与 COVID-19 相关的儿童神经系统并发症。

IF 0.9 Q4 CLINICAL NEUROLOGY
Iranian Journal of Child Neurology Pub Date : 2024-01-01 Epub Date: 2024-09-29 DOI:10.22037/ijcn.v18.43364
Shenoy Sangeetha, Nagabushana Divya, Sunil Kumar, Somashekar Ar, Rao Chandrika
{"title":"与 COVID-19 相关的儿童神经系统并发症。","authors":"Shenoy Sangeetha, Nagabushana Divya, Sunil Kumar, Somashekar Ar, Rao Chandrika","doi":"10.22037/ijcn.v18.43364","DOIUrl":null,"url":null,"abstract":"<p><strong>Objectives: </strong>Neurological manifestations of Severe Acute Respiratory Syndrome coronavirus-2 have been well documented in adults during and after infection with the virus as well as after vaccination. The incidence of severe neurological symptoms among children is very low. This study aimed to analyze the varied neurological manifestations after COVID-19 infection among children and give a report on a single-center experience with these severe neurological symptoms.</p><p><strong>Materials & methods: </strong>Case records of patients less than 18 years admitted between July 2021 to December 2022 with neurological manifestations and COVID-19 infection or with elevated COVID-19 antibodies after exclusion of other etiological diagnosis were analyzed.</p><p><strong>Results: </strong>There were 10 cases in the age range of 1-15 years. All the cases had elevated COVID-19 antibodies with history of contact 2-3 weeks prior except one who was positive for COVID-19 infection. Two cases presented with acute ascending paralysis suggestive of Guillain-Barre syndrome. Four cases presented with features of encephalopathy with clinical presentation fulfilling the criteria of Multisystem inflammatory syndrome in children. One case presented with fever and focal seizures with MRI showing sagittal sinus thrombosis, and one presented with fever and altered sensorium with MRI showing leukoencephalopathy. One child had cerebral mucormycosis without any evidence of immunosuppression. There was one child with features of encephalopathy with active COVID-19 infection.</p><p><strong>Conclusion: </strong>The varied presentation highlights the central and peripheral nervous system involvement by the virus in the pediatric population. It also emphasizes the need to investigate for COVID-19 in children presenting with these complaints during the pandemic.</p>","PeriodicalId":14537,"journal":{"name":"Iranian Journal of Child Neurology","volume":"18 4","pages":"47-60"},"PeriodicalIF":0.9000,"publicationDate":"2024-01-01","publicationTypes":"Journal Article","fieldsOfStudy":null,"isOpenAccess":false,"openAccessPdf":"https://www.ncbi.nlm.nih.gov/pmc/articles/PMC11520275/pdf/","citationCount":"0","resultStr":"{\"title\":\"COVID-19-Associated Neurological Complications in Children.\",\"authors\":\"Shenoy Sangeetha, Nagabushana Divya, Sunil Kumar, Somashekar Ar, Rao Chandrika\",\"doi\":\"10.22037/ijcn.v18.43364\",\"DOIUrl\":null,\"url\":null,\"abstract\":\"<p><strong>Objectives: </strong>Neurological manifestations of Severe Acute Respiratory Syndrome coronavirus-2 have been well documented in adults during and after infection with the virus as well as after vaccination. The incidence of severe neurological symptoms among children is very low. This study aimed to analyze the varied neurological manifestations after COVID-19 infection among children and give a report on a single-center experience with these severe neurological symptoms.</p><p><strong>Materials & methods: </strong>Case records of patients less than 18 years admitted between July 2021 to December 2022 with neurological manifestations and COVID-19 infection or with elevated COVID-19 antibodies after exclusion of other etiological diagnosis were analyzed.</p><p><strong>Results: </strong>There were 10 cases in the age range of 1-15 years. All the cases had elevated COVID-19 antibodies with history of contact 2-3 weeks prior except one who was positive for COVID-19 infection. Two cases presented with acute ascending paralysis suggestive of Guillain-Barre syndrome. Four cases presented with features of encephalopathy with clinical presentation fulfilling the criteria of Multisystem inflammatory syndrome in children. One case presented with fever and focal seizures with MRI showing sagittal sinus thrombosis, and one presented with fever and altered sensorium with MRI showing leukoencephalopathy. One child had cerebral mucormycosis without any evidence of immunosuppression. There was one child with features of encephalopathy with active COVID-19 infection.</p><p><strong>Conclusion: </strong>The varied presentation highlights the central and peripheral nervous system involvement by the virus in the pediatric population. It also emphasizes the need to investigate for COVID-19 in children presenting with these complaints during the pandemic.</p>\",\"PeriodicalId\":14537,\"journal\":{\"name\":\"Iranian Journal of Child Neurology\",\"volume\":\"18 4\",\"pages\":\"47-60\"},\"PeriodicalIF\":0.9000,\"publicationDate\":\"2024-01-01\",\"publicationTypes\":\"Journal Article\",\"fieldsOfStudy\":null,\"isOpenAccess\":false,\"openAccessPdf\":\"https://www.ncbi.nlm.nih.gov/pmc/articles/PMC11520275/pdf/\",\"citationCount\":\"0\",\"resultStr\":null,\"platform\":\"Semanticscholar\",\"paperid\":null,\"PeriodicalName\":\"Iranian Journal of Child Neurology\",\"FirstCategoryId\":\"1085\",\"ListUrlMain\":\"https://doi.org/10.22037/ijcn.v18.43364\",\"RegionNum\":0,\"RegionCategory\":null,\"ArticlePicture\":[],\"TitleCN\":null,\"AbstractTextCN\":null,\"PMCID\":null,\"EPubDate\":\"2024/9/29 0:00:00\",\"PubModel\":\"Epub\",\"JCR\":\"Q4\",\"JCRName\":\"CLINICAL NEUROLOGY\",\"Score\":null,\"Total\":0}","platform":"Semanticscholar","paperid":null,"PeriodicalName":"Iranian Journal of Child Neurology","FirstCategoryId":"1085","ListUrlMain":"https://doi.org/10.22037/ijcn.v18.43364","RegionNum":0,"RegionCategory":null,"ArticlePicture":[],"TitleCN":null,"AbstractTextCN":null,"PMCID":null,"EPubDate":"2024/9/29 0:00:00","PubModel":"Epub","JCR":"Q4","JCRName":"CLINICAL NEUROLOGY","Score":null,"Total":0}
引用次数: 0

