出了一种新的手术结果指标“颈部功能”,包括颈部疼痛和颈椎功能。我们将手术结果视为纵向而非横断面数据,并使用KML进行分析。根据颈部疼痛和颈椎功能的KML图,将患者分为预后好或预后差。结果:2016 - 2020年,104例患者行椎板成形术治疗DCM;然而,35例患者因随访缺失或数据不完整而被排除。作者发现,中央管狭窄(优势比[OR], 17.93;95%置信区间[CI], 1.26-254.73;p=0.03)和术前颈部疼痛(OR每增加1点=1.49;95% ci, 1.12-1.99;p=0.006)为2个阴性预测因素,屈曲时k线阳性为阳性预测因素(OR, 0.11;95% ci, 0.01-0.87;P =0.036)对椎板成形术后颈部功能的影响。结论:椎管中央管狭窄、术前颈部疼痛和屈曲时的k线可预测椎板成形术后颈部疼痛和颈椎功能。为了获得更好的颈部功能手术结果,作者建议利用这些决定因素作为DCM手术入路选择的指导框架。
本文章由计算机程序翻译,如有差异,请以英文原文为准。

Predicting Neck Dysfunction After Open-Door Cervical Laminoplasty - A Prospective Cohort Patient-Reported Outcome Measurement Study.

Predicting Neck Dysfunction After Open-Door Cervical Laminoplasty - A Prospective Cohort Patient-Reported Outcome Measurement Study.

Predicting Neck Dysfunction After Open-Door Cervical Laminoplasty - A Prospective Cohort Patient-Reported Outcome Measurement Study.

Predicting Neck Dysfunction After Open-Door Cervical Laminoplasty - A Prospective Cohort Patient-Reported Outcome Measurement Study.

Objective: To analyze the predictive factors for neck pain and cervical spine function after laminoplasty for degenerative cervical myelopathy (DCM) using K-means for longitudinal data (KML).

Methods: In this prospective cohort study, we collected clinical and radiographic data from patients with DCM who underwent cervical laminoplasty. A novel index of surgical outcome, "neck function," which comprises neck pain and cervical spine function according to the Japanese Orthopedic Association Cervical Myelopathy Evaluation Questionnaire, was proposed. We treated surgical outcomes as longitudinal rather than cross-sectional data and used KML for analysis. Patients were categorized as having good or poor outcomes based on the KML graph of neck pain and cervical spine function.

Results: From 2016 to 2020, 104 patients underwent laminoplasty for DCM; however, 35 patients were excluded because of loss to follow-up or incomplete data. The authors found that central canal stenosis (odds ratio [OR], 17.93; 95% confidence interval [CI], 1.26-254.73; p=0.03) and preoperative neck pain (OR per 1 point increase=1.49; 95% CI, 1.12-1.99; p=0.006) were 2 negative predictive factors and that a positive K-line during flexion was a positive predictive factor (OR, 0.11; 95% CI, 0.01-0.87; p=0.036) for neck function after laminoplasty.

Conclusion: Central canal stenosis, preoperative neck pain and a K-line during flexion were found to be predictive of postoperative neck pain and cervical spine function after laminoplasty. To achieve better surgical outcomes for neck function, the authors suggest the utilization of these determinants as a guiding framework for the selection of surgical approaches for DCM.

求助全文
通过发布文献求助,成功后即可免费获取论文全文。 去求助
来源期刊
Neurospine
Neurospine Multiple-
CiteScore
5.80
自引率
18.80%
发文量
93
审稿时长
10 weeks
×
引用
GB/T 7714-2015
复制
MLA
复制
APA
复制
导出至
BibTeX EndNote RefMan NoteFirst NoteExpress
×
提示
您的信息不完整,为了账户安全,请先补充。
现在去补充
×
提示
您因"违规操作"
具体请查看互助需知
我知道了
×
提示
确定
请完成安全验证×
copy
已复制链接
快去分享给好友吧!
我知道了
右上角分享
点击右上角分享
0
联系我们:info@booksci.cn Book学术提供免费学术资源搜索服务,方便国内外学者检索中英文文献。致力于提供最便捷和优质的服务体验。 Copyright © 2023 布克学术 All rights reserved.
京ICP备2023020795号-1
ghs 京公网安备 11010802042870号
Book学术文献互助
Book学术文献互助群
群 号:604180095
Book学术官方微信