Axillary lymphadenopathy in a high-risk breast screening patient following the COVID-19 vaccine: a diagnostic conundrum.

Q4 Medicine
Clinical Pulmonary Medicine Pub Date : 2022-03-09 eCollection Date: 2022-03-01 DOI:10.1259/bjrcr.20210063
Besma Musaddaq, Adam Brown, Sam Dluzewski, Teresa Marafioti, Anmol Malhotra
{"title":"Axillary lymphadenopathy in a high-risk breast screening patient following the COVID-19 vaccine: a diagnostic conundrum.","authors":"Besma Musaddaq, Adam Brown, Sam Dluzewski, Teresa Marafioti, Anmol Malhotra","doi":"10.1259/bjrcr.20210063","DOIUrl":null,"url":null,"abstract":"<p><p>A number of COVID-19 vaccines have been approved worldwide to help tackle the pandemic. As with many vaccines, this causes a reactive axillary lymphadenopathy which can mimic potentially metastatic disease in a breast screening patient. It is therefore important to be aware of this side-effect of the vaccination when evaluating the axilla in a breast screening patient. We present a case of biopsy-proven unilateral reactive axillary lymphadenopathy in a high risk BRCA carrier following administration of the Astra Zeneca vaccine.</p>","PeriodicalId":10393,"journal":{"name":"Clinical Pulmonary Medicine","volume":"26 1","pages":"20210063"},"PeriodicalIF":0.0000,"publicationDate":"2022-03-09","publicationTypes":"Journal Article","fieldsOfStudy":null,"isOpenAccess":false,"openAccessPdf":"https://www.ncbi.nlm.nih.gov/pmc/articles/PMC8906153/pdf/","citationCount":"0","resultStr":null,"platform":"Semanticscholar","paperid":null,"PeriodicalName":"Clinical Pulmonary Medicine","FirstCategoryId":"1085","ListUrlMain":"https://doi.org/10.1259/bjrcr.20210063","RegionNum":0,"RegionCategory":null,"ArticlePicture":[],"TitleCN":null,"AbstractTextCN":null,"PMCID":null,"EPubDate":"2022/3/1 0:00:00","PubModel":"eCollection","JCR":"Q4","JCRName":"Medicine","Score":null,"Total":0}
引用次数: 0

Abstract

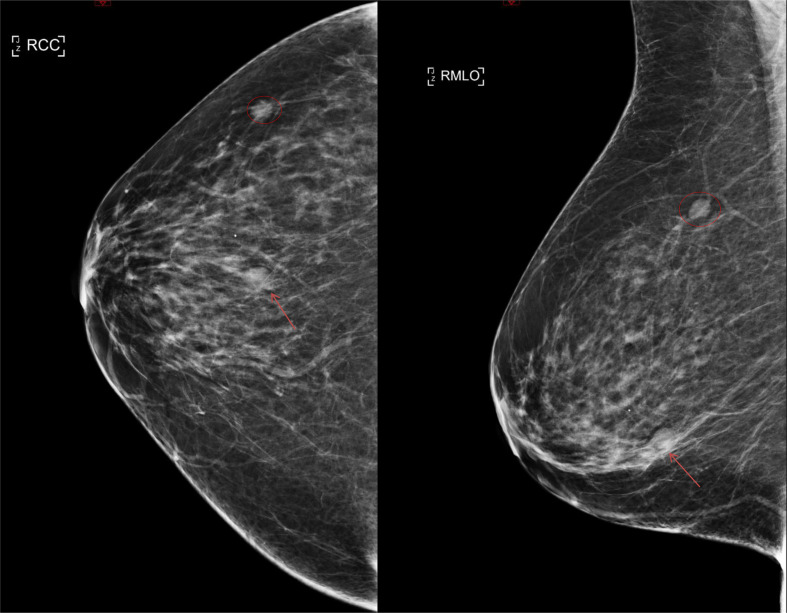
A number of COVID-19 vaccines have been approved worldwide to help tackle the pandemic. As with many vaccines, this causes a reactive axillary lymphadenopathy which can mimic potentially metastatic disease in a breast screening patient. It is therefore important to be aware of this side-effect of the vaccination when evaluating the axilla in a breast screening patient. We present a case of biopsy-proven unilateral reactive axillary lymphadenopathy in a high risk BRCA carrier following administration of the Astra Zeneca vaccine.

Abstract Image

Abstract Image

Abstract Image

一名接种 COVID-19 疫苗后接受乳腺筛查的高危患者出现腋窝淋巴结病:诊断难题。
全球已批准了多种 COVID-19 疫苗,以帮助应对这一流行病。与许多疫苗一样,这种疫苗会引起反应性腋窝淋巴结病,这可能是乳腺筛查患者潜在转移性疾病的假象。因此,在对乳腺筛查患者的腋窝进行评估时,必须注意疫苗接种的这种副作用。我们介绍了一例经活检证实的单侧反应性腋窝淋巴结病例,患者是一名高风险 BRCA 携带者,在接种阿斯利康疫苗后出现该症状。
本文章由计算机程序翻译,如有差异,请以英文原文为准。
求助全文
约1分钟内获得全文 求助全文
来源期刊
Clinical Pulmonary Medicine
Clinical Pulmonary Medicine Medicine-Critical Care and Intensive Care Medicine
自引率
0.00%
发文量
0
期刊介绍: Clinical Pulmonary Medicine provides a forum for the discussion of important new knowledge in the field of pulmonary medicine that is of interest and relevance to the practitioner. This goal is achieved through mini-reviews on focused sub-specialty topics in areas covered within the journal. These areas include: Obstructive Airways Disease; Respiratory Infections; Interstitial, Inflammatory, and Occupational Diseases; Clinical Practice Management; Critical Care/Respiratory Care; Colleagues in Respiratory Medicine; and Topics in Respiratory Medicine.
×
引用
GB/T 7714-2015
复制
MLA
复制
APA
复制
导出至
BibTeX EndNote RefMan NoteFirst NoteExpress
×
提示
您的信息不完整,为了账户安全,请先补充。
现在去补充
×
提示
您因"违规操作"
具体请查看互助需知
我知道了
×
提示
确定
请完成安全验证×
copy
已复制链接
快去分享给好友吧!
我知道了
右上角分享
点击右上角分享
0
联系我们:info@booksci.cn Book学术提供免费学术资源搜索服务,方便国内外学者检索中英文文献。致力于提供最便捷和优质的服务体验。 Copyright © 2023 布克学术 All rights reserved.
京ICP备2023020795号-1
ghs 京公网安备 11010802042870号
Book学术文献互助
Book学术文献互助群
群 号:604180095
Book学术官方微信