摘要

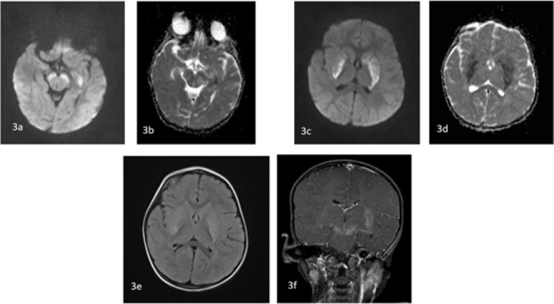
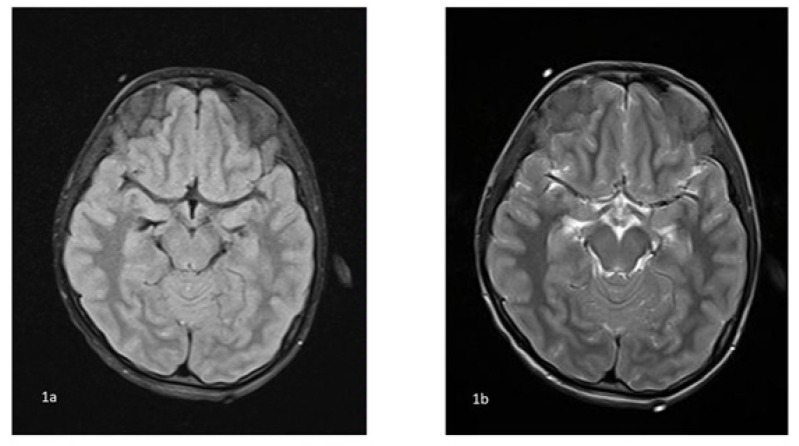
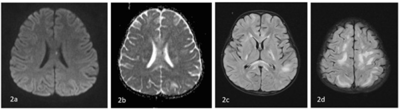
目的:严重急性呼吸系统综合征冠状病毒-2 在成人感染该病毒期间、感染后以及接种疫苗后出现神经系统症状的记录翔实。儿童严重神经系统症状的发生率非常低。本研究旨在分析儿童感染 COVID-19 病毒后出现的各种神经系统表现,并报告单个中心出现这些严重神经系统症状的经验:分析2021年7月至2022年12月期间收治的18岁以下患者的病例记录,这些患者均有神经系统表现和COVID-19感染,或排除其他病因诊断后COVID-19抗体升高:结果:10例病例年龄在1-15岁之间。所有病例均有 COVID-19 抗体升高,且 2-3 周前有接触史,只有一例为 COVID-19 感染阳性。两个病例表现为急性上升性麻痹,提示格林-巴利综合征。四例病例表现为脑病,临床表现符合儿童多系统炎症综合征的标准。一名病例表现为发热和局灶性癫痫发作,核磁共振成像显示矢状窦血栓形成;一名病例表现为发热和感觉改变,核磁共振成像显示白质脑病。一名患儿患有脑粘液瘤病,但没有任何免疫抑制的证据。一名患儿伴有活动性COVID-19感染的脑病特征:这些不同的表现突出了病毒在儿科人群中累及中枢和外周神经系统的情况。结论:各种不同的表现突显了病毒在儿童群体中累及中枢和外周神经系统的情况,同时也强调了在大流行期间对出现这些症状的儿童进行 COVID-19 检测的必要性。
本文章由计算机程序翻译,如有差异,请以英文原文为准。

