sevelmer诱导的胃肠道粘膜损伤:临床医生的重要回顾。

IF 0.6 Q3 MEDICINE, GENERAL & INTERNAL
Lefika Bathobakae, Phenyo Phuu, Saif Yasin, Rammy Bashir, Jessica Escobar, Ruhin Yuridullah, Gabriel Melki, Mohamed Elagami, Kamal Amer, Yana Cavanagh, Walid Baddoura
{"title":"sevelmer诱导的胃肠道粘膜损伤:临床医生的重要回顾。","authors":"Lefika Bathobakae, Phenyo Phuu, Saif Yasin, Rammy Bashir, Jessica Escobar, Ruhin Yuridullah, Gabriel Melki, Mohamed Elagami, Kamal Amer, Yana Cavanagh, Walid Baddoura","doi":"10.55729/2000-9666.1424","DOIUrl":null,"url":null,"abstract":"<p><p>Sevelamer is a non-absorbable polymer used to treat hyperphosphatemia in individuals with end-stage renal disease (ESRD) undergoing hemodialysis. The deposition of sevelamer crystals in the gastrointestinal (GI) tract, especially in the colon, can cause mucosal inflammation, pseudopolyps, ulceration, ischemia, or necrosis. Owing to its rarity and lack of physician awareness, the actual incidence and prevalence of sevelamer-induced gastrointestinal mucosal injury (SIGMI) remain unknown. The current evidence is retrospective, in the form of observational studies. This systematic review of case reports provides an overview of SIGMI, with a focus on its etiology, signs and symptoms, pathogenesis, diagnosis, and management. Electronic databases, including PubMed, Embase, and Google Scholar, were searched for published case reports, case series, and abstracts from inception to August 2023. The search yielded 1239 articles that were filtered using the study design, English language, and human subjects. After screening for duplicates and irrelevant articles, only 28 articles were included in the final review. Melena and abdominal pain were the most common complaints. Sevelamer was discontinued in all patients, and 27 (75%) experienced clinical improvement or symptom resolution. Eight patients (22%) required colectomy due to colonic perforation, malignant obstruction, or extensive necrosis. SIGMI is a unique complication of sevelamer use in patients undergoing hemodialysis. Prompt diagnosis and management are crucial to prevent life-threatening complications.</p>","PeriodicalId":15460,"journal":{"name":"Journal of Community Hospital Internal Medicine Perspectives","volume":"14 6","pages":"58-65"},"PeriodicalIF":0.6000,"publicationDate":"2024-11-02","publicationTypes":"Journal Article","fieldsOfStudy":null,"isOpenAccess":false,"openAccessPdf":"https://www.ncbi.nlm.nih.gov/pmc/articles/PMC11745178/pdf/","citationCount":"0","resultStr":"{\"title\":\"Sevelamer-induced Gastrointestinal Mucosal Injury: A Critical Review for Clinicians.\",\"authors\":\"Lefika Bathobakae, Phenyo Phuu, Saif Yasin, Rammy Bashir, Jessica Escobar, Ruhin Yuridullah, Gabriel Melki, Mohamed Elagami, Kamal Amer, Yana Cavanagh, Walid Baddoura\",\"doi\":\"10.55729/2000-9666.1424\",\"DOIUrl\":null,\"url\":null,\"abstract\":\"<p><p>Sevelamer is a non-absorbable polymer used to treat hyperphosphatemia in individuals with end-stage renal disease (ESRD) undergoing hemodialysis. The deposition of sevelamer crystals in the gastrointestinal (GI) tract, especially in the colon, can cause mucosal inflammation, pseudopolyps, ulceration, ischemia, or necrosis. Owing to its rarity and lack of physician awareness, the actual incidence and prevalence of sevelamer-induced gastrointestinal mucosal injury (SIGMI) remain unknown. The current evidence is retrospective, in the form of observational studies. This systematic review of case reports provides an overview of SIGMI, with a focus on its etiology, signs and symptoms, pathogenesis, diagnosis, and management. Electronic databases, including PubMed, Embase, and Google Scholar, were searched for published case reports, case series, and abstracts from inception to August 2023. The search yielded 1239 articles that were filtered using the study design, English language, and human subjects. After screening for duplicates and irrelevant articles, only 28 articles were included in the final review. Melena and abdominal pain were the most common complaints. Sevelamer was discontinued in all patients, and 27 (75%) experienced clinical improvement or symptom resolution. Eight patients (22%) required colectomy due to colonic perforation, malignant obstruction, or extensive necrosis. SIGMI is a unique complication of sevelamer use in patients undergoing hemodialysis. Prompt diagnosis and management are crucial to prevent life-threatening complications.</p>\",\"PeriodicalId\":15460,\"journal\":{\"name\":\"Journal of Community Hospital Internal Medicine Perspectives\",\"volume\":\"14 6\",\"pages\":\"58-65\"},\"PeriodicalIF\":0.6000,\"publicationDate\":\"2024-11-02\",\"publicationTypes\":\"Journal Article\",\"fieldsOfStudy\":null,\"isOpenAccess\":false,\"openAccessPdf\":\"https://www.ncbi.nlm.nih.gov/pmc/articles/PMC11745178/pdf/\",\"citationCount\":\"0\",\"resultStr\":null,\"platform\":\"Semanticscholar\",\"paperid\":null,\"PeriodicalName\":\"Journal of Community Hospital Internal Medicine Perspectives\",\"FirstCategoryId\":\"1085\",\"ListUrlMain\":\"https://doi.org/10.55729/2000-9666.1424\",\"RegionNum\":0,\"RegionCategory\":null,\"ArticlePicture\":[],\"TitleCN\":null,\"AbstractTextCN\":null,\"PMCID\":null,\"EPubDate\":\"2024/1/1 0:00:00\",\"PubModel\":\"eCollection\",\"JCR\":\"Q3\",\"JCRName\":\"MEDICINE, GENERAL & INTERNAL\",\"Score\":null,\"Total\":0}","platform":"Semanticscholar","paperid":null,"PeriodicalName":"Journal of Community Hospital Internal Medicine Perspectives","FirstCategoryId":"1085","ListUrlMain":"https://doi.org/10.55729/2000-9666.1424","RegionNum":0,"RegionCategory":null,"ArticlePicture":[],"TitleCN":null,"AbstractTextCN":null,"PMCID":null,"EPubDate":"2024/1/1 0:00:00","PubModel":"eCollection","JCR":"Q3","JCRName":"MEDICINE, GENERAL & INTERNAL","Score":null,"Total":0}
引用次数: 0