COVID-19-Associated Neurological Complications in Children.

COVID-19-Associated Neurological Complications in Children.

COVID-19-Associated Neurological Complications in Children.

COVID-19-Associated Neurological Complications in Children.

Objectives: Neurological manifestations of Severe Acute Respiratory Syndrome coronavirus-2 have been well documented in adults during and after infection with the virus as well as after vaccination. The incidence of severe neurological symptoms among children is very low. This study aimed to analyze the varied neurological manifestations after COVID-19 infection among children and give a report on a single-center experience with these severe neurological symptoms.

Materials & methods: Case records of patients less than 18 years admitted between July 2021 to December 2022 with neurological manifestations and COVID-19 infection or with elevated COVID-19 antibodies after exclusion of other etiological diagnosis were analyzed.

Results: There were 10 cases in the age range of 1-15 years. All the cases had elevated COVID-19 antibodies with history of contact 2-3 weeks prior except one who was positive for COVID-19 infection. Two cases presented with acute ascending paralysis suggestive of Guillain-Barre syndrome. Four cases presented with features of encephalopathy with clinical presentation fulfilling the criteria of Multisystem inflammatory syndrome in children. One case presented with fever and focal seizures with MRI showing sagittal sinus thrombosis, and one presented with fever and altered sensorium with MRI showing leukoencephalopathy. One child had cerebral mucormycosis without any evidence of immunosuppression. There was one child with features of encephalopathy with active COVID-19 infection.

Conclusion: The varied presentation highlights the central and peripheral nervous system involvement by the virus in the pediatric population. It also emphasizes the need to investigate for COVID-19 in children presenting with these complaints during the pandemic.

求助全文
通过发布文献求助,成功后即可免费获取论文全文。 去求助
来源期刊
CiteScore
1.40
自引率
0.00%
发文量
35
×
引用
GB/T 7714-2015
复制
MLA
复制
APA
复制
导出至
BibTeX EndNote RefMan NoteFirst NoteExpress
×
提示
您的信息不完整,为了账户安全,请先补充。
现在去补充
×
提示
您因"违规操作"
具体请查看互助需知
我知道了
×
提示
确定
请完成安全验证×
copy
已复制链接
快去分享给好友吧!
我知道了
右上角分享
点击右上角分享
0
联系我们:info@booksci.cn Book学术提供免费学术资源搜索服务,方便国内外学者检索中英文文献。致力于提供最便捷和优质的服务体验。 Copyright © 2023 布克学术 All rights reserved.
京ICP备2023020795号-1
ghs 京公网安备 11010802042870号
Book学术文献互助
Book学术文献互助群
群 号:604180095
Book学术官方微信