摘要

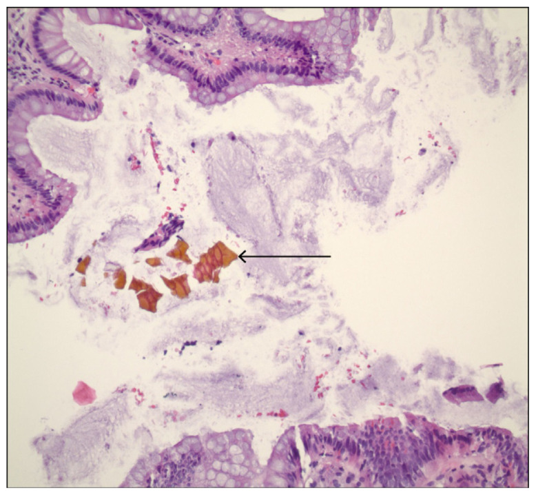
Sevelamer是一种不可吸收的聚合物,用于治疗接受血液透析的终末期肾病(ESRD)患者的高磷血症。sevelamer晶体在胃肠道(GI)中的沉积,特别是在结肠中的沉积,可引起粘膜炎症、假性息肉、溃疡、缺血或坏死。由于其罕见性和缺乏医生的认识,sevelmer诱导的胃肠道粘膜损伤(SIGMI)的实际发病率和流行率仍然未知。目前的证据是回顾性的,以观察性研究的形式。本系统的病例报告综述提供了SIGMI的概况,重点是其病因、体征和症状、发病机制、诊断和管理。检索了PubMed、Embase和谷歌Scholar等电子数据库,检索了从成立到2023年8月发表的病例报告、病例系列和摘要。搜索产生了1239篇文章,使用研究设计、英语语言和人类受试者进行了过滤。在筛选重复和不相关的文章后,只有28篇文章被纳入最终评审。红斑狼疮和腹痛是最常见的主诉。所有患者停用Sevelamer, 27例(75%)患者临床改善或症状缓解。8例(22%)患者因结肠穿孔、恶性梗阻或广泛坏死需要结肠切除术。SIGMI是在接受血液透析的患者中使用sevelamer的独特并发症。及时诊断和治疗对于预防危及生命的并发症至关重要。
本文章由计算机程序翻译,如有差异,请以英文原文为准。

Sevelamer-induced Gastrointestinal Mucosal Injury: A Critical Review for Clinicians.

Sevelamer-induced Gastrointestinal Mucosal Injury: A Critical Review for Clinicians.

Sevelamer-induced Gastrointestinal Mucosal Injury: A Critical Review for Clinicians.

Sevelamer-induced Gastrointestinal Mucosal Injury: A Critical Review for Clinicians.

Sevelamer is a non-absorbable polymer used to treat hyperphosphatemia in individuals with end-stage renal disease (ESRD) undergoing hemodialysis. The deposition of sevelamer crystals in the gastrointestinal (GI) tract, especially in the colon, can cause mucosal inflammation, pseudopolyps, ulceration, ischemia, or necrosis. Owing to its rarity and lack of physician awareness, the actual incidence and prevalence of sevelamer-induced gastrointestinal mucosal injury (SIGMI) remain unknown. The current evidence is retrospective, in the form of observational studies. This systematic review of case reports provides an overview of SIGMI, with a focus on its etiology, signs and symptoms, pathogenesis, diagnosis, and management. Electronic databases, including PubMed, Embase, and Google Scholar, were searched for published case reports, case series, and abstracts from inception to August 2023. The search yielded 1239 articles that were filtered using the study design, English language, and human subjects. After screening for duplicates and irrelevant articles, only 28 articles were included in the final review. Melena and abdominal pain were the most common complaints. Sevelamer was discontinued in all patients, and 27 (75%) experienced clinical improvement or symptom resolution. Eight patients (22%) required colectomy due to colonic perforation, malignant obstruction, or extensive necrosis. SIGMI is a unique complication of sevelamer use in patients undergoing hemodialysis. Prompt diagnosis and management are crucial to prevent life-threatening complications.

求助全文
通过发布文献求助,成功后即可免费获取论文全文。 去求助
来源期刊
自引率
0.00%
发文量
106
审稿时长
17 weeks
期刊介绍: JCHIMP provides: up-to-date information in the field of Internal Medicine to community hospital medical professionals a platform for clinical faculty, residents, and medical students to publish research relevant to community hospital programs. Manuscripts that explore aspects of medicine at community hospitals welcome, including but not limited to: the best practices of community academic programs community hospital-based research opinion and insight from community hospital leadership and faculty the scholarly work of residents and medical students affiliated with community hospitals.
×
引用
GB/T 7714-2015
复制
MLA
复制
APA
复制
导出至
BibTeX EndNote RefMan NoteFirst NoteExpress
×
提示
您的信息不完整,为了账户安全,请先补充。
现在去补充
×
提示
您因"违规操作"
具体请查看互助需知
我知道了
×
提示
确定
请完成安全验证×
copy
已复制链接
快去分享给好友吧!
我知道了
右上角分享
点击右上角分享
0
联系我们:info@booksci.cn Book学术提供免费学术资源搜索服务,方便国内外学者检索中英文文献。致力于提供最便捷和优质的服务体验。 Copyright © 2023 布克学术 All rights reserved.
京ICP备2023020795号-1
ghs 京公网安备 11010802042870号
Book学术文献互助
Book学术文献互助群
群 号:604180095
Book学术官方微信